Основы. ЖКТр. Заболевания пищевода. +

 

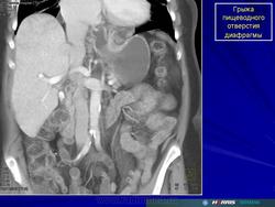
Грыжи пищеводного отверстия диафрагмы

 

Грыжи пищеводного отверстия диафрагмы могут иметь как врожденный, так и приобретенный характер. Врожденные грыжи в детском возрасте являются пороками эмбрионального развития пищеварительной системы и могут приводить к формированию врожденных стриктур. Приобретенные грыжи пищеводного отверстия развиваются преимущественно у взрослых, часто встречаются у больных, перенесших операции на желудке, страдающих эзофагоспазмом, язвенной болезнью, энтеритом. Современная классификация грыж пищеводного отверстия построена с учетом морфологических и клинических дан­ных, этиологии, патогенеза и сопутствующих заболеваний:

I. Тип грыжи.

 

1. Фиксированные или нефиксированные (для аксиальных и параэзофагеальных грыж).

2. Аксиальная (пищеводная, кардиальная, кардиофундальная, субтотально- или тотально-желудочная).

3. Параэзофагеальная (фундальная, антральная).

4. Врожденный короткий пищевод с «грудным желудком» (врож­денная аномалия развития).

5. Грыжи другого типа (тонкокишечные, сальниковые и пр.).

II. Осложнения.

 

1. Рефлюкс-эзофагит: - катаральный; - эрозивный; - язвенный; - пептическая язва пищевода; - воспалительно-рубцовое стенозирование и (или) укорочение пищевода (приобретенное);

2. Острое или хроническое пищеводное (пищеводно-желудочное) кровотечение.

3. Ретроградный пролапс слизистой оболочки желудка в пищевод.

4. Инвагинация пищевода в грыжевую часть.

5. Перфорация пищевода.

6. Рефлекторная стенокардия.

 

7. Ущемление грыжи (при параэзофагеальных грыжах).

III. Предполагаемая причина: - дискинезия пищеварительного тракта; - по­вышение внутрибрюшного давления; - возрастное ослабление соединительно-тканных структур; Механизм возникновения грыжи: пульсионный, тракционный, смешанный.

IV. Сопутствующие заболевания.

 

В результате воздействия совокупности многих факторов происходит ослабление мышечных и соединительнотканных структур в области пищеводно-желудочного отверстия и повышается внутрибрюшное и внутрижелудочное давление, в результате чего развивается функционально-анатомическая недостаточ­ность в области пищеводного отвер­стия диафрагмы.

Клиническая картина грыж пищеводного отверстия фак­тически соответствует проявлениям недостаточности кардии и рефлюкс-эзофагита. Наиболее частым симптомом являются выраженные боли в эпигастральной области, за грудиной, на уровне мечевидного отростка, распро­страняются на грудную клетку, плечо. Боли обычно жгучего ха­рактера, усиливаются во время еды или через 1 - 2 ч после нее, в горизонтальном положении, при наклоне. Вторым по частоте симптомом является изжога, чаще возни­кающая после еды, в горизонтальном или наклонном положении, при физических нагрузках. Часто отмечается отрыжка воздухом или кислым содержимым сразу или вскоре после еды. В ночное время может отмечаться срыгивание, которое вследствие попадания пищи в дыхательные пути может вызвать мучительный кашель, удушье, а иногда приводит к развитию аспирационных пневмоний. Иногда единственным симптомом грыжи может быть анемия, различного характера. Гигантские грыжи пищеводного отверстия характеризуются пе­риодически развивающимся нарушением эвакуации из желудка, что зависит от совершающегося у таких больных заворота желудка в грыже. Грыжи пищеводного отверстия могут протекать бессимптомно, могут сочетаться с другими заболеваниями, например с язвенной болезнью, холециститом, эн­тероколитом. В грыжевом выпячивании может развиться рак, грыжа может сочетаться с раком желудка.

Рентгенологическое исследование  при подозрении на грыжу пи­щеводного отверстия необходимо начинать с обзорной рентгеноскопии грудной клетки и брюшной полости в вертикальном положении пациента в различных проекциях. Особое внимание необходимо обращать на срединную тень и область переднего отдела заднего средостения, положение, форму и размеры газового пузыря же­лудка. При наличии фиксированной грыжи на фоне переднего отдела заднего средостения может определяться горизонтальный уровень жидкости или дополнительная тень, форма которой ме­няется в процессе исследования.

