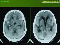
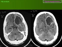
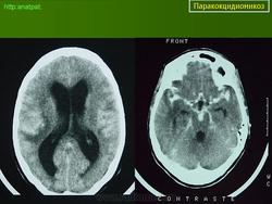
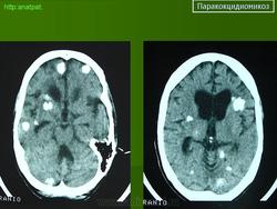
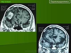
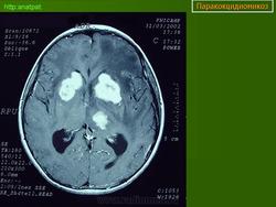
ГМ. Паракокцидиомикоз. +

Паракокцидиомикоз.

 

Катенёв Валентин Львович аватар
Не на сайте
Был на сайте: 7 лет 3 месяцев назад
Зарегистрирован: 22.03.2008 - 22:15
Публикации: 54876

anatpat.

Множественные "узловые образования" имитирующие метастазы.

Приложения: 
140914-5a.jpg140914-10a.jpg140914-1723.jpg140914-27.jpg140914-32.jpg140914-38.jpg140914-40.jpg140914-41.jpg140914-43.jpg140914-44.jpg140914-47.jpg140914-48.jpg140914-49.jpgdsch43635.jpgdsch43637.jpgdsch43639.jpgdsch43642.jpgdsch43643.jpg