Эпидермоидные кисты задней черепной ямки - редкие новообразования. По данным Института нейрохирургии они составляют 0.5% от всех опухолей центральной нервной системы. Формирование морфологического субстрата эпидермоидных кист происходит на 3 неделе внутриутробной жизни, вследствие нарушения эмбриогенеза и смещения эпителиальной ткани в нервную трубку.
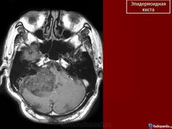
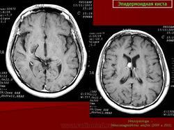
В большинстве случаев эпидермоидные кисты располагаются в ликвороносных путях головного мозга: в субарахноидальных цистернах или желудочковой системе. Распространение эпидермоидной кисты в пределах одной базальной цистерны встречается редко. Обычно, прорастая арахноидальные мембраны и трабекулы, переходят в соседние цистерны и занимают пространство, включающее несколько цистерн. Кроме этого, они способны прорастать твёрдую мозговую оболочку, разрушать костные структуры и расти экстракраниально.
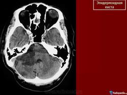
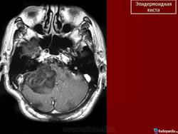
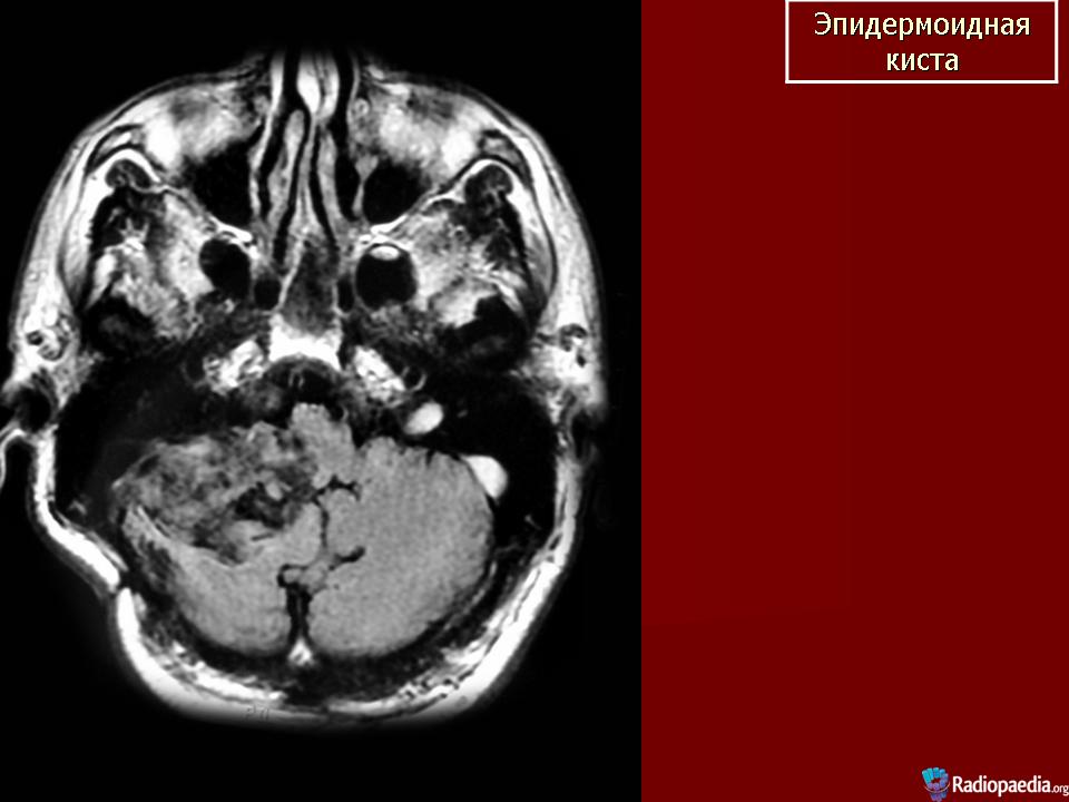
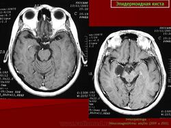
Боковая цистерна моста довольно часто является местом первичной локализации эпидермоидной кисты. Дальнейший рост ее идет в направлении ската, супратенториально или в сторону краниоспинального перехода. При росте в направлении тенториального отверстия эпидермоидная киста распространяется в межножковую или охватывающую цистерны. При росте в сторону краниоспинального перехода, эпидермоидная киста через отверстия Люшка прорастает в полость четвёртого желудочка. Первичная эпидермоидная киста четвёртого желудочка аналогично может распространяться в мостомозжечковую цистерну.
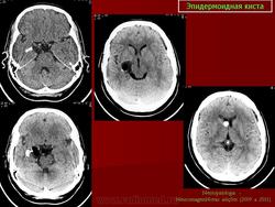
С 1985 по 2000 г.г. в НИИ нейрохирургии им. Н.Н. Бурденко обследовано и оперировано 78 больных с эпидермоидными кистами задней черепной ямки. Изучен клинический симптомокомплекс и КТ, МРТ картина эпидермоидных кист задней черепной ямки.