После этого переходят к рентгеноконтрастному исследованию с жидкой бариевой взвесью в обычных проекциях с изучением пи­щеводно-желудочного перехода. Для выявления грыжи пищеводного отверстия  исследование проводят в горизонтальном положении на животе с поворотом в левое косое положение, на вдохе и выдохе, во время тугого за­полнения пищеводно-желудочного перехода.

Аксиальные нефиксированные грыжи пищеводного отверстия встречаются наиболее часто. Среди аксиальных грыж различают: - кардиальные грыжи, при которых в грудную полость, кроме абдоминального сегмента пищевода, смещается анатомическая кардия с частью кардиального отдела же­лудка; – кардиофундальные грыжи, когда перемещается не толь­ко кардия, но и свод (дно) желудка; - субтотальные и тотальные грыжи, при которых перемещается через пищеводное отверстие перемещается большая часть желудка или весь желудок без укорочения пищевода.

Рентгенологически при прохождении первого глотка жидкой бариевой взвеси, в большинстве случаев, выявляется более широкий, чем в норме, пищеводно-желудочный переход, что является одним из призна­ков эзофагита. В других случаях определяется чрезмерно длин­ный и извитой абдоминальный сегмент пищевода, наличие изме­ненных складок слизистой оболочки.  Могут также выявляться изменения со стороны желудочного пузыря: уменьшение в раз­мерах и деформация, дополнительная тень с волнистыми очерта­ниями в проекции кардии за счет отечных складок, рефлюкс со­держимого желудка в пищевод. При выявлении этих косвенных симптомов необходимо дополнительно провести исследования в горизонтальном положении на животе с поворотом в левое лопаточное положение, так как в этом положении хорошо виден почти весь пищевод и верхний отдел желудка. При средних и больших грыжах один глоток жидкой бариевой взвеси позволяет определить, что абдоминальный сег­мент пищевода, кардия и кардиальная часть, а также другие от­делы желудка расположены над диафрагмой, выявляются грыжевые ворота и наличие в их области более трех желудочных складок.

В норме пищеводное отверстие диафрагмы на рентгенограмме не дифференцируется. При грыже вследствие его рас­ширения в ряде случаев можно получить изобра­жение проекции пищеводного отверстия на слизистую оболочку верхнего отдела желудка в виде тонкого бариевого кольца, распо­ложенного поперечно в области грыжевых ворот. В этом положении также более четко определяется рефлюкс и уточняются симп­томы эзофагита, при котором в просвете пищевода выявляется слизь, складки слизистой оболочки могут быть широкими, изви­тыми или, наоборот, сглаженными, могут отмечаться участки, лишенные складчатости. Существенное значение имеет изучение рельефа слизистой оболочки грыжевого выпячивания.

Опорожнение грыж пищеводного отверстия диафрагмы пассивное медленное, при этом грыжа частично или полностью уходит в брюшную полость. У части больных с грыжами пищеводного отверстия определяются сегментарные сокращения в нижнем отделе пищевода. Нефиксирован­ные или частично фиксированные грыжи пищеводного отверстия медленно увеличиваются в размерах. Размеры полностью фикси­рованных грыж пищеводного отверстия в течение многих лет остаются стабильными.

При проведении исследования часто возникает необходимость дифференциальной диагностики небольшой грыжи с пищеводной ампулой, так как в процессе формирования ампулы могут выявляться рентгено­логические признаки, каждый из которых в отдельности может имитировать небольшую грыжу. Существует ряд признаков, на основании которых можно дифференцировать маленькую гры­жу от ампулы пищевода: - сформированная ампула пищевода рас­полагается по продолжению оси пищевода (аксиально), хорошо сокращается; - при грыже ампула формируется в интрадиафрагмальном и абдоминальном сегментах и вплотную соприкасается с ней, отделяется от грыжи характерными "зарубками" или втяжением на контурах. Наличие этих втяжений на контурах эпифренально расположенной тени является характерным рентгено­логическим признаком грыжи.

