Синдром. Элерса - Данло синдром. +

Элерса - Данло синдром.

Синдром Элерса-Данлоса - группа расстройств, которые в своей основе имеют общие черты, включая такие, как появление синяков, гипермобильность суставов (разболтанность суставов), растягиваемость кожи (гиперэластичность или вялость).
Данный вид синдрома передается генетически и наследуется от родителей к детям. Выделяют разные формы заболевания. Гиперэластичная кожа и гипермобильность суставов являются результатом генетических изменений, которые способствуют воспроизведению патологического протеина коллагена (обычный протеин, так называемый «клей» тканей).
В 2001 году учеными была обнаружена новая форма данного вида синдрома, причиной которой является генетическая патология протеина, отличного от коллагена, который также играет роль при "склеивании" клеток ткани (включая кожу, сухожилия, мышцы и кровеносные сосуды). Патология этого протеина, называемого тинасцином, также приводит к появлению синдрома. Ученые полагают, что тинасцин может играть роль в регулировании нормальной дистрибуции коллагена в соединительных тканях тела.

 

Катенёв Валентин Львович аватар
Не на сайте
Был на сайте: 7 лет 5 месяцев назад
Зарегистрирован: 22.03.2008 - 22:15
Публикации: 54876

Типы синдрома Элерса-Данлоса
Классический тип (прежде как типы I и II)
Признаками классического типа этого синдрома являются гипермобильность суставов (разболтанность), вялость кожи. Также вялая, гладкая, с фиолетовым оттенком кожа, образование синяков при малейшей травме. Дислокация суставов и сколиоз являются распространенными признаками. Нестабильность суставов может привести к растяжениям. Классический вид синдрома передается по наследству по аутосомно-доминантному типу (напрямую от одного родителя к ребенку).
Гипермобильный тип (прежде как тип III)
Разболтанность суставов является главным проявлением этой формы синдрома. Любой из суставов может быть поврежден, и дислокации случаются очень часто. Эта форма также наследуется по аутосомному доминантному признаку.
Сосудистый тип (прежде как тип IV, артериальная форма)
Для этой формы синдрома характерны спонтанные, внезапные разрывы артерий и кишечника, которые могут привести к смерти. Может появиться косолапость. Также вялость кожи различной степени. Вены проявляются через кожу. Эта форма наследуется по аутосомному доминантному типу (напрямую передается от одного родителя ребенку) и рецессивному типу (не обнаруживается у всех членов семьи или же проявляется только в одном поколении членов данной семьи).
Тип кифосколиоз (прежде как тип VI)
Патологические изменения глазного яблока, значительная хрупкость кожи и суставов, сильное искривление позвоночника (сколиоз) являются типичными признаками этой формы синдрома. Эта форма передается по аутосомно-рецессивному типу (не обнаруживается у всех членов семьи или же только одно поколение наследует эту форму болезни).
Тип артроклазии (прежде тип VIIB, артроклазийная мультикомплексная миотония)
Больные с этой формой болезни маленького роста, у них наблюдается высокая гибкость суставов и дислокации. Изменения на коже также различны. Наследуется по аутосомно-доминантному и аутосомно-рецессивному типу. Для диагностики заболевания проводится биопсия кожи.
Тип дермоспараксис (прежде как тип VIIC)
У больных с данной формой синдрома очень вялая, мягкая, одутловатая кожа, которая обвисает. Диагностика этой формы синдрома проводится при помощи биопсии кожи.
Тип недостатка Тинасцина-X
При данной форме наблюдается гипермобильность суставов, гиперэластичность кожи и хрупкость тканей. Изменения кожи подобны изменениям, которые можно увидеть при классической форме заболевания. Передается по аутосомно-рецессивному типу (не обнаруживается у всех членов семьи или же только одно поколение наследует эту форму болезни).
Другие редкие варианты болезни были выявлены в отдельных семьях.
Диагностика синдрома Элерса-Данлоса
Диагностика данного заболевания основывается на истории болезни больного и выявляется при медицинском обследовании. Некоторые формы этой болезни требуют проведения биопсии кожи, чтобы определить химический состав соединительных тканей, что помогает при диагностике болезни.

