Эпендимобластома Внутрижелудочковая глиома, растущая обычно у детей из незрелых эпендимных клеток – эпендимобластов. В связи с этим растет быстрее эпендимомы (см.) и отличается от нее более интенсивной инфильтрацией ткани мозга в зоне расположения матрикса опухоли. Встречается редко. Тотальное удаление проблематично. В связи с этим после операции обычно проводится курс лучевой терапии.
Эпендимобластома — редкая эмбриональная опухоль больших полушарий головного мозга, имеющая признаки эпендимарной дифференцировки в виде скоплений истинных розеток. В подавляющем большинстве случаев она обнаруживается у детей в возрасте до 5 лет. Прогноз при эпендимобластоме неблагопрятный. У всех больных в короткие сроки развиваются послеоперационный рецидив и имплантационные метастазы.
Выживаемость пациентов обычно не превышает одного года. Макроскопически опухоль имеет вид плотного, четко отграниченного бело-розового узла, расположенного преимущественно перивентрикулярно. Под микроскопом ткань новообразования состоит из мелких мономорфных клеток с гиперхромными ядрами. В отдельных участках выявляются скопления эпендимарных розеток.
Эпендимобластома отличается от злокачественной эпендимомы отсутствием периваскулярных псевдорозеток, а также структурой истинных розеток — в эпендимобластоме эпителий розеток многорядный, а в его клетках выявляются множественные фигуры митоза.
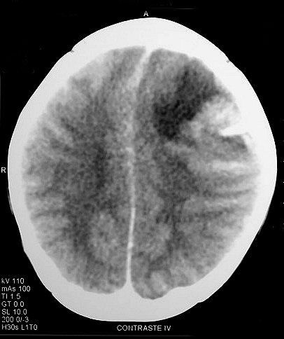
Эпендимобластома Внутрижелудочковая глиома, растущая обычно у детей из незрелых эпендимных клеток – эпендимобластов. В связи с этим растет быстрее эпендимомы (см.) и отличается от нее более интенсивной инфильтрацией ткани мозга в зоне расположения матрикса опухоли. Встречается редко. Тотальное удаление проблематично. В связи с этим после операции обычно проводится курс лучевой терапии.
Эпендимобластома — редкая эмбриональная опухоль больших полушарий головного мозга, имеющая признаки эпендимарной дифференцировки в виде скоплений истинных розеток. В подавляющем большинстве случаев она обнаруживается у детей в возрасте до 5 лет. Прогноз при эпендимобластоме неблагопрятный. У всех больных в короткие сроки развиваются послеоперационный рецидив и имплантационные метастазы.
Выживаемость пациентов обычно не превышает одного года. Макроскопически опухоль имеет вид плотного, четко отграниченного бело-розового узла, расположенного преимущественно перивентрикулярно. Под микроскопом ткань новообразования состоит из мелких мономорфных клеток с гиперхромными ядрами. В отдельных участках выявляются скопления эпендимарных розеток.
Эпендимобластома отличается от злокачественной эпендимомы отсутствием периваскулярных псевдорозеток, а также структурой истинных розеток — в эпендимобластоме эпителий розеток многорядный, а в его клетках выявляются множественные фигуры митоза.