Осложнения грыжи пищеводного отверстия встречаются достаточно часто. Почти по­стоянным спутником аксиальных грыж является рефлюкс-эзофагит, нередко развиваются пептическая язва, пептическая стрикту­ра, пищеводно-желудочные кровотечения, инвагинация пищевода в грыжевое выпячивание. При длительно текущем пептическом эзофагите либо длительном спастическом сокращении продольной мускулатуры пищевода при хроническом раздражении блуждаю­щих нервов может развиться приобретенный короткий пищевод, при котором большая или меньшая часть желудка стойко перемещена в грудную по­лость. При этом происходит расправление угла Гиса, в результа­те чего увеличивается желудочно-пищеводный рефлюкс. Основным рентгенологическим признаком короткого пищевода является фиксация кардии выпрямлен­ным пищеводом над диафрагмой. К косвенным призна­кам относят отсутствие или уменьшение размеров газового пу­зыря желудка, смещение его вверх и вправо, клиновидную дефор­мацию верхнемедиального отдела газового пузыря, а также фор­мирование эпифренальной ампулы на более высоком уровне, чем обычно. Выделяют две степени уко­рочения пищевода, что имеет значение при выборе операционного доступа: I - кардия фиксирована не выше чем на 4 см над диафрагмой, II - выше чем на 4 см.

Тяжелым осложнением грыж пищеводного отверстия является их нередкое сочетание со злокачественными опухолями пищевода и верхнего отдела желудка. Длительно существующий хронический рубцово-воспалительный процесс в пищеводе может служить почвой для развития рака. В то же время, рак желудка может способствовать развитию грыжи, так как злокачественная опухоль служит очагом раздражения блуждающего нерва, который вызывает укорочение пищевода за счет сокращения продольных мышечных волокон, при этом кардия подтягивается через пищеводное отверстие в заднее средосте­ние; сама опухоль также может растягивать пищеводное отвер­стие и способствовать развитию грыжи.

Параэзофагеальные грыжи пищеводного отверстия диафрагмы характеризуются перемещением в средостение какого-либо отдела желудка или других органов при нормальном положении кардии в брюшной полости. Эти грыжи встречаются редко и обладают склонностью к ущемлению. Основным видом грыж параэзофагеального типа яв­ляется фундальная грыжа пищеводного отверстия. Кардия при этой грыже остается на обычном месте под диафрагмой, а свод (дно) желудка пролабирует в средостение через пищеводное от­верстие рядом с пищеводом. Если с течением времени в резуль­тате расслабления пищеводно-диафрагмальной мембраны смещается вверх и кардия, то грыжа из фундальной превращается в кардиофундальную, т. е. в грыжу скользящего типа. Такая грыжа не склонна к ущемлению, при этом у одного и того же больного грыжа пищеводного отвер­стия может быть то параэзофагеальной, то эзофагеальной.

К редко встречающимся грыжам параэзофагеального ти­па относятся антральная, кишечная, кишечно-желудочная грыжи, при которых через пищеводное отверстие в средостение переме­щаются соответственно антральный отдел желудка, петли тонкой или толстой кишки, часть желудка в сочетании с кишечной грыжей, малый сальник. Еще более редкой разновидностью грыж параэзофагеального типа являются врожденные и приобре­тенные  грыжи об­щего пищеводно-аортального отверстия (пищеводно-аортальные грыжи).

Клиническая картина параэзофагеальных грыж разнообразна и зависит от содержимого грыжевого выпячивания. Наиболее частым симптомом являются бо­ли в эпигастральной об­ласти и за грудиной. При грыжах общего пищеводно-аортального отверстия преобладают боли и чувство стеснения в области сердца, усиливающиеся после приема пищи при сгибании туловища вперед и в горизонтальном положении. При обзорном рентгенологическом исследовании в проекции заднего средостения определяется горизонтальный уровень жид­кости или дополнительная тень, как и при фиксированных акси­альных грыжах. Основной задачей исследования является определение расположения кардии при прохождении первых глотков бариевой взнеси. Установить правильный диагноз позволяет поддиафрагмальное расположение кардии, характерное для параэзофагеальных грыж.

