Средостение это часть грудной полости, ограниченная спереди - грудиной, частично реберными хрящами и позадигрудинной фасцией, сзади - передней поверхностью грудного отдела позвоночника, шейками ребер и предпозвоночной фасцией, с боков - листками средостенной плевры, снизу средостение ограничено диафрагмой, а сверху - горизонтальной плоскостью, проведенной через верхний край рукоятки грудины. До настоящего времени не утратила своего значения схема деления средостения, предложенная Твайнингом в 1938 году. Проведенные две горизонтальные плоскости (выше и ниже корней легких) и две вертикальные плоскости (спереди и сзади корней легких) позволяют выделить в средостении три отдела: передний, центральный, задний и три этажа: верхний, средний, нижний. Разделение средостения на перечисленные отделы дает возможность на основании рентгенологического исследования четко определить локализацию патологического образования. Заболевания средостения имеют различные рентгенологические проявления, в виде диффузного или ограниченного расширения срединной тени; изменения структуры срединной тени и смещения тени средостения. Ограниченное расширение срединной тени может быть обусловлено: опухолями, кистами переднего и заднего средостения; конгломератом лимфатических узлов; аневризмой аорты и праволежащей аортой. Среди опухолей переднего отдела средостения, вызывающих ограниченное расширение срединной тени, тимомы обнаруживаются чаще всего. Они могут возникнуть в любом возрасте, преимущественно у пациентов на пятом и шестом десятилетии жизни. Рис. 1а,б. Б-ной К. 1938 года рождения. Обзорные рентгенограммы органов грудной клетки в прямой и левой боковой проекции. Средостение на уровне передних отрезков IV ребер расширено влево дополнительным образованием, расположенным в среднем и нижнем этажах переднего отдела средостении. Наружные контуры его четкие, поверхность ровная. Рис. 2а,б,в,г. КТ-ангиография. В среднем и нижнем этажах переднего средостения неправильной формы, кистозно-солидной структуры, с четкими контурами образование, верхний полюс которого расположен под дугой аорты, а нижний достигает диафрагмы. На фоне введения контрастного вещества неравномерно повышает свою плотность. Бифуркация трахеи, левый главный бронх, легочная артерия умеренно оттеснены вправо. Заключение: тимома, учитывая четкие контуры, вероятнее всего, доброкачественной природы. Гистологическое исследование послеоперационного материала - тимома, тип АВ. Следует помнить, что при выявлении дополнительного образования в переднем отделе средостения дифференциальную диагностику необходимо проводить с загрудинным зобом; злокачественными опухолями вилочковой железы, кистами вилочковой железы; дермоидными кистами и тератомами; аневризмой восходящего отдела аорты, увеличенными лимфатическими узлами и грудинно-реберными грыжами диафрагмы.
Тимолипома. Как подойти к диагностике? Судя по представленным снимкам, если neo преимущественно жировой структуры локализуется типично для тимомы в переневерхнем средостении + протяженность, объем neo большие и neo выглядит цельным образованием, не составляющими-фрагментами.
Тимома.
Расширение средостения
Средостение это часть грудной полости, ограниченная спереди - грудиной, частично реберными хрящами и позадигрудинной фасцией, сзади - передней поверхностью грудного отдела позвоночника, шейками ребер и предпозвоночной фасцией, с боков - листками средостенной плевры, снизу средостение ограничено диафрагмой, а сверху - горизонтальной плоскостью, проведенной через верхний край рукоятки грудины.
До настоящего времени не утратила своего значения схема деления средостения, предложенная Твайнингом в 1938 году. Проведенные две горизонтальные плоскости (выше и ниже корней легких) и две вертикальные плоскости (спереди и сзади корней легких) позволяют выделить в средостении три отдела: передний, центральный, задний и три этажа: верхний, средний, нижний.
Разделение средостения на перечисленные отделы дает возможность на основании рентгенологического исследования четко определить локализацию патологического образования.
Заболевания средостения имеют различные рентгенологические проявления, в виде диффузного или ограниченного расширения срединной тени; изменения структуры срединной тени и смещения тени средостения.
Ограниченное расширение срединной тени может быть обусловлено: опухолями, кистами переднего и заднего средостения; конгломератом лимфатических узлов; аневризмой аорты и праволежащей аортой.
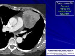
Среди опухолей переднего отдела средостения, вызывающих ограниченное расширение срединной тени, тимомы обнаруживаются чаще всего. Они могут возникнуть в любом возрасте, преимущественно у пациентов на пятом и шестом десятилетии жизни.
Рис. 1а,б. Б-ной К. 1938 года рождения. Обзорные рентгенограммы органов грудной клетки в прямой и левой боковой проекции.
Средостение на уровне передних отрезков IV ребер расширено влево дополнительным образованием, расположенным в среднем и нижнем этажах переднего отдела средостении. Наружные контуры его четкие, поверхность ровная.
Рис. 2а,б,в,г. КТ-ангиография. В среднем и нижнем этажах переднего средостения неправильной формы, кистозно-солидной структуры, с четкими контурами образование, верхний полюс которого расположен под дугой аорты, а нижний достигает диафрагмы. На фоне введения контрастного вещества неравномерно повышает свою плотность. Бифуркация трахеи, левый главный бронх, легочная артерия умеренно оттеснены вправо.
Заключение: тимома, учитывая четкие контуры, вероятнее всего, доброкачественной природы.
Гистологическое исследование послеоперационного материала - тимома, тип АВ.
Следует помнить, что при выявлении дополнительного образования в переднем отделе средостения дифференциальную диагностику необходимо проводить с загрудинным зобом; злокачественными опухолями вилочковой железы, кистами вилочковой железы; дермоидными кистами и тератомами; аневризмой восходящего отдела аорты, увеличенными лимфатическими узлами и грудинно-реберными грыжами диафрагмы.
Из литературных источников.
Злокачественная тимома.
Рак вилочковой железы.
Тимолипома. Как подойти к диагностике? Судя по представленным снимкам, если neo преимущественно жировой структуры локализуется типично для тимомы в переневерхнем средостении + протяженность, объем neo большие и neo выглядит цельным образованием, не составляющими-фрагментами.