Эмфизематозный пиелонефрит (пиелит). Втр, 27/12/2011 - 16:55 #1 Катенёв Валенти... Не на сайте Был на сайте: 7 лет 5 месяцев назад Зарегистрирован: 22.03.2008 - 22:15 Публикации: 54876 Эмфизематозный пиелонефритПриложения: Пт, 30/08/2013 - 21:04 #2 Катенёв Валенти... Не на сайте Был на сайте: 7 лет 5 месяцев назад Зарегистрирован: 22.03.2008 - 22:15 Публикации: 54876 Острый пиелонефрит ID: 6628 Acute pyelonephritis Dr Gagandeep Singh - 25 Jul 2009 Right sided acute bacterial pyelonephritis.Note the absence of a cortica... ID: 18306 Acute suppurative pyelonephritis Dr Hani Alsalam - 28 Jun 2012 Acute suppurative pyelonephritis in a diabetic patient. Пт, 30/08/2013 - 21:47 #3 Катенёв Валенти... Не на сайте Был на сайте: 7 лет 5 месяцев назад Зарегистрирован: 22.03.2008 - 22:15 Публикации: 54876 Эмфизематозный пиелонефрит ID: 12239 Emphysematous pyelitis Dr Nasir Siddiqui - 2 Nov 2010 Gas within the transplanted right renal pelvis with mild hydronephrosis ... ID: 20237 Emphysematous pyelitis Dr Zeyad Metwalli - 8 Nov 2012 Foci of air which conform to the renal calyces in this diabetic patient ... ID: 17283 Emphysematous pyelonephritis Dr Maulik S Patel - 1 Apr 2012 Emphysematous pyelonephritis ID: 24370 Emphysematous pyelonephritis Dr Ian Bickle - 10 Aug 2013 This is a case of emphysematous pyelonephritis. This constitutes only a... ID: 23334 Emphysematous pyelonephritis Dr MT Niknejad - 7 Jun 2013 The CT findings in a 76 Y/O diabetic patient with fever , flank pain and... ID: 10632 Emphysematous pyelonephritis Dr Wael Nemattalla - 28 Aug 2010 ID: 21854 Emphysematous pyelonephritis Dr Jose Miguel Terrazas Najera - 22 Feb 2013 Related article: emphysematous pyelonephritis pyelonephritis ID: 21473 Emphysematous pyelonephritis - on xray Dr MT Niknejad - 25 Jan 2013 The findings of the abdominal xray are consistent of emphysematous pyelo... Втр, 01/10/2013 - 22:27 #4 Катенёв Валенти... Не на сайте Был на сайте: 7 лет 5 месяцев назад Зарегистрирован: 22.03.2008 - 22:15 Публикации: 54876 Хронический пиелонефрит ID: 15479 Chronic pyelonephritis Dr Roberto Schubert - 20 Oct 2011 Случаи и цифры Случай 1: острый пиелонефрит Случай 2: ксантогранулематозный пиелонефрит Случай 3 Случай 4: эмфизематный пиелонефрит Случай 5: хронический пиелонефрит со шрамами Случай 6 Случай 7: на МРТ-DWI Случай 8 Случай 9 Чт, 27/03/2014 - 11:39 #5 Катенёв Валенти... Не на сайте Был на сайте: 7 лет 5 месяцев назад Зарегистрирован: 22.03.2008 - 22:15 Публикации: 54876 Из литературных источников. Приложения: Сб, 10/03/2018 - 14:17 #6 Катенёв Валенти... Не на сайте Был на сайте: 7 лет 5 месяцев назад Зарегистрирован: 22.03.2008 - 22:15 Публикации: 54876 Эмфизематозный пиелонефрит. http://www.nejm.org/doi/full/10.1056/NEJMicm1501812 Приложения: Ср, 11/04/2018 - 11:53 #7 Катенёв Валенти... Не на сайте Был на сайте: 7 лет 5 месяцев назад Зарегистрирован: 22.03.2008 - 22:15 Публикации: 54876 Эмфизематозный пиелонефрит Случаи и цифры Дело 1 Случай 2: класс 4 Случай 3 Случай 4 Случай 5 Случай 6 Случай 7: левая почка Случай 8 Случай 9 Случай 10 Случай 11 Случай 12: двусторонний Случай 13 Случай 14 Случай 15 Случай 16 Дифференциальная диагностика изображения Эмфизематозный пиелит Ср, 11/04/2018 - 11:55 #8 Катенёв Валенти... Не на сайте Был на сайте: 7 лет 5 месяцев назад Зарегистрирован: 22.03.2008 - 22:15 Публикации: 54876 Эмфизематозный пиелит Случаи и цифры Дело 1 Случай 2 Случай 3 Дифференциальная диагностика изображения Эмфизематозный пиелонефрит Эмфизематозный цистит Пт, 24/08/2018 - 18:19 #9 Катенёв Валенти... Не на сайте Был на сайте: 7 лет 5 месяцев назад Зарегистрирован: 22.03.2008 - 22:15 Публикации: 54876 Продолжение. Приложения:
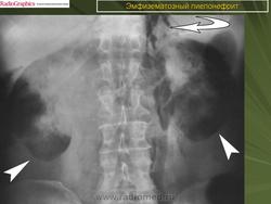
Эмфизематозный пиелонефрит
Острый пиелонефрит
ID: 6628 Acute pyelonephritis Dr Gagandeep Singh - 25 Jul 2009 Right sided acute bacterial pyelonephritis.Note the absence of a cortica...
ID: 18306 Acute suppurative pyelonephritis Dr Hani Alsalam - 28 Jun 2012 Acute suppurative pyelonephritis in a diabetic patient.
Эмфизематозный пиелонефрит
ID: 12239 Emphysematous pyelitis Dr Nasir Siddiqui - 2 Nov 2010 Gas within the transplanted right renal pelvis with mild hydronephrosis ...
ID: 20237 Emphysematous pyelitis Dr Zeyad Metwalli - 8 Nov 2012 Foci of air which conform to the renal calyces in this diabetic patient ...
ID: 17283 Emphysematous pyelonephritis Dr Maulik S Patel - 1 Apr 2012 Emphysematous pyelonephritis
ID: 24370 Emphysematous pyelonephritis Dr Ian Bickle - 10 Aug 2013 This is a case of emphysematous pyelonephritis. This constitutes only a...
ID: 23334 Emphysematous pyelonephritis Dr MT Niknejad - 7 Jun 2013 The CT findings in a 76 Y/O diabetic patient with fever , flank pain and...
ID: 10632 Emphysematous pyelonephritis Dr Wael Nemattalla - 28 Aug 2010
ID: 21854 Emphysematous pyelonephritis Dr Jose Miguel Terrazas Najera - 22 Feb 2013 Related article: emphysematous pyelonephritis pyelonephritis
ID: 21473 Emphysematous pyelonephritis - on xray Dr MT Niknejad - 25 Jan 2013 The findings of the abdominal xray are consistent of emphysematous pyelo...
Хронический пиелонефрит
ID: 15479 Chronic pyelonephritis Dr Roberto Schubert - 20 Oct 2011
Случаи и цифры
Из литературных источников.
Эмфизематозный пиелонефрит.
http://www.nejm.org/doi/full/10.1056/NEJMicm1501812
Эмфизематозный пиелонефрит
Случаи и цифры
Дифференциальная диагностика изображения
Эмфизематозный пиелит
Случаи и цифры
Дифференциальная диагностика изображения
Продолжение.