Ожоги пищевода

 

Различают химические, термические и лучевые ожоги пищевода, при этом, наиболее часто встречаются химические и термические. Химические ожоги обычно являются следствием воздействия едких щелочей и кис­лот. Степень повреждения пищевода зависит от концентрации и количества принятого вещества, возникающего спазма пищевода, неврологического статуса больного, индивидуальной чувствитель­ности организма и сроков оказания специализированной помощи. Ожог пищевода и возникающие впоследствии рубцовые сужения возникают, как правило, в местах физиологических суже­ний. При попадании в пищевод ядовитое вещество оказывает обжигающее действие на стенку пищевода и общее токсическое воздействие на организм.

Морфологически при ожоге пищевода различают четыре стадии патологиче­ских изменений: - гиперемия и отек слизистой оболоч­ки; - некроз и изъязвление; - грануляция; - рубцевание. Заживление при ожогах происходит медленно, развивающаяся соединительная ткань в течение 2 - 6 месяцев рубцуется и сморщива­ется. При повреждениях только слизистой оболочки образуется поверхностный рубец без сужения просвета пищевода. При по­ражении более глубоких слоев стенки пищевода развивается склерозированная рубцовая ткань - хронический коррозивный эзофагит. В процесс нередко вовлека­ется и околопищеводная клетчатка, образуются сращения и деформация пищевода.

Клиническая картина при ожоге пищевода также проходит четыре стадии: В I стадии на­блюдаются резкий отек слизистой оболочки и подслизистого слоя, гиперемия и некроз тканей. Во II стадии происходит отторже­ние некротических масс, вследствие чего увеличивается интокси­кация, образуются язвы. В III стадии интоксикация уменьшает­ся, самочувствие больных улучшается, происходит развитие гра­нуляционной ткани. В IV стадии появляются жалобы на затруд­ненное прохождение пищи вследствие развивающихся стриктур. Ожоговый процесс может осложниться перфорацией пищевода и медиастинитом. Помимо этого, в течении ожогового процесса выделяют три периода: - острых явлений; - мнимого благополучия; - руб­цевания.

Рентгенологическое исследование при ожоге пищевода необходимо проводить в ранние сроки всем больным, кроме находящихся в состоянии шока, для установления характера изменений в пищеводе. Иссле­дование начинают с обзорной рентгеноскопии, а по мере надоб­ности выполняют рентгенографию органов грудной и брюшной полости. Основная задача рентгенологического исследования в острой стадии - исключить наличие воздуха в средостении и наличие аспирационной пневмонии. Начиная со 2-й недели в зависимости от состояния больного, периода ожогового процесса и целей исследования можно проводить исследование с ис­пользованием жидкой бариевой взвеси, масляных и водорастворимых контрастных веществ. На основании рентгенологической картины в первом периоде выделяют три степени: I - легкий ожог, II - ожог средней тяжести и III - тяжелый ожог.

При ожоге I степени состояние больных удовлетворитель­ное, боли при глотании выражены нерезко. Жидкая бариевая взвесь свободно проходит по пищеводу, просвет его обычный, в нем содержится небольшое количество слизи, складки слизистой оболочки не изменены, местами сглажены или утолщены, пери­стальтика прослеживается. У некоторых больных отмечается регургитация.

При ожоге II степени отмечаются сильные боли, особенно при гло­тании. Просвет пищевода чаще расширен, но может быть и сужен за счет отека и спазма, в просвете значительное количество сли­зи. Складки слизистой оболочки выявляются неотчетливо из-за слизи. Перистальтика ослаблена или совсем не определяется. Эластичность стенок снижена, выражена регургитация. По ходу пищевода возникает спазм.

При ожоге III степени глотание затруднено, выражен болевой синдром. Наблюдается резко выраженная картина эзофагита - пищевод расширен с первого дня отравления, в про­свете много слизи, складки слизистой оболочки не определяются, отторгнутые участки слизистой оболочки создают картину де­фектов наполнения, выражена атония пищевода,   бариевая взвесь тонет в содержимом.

Через 8 - 12 дней воспали­тельные явления стихают и начинают развиваться рубцовые изменения. Рубцовый процесс обычно ста­билизируется через 6 месяцев, а иногда и позже.

