You are here

После флюорографии.

Пол пациента: 
Тип патологии: 
Методы исследования: 

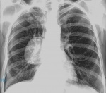
Добрый день. Женщина 65 лет. В 2014 году на флюорограмме чисто. Жалоб нет. В анамнезе (2015 г) оперирована по поводу cr желудка. Ваши мнения. Спасибо.

ID:63370
Цель публикации: 
Emchi's picture
Offline
Last seen: 10 months 4 weeks ago
Joined: 31.01.2014 - 07:23
Posts: 341

По прямой проекции, образование переднего средостения. С боковой диффряд расширился.

Лейман Иван's picture
Offline
Last seen: 3 months 1 week ago
Joined: 09.01.2014 - 07:54
Posts: 1190

Я бы предположил образование плевры, и КТ для уточнения

Игорь Ким's picture
Offline
Last seen: 1 year 5 months ago
Joined: 17.10.2014 - 17:30
Posts: 4672

По плотности и контуру м.б. и жидкость к выше перечисленному.

Сергей Кузьминов's picture
Offline
Last seen: 1 year 1 month ago
Joined: 06.10.2012 - 15:51
Posts: 11813

Тут бы УЗИ плевральных полостей. Сдаётся мне- в плевре оно.

Андрей Юрьевич's picture
Offline
Last seen: 1 month 1 week ago
Joined: 16.11.2008 - 22:16
Posts: 18098

Мне трудно представить образование плевры, которое не сопровождалось бы выпотом.

Андрей Юрьевич

И.Бондаренко's picture
Offline
Last seen: 1 day 5 hours ago
Joined: 13.09.2011 - 22:55
Posts: 9207

А пневмоторакс откуда?

NIL's picture
NIL
Offline
Last seen: 3 weeks 4 days ago
Joined: 25.11.2013 - 20:50
Posts: 18208

"Субплевральные образования хотя бы в одной из проекций широко прилежат к грудной стенке и имеют гладкий контур, если нет инвазивного роста в лёгкое. Для того чтобы ориентировочно определить, откуда растёт полукруглое образование, прилежащее к плевре, необходимо достроить мысленно или карандашом полный круг, и определить его центр, также нужно достроить и внутренний край грудной стенки в зоне образования. Если центр находится на уровне внутреннего края грудной стенки или кнаружи от него, то образование исходит из грудной стенки, в том числе из плевры. Если же центр остаётся в пределах границ лёгкого, то такое образование, скорее всего, исходит из лёгкого" https://radiomed.ru/en/node/9399

Считаю, что образование из легкого. Предполагаю заполненную кисту. Учитывая пристеночный спонтанный пневматоракс справа, киста там не одна.)


"Слушай всех, прислушивайся к немногим, решай сам".©

Сергей Кузьминов's picture
Offline
Last seen: 1 year 1 month ago
Joined: 06.10.2012 - 15:51
Posts: 11813

НИЛ дело говорит.

Игорь Ким's picture
Offline
Last seen: 1 year 5 months ago
Joined: 17.10.2014 - 17:30
Posts: 4672

Ни чего не имею против кисты, но очень сложно. 1- процесс не соответствует сегментарно-долевому строению.

2- имеет место второй такой же процесс прилежащий к париетальной плевре или как то связанный с ней( боковая пр.)

3- онколог. анамнез.

Боковую Т-гр, КТ.

Scandinav's picture
Offline
Last seen: 1 year 8 months ago
Joined: 13.01.2016 - 19:18
Posts: 1821

В отношении пневмоторакса нет сомнений? С другой стороны не то же, с поправкой на не совсем прямую укладку?

NIL's picture
NIL
Offline
Last seen: 3 weeks 4 days ago
Joined: 25.11.2013 - 20:50
Posts: 18208

Scandinav wrote:

В отношении пневмоторакса нет сомнений? С другой стороны не то же, с поправкой на не совсем прямую укладку?

С другой стороны НЕ то же. Справа выглядит как ограниченный пневматоракс.

Приложения: 
m_s_0000_0.jpg


"Слушай всех, прислушивайся к немногим, решай сам".©

maker4ik's picture
Offline
Last seen: 8 years 8 months ago
Joined: 19.10.2011 - 17:49
Posts: 2682

И.Бондаренко wrote:

А пневмоторакс откуда?

+ тот же вопрос.

brainmodel's picture
Offline
Last seen: 3 months 3 weeks ago
Joined: 18.03.2010 - 22:04
Posts: 2881

Травма была? Может это такой гемоторакс надулся, оттуда же и пневмоторакс. Хотя ребра целы...

