ГМ. Аденома гипофиза 2. +

Аденома гипофиза. 2.

Катенёв Валентин Львович аватар
Не на сайте
Был на сайте: 7 лет 1 неделя назад
Зарегистрирован: 22.03.2008 - 22:15
Публикации: 54876

Продолжение.

Приложения: 
1.m.slayd155.jpg2.m.slayd156.jpg3.m.slayd157.jpg4.m.slayd158.jpg5.m.slayd159.jpg6.m.slayd160.jpg7.m.slayd161.jpg
Катенёв Валентин Львович аватар
Не на сайте
Был на сайте: 7 лет 1 неделя назад
Зарегистрирован: 22.03.2008 - 22:15
Публикации: 54876

Продолжение.

Приложения: 
1.ma_.slayd1_.jpg2.ma_.slayd2_.jpg3.ma_.slayd3_.jpg4.ma_.slayd4_.jpg
Катенёв Валентин Львович аватар
Не на сайте
Был на сайте: 7 лет 1 неделя назад
Зарегистрирован: 22.03.2008 - 22:15
Публикации: 54876

Аденома гипофиза

Приложения: 
1.a.slayd73.jpg2.a.slayd74.jpg3.a.slayd75.jpg4.a.slayd76.jpg5.a.slayd77.jpg6.a.slayd78.jpg7.a.slayd79.jpg8.a.slayd80.jpg
Катенёв Валентин Львович аватар
Не на сайте
Был на сайте: 7 лет 1 неделя назад
Зарегистрирован: 22.03.2008 - 22:15
Публикации: 54876

Продолжение.

Приложения: 
1._prolakt.slayd25.jpg
Катенёв Валентин Львович аватар
Не на сайте
Был на сайте: 7 лет 1 неделя назад
Зарегистрирован: 22.03.2008 - 22:15
Публикации: 54876

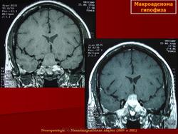
Аденома гипофиза

Приложения: 
1.ad_.slayd89.jpg2.ad_.slayd90.jpg
Катенёв Валентин Львович аватар
Не на сайте
Был на сайте: 7 лет 1 неделя назад
Зарегистрирован: 22.03.2008 - 22:15
Публикации: 54876

 

Гипофиз располагается в турецком седле, имеет массу 0,5-1 г. Размеры турецкого седла в норме: переднезадний - 10 мм, вертикальный - 8 мм. Передняя доля гипофиза называется аденогипофизом, задняя - нейрогипофизом. Между ними располагается промежуточная доля. Аденогипофиз продуцирует: два протеиновых гормона - гормон роста и пролактин, два полипептидных гормона - адренокортикотропный и меланоцитостимулирующий; три глюкопротеидных гормона - тиреотропный, фолликулостимулирующий и лютеинизирующий.

В 1900 г. Бенда (Benda) разделил аденомы гипофиза на хромофобные, эозинофильные и базофильные. В настоящее время используют классификацию С.Ю.Касумовой, которая разделяет все аденомы на гормонально-активные, гормонально-неактивные и злокачественные.

Гормонально-активные аденомы

В зависимости от того, какой гормон секретируется в избытке, выделяют соматотропную аденому гипофиза, избыточно секретирующую гормон роста; пролактиновую аденому (пролактиному), избыточно секретирующую пролактин; кортикотропную аденому, избыточно секретирующую адренокортикотропный гормон; тиреотропную аденому, избыточно секретирующую тиреотропный гормон; аденому гипофиза, секретирующую фолликулостимулирующий гормон.

Гормонально-неактивные аденомы - аденомы, патогенез нарушений при которых заключается в увеличении объема опухоли, расположенной в передней доле гипофиза и в воздействии этого объема на гормонально-активные клетки гипофиза, что приводит к их нарастающей атрофии. Наряду с этим опухоль воздействует на анатомические образования мозга - зрительные нервы, хиазму, черепные нервы, гипоталамус, внутренние сонные артерии. К этим опухолям относятся хромофобная аденома и онкоцитома.

Клиническая картина аденом гипофиза в типичном варианте определяется тремя группами симптомов (триада Гирша).

  • Эндокринные нарушения: при соматотропной аденоме развивается акромегалия, при кортикотропной аденоме - синдром Иценко-Кушинга, при пролактиновой аденоме - галакторея, при тиреотропной аденоме - гиперфункция щитовидной железы. При всех аденомах у женщин нарушаются месячные, а у мужчин - потенция.
  • Нарушение зрительных функций: при исследовании полей зрения выявляется битемпоральная гемианопсия, а на глазном дне - первичная атрофия дисков зрительных нервов. Обычно острота зрения снижается сначала на одном, а спустя некоторое время - и на другом глазу. Однако может наблюдаться и одновременное понижение остроты зрения обоих глаз.
  • Рентгенологические симптомы: на кранио- и томограммах выявляются изменения формы и размеров турецкого седла. Турецкое седло увеличивается в размерах и приобретает баллонообразную форму. Дно его становится двух - или многоконтурным, продавливается в пазуху клиновидной кости. Спинка удлиняется, истончается и нередко выглядит «сломанной». Передние клиновидные отростки становятся «подрытыми», приподнимаются.

Триада Гирша не является обязательной у всех больных. Зрительные нарушения нередко могут отсутствовать. Однако остальные два симптома, как правило, встречаются у каждого больного с этой патологией.

