Мик. Гистоплазмоз. +

Гистоплазмоз

Катенёв Валентин Львович аватар
Не на сайте
Был на сайте: 7 лет 5 месяцев назад
Зарегистрирован: 22.03.2008 - 22:15
Публикации: 54876

ГИСТОПЛАЗМОЗ (HISTOPLASMOSIS)

Гистоплазмоз (синонимы: болезнь Дарлинга, ретикуло-эндотелиоз, ретикуло-эндотелиальный цитомикоз; Histoplasmose -нем.; histoplasmose -франц.) относится к глубоким микозам, характеризуется полиморфизмом клинических проявлений от легких и латентных форм до прогрессирующих заболеваний, заканчивающихся смертью больного. Преобладают легочные формы гистоплазмоза.
Этиология. Возбудитель - Histoplasma capsulatum - диморфный гриб, существующий в тканевой и культуральной формах. Тканевая форма располагается в клетках органов ретикулоэндотелиальной системы (печень, селезенка, лимфатические узлы). По форме и размерам (2-4 мкм) этот микроорганизм напоминает лейшмании или токсоплазмы. Мицелиальная форма гриба никогда не встречается в тканях. Она хорошо развивается на питательных средах при температуре ниже 30° С. Гистоплазмы в обеих фазах являются патогенными для белых мышей, крыс, морских свинок, золотистых хомячков, собак. Гриб длительно сохраняется во влажной почве (6 нед) и в воде. Быстро погибает под влиянием различных дезинфицирующих препаратов.
Эпидемиология. Возбудитель болезни сохраняется в почве. В загрязнении (заражении) почвы имеет определенное значение выделение гриба инфицированными животными и птицами (летучие мыши, кошки, собаки, куры, скворцы и др.). Инфицирование людей происходит воздушно-пылевым путем. Случаев заражения человека от больных людей и животных не наблюдалось.
Гистоплазмоз широко распространен в различных странах Африки и Америки, встречается также в Европе и Азии, единичные случаи гистоплазмоза описаны в нашей стране, возможны и завозные случаи. Наиболее инфицированными являются области, расположенные от 45" до 30" к северу. Важную роль в эпидемиологии гистоплазмоза играет почва. В период дождей гистоплазма размножается в почве. Одна колония гриба диаметром 2,5 см может нести миллионы спор. После окончания периода дождей споры рассеиваются во внешней среде. Заражение происходит при вдыхании спор, в частности при проведении разного рода земляных работ (рытье траншей, строительство и т. д.). Инфекция от больных людей здоровым не передается даже при длительных тесных контактах.
Патогенез. Воротами инфекции чаще являются органы дыхания. Споры гриба с пылью попадают в бронхи и альвеолы, там они превращаются в паразитические дрожжеподобные формы, внедряются в ткани и обусловливают возникновение первичного легочного очага. С током лимфы возбудитель проникает в регионарные лимфатические узлы, вызывая в них воспалительный процесс. Наличие гриба в ткани обусловливает формирование гранулематозного процесса, который разрешается некрозом, изъязвлением или петрификацией легочной ткани и лимфатических узлов, реже абсцедированием. Эта форма напоминает первичный туберкулез легких. Антигены гистоплазм проникают в общий круг кровообращения и приводят к аллергической перестройке организма (что выявляется внутрикожной пробой с гистоплазмином) и выработке специфических антител. На этом процесс может закончиться, не давая выраженной симптоматики, иногда процесс протекает в виде инаппарантной формы. В других же случаях наступает гематогенная диссеминация гриба по всему организму с поражением многих органов. Процесс быстро прогрессирует и часто приводит к летальному исходу. В возникновении подобной формы большое значение имеет состояние иммунной системы. Такое течение, как правило, наблюдается у ВИЧ-инфицированных лиц.
