Онкология. КСС. Хордома. +

Хордома.

Хотя хордома может возникнуть в любом отделе позвоночного столба, наиболее излюбленными местами локализации этой опухоли являются 1-й шейный позвонок и пояснично-крестцовый отдел позвоночника. Это достаточно редкое заболевание. Чаще всего хордома возникает у мужчин среднего возраста. По данным рентгенографии, компьютерной томографии, магнитно-резонансной томографии можно поставить только предварительный диагноз. Для подтверждения диагноза необходимо проведение биопсии (забор кусочка опухолевой ткани с проведением микроскопического исследования). Лечение хирургическое. Прогноз зависит от размеров опухоли, наличия осложнений и общего состояния пациента.

 

Доброкачественная опухоль из хордальной ткани - хордома

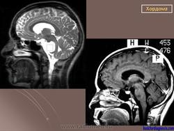
Хордома развивается из персистирующих остатков хорды. Преимущественная локализация хордомы - это область сфеноокципитального сочленения и крестцово-копчиковый отдел позвоночника. Сведения о частоте отдельных форм хордомы весьма разноречивы.
Jaffe приводит следующие данные: кранильные хордомы - в 35%, вертебральные - в 10%, каудальные - 55%. По данным С. А. Рейнберга, 60% всех хордом определяется в области крестца, в частности, 40% У основания копчика и только небольшой процент хордом локализуется в области основания черепа.
Возраст больных разнообразный: редко - у детей и юношей; чаще - в зрелом возрасте. Мужчины заболевают чаще, чем женщины. Клинически хордома может быть доброкачественной и злокачественной. Некоторые авторы (С. А. Рейнберг) относят хордому к злокачественным новообразованиям.
Хордомы могут достигать больших размеров, особенно при их локализации в каудальном отделе позвоночника. Клиническая картина во многом зависит от направления роста хордомы. При росте в спинномозговой канал опухоль вызывает симптомы сдавления спинного мозга, конского хвоста и корешков нервов.
Рентгенологическая картина хордом характеризуется наличием очага деструкции, захватывающего ряд позвонков. Костный дефект представляется однородным, либо крупнокамерным за счет тонких костных полосок. Показаны боковые рентгенограммы крестца, на которых при хордоме определяется увеличение передне-заднего размера крестца за счет экспансивного роста опухоли. В отдельных случаях в опухоли прослеживаются небольшие костные включения, которые могут служить поводом для ошибочной диагностики тератом, особенно в детском возрасте. (В детском возрасте тератомы встречаются часто, их соотношение с хордомами, по данным М. В. Волкова, 60:2).
Лечение хордом - оперативное. В случаях нерадикального хирургического вмешательства могут возникать рецидивы опухоли.

Катенёв Валентин Львович аватар
Не на сайте
Был на сайте: 6 лет 11 месяцев назад
Зарегистрирован: 22.03.2008 - 22:15
Публикации: 54876

Для хордом различных локализаций, выявлены наиболее характерные симптомы. Так, селлярные хордомы чаще проявляются глазодвигательными нарушениями (III нерв - 43%, VI нерв - 59%), и у трети больных эндокринными нарушениями (чаще гипотиреоз, гипокортицизм, гипогонадизм). У больных с хордомами ската типичными симптомами были поражение отводящего (79%), тройничного нерва (65%) и туловищная атаксия (55%). Симптомы поражения VII, VIII, IX или X черепных нервов были у трети больных с этой локализацией опухоли. Клиника при локализации хордом в краниовертебральной области представлена, как правило, характерным симптомокомплексом. Поражаются черепные нервы с VI по XII (VI -53%, VII - 33%, VIII - 27%, IX и X - 77%, XI - 48%, XII - 62%), у части больных имеют место тетрапарез или гемипарез. Нередко обращает на себя внимание вынужденное положение головы или ограничение объёма движений (поворотов и наклонов головы), боль и "хруст" в шее.

Приложения: 
1..slayd8_.jpg1.hor_.ad_.slayd13.jpg3..slayd10.jpg22.h.slayd3_.jpg
Катенёв Валентин Львович аватар
Не на сайте
Был на сайте: 6 лет 11 месяцев назад
Зарегистрирован: 22.03.2008 - 22:15
Публикации: 54876

Продолжение.

Приложения: 
6.h.slayd250.jpg7.h.slayd251.jpg8.h.slayd252.jpg9.h.slayd253.jpg10.h.slayd255.jpg
Катенёв Валентин Львович аватар
Не на сайте
Был на сайте: 6 лет 11 месяцев назад
Зарегистрирован: 22.03.2008 - 22:15
Публикации: 54876

Продолжение.

Приложения: 
1.h.slayd158.jpg2.h.slayd159.jpg3.h.slayd160.jpg
Катенёв Валентин Львович аватар
Не на сайте
Был на сайте: 6 лет 11 месяцев назад
Зарегистрирован: 22.03.2008 - 22:15
Публикации: 54876

Крестцово-копчиковая хордома.

 

Приложения: 
1.hor_.slayd14.jpg2.hor_.slayd15.jpg