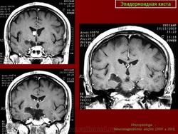
Разработан метод радикального удаления эпидермоидных кист задней черепной ямки. Выработаны этапы и тактика хирургического лечения. У 81.25%. больных было осуществлено тотальное удаление опухоли. В остальных случаях была оставлена часть капсулы из-за её тесной взаимосвязи с окружающими нейроваскулярными структурами.
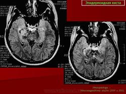
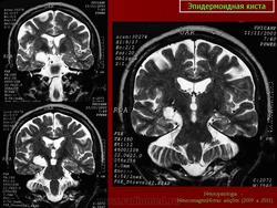
Качество оперативного лечения оценивалось изучением динамики неврологического статуса, данных КТ, МРТ, как до операции, так и после операции на разных его стадиях. Современные радиологические исследования и микрохирургическая техника полностью обеспечивает радикальное удаление эпидермоидных кист с хорошим после операционным результатом.
Эпидермоидные кисты задней черепной ямки
Махмудов У.Б., Мурусидзе Н.А.
(НИИ нейрохирургии им. Н.Н. Бурденко РАМН)
Эпидермоидные кисты задней черепной ямки - редкие новообразования. По данным Института нейрохирургии они составляют 0.5% от всех опухолей центральной нервной системы. Формирование морфологического субстрата эпидермоидных кист происходит на 3 неделе внутриутробной жизни, вследствие нарушения эмбриогенеза и смещения эпителиальной ткани в нервную трубку.
В большинстве случаев эпидермоидные кисты располагаются в ликвороносных путях головного мозга: в субарахноидальных цистернах или желудочковой системе. Распространение эпидермоидной кисты в пределах одной базальной цистерны встречается редко. Обычно, прорастая арахноидальные мембраны и трабекулы, переходят в соседние цистерны и занимают пространство, включающее несколько цистерн. Кроме этого, они способны прорастать твёрдую мозговую оболочку, разрушать костные структуры и расти экстракраниально.
Боковая цистерна моста довольно часто является местом первичной локализации эпидермоидной кисты. Дальнейший рост ее идет в направлении ската, супратенториально или в сторону краниоспинального перехода. При росте в направлении тенториального отверстия эпидермоидная киста распространяется в межножковую или охватывающую цистерны. При росте в сторону краниоспинального перехода, эпидермоидная киста через отверстия Люшка прорастает в полость четвёртого желудочка. Первичная эпидермоидная киста четвёртого желудочка аналогично может распространяться в мостомозжечковую цистерну.
С 1985 по 2000 г.г. в НИИ нейрохирургии им. Н.Н. Бурденко обследовано и оперировано 78 больных с эпидермоидными кистами задней черепной ямки. Изучен клинический симптомокомплекс и КТ, МРТ картина эпидермоидных кист задней черепной ямки.
Разработан метод радикального удаления эпидермоидных кист задней черепной ямки. Выработаны этапы и тактика хирургического лечения. У 81.25%. больных было осуществлено тотальное удаление опухоли. В остальных случаях была оставлена часть капсулы из-за её тесной взаимосвязи с окружающими нейроваскулярными структурами.
Качество оперативного лечения оценивалось изучением динамики неврологического статуса, данных КТ, МРТ, как до операции, так и после операции на разных его стадиях. Современные радиологические исследования и микрохирургическая техника полностью обеспечивает радикальное удаление эпидермоидных кист с хорошим после операционным результатом.
Эпидермоидная киста
Эпидермоидная киста.
Из архива AFIP
Огромное спасибо за предоставленные снимки.
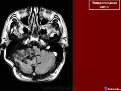
Эпидермоидная киста.
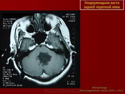
Эпидермоидная киста
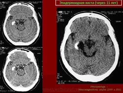
Эпидермоидная киста
ID: 5664 Epidermoid cyst (small pre-pontine) Dr Frank Gaillard - 5 Mar 2009 MRI demonstrates a small region in the pre-pontine cistern with distorti...
ID: 9772 Epidermoid cyst - cerebellopontine angle Dr Frank Gaillard - 23 May 2010 Characteristic appearance of an epidermoid cyst in the cerebellopon...
ID: 2609 Epidermoid cyst - cerebellopontine angle Dr Frank Gaillard - 7 May 2008 This patient had a right sided cerebellopontine angle mass (shown to be ...
ID: 4366 Epidermoid cyst - cerebellopontine angle Dr Frank Gaillard - 14 Aug 2008 Selected images from an MRI demonstrating both typical appearances and l...
ID: 13721 Epidermoid cyst - cerebellopontine angle Royal Melbourne Hospital - 10 May 2011 This case demonstrates typical appearances of a large cerebellopontine a...
ID: 15137 Epidermoid cyst - cerebellopontine angle Dr Frank Gaillard - 25 Sep 2011 This case demonstrates typical location and appearances of an epidermoid...
ID: 20385 Epidermoid cyst - involving pre-pontine and basal cisterns and left CP angle Dr Ashutosh Gandhi - 16 Nov 2012 Related articlesepidermoid cyst
ID: 16839 Epidermoid cyst - suprasellar Dr Frank Gaillard - 24 Feb 2012 This case illustrates fairly typical appearances of an epidermoid cyst, ...
Случаи и цифры
Дифференциальная диагностика изображения