Аденомы гипофиза во всех наблюдениях имеют эндоселлярное расположение. Вместе с тем у многих больных они могут находиться еще за пределами турецкого седла. Если опухоль распространяется над турецким седлом, то в этом случае говорят о супраселлярном росте, за спинку седла - о ретроселлярном, в стороны от турецкого седла - о параселлярном, а кпереди от турецкого седла - об антеселлярном росте опухоли. Как правило, имеется комбинация нескольких направлений роста аденомы гипофиза.

В настоящее время при выборе метода лечения аденом гипофиза принято придерживаться следующей схемы.

Эндоселлярные и гормонально-неактивные аденомы при почти нормальных размерах турецкого седла. В большинстве случаев лечение таких больных проводят эндокринологи и гинекологи.

Эндоселлярные и гормонально-активные аденомы гипофиза при небольшом увеличении турецкого седла могут распознаваться на стадии эндокринных нарушений с помощью радионуклидных методов и исследования крови на содержание гормонов. Для их лечения используют селективное удаление аденомы (трансназальносфеноидальный доступ) либо проводят облучение аденомы протонным пучком и заместительную гормонотерапию.

Эндоселлярные и гормонально-неактивные аденомы при увеличенных размерах турецкого седла диагностируются на основании эндокринных нарушений и рентгенологически выявляемых первичных изменений турецкого седла, а также при КТ, МРТ и ПЭТ. Лечение - селективное удаление аденомы при трансназальносфеноидальном доступе с последующим облучением протонным пучком.

Аденомы гипофиза с умеренным супраселлярным распространением, гормонально-активные и гормонально-неактивные диагностируются по наличию триады Гирша, данным каротидной ангиографии, мневмоэнцефалографии, КТ, МРТ и ПЭТ. Лечение - хирургическое, которое выполняется транскраниальным доступом. После операции проводят мегавольтную лучевую терапию.

Аденомы гипофиза со значительным супра-, анте-, пара-, ретроселлярным распространением, гормонально-активные и гормонально-неактивные диагностируют и лечат так же, как и предыдущие.

Катенёв Валентин Львович аватар
Не на сайте
Был на сайте: 7 лет 1 неделя назад
Зарегистрирован: 22.03.2008 - 22:15
Публикации: 54876

 

АДЕНОМА ГИПОФИЗА

Среди опухолей, встречающихся в хиазмально-селлярной области, морфологически можно выделить 5 основных групп: 1) опухоли гипофиза (аденогипофиза и нейрогипофиза); 2) дизонтогенетические опухоли и опухолеподобные образования (краниофарингиомы, эпителиальные и эпидермоидные кисты, холестеатомы); 3) менингиомы, 4) опухоли зрительных нервов и хиазмы; 5) опухоли, исходящие из дна III желудочка.
Чаще всего (10-30% от всех внутричерепных новообразований) в этой области встречаются опухоли гипофиза (аденогипофиза), рост которых сопровождается вытеснением опухолью неизмененной железистой ткани гипофиза, гормональной активностью новообразования, деструкцией стенок турецкого седла, компрессией прилежащих анатомических структур головного мозга и отходящих от него черепных нервов. 80% опухолей гипофиза доброкачественные, но их постепенный рост в пределах, ограниченных турецким седлом и расположенным над ним областях, способен привести к серьезным эндокринным и неврологическим осложнениям. Разнообразие эндокринной патологии и сложность оценки клинических и морфологических изменений требует тщательного обследования в специализированных отделениях.
В основном аденомы гипофиза обнаруживают у лиц в возрасте 20-40 лет, у женщин несколько чаще. Аденомы гипофиза могут сочетаться с опухолями, исходящими из других желез внутренней секреции и клеток. Учитывая особенности строения гипофиза , имеющего переднюю (аденогипофиз) и заднюю (нейрогипофиз) доли, формирующиеся из различных зародышевых листков в процессе развития эмбриона, опухоли гипофиза соответственно разделяют на опухоли эпителиального ряда ( аденомы и аденокарциномы) и опухоли задней доли - глиомы и зернистоклеточные опухоли воронки («хористомы», инфундибуломы).
В нейрохирургическом центре ГВКГ им. Н.Н. Бурденко широко применяют удаление аденомы гипофиза эндоскопическим эндоназальным транссфеноидальным доступом (90%) с использованием эндоскопа "KARL STORZ". Операции проводятся под общей многокомпонентной анестезией с интубацией трахеи.
Классификация аденом гипофиза :
1. Соматотрофная аденома (соматотропинома).
2. Лактотрофная аденома (пролактинома).
3. Смешанная соматотрофная и лактотрофная аденома.
4. Аденома из ацидофильных стволовых клеток.
5. Маммосоматотрофная аденома.
6. Кортикотрофная аденома (кортикотропинома).
7. Немая аденома.
8. Тиротрофная аденома (тиротропинома).
9. Гонадотрофная аденома (гонадотропинома).
10. Нуль-клеточная аденома.
11. Онкоцитома.
12. Плюригормональная аденома. 
Катенёв Валентин Львович аватар
Не на сайте
Был на сайте: 7 лет 1 неделя назад
Зарегистрирован: 22.03.2008 - 22:15
Публикации: 54876

Кистозная аденома.

Приложения: 
21.kistoznaya_adenoma_gipofiza.jpg22.kistoznaya_adenoma_gipofiza.jpg
Катенёв Валентин Львович аватар
Не на сайте
Был на сайте: 7 лет 1 неделя назад
Зарегистрирован: 22.03.2008 - 22:15
Публикации: 54876

Аденома гипофиза.

Приложения: 
1.ad_.slayd158.jpg2.ad_.slayd159.jpg