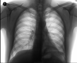
Молодой человек, 45 лет. Кашель с мокротой. Анализа крови нет. Температура была, под 40, три дня, две недели назад. Тогда пропил три дня сумамед. Коллеги, интересует мнение по снимкам. И Ваше Rg-заключение по ним.
Спасибо Всем за комментарии! Сам написал пневмонию слева, в нижней доле. С признаками гиповентиляции. Случай привёл для примера логической цепочки построения, для памяти того, что уже видели, читали и снова недавно вспомнили, если забывали...
Очень нравится как наш коллега написала: "Цитируя себя, любимую: Гиповентиляции левого легкого(сближение ребер, а значит и уменьшение межреберных промежутков, некоторое снижение прозрачности легкого, некоторое высокое стояние купола диафрагмы, некоторое смещение средостения)" Кое-что здесь присутствует, в большой мере, и значит не исключЁн...
Центральный рак слева
Мне кажется за тенью сердца, в S8, S9 инфильтрация легочной ткани в виде остаточных изменений.
Сегментарная пневмония в S 9 слева в ст. неполного разрешения.
"Слушай всех, прислушивайся к немногим, решай сам".©
Полисегментарная пневмония слева в S8 и в S5. И там же субсегментарные ателектазы.
С Уважением, Дмитрий.
Нет ли здесь уменьшения нижней доли слева?
данные представленных R-грамм расцениваю как левостороннюю н/долевую сегментарную пневмонию в фазе разрешения с исходом в локальный пневмофиброз.
Пневмонии не вижу.
Автор, ваше заключение.
А что на самом деле, автор? Не понравилось смещение средостения и дополнительные тени в проекции левого корня на боковом снимке. Архив был у пациента?
Ателектаз?инфильтрация в S8?ждем автора
Спасибо Всем за комментарии! Сам написал пневмонию слева, в нижней доле. С признаками гиповентиляции. Случай привёл для примера логической цепочки построения, для памяти того, что уже видели, читали и снова недавно вспомнили, если забывали...
--------------
"Просто, по видимости, не видеть логики в очевидных вещах - это тоже одно из свойств некоторых умов, наряду с грустными думами о свойствах ума других." © Vega 08/10/2011
КТ порекомендовали?
Пока рекомендовал после назначенного терапевтом лечения свой контроль. Надеюсь, он будет. И когда поправится, пациент дойдёт до меня, здоровый.
--------------
"Просто, по видимости, не видеть логики в очевидных вещах - это тоже одно из свойств некоторых умов, наряду с грустными думами о свойствах ума других." © Vega 08/10/2011
кто где гиповентиляцию увидел? Я не вижу
Прозрачность плеврального синуса слева снижена, значит там может быть гиповентиляция.
С Уважением, Дмитрий.
Очень нравится как наш коллега написала: "Цитируя себя, любимую: Гиповентиляции левого легкого(сближение ребер, а значит и уменьшение межреберных промежутков, некоторое снижение прозрачности легкого, некоторое высокое стояние купола диафрагмы, некоторое смещение средостения)" Кое-что здесь присутствует, в большой мере, и значит не исключЁн...
а на боковом?