Послеожоговые стриктуры в зависимости от степени их выраженности разделяют на две группы. К первой группе отно­сят сужения с просветом более 6 - 7 мм, которые не являются препятствием для прохождения хорошо прожеванной пищи. Та­кие стриктуры обычно покрыты бледной слизистой оболочкой без признаков эзофагита. Вторая группа включает стриктуры менее 6 мм, при которых нарушается продвижение пищевых масс и отмечаются характерные явления эзофагита. Слизистая оболочка в месте су­жения гиперемирована, нередко наблюдаются эрозии, иногда - разрастания грануляционной ткани.

Рентгенологическая картина послеожоговых стриктур пищево­да характеризуется стойким сужением просвета пищевода. Наиболее ранним рентгенологическим симптомом рубцовых изменений является ригидность стенок пищевода. Рубцовый процесс наиболее ча­сто локализуется в средней и особенно нижней трети пищевода, а также в области глоточно-пищеводного перехода. Сужение просвета может быть циркулярное или несколько не­равномерное  (асимметрич­ное), ограниченное или рас­пространенное. Для послеожоговых стриктур харак­терны их большая протяженность и множественность. Контуры пищевода в области суже­ния неровные, волнистые, очертания изломанные, иног­да спиралевидные. Рель­еф слизистой оболочки пере­строен, деформирован или сглажен, продольные склад­ки не прослеживаются, тем не менее признаков разрушения («обрыва») складок  нет. В ряде случаев складки слизистой оболочки прослеживаются только на от­дельных участках. При нерезко выраженном сужении складки широ­кие, продольные, местами сглажены. Эластичность стенок пищевода если и нарушена, то в сравнительно небольшой степени: всегда имеет место так называемая остаточная эластичность, а в области перехо­да суженного участка в неизмененный или расширенный, не наблюда­ется подрытости контуров, характерной для рака. Сократи­тельная способность пораженного участка сохранена, но ослаблена. В процессе исследования в области сужения почти постоянно определяется спазм, увеличи­вающий степень сужения. Перистальтика в измененных отделах пищевода не определя­ется.

Постоянное нарушение проходимости в суженных отделах ведет к развитию супрастенотического расширения, степень и вид которого зависит от уровня, степени и длительности существования сужения, характера питания больного. Чем ниже расположение стриктуры и чем больше выраженность и длительность ее существования, тем больше степень расширения. Если больные с момента появления дисфагии сразу переходят на питание жидкой пищей, то супрастенотическое рас­ширение менее выражено. Вначале супрастенотическое расширение имеет вере­тенообразный вид, затем приобретает форму конуса или мешка. Стен­ки расширенного участка пищевода эластичны, рельеф слизистой оболочки вследствие застойного эзофагита перестроен. При наличии периэзофагеальных сращений в зоне поражения отмечаются дефор­мация пищевода и ограничение вертикальных его смещений в про­цессе глотания. Переход расширенного участка в су­женный обычно имеет форму воронки, в ряде случаев наблюда­ется нависание стенки расширенного отдела над суженным. При небольшом сужении просвета пищевода супрастенотическое рас­ширение может отсутствовать, но ригидность стенок отчетливо выражена.

В целом, рентгенологическая карти­на рубцовых сужений достаточно патогномонична. Однако в некоторых случаях ни одни из указанных симптомов не выявляется, и тогда основное значение в диагностике имеет анам­нез. В случаях почти полной или полной непроходимости для определения протяженности и нижней границы сужения приме­няют ретроградное контрастирование через гастростому.

Осложнения ожогов со стороны пищевода, легких и сре­достения могут развиваться в различные сроки после отравления. При тяжелых ожогах нередко образуются пищеводно-бронхиальные свищи и перфора­ции пищевода вследствие глубоких некрозов, а в последующем развивается медиастинит. Час­тым осложнением являются аспирационные пневмонии, у ряда больных развиваются экссудативные плевриты как осложнение пневмонии или перфорации пищевода. При длительном существовании послеожоговых сужений возникает опасность их малигнизации. В зонах хронического воспалительного процесса и перестройки эпителия часто возника­ют пребластоматозные изменения, связанные с очагами избыточ­ной пролиферации клеточных элементов и метаплазии. Рак пищевода в ожоговых рубцовых стриктурах чаще на­блюдается у женщин, при этом сроки от момента возникновения ожога до обнаружения малигнизации самые раз­личные. Клиническими признаками  малигнизирования рубцовых являются упорная, быстро рецидивирующая дисфагия вплоть до полной непроходи­мости пищевода, особенно на фоне длительной ремиссии после ожога, усиление болей, внезапное исхудание.