Симптомы и течение. Инкубационный период длится от 4 до 30 дней (чаще 7-14 дней). Чем короче инкубационный период, тем тяжелее протекает заболевание. По клиническому течению выделяют следующие формы: 1. Острый гистойлазмоз легких: а) бессимптомная (инаппарантная) форма; б) клинически выраженные формы (легкая, средней тяжести, тяжелая). 2. Хронический прогрессирующий (кавернозный) гистоплазмоз легких. 3. Острый диссеминированный гистоплазмоз (доброкачественный, прогрессирующий). 4. Хронический диссеминированный гистоплазмоз (с поражением слизистых оболочек и кожи). Чаще всего встречается острый гистоплазмоз легких, что обусловлено аэрогенным инфицированием.
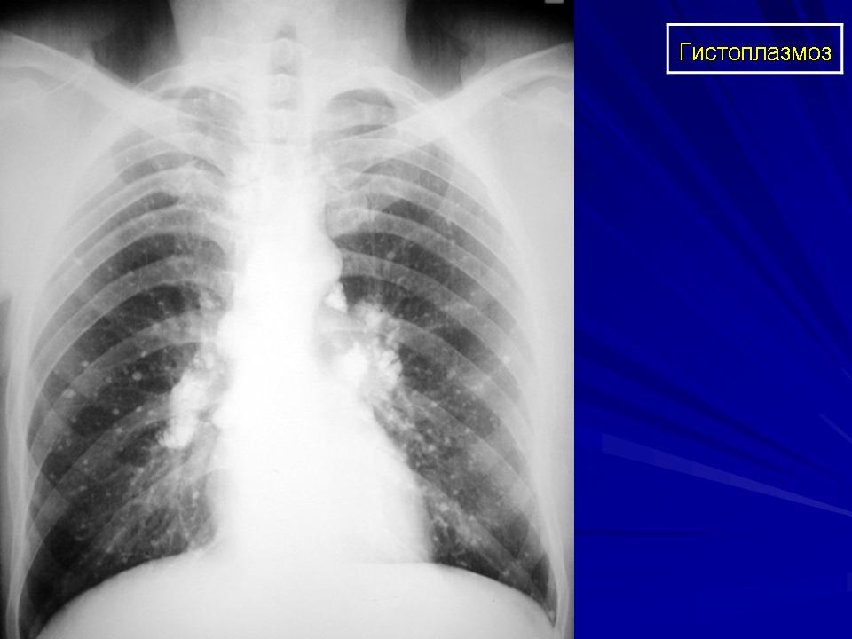
Острые формы легочного гистоплазмоза могут протекать бессимптомно и обнаруживаться лишь при постановке внутрикожной пробы с гистоплазмином, по положительным результатам серологических реакций, иногда по петрификатам в легких и прикорневых лимфатических узлах. При легких формах, которые преобладают, самочувствие больных остается хорошим, нередко они продолжают работать, лихорадка отсутствует или бывает кратковременной (3-4 дня), а общая длительность лечения 2--3 нед. При рентгенологическом исследовании выявляют усиление рисунка и увеличение тени корней легких, лишь у отдельных больных наблюдаются мелкоочаговые тени, преимущественно в нижних отделах легких.
Тяжелые формы острого гистоплазмоза легких характеризуются внезапным началом, быстрым повышением температуры тела до 40-41 °С. Температурная кривая неправильного типа с большим суточным размахом. Потрясающие ознобы сменяются диффузным потоотделением. Больные жалуются на сильную головную боль, слабость, боли в мышцах и костях, кашель, боли в груди. У некоторых больных отмечаются тошнота, рвота, понос, боли в животе. Длительность лихорадки 2-6 нед. В периоде реконвалесценции длительно наблюдается субфебрилитет, астенизация, резкое снижение трудоспособности, потливость. Эти явления сохраняются до 1 года. При перкуссии легких можно отметить некоторое укорочение звука, при аускультации - мелкопузырчатые влажные хрипы, преимущественно в нижних отделах легких.
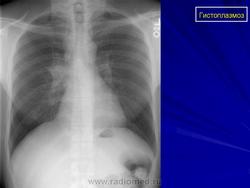
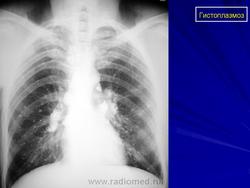
Рентгенологически выявляют крупно- и среднеочаговые тени в виде "ватных хлопьев", которые могут сливаться. В дальнейшем инфильтраты полностью исчезают или на их месте образуются очаги фиброза и кальцинации.
При среднетяжелых формах клинические и рентгенологические проявления выражены не так резко, лихорадка сохраняется около 2 нед, а продолжительность стационарного лечения около месяца.
Хронический гистоплазмоз легких протекает в виде длительной прогрессирующей болезни, периодически дающей обострения. Наблюдается умеренная лихорадка, кашель с мокротой, при рентгенологическом исследовании выявляются каверны, фиброз и множественные кальцинированные очаги.
Острая форма диссеминированного гистоплазмоза проявляется высокой лихорадкой гектического или неправильного типа, повторными ознобами и потоотделением, выраженными симптомами общей интоксикации (головная боль, мышечные и суставные боли, тошнота, рвота, боли в животе, нарастающая слабость). На этом фоне появляются множественные вторичные очаги как результат диссеминации: различного рода экзантемы (макулопапулезная, фурункулоподобная, геморрагическая, типа многоформной или узловатой эритемы), лимфаденопатия, мезаденит, увеличение печени и селезенки, энцефалит или менингоэнцефалит, септический эндокардит, язвенный колит, перитонит. Клинические и рентгенологические изменения могут напоминать милиарный туберкулез (при аэрогенном инфицировании).
Хронический диссеминированный гистоплазмоз характеризуется вялым течением, самочувствие больных вначале удовлетворительное, лихорадка не выражена, типично вовлечение в процесс кожи и слизистых оболочек. Образуются характерные язвы на языке, слизистых оболочках глотки и гортани. В дальнейшем состояние ухудшается, появляется лихорадка неправильного типа (септического), наблюдается увеличение печени, селезенки, всех групп лимфатических узлов, поражение желудка, глаз (хориоретиниты) и т. д.