Катенёв Валентин Львович аватар
Не на сайте
Был на сайте: 7 лет 5 месяцев назад
Зарегистрирован: 22.03.2008 - 22:15
Публикации: 54876

 

Основными клиническими проявлениями при СЭД являются различные изменения со стороны кожи и суставов. Отмечается гиперрастяжимость кожи. Заживление ран, даже незначительных порезов, протекает длительно. Особенно это касается послеоперационных швов, возможно их расхождение. В связи с расхождением краев раны происходит формирование атрофичных рубцов (по типу "папиросной бумаги"). Обычно рубцы манифестируют, когда ребенок начинает ползать или ходить, с локализацией на местах, подверженных механическому воздействию - колени, локти, лоб. Кожа при СЭД обычно тонкая.

В одной трети случаев выявляются маленькие плотные подкожные кистоподобные узелки, которые на рентгеновском снимке проявляются как кальцифицированные. Их можно прощупать на передне-внутренней поверхности голеней и предплечий. Возможно, их возникновение связано с фиброзированием подкожных жировых долек вследствие нарушения кровообращения и последующей кальцификацией. Дефект сосудистой стенки является причиной образования экхимозов, гематом и кровотечений. На местах повторных подкожных кровоизлияний могут формироваться особые припухлости - "подкожные псевдоопухоли", с возникновением характерной коричневой пигментации. Чаще всего они появляются на локтях и коленях. Геморрагические изменения возникают при нормальном коагуляционном статусе, что важно при дифференциальной диагностике. Данный аспект заболевания должен учитываться при оперативных вмешательствах.

Другим кардинальным симптомом СЭД является гипермобильность суставов. Она определяется на основании оценки подвижности суставов по шкале Бейгтона (Beightonetal., 1983). Шкала включает в себя 5 признаков - 4 парных и 1 непарный:

- пассивное тыльное сгибание мизинца более 90° (по 1 баллу для каждой руки);

- пассивное приведение большого пальца к сгибательной поверхности предплечья (по 1 баллу для каждой руки):

- переразгибание локтевых суставов более 10° (по 1 баллу для каждой руки);

- переразгибание коленей более 10° (по 1 баллу для каждой ноги);

- наклон вперед, не сгибая коленей, с касанием пола ладонями (1 балл).

Гипермобильностью считается наличие 5 баллов и более по данной шкале.

Кроме этого характерны вывихи и подвывихи суставов, в том числе врожденный вывих бедра. Отмечаются хронические артралгии (без воспалительных изменений суставов). Отмечаются сколиоз, кифоз и их сочетание. При СЭД в патологический процесс нередко вовлекаются другие органы и системы. Например, наблюдаются изменения со стороны глаз: миопия, кератоконус, голубые склеры, отслойка сетчатки. Особое значение имеют изменения со стороны сердца и крупных артерий. Типичным признаком является пролапс митрального клапана. К другим, более редким изменениям, относятся пролапсы других клапанов сердца и проксимальная дилятация аорты.

Мышечная гипотония, проявляющаяся задержкой моторного развития и быстрой утомляемостью, также является симптомом СЭД. Типичны грыжи, опущение внутренних органов (в частности, пролапс органов малого таза у женщин и выпадение прямой кишки у маленьких детей). К акушерским проблемам СЭД относятся преждевременный разрыв плодных оболочек, приводящий к преждевременным родам и послеродовые кровотечения.

Клинические варианты СЭД согласно последней классификации и критерии их диагностики.

1. Классический тип.

Этот вариант включает Iи IIтипы согласно прежней классификации. Наследуется по аутосомно-доминантному типу. Основные диагностические критерии: гиперрастяжимость кожи, характерные атрофичные рубцы, гипермобильность суставов. Дополнительные диагностические критерии: гладкость, бархатистость кожи, подкожные псевдоопухоли, подкожные узелки, осложнения гипермобильности суставов (растяжения, вывихи и подвывихи, плоскостопие), мышечная гипотония и задержка моторного развития, легкое возникновение экхимозов, проявления повышенной растяжимости и хрупкости тканей (грыжи, цервикальная недостаточность, опущение внутренних органов и др.), хирургические осложнения (например, послеоперационные грыжи, расхождение швов, кровотечения во время и после операций). Кроме того, диагностическую ценность имеет наличие родственников с аналогичными клиническими проявлениями.