Verum plus uno esse non potest.

Лейман Иван's picture
Offline
Last seen: 3 months 1 week ago
Joined: 09.01.2014 - 07:54
Posts: 1190

Чего гадать, без КТ тут не разобраться

LoDa's picture
Offline
Last seen: 8 years 6 months ago
Joined: 16.09.2014 - 10:16
Posts: 841

Тень определенно в легком, расположена практически вплотную к задней поверхности грудины. Т.е. между грудиной и объемным образованием небольшая прослойка легочной ткани (граница с воздухом), поэтому и контур его так плохо различим. Учитывая онконанамнез я больше за метастаз. К тому же второе образование определенно исходит из плевры, на боковом расположено за округлой тенью, т.е. левее, но также за грудиной. А что касается переломов ребер, то вполне возможно когда-то был прелом заднебокового отрезка 6-го ребра справа. Пнемоторакс может быть связан и с прорастанием опухоли в плевру. Хотелось бы увидеть прямой снимок в другой обработке, чтобы тень сердца не перекрывала вид.

 

Приложения: 
12.jpg
Васин's picture
Offline
Last seen: 3 years 2 months ago
Joined: 01.02.2016 - 14:43
Posts: 280

Игорь Ким wrote:

Ни чего не имею против кисты, но очень сложно. 1- процесс не соответствует сегментарно-долевому строению.

2- имеет место второй такой же процесс прилежащий к париетальной плевре или как то связанный с ней( боковая пр.)

3- онколог. анамнез.

Боковую Т-гр, КТ.

+ 1 Вот второй-то и невнятен, без него киста очень подошла или солитарный мтс в легкое. Субпариетальная липома -миома? на ножке? Скорее такой мтс, и мтс распространяющийся вне плевральной полости, подфасциально. А пневмоторакс сомнительный, но картинка похожа очень.

Scandinav's picture
Offline
Last seen: 1 year 8 months ago
Joined: 13.01.2016 - 19:18
Posts: 1821

Пнемоторакс не исключается, т.к. кроме линии образованной краем молочной железы несколько медиальнее выявляется ещё одна  линия (плевры?). Крупное круглое гомогенное тенеобразование расположено внутри лёгкого (Правило Ленка ), контуры ровные, близлежащая плевра утолщена. Диффряд широкий: шаровидная пневмония (м.б.и абсцесс), онкообразование (м.б. и одиночный метастаз), киста (не исключаю сочетания патологии - и потому так всё интересно выглядит) и согласен с предыдущим мнением, надо томографировать. 

Almo's picture
Offline
Last seen: 2 days 15 hours ago
Joined: 28.09.2008 - 18:50
Posts: 8281

Андрей Юрьевич wrote:

Мне трудно представить образование плевры, которое не сопровождалось бы выпотом.

Больше похоже на солитарный метастаз в плевру,создаётся впечателние, что какое-то колчество выпота в плевральной полости есть и почему же при этом (опухолевом поражении плевры) не может быть проявлений пневмотакса (нарушение целостности висцеральной плевры).

Миргалина's picture
Offline
Last seen: 3 days 8 hours ago
Joined: 06.08.2015 - 20:04
Posts: 2882

Поддержу версию Almo про солитарный мтс и небольшое количество выпота. А пневмоторакса нет!winkМягкие ткани груди это. Зуб даю, хотя и нелишний!smiley

Игорь Ким's picture
Offline
Last seen: 1 year 5 months ago
Joined: 17.10.2014 - 17:30
Posts: 4672

Версия Аlmo о "солитарном метастазе в плевру" и "выпоте в плевральной полости" очень интересная, хотелось бы уточниться в локализации.

almurun's picture
Offline
Last seen: 5 years 7 months ago
Joined: 12.06.2012 - 07:56
Posts: 44

Миргалина wrote:

Поддержу версию Almo про солитарный мтс и небольшое количество выпота. А пневмоторакса нет!winkМягкие ткани груди это. Зуб даю, хотя и нелишний!smiley

+1

Almo's picture
Offline
Last seen: 2 days 15 hours ago
Joined: 28.09.2008 - 18:50
Posts: 8281

Миргалина wrote:

Поддержу версию Almo про солитарный мтс и небольшое количество выпота. А пневмоторакса нет!winkМягкие ткани груди это. Зуб даю, хотя и нелишний!smiley

Для того что бы доказать есть ли пневмоторакс, надо сделать контрольный снимок на выдохе.

