КСС. Гипофосфатазия. +

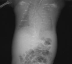
ГИПОФОСФАТАЗИЯ - заболевание костной системы, связанное с недостаточной активностью щелочной фосфатазы (фосфомоно-эстеразы). Описано в 1948 г. Rathbun. До последнего времени в литературе описано более 50 наблюдений данного заболевания. Тип наследования - аутосомно-рецессивный. В патогенезе основную роль играет снижение или отсутствие активности энзимов, обеспечивающих отщепление неорганического фосфата от фосфорорганических соединений. В результате резко нарушаются процессы минерализации органической матрицы кости. Гистологическая структура костей и хрящей весьма сходна с наблюдающейся при обычном рахите - нарушение процессов оссификации, особенно выраженное в метафизах трубчатых костей, чередование участков обызвествленной и хрящевидной ткани. Диафизы обызвествляются удовлетворительно.
Клиника. В зависимости от характера клинических проявлений выделяют три типа заболевания.
I тип проявляется уже при рождении тяжелыми деформациями скелета, что свидетельствует о развитии заболевания во внутриутробном периоде. Дети беспокойны, отмечаются рвота, анорексия, громкие вскрикивания, гипотония, дегидратация, лихорадочные состояния. Кости черепа и скелета мягкие, конечности сформированы, черепные швы расширены, большой родничок значительных размеров. Швы черепа закрываются рано.
II тип также характеризуется рахитоподобными изменениями костно-мышечной системы, которые появляются только после 6 месяцев жизни. Однако в отличие от рахита нервная система и кроветворение не вовлекаются в патологический процесс. Обращают на себя внимание мелкие зубы коричневого или даже черного цвета. Умственное развитие детей не страдает.
III тип проявляется у взрослых ломкостью костей и остеопорозом. При лабораторном исследовании обнаруживается низкая активность щелочной фосфатазы, гиперкальциемия (до 18-20 мг%), содержание неорганического фосфора в крови в пределах нормы. Содержание белков, кислой фосфатазы, функциональные пробы печени в пределах нормы. Иногда в моче - альбумин, гиалиновые и зернистые цилиндры, лейкоциты. В периферической крови - лейкоцитоз, анемия, повышенная экскреция фосфоэтаноламина с мочой, однако последняя может наблюдаться также при целиакии, гипертиреозе, цинге.

 

Катенёв Валентин Львович аватар
Не на сайте
Был на сайте: 7 лет 4 месяцев назад
Зарегистрирован: 22.03.2008 - 22:15
Публикации: 54876

 

Диагностика гипофосфатазии возможна уже с конца I триместра. В наблюдении Т. Tongsong и S. Pongsatha в 14 нед беременности у плода была выявлена сниженная оссификация всего скелета и укорочение трубчатых костей. В 15 нед произведен кордоцентез. Щелочная фосфотаза в крови плода не определялась (нормальный уровень 51±24 IU/I). Был поставлен пренатальный диагноз гипофосфатазии и беременность прервана. Авторы подчеркивают, что некоторое снижение эхогенности костей в I триместре является нормой для ранних сроков беременности, поэтому подозрение на системное заболевание скелета должно высказываться с большой осторожно стью. Особого внимания заслуживают пациентки с отягощенным анамнезом.

Однако далеко не во всех случаях гипофосфатазии у плода ультразвуковое исследование скелета демонстрирует снижение эхогенности костей. J. Witts и соавт. описывают клиническое наблюдение, при котором в 17 нед беременности у плода отмечался незначительный подкожный отек и небольшое укорочение конечностей при их нормальной оссификации. Кариотип плода был нормальным, и беременность пролонгировали. В 31 нед укорочение костей стало выраженным, присоединилось многоводие. Для исключения ахондроплазии был сделан анализ на мутацию, характерную для этого заболевания. Ребенок родился в 35 нед и погиб сразу после родов. Только при рентгенологическом исследовании была выявлена сниженная минерализация черепа, платиспондилия позвоночника и истончение ребер, после чего было произведено гистологическое исследование костей и молекулярная диагностика, направленная на выявление мутаций, характерных для гипофосфатазии. 

Катенёв Валентин Львович аватар
Не на сайте
Был на сайте: 7 лет 4 месяцев назад
Зарегистрирован: 22.03.2008 - 22:15
Публикации: 54876

Гипофосфатазия.

 

Приложения: 
1.gipo_.slayd126.jpg