Имеется ли какая-либо орбитальная патология?

Plasteroid аватар
Не на сайте
Был на сайте: 7 лет 8 месяцев назад
Зарегистрирован: 06.08.2013 - 13:47
Публикации: 56

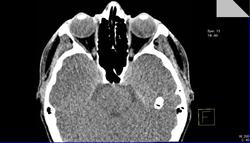
Имеется ли какая-либо орбитальная патология?Поделитесь, коллеги,своим мнением,пожалуйста!Если есть,то в глаза патология бросается?

тюрин аватар
Не на сайте
Был на сайте: 2 недели 5 дней назад
Зарегистрирован: 18.12.2009 - 17:23
Публикации: 215

меня ничего не смутило.

fermental аватар
Не на сайте
Был на сайте: 11 лет 2 месяцев назад
Зарегистрирован: 12.11.2012 - 22:26
Публикации: 21

заключение: кт-признаков объемно-деструктивного процесса, воспалительных изменений орбит не выявлено.

nnemo аватар
Не на сайте
Был на сайте: 11 лет 1 месяц назад
Зарегистрирован: 13.09.2011 - 18:32
Публикации: 561

А какие жалобы?

Под стрелками артефакт? или?

Приложения: 
0008e7af.jpg
Plasteroid аватар
Не на сайте
Был на сайте: 7 лет 8 месяцев назад
Зарегистрирован: 06.08.2013 - 13:47
Публикации: 56

Вот-вот!Меня тоже ничего не смутило.Я и сделал заключение:норма.В направлении ничего толкового написано не было.А почти 2 недели спустя офтальмолог мне с пеной у рта доказывает,что у пациентки отёки необъяснимые в  последнее время,а я(такой-сякой) не вижу утолщения внутренней прямой мышцы глаза!

Я присмотрелся и согласился с ней,извинился,переделал протокол,а про себя поругал за невнимательность.Потом стал присматриваться при других исследованиях(глазниц,головного мозга) к глазницам и почти у всех внутренняя прямая мышца толще и плотнее остальных мышц.

Отсюда вопрос:есть тут или нет эндокринная офтальмопатия?

Dima аватар
Не на сайте
Был на сайте: 7 лет 2 месяцев назад
Зарегистрирован: 05.08.2012 - 17:39
Публикации: 2467

Plasteroid wrote:

Вот-вот!Меня тоже ничего не смутило.Я и сделал заключение:норма.В направлении ничего толкового написано не было.А почти 2 недели спустя офтальмолог мне с пеной у рта доказывает,что у пациентки отёки необъяснимые в  последнее время,а я(такой-сякой) не вижу утолщения внутренней прямой мышцы глаза!

Я присмотрелся и согласился с ней,извинился,переделал протокол,а про себя поругал за невнимательность.Потом стал присматриваться при других исследованиях(глазниц,головного мозга) к глазницам и почти у всех внутренняя прямая мышца толще и плотнее остальных мышц.

Отсюда вопрос:есть тут или нет эндокринная офтальмопатия?

На сколько я знаю мышцы глаза не должны быть одинаковыми по толщине. На сайте есть замечательная лекция по патологии орбит.

Терпимость - это когда прощают чужие ошибки; такт - когда не замечают их. (Артур Шницлер)

Владлен аватар
Не на сайте
Был на сайте: 11 лет 5 месяцев назад
Зарегистрирован: 28.11.2012 - 17:37
Публикации: 2

а сетчатка нормальная?

Nela аватар
Не на сайте
Был на сайте: 6 лет 1 месяц назад
Зарегистрирован: 12.05.2009 - 20:43
Публикации: 1847

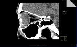
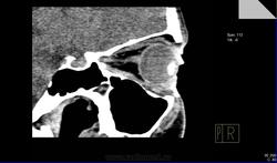
Посмотрите вот здесь нормальные размеры мышц, а также как измерить положение глазных яблок, разница в положении не должна быть более 1 мм.

Мышцы лучше измерять на короналах.

Приложения: 
izobrazhenie_001.jpgizobrazhenie_003.jpg
Plasteroid аватар
Не на сайте
Был на сайте: 7 лет 8 месяцев назад
Зарегистрирован: 06.08.2013 - 13:47
Публикации: 56

Спасибо,Nela!Я Вашу лекцию про орбитальную патологию(перевод) читал.Но хотелось бы узнать именно то,что Вы думаете по этому иссдедованию.Опыта у меня маловато,а баланс между недооценкой и гипердиагностикой тут пока для меня тонок.

Nela аватар
Не на сайте
Был на сайте: 6 лет 1 месяц назад
Зарегистрирован: 12.05.2009 - 20:43
Публикации: 1847

Plasteroid wrote:

Спасибо,Nela!Я Вашу лекцию про орбитальную патологию(перевод) читал.Но хотелось бы узнать именно то,что Вы думаете по этому иссдедованию.Опыта у меня маловато,а баланс между недооценкой и гипердиагностикой тут пока для меня тонок.

Здесь ничего особенного не вижу. На мой взгляд норма.

Plasteroid аватар
Не на сайте
Был на сайте: 7 лет 8 месяцев назад
Зарегистрирован: 06.08.2013 - 13:47
Публикации: 56

Спасибо!Подскажите откуда эти показатели нормы,которые Вы привели выше и что необходимо из литературы по КТ орбит?

Войти Зарегистрироваться