ССС. Кисты перикарда. +

Кисты перикарда

 

Целомические кисты перикарда возникают в результате нарушения процесса его развития. Такие кисты наблюдаются чаще у женщин. Обычно целомические кисты бывают тонкостенными однокамерными и чаще локализуются справа, располагаясь над куполом диафрагмы. В случаях сообщения с полостью перикарда целомические кисты называют дивертикулами перикарда.

Клиническое течение целомических кист перикарда часто бывает бессимптомным. Они обнаруживаются только при флюорографическом или рентгенологическом исследовании. В других случаях кисты, оказывая давление на сердце, легкое, диафрагму, могут вызывать боли в груди, одышку, нарушения сердечного ритма, изменения ЭКГ. Разрывы целомнческнх кист, развитие в них нагноительного процесса или озлокачествление наблюдаются весьма редко. При локализации в верхних отделах средостения или в заднем средостении дифференциальная диагностика с другими кистозными новообразованиями трудна и часто невозможна. 

Катенёв Валентин Львович аватар
Не на сайте
Был на сайте: 7 лет 4 месяцев назад
Зарегистрирован: 22.03.2008 - 22:15
Публикации: 54876

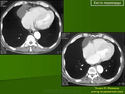
Киста перикарда.

Приложения: 
1.kis_.slayd16.jpg2.kis_.slayd17.jpg3.kis_.slayd18.jpg
Катенёв Валентин Львович аватар
Не на сайте
Был на сайте: 7 лет 4 месяцев назад
Зарегистрирован: 22.03.2008 - 22:15
Публикации: 54876

киста перикарда

Приложения: 
1.kis_.slayd72.jpg
Катенёв Валентин Львович аватар
Не на сайте
Был на сайте: 7 лет 4 месяцев назад
Зарегистрирован: 22.03.2008 - 22:15
Публикации: 54876

Киста перикарда

Pericardial Cyst</p> <p>

ID: 13891 Pericardial cyst Dr Stefan Ludwig - 28 May 2011

PA<br />

 

ID: 16083 Pericardial cyst Dr Roberto Schubert - 17 Dec 2011 CT-proven pericardial cyst (CT was performed elsewhere).

MRI T2 Sag</p> <p>Pericardial Cyst

 

ID: 6542 Pericardial cyst Dr Paresh K Desai - 9 Jul 2009 32 year old pregnant female with a cystic lesion detected at echocardiog...

Случаи и цифры

  •  
    Случай 1: осевой КТ
  • MRI T2 Sag Peric ...
     
    Случай 2
  • Перикардиальная киста
     
    Случай 3
  •  
    Случай 4
  •  
    Случай 5
  •  
    Случай 6
  •  
    Случай 7
  •  
    Случай 8
  • Хорошо ...
     
    Случай 9
Катенёв Валентин Львович аватар
Не на сайте
Был на сайте: 7 лет 4 месяцев назад
Зарегистрирован: 22.03.2008 - 22:15
Публикации: 54876

 

Перикардиальная киста (целомическая киста перикарда)

Кисты перикарда (перикардиальные кисты, целомические кисты, простые кисты средостения, плевродиафрагмальные кис­ты) – это тонкостенные кистозные образования, строение стенки которых напоминает структуру перикарда.

Клиника

Клиническое течение целомических кист перикарда часто бывает бессимптомный. Реже пациенты жалуются на боль за грудиной, одышку, нарушения сердечного ритма, изменения на ЭКГ.

Патология

Целомические кисты перикарда возникают в результате нарушения процесса его развития. Такие кисты наблюдаются чаще у женщин. Обычно целомические кисты бывают тонкостенными однокамерными и чаще локализуются справа, располагаясь над куполом диафрагмы.

Разрыв целомических кист, развитие в них нагноительного процесса или озлокачествление наблюдаются весьма редко. При локализации в верхних отделах средостения или в заднем средостении дифференциальная диагностика с другими кистозными новообразованиями трудна и часто невозможна.

Радиологические находки

Рентгенография

На рентгенографии  обычно визуализируется округлое, овальное или грушевидное гомогенное образование с ровным верхне-наружным контуром. У больных с многокамерной кистой контур волнистый. Наиболее часто киста располагается в нижних отделах верхнего сре­достения, в его правом кардиодиафрагмальном углу. Образование при вдохе и выдохе может меняться в размерах и локализацию.

КТ

Визуализируется, как округлое образование перикарда с четкими контурами с минимальным содержимым жидкости и плохо контрастируемое.

МРТ

Морфология вариабильна. Внутренние перегородки могут присутствовать в образовании. Характерные изменения сигнала:

Т1 — обычно гипоинтенсивный сигнал. Крайне редко, когда киста содержит белок, сигнал гиперинтенсивный.

Т2 — гиперинтенсивный сигнал

Т1+С — после введения контраста сигнал от образования не усиливается.

Дифференциальный диагноз

  • кистозные образования средостения
  • бронхогенная киста
  • менингоцеле
  • лимфангиома
  • кистозная тератома
  • тератома
  • грыжа Морганьи

Radiopaedia.org

Surgeryzone.net

В.И. аватар
Не на сайте
Был на сайте: 6 месяцев 4 дня назад
Зарегистрирован: 22.09.2015 - 17:55
Публикации: 2321

Спасибо.

Катенёв Валентин Львович аватар
Не на сайте
Был на сайте: 7 лет 4 месяцев назад
Зарегистрирован: 22.03.2008 - 22:15
Публикации: 54876