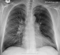
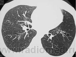
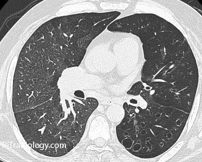
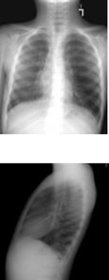
Синдром. Суайра-Джеймса синдром. +

Swyer-James syndrome - эмфизема легких, при которой обычно поражается только одно легкое; болезнь чаще всего начинается в детстве или в юности. Развивается после перенесенного некротического бронхита и, по мнению специалистов, вероятнее всего, ее причиной является присутствующий в организме вирус.

_________

Катенёв Валентин Львович аватар
Не на сайте
Был на сайте: 7 лет 2 месяцев назад
Зарегистрирован: 22.03.2008 - 22:15
Публикации: 54876

Продолжение.

Приложения: 
1..mm_..slayd7_.jpg1.ssss_.slayd1_.jpg