Изменения со стороны кожи варьируют по степени тяжести (тяжелые, средней тяжести, умеренные). Повторные подвывихи наиболее характерны для плечевых, височно-нижнечелюстных суставов и надколенников. Частой жалобой является повышенная утомляемость.

Несмотря на то, что классический тип составляет около 90% среди случаев СЭД всех типов, этиология этого заболевания до сих пор окончательно не установлена. За последние несколько лет появились сообщения об обнаружении мутаций в генах коллагена Vтипа, играющего важную роль в фибриллогенезе и регуляции диаметра коллагена Iтипа. Помимо мутаций в генах коллагена, причиной заболевания могут быть мутации в генах белков экстраклеточного матрикса, среди которых - декорин, люмикан, тенасцин Х . Таким образом, на сегодняшний день можно констатировать генетическую гетерогенность классического типа СЭД.

2. Гипермобильный тип СЭД.

Наследуется по аутосомно-доминантному типу. Основные диагностические критерии: проявления со стороны кожи (гиперрастяжимость и/или гладкая, бархатистая кожа); генерализованная гипермобильность суставов.

Дополнительные диагностические критерии: повторные вывихи суставов, хронические боли в суставах либо конечностях; выявление семейных случаев. В соответствии с прежней классификацией, этот подтип назывался "доброкачественный гипермобильный тип", что подчеркивает доминирование выраженной гипермобильности суставов при отсутствии скелетных и относительно незначительных кожных проявлениях. Кожная растяжимость вариабельна, атрофичные рубцы не характерны. Боли в суставах и мышцах начинаются рано, носят хронический и изнуряющий характер. Молекулярный дефект, лежащий в основе этого типа, на сегодняшний день окончательно неизвестен. Можно предполагать вовлечение коллагена IIIи Iтипов коллагена, однако необходимы дальнейшие исследования.

3. Васкулярный тип.

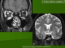
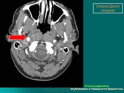
Наследуется по аутосомно-доминантному типу. Основные диагностические критерии: тонкая, прозрачная кожа, разрывы стенки артерий, кишечника и/или матки,обширные кровоизлияния, характерный фенотип. Дополнительные диагностические критерии: гипермобильность мелких суставов, разрыв сухожилий и мышц, косолапость, варикозное расширение вен с ранней манифестацией, артериовенозные каротидно-кавернозные фистулы, пневмоторакс/пневмогидроторакс, атрофия десневого края; положительный семейный анамнез, случаи внезапной смерти у близких родственников (многие пациенты не доживают до 50 лет из-за разрыва артерий или, что реже кишечника). Наличие двух и более главных критериев с большой вероятностью указывает на диагноз васкулярного типа СЭД и является показанием для лабораторной диагностики. Нередко отмечается характерный фенотип (узкий нос, тонкие губы, натянутая кожа, впавшие щеки и экзофтальм, обусловленный, в основном, снижением подкожно-жирового слоя). Надо отметить, что такой фенотип характерен для взрослых больных, а у детей он практически не выражен. Гипермобильность суставов обычно ограничена суставами пальцев. Максимальная частота спонтанных артериальных разрывов приходится на третью-четвертую декады жизни, но они могут возникать и раньше. Чаще всего вовлечены артерии среднего калибра. Беременность и роды могут осложняться разрывом матки и маточными кровотечениями, а также разрывом влагалища и промежности. Именно артериальные разрывы являются наиболее частой причиной внезапной смерти. Поэтому в качестве диагностических мероприятий рекомендуются, по возможности, неинвазивные процедуры. При этом типе СЭД сравнительно хорошо изучены изменения на молекулярно-белковом уровне. Этиологическим фактором являются мутации в гене коллагена IIIтипа.

4. Кифосколиотический тип.