Особенности гистоплазмоза у детей раннего возраста. Гистоплазмоз может наблюдаться у детей первых месяцев жизни (2-6 мес). Заболевание детей характеризуется лихорадкой (38-39° С), жидким пенистым стулом с неприятным запахом, бледностью, а иногда и умеренной желтушностью кожных покровов и слизистых оболочек, значительным увеличением печени (5-9 см ниже реберной дуги) и селезенки (3-5 см ниже реберного края), во всех случаях в процесс вовлекаются легкие. При исследовании крови отмечается прогрессирующая анемизация, лейкопения, повышенное содержание билирубина, повышается активность сывороточных ферментов (АлАТ, АсАТ, щелочной фосфатазы и др.). В периферической крови отмечается пойкилоцитоз, анизоцитоз, полихроматофилия, тромбоцитопения. Болезнь протекает как диссеминированный гистоплазмоз. Во всех случаях (до начала противомикозной терапии) можно выделить гистоплазмы из крови и из костного мозга.
Гистоплазмоз у ВИЧ-инфицированных лиц. Снижение иммунитета существенно повышает риск инфицирования гистоплазмами. Эта проблема особенно актуальна в регионах, эндемичных по гистоплазмозу. По сравнению с аспергиллезом и кандидозом гистоплазмоз встречается реже (у 0,5% больных СПИДом). В эндемичных районах США этот процент значительно выше. Гистоплазмоз у ВИЧ-инфицированных протекает как гематогенно диссеминированный процесс и характеризуется высокой лихорадкой, лимфаденопатией, значительным увеличением печени и селезенки, постоянными проявлениями служат кашель и инфильтраты в легких. При исследовании крови отмечается лейкопения и анемия. Протекает тяжело, даже в начальных стадиях ВИЧ-инфекции летальность свыше 80% (при отсутствии терапии), при раннем назначении противомикозных препаратов летальность снижается до 15%. У больных СПИДом летальность достигает 100%, и даже большие дозы амфотерицина В не предупреждают рецидивов болезни. Диагностика затрудняется отрицательными результатами как внутрикожной пробы с гистоплазмином, так и серологических реакций. При наличии гистоплазмоза (особенно диссеминированных форм) больной должен обязательно проверяться на ВИЧ-инфекцию.
Диагноз и дифференциальный диагноз. Распознавание гистоплазмоза представляет значительные трудности, особенно в районах, не эндемичных для данного заболевания. Для подтверждения диагноза используют выделение возбудителя из мокроты, соскобов со слизистой оболочки, крови, пунктатов абсцессов, лимфатических узлов, печени, селезенки, костного мозга, микроскопию мазка, выделение культуры гриба, биопробы на животных. Для подтверждения диагноза гистоплазмоза у детей раннего возраста и у ВИЧ-инфицированных наиболее информативными были методы выделения культуры из костного мозга, крови и легких. Значительно реже гистоплазмы удавалось обнаружить в тканях лимфатических узлов, кожи, головного мозга, кишечника. При диагностике гистоплазмоза у лиц с нормальной иммунной системой можно использовать серологические реакции и внутрикожную пробу с гистоплазмином. Для обнаружения специфических антител в сыворотке крови ставят РСК, реакции преципитации и агглютинации частиц латекса, нагруженных гистоплазмином. Диагностическими титрами являются 1 : 16-1 : 32. Лучше проводить исследование в динамике, особенно при острых формах гистоплазмоза, так как реакция становится положительной лишь со 2-4-й недели болезни. Очень проста кожная проба с гистоплазмином. Вводят 0,1 мл аллергена, разведенного в соотношении 1 : 1000, результаты учитывают через 24 и 48 ч. Реакция становится положительной через 3-4 нед от начала заболевания. Следовательно, наиболее быстрым и достоверным способом лабораторного подтверждения диагноза является выделение культуры гриба.
Острые формы гистоплазмоза необходимо дифференцировать от орнитоза, острых бактериальных пневмоний, лихорадки Ку, микоплазмоза, туберкулеза. Хронические формы гистоплазмоза дифференцируют от туберкулеза и легочных форм глубоких микозов (нокардиоз, аспергиллез, кокцидиоидомикоз). Диссеминированные формы гистоплазмоза дифференцируют от сепсиса и милиарного туберкулеза.
 