Варикозное расширение вен пищевода и желудка

 

Варикозное расширение вен пищевода и желудка является частым источником кровотечений из пищеварительного тракта у больных с синдромом портальной гипертензии. Варикозно расширенные вены в пищеводе больных цирро­зом печени рентгенологически выявляются в 14 - 80%, при этом может наблюдаться не только одновременное расширение вен пи­щевода и желудка, но также изолированное расширение вен же­лудка.

Патогенетически выделяют четыре основные разновидности варикозного расширения вен пищевода и желудка:  1 - вследствии застоя в портальной системе при циррозе печени, тромбозе воротной или селезеночной вены, сдавлении воротной вены, ее врожденном или рубцовом сужении, метастатическом поражении печени. В этом случае вены свода желудка и нижней трети пищевода являются коллатералями для оттока венозной крови в полую вену. 2 - вследствии сердечной декомпенсации с застоем в большом круге кровообращения - вены расширяются по ходу всего пищевода. 3 - вследствии нарушения оттока по верхней полой вене при рубцовых процессах в средостении, саркоидозе и опухолях средостения. При этом, как правило происходит расширение вен в верхней трети пищевода. 4 - врожденное расширение вен пищевода и желудка. Описаны также слу­чаи варикозного расширения вен у пожилых людей, у которых отсутствовало какое-либо основное заболевание.

Варикозно расширенные вены в подслизистом слое неравномерно приподнимают слизистую оболочку, что приводит к ее травматизации на данном участке. Это вызывает возникновение эзофагитов и провоцирует кровотечения.

Клиническая симптоматика варикозного расширения вен пи­щевода и желудка нехарактерна: жжение и чувство тяжести за грудиной, умеренно выраженная дисфагия, регургитация, изжога, боли при глотании, обусловленные присоединившимся эзофагитом - частым осложнением варикозного расширения вен пищевода. Тяжелым осложнением является пищеводно-желудочное кровотечение.

Рентгенологический ме­тод исследования является основным в диагностике варикозного расширения вен пище­вода и желудка. При исследовании используют жидкую и густую барие­вую взвесь. Наиболее оптимальным кон­трастным веществом считается густая взбитая танинобариевая смесь, применяемая для изучения рельефа слизи­стой оболочки. Изучение функционального состояния органов в конце исследования производят с жидкой бариевой взвесью. Исследование проводят в вертикальном и горизонтальном по­ложении больного, наиболее информативно исследование в горизонтальном поло­жении на животе с поворотом на правый бок.

Клинико-рентгенологическая классификация варикознорасширенных вен пищево­да и желудка включает четыре степени в зависимости от выраженности и распро­страненности патологического процесса: 1 степень - незначитель­ные, начальные расширения вен, 2 степень - умеренно выраженные, 3 степень - отчетливо выраженные, 4 степень - резко выраженные расширения вен.

К наиболее ранним функциональным симптомам варикозного расши­рения вен пищевода относится тотальная или чаще сегментарная гипотония пищевода, его расширение и медленный пассаж ба­риевой взвеси, ослабление перистальтики и дискоординация функ­ции пищевода. При этом, атония пищевода считается предстадией варикозного расширения вен. Наи­более ранним рентгенморфологическим симптомом является образование утолщенных складок слизистой оболочки с волнистыми очертаниями. В случаях выраженного варикозного расширения вен пищевода на фоне несколько измененного рельефа слизистой оболоч­ки, имеющего ячеистый или кружевной вид, выявляются множест­венные дефекты наполнения округлой или овальной формы. Варикоз­ные узлы часто располагаются цепочками по ходу вен в виде об­разований, напоминающих полипы, или в виде коротких извилистых прозрачных полосок разной величины. Практически постоянным симптомом являются краевые дефекты, обусловливающие неровность контуров пище­вода, по типу «изъеденной молью» или «нитки жемчуга». Бариевая взвесь задерживается между дефекта­ми наполнения в виде отдельных помарок. У ряда больных выявляется выраженная картина недостаточности кардии и рефлюкс-эзофагита.

