Орбитальная патология. Онк. Рабдомиосаркома. Орбитальная нейрофиброма. +

Рабдомиосаркома.

Катенёв Валентин Львович аватар
Не на сайте
Был на сайте: 7 лет 2 месяцев назад
Зарегистрирован: 22.03.2008 - 22:15
Публикации: 54876

Продолжение.

Приложения: 
3.r.slayd14.jpg4.r.slayd15.jpg5.r.slayd16.jpg6.r.slayd17.jpg
Катенёв Валентин Львович аватар
Не на сайте
Был на сайте: 7 лет 2 месяцев назад
Зарегистрирован: 22.03.2008 - 22:15
Публикации: 54876

Продолжение.

Приложения: 
1.r.slayd215.jpg2.r.slayd216.jpg3.r.slayd217.jpg
Катенёв Валентин Львович аватар
Не на сайте
Был на сайте: 7 лет 2 месяцев назад
Зарегистрирован: 22.03.2008 - 22:15
Публикации: 54876

Продолжение.

Приложения: 
1.rabdo_.slayd51.jpg
Катенёв Валентин Львович аватар
Не на сайте
Был на сайте: 7 лет 2 месяцев назад
Зарегистрирован: 22.03.2008 - 22:15
Публикации: 54876

Продолжение.

Приложения: 
1.bab_.slayd9_.jpg2.rab_.slayd10.jpg3.rab_.slayd11.jpg
Катенёв Валентин Львович аватар
Не на сайте
Был на сайте: 7 лет 2 месяцев назад
Зарегистрирован: 22.03.2008 - 22:15
Публикации: 54876

Орбитальная нейрофиброма.

Приложения: 
1._orb._neyrofibr.slayd109.jpg
Катенёв Валентин Львович аватар
Не на сайте
Был на сайте: 7 лет 2 месяцев назад
Зарегистрирован: 22.03.2008 - 22:15
Публикации: 54876

 

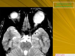
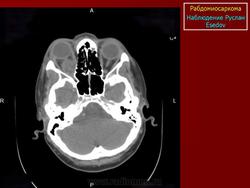
Рабдомиосаркома — чрезвычайно агрессивная опухоль орбиты, является наиболее частой причиной злокачественного роста в орбите у детей. Мальчики болеют почти в 2 раза чаще. Источником роста рабдомиосаркомы являются клетки скелетных мышц. Выделены три типа опухоли: эмбриональный, альвеолярный и плеоморфный, или дифференцированный. Последний тип встречается редко. У детей до 5 лет чаще развивается эмбриональный тип опухоли, после 5 лет — альвеолярный. Как правило, рабдомиосаркома состоит из элементов нескольких типов (смешанный вариант). Точный диагноз можно установить только на основании результатов электронной микроскопии.

В последние годы изучены иммуногистохимические признаки рабдомиосаркомы. Выявление миоглобинантител к мышечным протеинам, десмин-мышечноспецифичного и виметин-мезенхимального интермедиарных филаментов облегчает диагностику и позволяет уточнить прогноз заболевания. Показано, что миоглобинсодержащая рабдомиосаркома более чувствительна к химиотерапии, чем десминсодержащая.

Излюбленная локализация опухоли — верхневнутренний квадрант орбиты, поэтому в процесс рано вовлекаются мышца, поднимающая верхнее веко, и верхняя прямая мышца. Птоз, ограничение движений глаза, смещение его книзу и книзу кнутри — это первые признаки, на которые обращают внимание как сами больные, так и окружающие лица. У детей экзофтальм или смещение глаза при локализации опухоли в переднем отделе орбиты развивается в течение нескольких недель (рис. 20.23, а). У взрослых опухоль растет медленнее, в течение нескольких месяцев. Быстрое увеличение экзофтальма сопровождается появлением застойных изменений в эписклеральных венах, глазная щель полностью не смыкается, отмечаются инфильтраты на роговице и ее изъязвление. На глазном дне — застойный диск зрительного нерва. Первично развиваясь вблизи верхневнутренней стенки орбиты, опухоль быстро разрушает прилежащую тонкую костную стенку, прорастает в полость носа, вызывая носовые кровотечения. Ультразвуковое сканирование, компьютерная томография, термография и тонкоигольная аспирационная биопсия — это оптимальный диагностический комплекс инструментальных методов исследования при рабдомиосаркоме (рис. 20.23, б). Лечение комбинированное. Протокол лечения предусматривает предварительное проведение полихимиотерапии в течение 2 нед, после чего проводят наружное облучение орбиты. После комбинированного лечения более 3 лет живут 71 % больных.

Катенёв Валентин Львович аватар
Не на сайте
Был на сайте: 7 лет 2 месяцев назад
Зарегистрирован: 22.03.2008 - 22:15
Публикации: 54876

Рабдомиосаркома.

 

Приложения: 
1.rabdo_.slayd239.jpg