Коллеги, т.к. наша работа зачастую является разгадыванием ребусов, предлагаю сделать ветку и выкладывать для разбора верифицированные наблюдения в жанре "медицинского расследования": последовательно, поясняя логику диагностики при обсуждении.
Попробую, для начала...
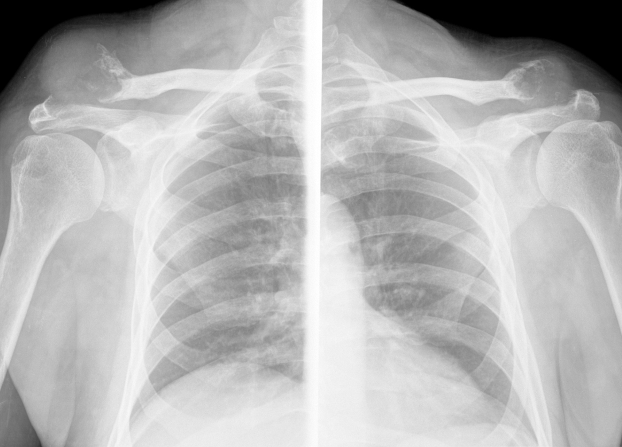
Вводные данные: 70 лет, рак мочевого пузыря (подтвержден), мтс в кости (по КТ). В анамнезе: ИБС, гипертония, подагра, сахарный диабет. Направлен на химиотерапию.
При поступлении, выполнена рентгенография легких. Выявлены изменения в ключицах.
Что думаете?
Ужели подагра так расходилась...
Скорее всего, редкая локализация!
Мы тоже так подумали. Но что же тогда на КТ? Решили повторить
"самоуверенность дилетантов - предмет зависти профессионалов"
Вот это Ребус!
А у меня сегодня фантазия в отгуле.
Sorry...
Неоднозначно всё
а я не тороплюсь...
"самоуверенность дилетантов - предмет зависти профессионалов"
Множественная миелома?
https://www.youtube.com/channel/UCBGxoBUOqUT_bFhSeUgtWEw
О метастазах в ключицы впечатление, конечно, не складывается. Необходимо думать о системных процессах. Возможны с большими натяжками и подагрическая, и диабетическая артропатия. Но, на мой взгляд, лабораторно надо исключить гиперпаратиреоидную ОД.
Великое преймущество врача заключается в том, что он не обязан следовать собственным советам. ( А. Кристи)
Пакеты л.узлов шеи....откуда?
Ниоткуда, это Вам показалось
"самоуверенность дилетантов - предмет зависти профессионалов"
Была такая мысль... Вот череп:
А не обращает внимание в каких отделах ребер и позвонков изменения?
"самоуверенность дилетантов - предмет зависти профессионалов"