Катенёв Валентин Львович аватар
Не на сайте
Был на сайте: 7 лет 5 месяцев назад
Зарегистрирован: 22.03.2008 - 22:15
Публикации: 54876

Продолжение.

Приложения: 
1.gi_.slayd1_.jpg
Катенёв Валентин Львович аватар
Не на сайте
Был на сайте: 7 лет 5 месяцев назад
Зарегистрирован: 22.03.2008 - 22:15
Публикации: 54876

Продолжение.

Приложения: 
1.g.slayd142.jpg2.g.slayd143.jpg3.g.slayd144.jpg
Катенёв Валентин Львович аватар
Не на сайте
Был на сайте: 7 лет 5 месяцев назад
Зарегистрирован: 22.03.2008 - 22:15
Публикации: 54876

СПИД + гистоплазмоз.

Приложения: 
1.g.slayd135.jpg
Катенёв Валентин Львович аватар
Не на сайте
Был на сайте: 7 лет 5 месяцев назад
Зарегистрирован: 22.03.2008 - 22:15
Публикации: 54876

Гистоплазмоз.

Приложения: 
1.gisto_.slayd159.jpg2.gisto_.slayd160.jpg3.gistoslayd161.jpg4.gisto_.slayd162.jpg
Катенёв Валентин Львович аватар
Не на сайте
Был на сайте: 7 лет 5 месяцев назад
Зарегистрирован: 22.03.2008 - 22:15
Публикации: 54876

 

