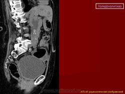
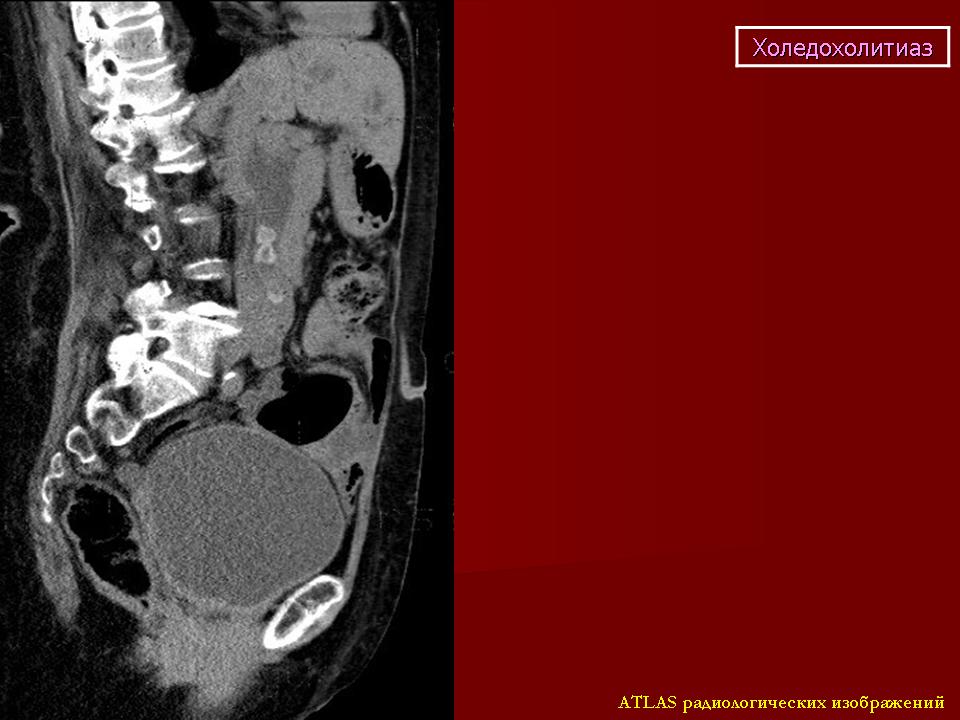
Желчевыделительной системы патология. Чт, 05/05/2011 - 01:46 #1 Катенёв Валенти... Не на сайте Был на сайте: 7 лет 2 месяцев назад Зарегистрирован: 22.03.2008 - 22:15 Публикации: 54876 Аденокарцинома.Приложения: Вс, 05/06/2011 - 00:28 #2 Катенёв Валенти... Не на сайте Был на сайте: 7 лет 2 месяцев назад Зарегистрирован: 22.03.2008 - 22:15 Публикации: 54876 Продолжение.Приложения: Пт, 30/08/2013 - 20:40 #3 Катенёв Валенти... Не на сайте Был на сайте: 7 лет 2 месяцев назад Зарегистрирован: 22.03.2008 - 22:15 Публикации: 54876 Острый холецистит ID: 16768 Acute calculous cholecystitis Dr M Osama Yonso - 18 Feb 2012 ID: 17787 Acute cholecystitis Dr Bruno Di Muzio - 12 May 2012 Acute cholecystitis is inflammation of the gallbladder that develops ove... ID: 9810 Acute cholecystitis Dr Stefan Ludwig - 26 May 2010 83 year old male with acute cholecystitis with intramural abscesses. ID: 21192 Acute cholecystitis Dr Saeed Soltany Hosn - 8 Jan 2013 Thickening and mild enhancement of the gallbladder wall associated with ... Пнд, 09/09/2013 - 22:41 #4 Катенёв Валенти... Не на сайте Был на сайте: 7 лет 2 месяцев назад Зарегистрирован: 22.03.2008 - 22:15 Публикации: 54876 Поликистоз печени Figure 17: Polycystic liver, contrast enhanced CT Пнд, 09/09/2013 - 22:44 #5 Катенёв Валенти... Не на сайте Был на сайте: 7 лет 2 месяцев назад Зарегистрирован: 22.03.2008 - 22:15 Публикации: 54876 Гемангиомы печени Figure 19: Hemangioma in the liver, native CT Figure 20: Hemangioma in the liver, contrast enhanced CT Figure 21: Hemangioma in the liver, T2 weighted MRI Пнд, 09/09/2013 - 22:46 #6 Катенёв Валенти... Не на сайте Был на сайте: 7 лет 2 месяцев назад Зарегистрирован: 22.03.2008 - 22:15 Публикации: 54876 Абсцесс печени Figure 30: Abscess in the liver, native CT Втр, 01/04/2014 - 10:46 #7 Катенёв Валенти... Не на сайте Был на сайте: 7 лет 2 месяцев назад Зарегистрирован: 22.03.2008 - 22:15 Публикации: 54876 Пневмобилия Приложения:
Аденокарцинома.
Продолжение.
Острый холецистит
ID: 16768 Acute calculous cholecystitis Dr M Osama Yonso - 18 Feb 2012
ID: 17787 Acute cholecystitis Dr Bruno Di Muzio - 12 May 2012 Acute cholecystitis is inflammation of the gallbladder that develops ove...
ID: 9810 Acute cholecystitis Dr Stefan Ludwig - 26 May 2010 83 year old male with acute cholecystitis with intramural abscesses.
ID: 21192 Acute cholecystitis Dr Saeed Soltany Hosn - 8 Jan 2013 Thickening and mild enhancement of the gallbladder wall associated with ...
Поликистоз печени
Гемангиомы печени
Абсцесс печени
Пневмобилия