Наследуется по аутосомно-рецессивному типу. Основные диагностические критерии: генерализованная гипермобильность суставов, выраженная мышечная гипотония при рождении, прогрессирующий (с рождения) сколиоз, кифоз, хрупкость склер разрывы глазного яблока. Дополнительные диагностические критерии: хрупкость тканей, иногда атрофичные рубцы, склонность к кровоизлияниям, разрывы артерий, марфоноидный фенотип, микрокорнеа, рентгенологически выявляемая выраженная остеопения, положительный семейный анамнез ( в том числе больные сибсы).

Следует отметить, что наличие трех основных критериев является основанием для предположения диагноза и требует лабораторного обследования. Причем мышечная гипотония может быть очень выраженной и обусловливает задержку моторного развития. Выраженный сколиоз приводит к тому, что во второй-третьей декаде жизни больные теряют способность передвигаться самостоятельно. Хрупкость тканей глаза является причиной разрыва глазного яблока при малейшей травме. Согласно последним данным, тяжелые глазные осложнения встречаются гораздо реже, чем предполагалось ранее. При этом типе СЭД дефект в синтезе коллагена заключается в изменении фермента лизил-гидроксилазы, которая катализирует гидроксилирование боковых лизиновых цепей, необходимых для перекрестных связей между соседними коллагеновыми молекулами при формировании тройной спирали.

5. Артрохалазия.

Наследуется по аутосомно-доминантному типу. Основные диагностические критерии: тяжелая генерализованная гипермобильность суставов с повторными вывихами (подвывихами), врожденный вывих бедра. Дополнительные критерии: гиперастяжимость кожи, хрупкость тканей, атрофичные рубцы, частые кровоизлияния, мышечная гипотония, кифосколиоз, рентгенологически выявляемая умеренно выраженная остеопения. Врожденный вывих бедра присутствовал у всех больных с биохимическим подтверждением диагноза. Низкий рост является следствием выраженного кифосколиоза и/или вывиха бедра. Причиной данного варианта СЭД являются мутации в генах a1 и a2 цепей коллагена Iтипа, которые возникают соответственно при А и В подтипах. В результате структурной мутации коллагенового гена становится невозможным функционирование N-терминальной пептидазы, что приводит к аномальному фибриллогенезу коллагена Iтипа.

6. Дерматоспараксис.

Наследуется по аутосомно-рецессивному типу. Основные диагностические критерии: выраженная хрупкость кожи, избыточная и отслаивающаяся кожа. Дополнительные диагностические критерии: мягкая, тестообразная консистенция кожи, легкое образование кровоизлияний, преждевременный разрыв плодных оболочек, грыжи (пупочные, паховые), как правило крупных размеров. Хрупкость кожи и образование кровоизлияний ярко выражены, в то время как заживление ран происходит обычно, без атрофичных рубцов. Избыток кожи на лице приводит к фенотипу, напоминающим cutislaxa.

Название этого подтипа было взято по аналогии с заболеванием у крупного рогатого скота, овец и других животных с аналогичным изменением кожных покровов. К настоящему времени описано небольшое количество пациентов, и клинический спектр, видимо, может расширяться. Заболевание связано с мутациями в гене, кодирующем N-терминальную пептидазу проколлагена I, что приводит к дефициту данного фермента и нарушению фибриллогенеза.

Выяснение молекулярно-генетических причин и патогенеза различных типов СЭД является непростой, но интересной и важной задачей. Во-первых, СЭД представляет собой своеобразную модель для изучения сложных механизмов взаимодействия большого спектра молекул экстраклеточного матрикса в норме.

Во-вторых, уточнение этиологических факторов СЭД позволит улучшить диагностику и прогноз течения заболевания.

Точная и своевременная молекулярно-генетическая диагностика СЭД является необходиvым условием для принятия эффективных мер по профилактике на основе медико-генетического консультирования, пренатальной диагностики. Дальнейшие молекулярно-генетические исследования механизмов этиологии и патогенеза могут позволить перейти к разработке и применению генотерапевтических процедур, а следовательно, качественно новому этапу терапии больных СЭД - генотерапии.

Катенёв Валентин Львович аватар
Не на сайте
Был на сайте: 7 лет 5 месяцев назад
Зарегистрирован: 22.03.2008 - 22:15
Публикации: 54876