ГМ. Ганглиоглиома. +

Ганглиоглиома

 

Катенёв Валентин Львович аватар
Не на сайте
Был на сайте: 7 лет 2 месяцев назад
Зарегистрирован: 22.03.2008 - 22:15
Публикации: 54876

Ганглиоглиома — бифракционная опухоль, состоящая из элементов ганглиоцитомы и пилоцитарной астроцитомы. Локализуется преимущественно в полушариях головного мозга. Макроскопически представляет собой плотную четко отграниченную от ткани мозга опухоль, которая нередко содержит кисту.

Катенёв Валентин Львович аватар
Не на сайте
Был на сайте: 7 лет 2 месяцев назад
Зарегистрирован: 22.03.2008 - 22:15
Публикации: 54876

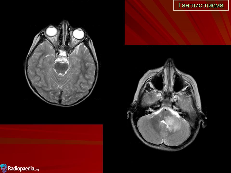
Ганглиоглиома

Приложения: 
1.ggg_.slayd80.jpg
Катенёв Валентин Львович аватар
Не на сайте
Был на сайте: 7 лет 2 месяцев назад
Зарегистрирован: 22.03.2008 - 22:15
Публикации: 54876

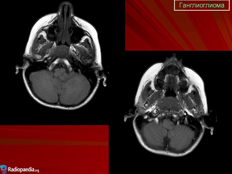
Продолжение.

Приложения: 
1._ganglio.slayd215.jpg
Катенёв Валентин Львович аватар
Не на сайте
Был на сайте: 7 лет 2 месяцев назад
Зарегистрирован: 22.03.2008 - 22:15
Публикации: 54876

Ганглиоглиома

Приложения: 
1.gg_.slayd55.jpg2.gg_.slayd56.jpg3.gg_.slayd57.jpg4.gg_.slayd58.jpg
Катенёв Валентин Львович аватар
Не на сайте
Был на сайте: 7 лет 2 месяцев назад
Зарегистрирован: 22.03.2008 - 22:15
Публикации: 54876

Десмопластическая ганглиоглиома

http://www.ajnr.org/content/25/6/1028.full

 

Катенёв Валентин Львович аватар
Не на сайте
Был на сайте: 7 лет 2 месяцев назад
Зарегистрирован: 22.03.2008 - 22:15
Публикации: 54876

Ганглиоглиома

 

min120818-57+.jpg   
F. 64 a.  Ganglioglioma 
bifrontal supracaloso com componente de neurocitoma central
Катенёв Валентин Львович аватар
Не на сайте
Был на сайте: 7 лет 2 месяцев назад
Зарегистрирован: 22.03.2008 - 22:15
Публикации: 54876

Ганглиоглиома спинного мозга.

Centro Infantil Boldrini

 

 

Приложения: 
dsch51428.jpgdsch51429.jpgdsch51440.jpgdsch51442.jpg
Катенёв Валентин Львович аватар
Не на сайте
Был на сайте: 7 лет 2 месяцев назад
Зарегистрирован: 22.03.2008 - 22:15
Публикации: 54876

Ганглиоглиома головки хвостатого ядра.

Аугусто де Оливейра Камарго

 

Приложения: 
dsch49862.jpgdsch49885.jpgdsch49899.jpgdsch49926.jpgdsch49953.jpgdsch49969.jpg