Миргалина's picture
Offline
Last seen: 3 days 8 hours ago
Joined: 06.08.2015 - 20:04
Posts: 2882

Игорь Ким wrote:

Версия Аlmo о "солитарном метастазе в плевру" и "выпоте в плевральной полости" очень интересная, хотелось бы уточниться в локализации.

Ваша версия, Игорь, не менее интересная. Я имею в виду о жидкостном содержимом этого образования, т.е.кисту ( любого генеза)  в диф.ряд обязательно нужнотвключить. А локализация -на уровне 3-5 сегментов справа. Сомнений нет, что оно в лёгком, но вторую пристеночную тень, думаю, формирует утолщенная плевра. А уж за счёт чего....Самый простой способ узнать, что это такое-УЗИ.

Игорь Ким's picture
Offline
Last seen: 1 year 5 months ago
Joined: 17.10.2014 - 17:30
Posts: 4672

Миргалина wrote:

Игорь Ким wrote:

Версия Аlmo о "солитарном метастазе в плевру" и "выпоте в плевральной полости" очень интересная, хотелось бы уточниться в локализации.

Ваша версия, Игорь, не менее интересная. Я имею в виду о жидкостном содержимом этого образования, т.е.кисту ( любого генеза)  в диф.ряд обязательно нужнотвключить. А локализация -на уровне 3-5 сегментов справа. Сомнений нет, что оно в лёгком, но вторую пристеночную тень, думаю, формирует утолщенная плевра. А уж за счёт чего....Самый простой способ узнать, что это такое-УЗИ.

Солитарных мтс рака  желудка в плевру не встречал,как правило сыплет множественными, мелкими .Думаю жидкостое( а может и нет) образование округлой формы и пристеночное тоже связаны с метастатическим процессом.Вопрос, возникший по локализации округлого образования, так и не снят: в легком,  м\долевой, плевральной полости?  Думаю Узи не решит, предпочел бы боковые Т-гр.не говоря о КТ.

Катенёв Валентин Львович's picture
Offline
Last seen: 7 years 1 month ago
Joined: 22.03.2008 - 22:15
Posts: 54876

На мой взгляд похоже на фиброзную опухоль плевры..., плиз...

 

https://radiomed.ru/publications/onkologiya-ogk-plevry-opukholi

DocLega's picture
Offline
Last seen: 8 years 4 months ago
Joined: 09.01.2009 - 18:39
Posts: 72

кистозное образование. кт нужно чего гадать и пункция.

dedes ergo potes!

Миргалина's picture
Offline
Last seen: 3 days 8 hours ago
Joined: 06.08.2015 - 20:04
Posts: 2882

DocLega wrote:

кистозное образование. кт нужно чего гадать и пункция.

А ещё лучше сразу гистология, не правда ли? Дело в том, что не  во всех ЛПУ есть КТ . А УЗИ -доступный и довольно информативный метод, особенно для пристеночных образований. Можно и метку поставить для пункции

DocLega's picture
Offline
Last seen: 8 years 4 months ago
Joined: 09.01.2009 - 18:39
Posts: 72

Миргалина wrote:

DocLega wrote:

кистозное образование. кт нужно чего гадать и пункция.

А ещё лучше сразу гистология, не правда ли? Дело в том, что не  во всех ЛПУ есть КТ . А УЗИ -доступный и довольно информативный метод, особенно для пристеночных образований. Можно и метку поставить для пункции

Тут как-бы встал рядом вопрос о пневмотораксе.А Ваше УЗИ видит легочную паренхиму?

dedes ergo potes!

Миргалина's picture
Offline
Last seen: 3 days 8 hours ago
Joined: 06.08.2015 - 20:04
Posts: 2882

DocLega]</p> <p>[quote=Миргалина wrote:

DocLega wrote:

кистозное образование. кт нужно чего гадать и пункция.

А ещё лучше сразу гистология, не правда ли? Дело в том, что не  во всех ЛПУ есть КТ . А УЗИ -доступный и довольно информативный метод, особенно для пристеночных образований. Можно и метку поставить для пункции

Тут как-бы встал рядом вопрос о пневмотораксе.А Ваше УЗИ видит легочную паренхиму?

[/quote
[page51image2028]
А я причём? Тут как бы не у меня встал вопрос о пневмотораксе. Я его по Р-грамме исключила. Тут как-то больше занимает внимание другая проблема, которую предложила решить наиболее простым и доступным способом. Можно? Наше УЗИ может решить эту проблему.