Селезёнки патология. Пнд, 09/09/2013 - 22:59 #1 Катенёв Валенти... Не на сайте Был на сайте: 7 лет 4 месяцев назад Зарегистрирован: 22.03.2008 - 22:15 Публикации: 54876 Спленомегалия Figure 46: Splenomegaly, contrast enhanced CT Пнд, 09/09/2013 - 23:00 #2 Катенёв Валенти... Не на сайте Был на сайте: 7 лет 4 месяцев назад Зарегистрирован: 22.03.2008 - 22:15 Публикации: 54876 Киста селезенки Figure 48: Spleen cyst, contrast enhanced CT Пнд, 23/09/2013 - 21:48 #3 Катенёв Валенти... Не на сайте Был на сайте: 7 лет 4 месяцев назад Зарегистрирован: 22.03.2008 - 22:15 Публикации: 54876 Полиспления ID: 18841 Polysplenia syndrome Dr Ian Bickle - 24 Jul 2012 Features of polysplenia syndrome (aka left sidedness or left isomerism) ... ID: 12761 Polysplenia syndrome , situs ambiguous, rectal mass Dr Amro Nazih Omar - 7 Jan 2011 Axial CECT demonstrates polysplenia, situs ambiguous, absent IVC an... Случаи и цифры Дело 1 Случай 2: Случай 3: Случай 4 Случай 5: situs inversus abdominalis
Спленомегалия
Киста селезенки
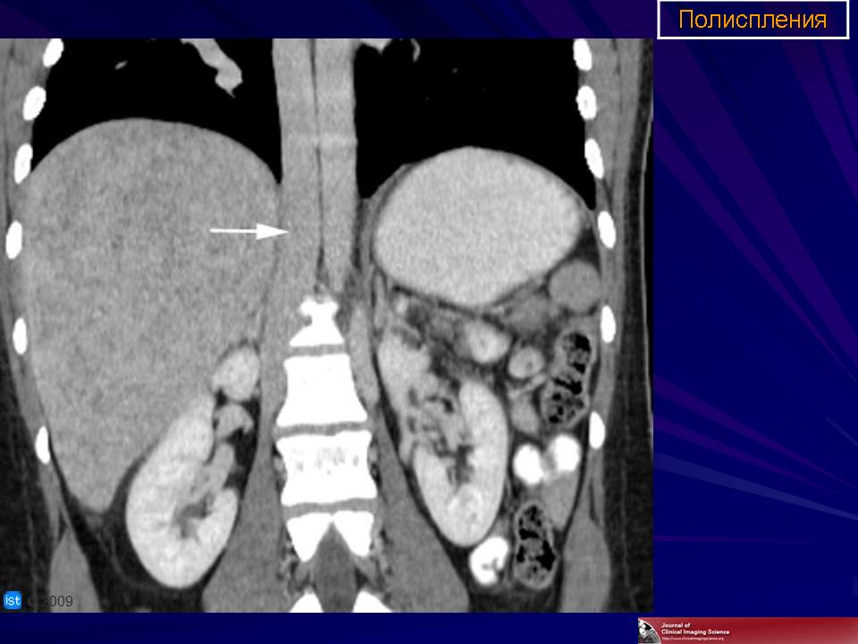
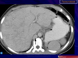
Полиспления
ID: 18841 Polysplenia syndrome Dr Ian Bickle - 24 Jul 2012 Features of polysplenia syndrome (aka left sidedness or left isomerism) ...
ID: 12761 Polysplenia syndrome , situs ambiguous, rectal mass Dr Amro Nazih Omar - 7 Jan 2011 Axial CECT demonstrates polysplenia, situs ambiguous, absent IVC an...
Случаи и цифры