Гистоплазмоз

Histoplasma capsulatum — диморфный гриб, который обнаруживается в основном во влажной почве; вопреки своему названию, он не имеет капсулы. Заболевание эндемично для Юга и Среднего Запада США, а также Центральной Америки и Африки. Вдыхание конидий (спор гриба) может привести к гранулематозному заболеванию у лиц с нормальным иммунитетом. У ВИЧ-инфицированных с иммунодефицитом (у 85% заболевших число лимфоцитов CD4 менее 100 мкл -1) развивается острое угрожающее жизни заболевание с сухим кашлем, лихорадкой, одышкой и слабостью (McKinsey, 1998). В дифференциальной диагностике важное место занимают милиарный туберкулез и пневмоцистная пневмония. Возможна диссеминация инфекции, в этих случаях гриб можно обнаружить к костном мозге и печени (Albrecht, 1994). Описаны случаи язвенного поражения кожи (Calza, 2003; Scheinfeld, 2003).
Гистоплазмоз относится к критериям СПИДа. Чувствительный метод диагностики — выявление антигена в крови. Нередко бывает повышенной активность ЛДГ и ЩФ, а также аминотрансфераз. Начинать лечение следует с амфотерицина B. Липосомный амфотерицин B (3 мг/кг/сут) не только менее токсичен, но и, по некоторым данным, более эффективен (Johnson, 2002). В легких случаях эффективен итраконазол (200 мг 2 или 3 раза в сутки), его можно использовать и для вторичной профилактики. Он существенно эффективнее флуконазола (Wheat, 2002), но вступает в множественные лекарственные взаимодействия, в особенности с ритонавиром (Crommentuyn, 2004). При достаточном восстановлении иммунитета вторичную профилактику гистоплазмоза можно прекратить (Goldman, 2004). 

Катенёв Валентин Львович аватар
Не на сайте
Был на сайте: 7 лет 5 месяцев назад
Зарегистрирован: 22.03.2008 - 22:15
Публикации: 54876

Клиника. Гистоплазмоз легких протекает как острое или хроническое, эпидемическое заболевание. Инкубационный период— 1-2 нед. Атипическая пневмония сопровождается увеличением лимфатических узлов, гектической лихорадкой. В крови — нейтрофильный лейкоцитоз, моноцитоз, анемия, увеличенная СОЭ. Рентгенологически — хлопьевидные тени, усиление корней легких. При повторной инфекции развивается хронический полостной гистоплазмоз, сходный с туберкулезом. Возможна диффузная интерстициальная пневмония с исходом в милиарную кальцификацию легких. Может сформироваться округлый инфильтрат — гистоплазмома. Медиастинальная форма протекает с увеличением медиастинальных лимфатических узлов, ведущим к стенозированию бронхов, трахеи, пищевода. Продолжительность заболевания — до 8-12 мес. Наибольшая смертность наблюдается в первые 6 нед. Хронический диссеминированный гистоплазмоз наблюдается у ослабленных больных туберкулезом, опухолями, лейкозом.

Катенёв Валентин Львович аватар
Не на сайте
Был на сайте: 7 лет 5 месяцев назад
Зарегистрирован: 22.03.2008 - 22:15
Публикации: 54876
Катенёв Валентин Львович аватар
Не на сайте
Был на сайте: 7 лет 5 месяцев назад
Зарегистрирован: 22.03.2008 - 22:15
Публикации: 54876
Катенёв Валентин Львович аватар
Не на сайте
Был на сайте: 7 лет 5 месяцев назад
Зарегистрирован: 22.03.2008 - 22:15
Публикации: 54876

Гистоплазмоз

 

min120610-15+.jpgmin120609-43+.jpgmin120614-5+.jpg 
M. 54 a.  Histoplasmose cerebral, RM 9/2011. Hidrocefalia, pequenas lesões periventriculares Idem, RM 3/2012. Obliteração do III ventrículo Idem, TC 3/2012. Obliteração do III ventrículo  e pequeno nódulo calcificado no corno anterior do ventrículo lateral 
minDSCh34326++.jpg   
 
Катенёв Валентин Львович аватар
Не на сайте
Был на сайте: 7 лет 5 месяцев назад
Зарегистрирован: 22.03.2008 - 22:15
Публикации: 54876

Гистоплазмоз

Приложения: 
1.slayd12..yub_.jpg1.slayd18..yub_.jpg