Типичная локализация варикозного расширения вен пищевода - нижняя треть пищевода. Протяженность процесса является косвенным пока­зателем тяжести процесса, в определенной мере ее можно исполь­зовать и для определения прогноза, при этом имеет значение также анатомическое строение венозной сети.

При варикозном расширении вен отсутствует явное сужение просвета пищевода, эластичность и сократительная способность стенок не нарушаются. Размеры дефектов наполнения меняются при приеме густой бариевой взвеси, сдавливающей варикозные узлы, а также под влиянием функ­циональных проб, покашливания и перемены положения тела. При сокращении пищевода узлы могут исчезать, а при расслаблении - появляться вновь. Варикозное расширение вен может появляться и исчезать в зависимости от выраженности цирроза.

Выявление варикозного расширения вен желудка при одновре­менном поражении пищевода не вызывает трудностей. Чаще ва­рикозное расширение вен желудка проявляется изменением складок слизистой оболочки: они становятся более извитыми, чем в норме, неравномерно расширены, нередко в проекции кардии определя­ется дополнительная тень с волнистыми очертаниями, форма и размеры которой меняются в процессе исследования. Подобных теней может быть несколько, они обмазаны бариевой взвесью и локализуются главным образом на задней стенке кардиального и субкардиального отделов желудка. Эти изменения слизистой оболочки сравнивают с «крупнопузырчатой мыльной пеной».

При изолированном варикозном расширении вен желудка подобные изменения практически невозможно дифференцировать от избы­точной слизистой оболочки и пролапсов. Косвенными симптомами варикозного расширения вен является выявление спленомегалии и других симптомов портальной гипертензии. Иногда в желудке наблюдается одиночный варикозно расширен­ный узел, который проявляется дополнительной тенью на фоне желудочного пузыря в проекции кардии.

Варикозное расширение вен в теле и антральном отделе желудка проявляется множественными мелкими и крупными дефектами наполнения на фоне широких, извитых складок слизистой оболочки. Для того, чтобы дифференцировать эти изме­нения от подобных изменений при полипозном гастрите и полипозе, используется симптом «отжима» - при пальпации дефекты наполнения, обусловленные варикозным расширением вен, исчезают вследст­вие выдавливания из них крови, а затем снова появляются.

Поражение пищевода при склерозирующем медиастините

 

Среди многообразных факторов, вызывающих стриктуры пищево­да, особое место занимает хронический склерозирующий медиастинит. По своим клиническим и морфологическим проявлениям изменения в пищеводе, развивающиеся при склерозе клетчатки средо­стения, схожи с таковыми при при эндофитном, плоско-инфильтрирующем раке пищевода. При хроническом медиастините за счет склероза клетчатки средостения вторично возникает деформация и сужение пищевода, сопровождающиеся дисфагией различной степени выраженности. Хронический медиастинит может являться следствием как гнойной, так и специфической инфекции, при этом одной из частых причин развития склероза клетчатки средостения и вторичных из­менений со стороны пищевода, является туберкулез.

Клинические проявления хронического медиастинита, со­провождающегося изменениями пищевода зависят от давности заболевания, степени выраженности склеротических из­менений в клетчатке средостения, локализации и степени измене­ний в пищеводе. Медиастинит туберкулезной этиологии характеризуется хроническим течением и склонностью к частым рецидивам. Характерным клиническим симптомом вторичного поражения пищевода при хроническом медиасти­ните является перемежающаяся, длящаяся годами дисфагия. Дисфагия при склерозирующем медиастините сопровождается чувством распирания и «кола» за грудиной. Могут наблюдаться симптомы нарушения функции глотки: кашель и поперхивание, более выраженные при приеме жидкой пищи. В анамнезе обычно имеются указания на перенесенный воспа­лительный процесс, при обзорном исследовании органов грудной клетки часто выявляется ограниченный или распространенный пневмосклероз, у ряда больных - дополнительная тень на фоне заднего средостения.

Рентгенологическая картина поражения пищевода при хроническом медиастините характеризуется преимущественной локализацией изменений в верхнем отде­ле пищевода, большой протя­женностью поражения, множественностью и неравномерностью его просвета. При рентгеноконтрастном исследовании определяется отклонение пищевода от его обычного по­ложения. Просвет пищевода более или менее расширен, после прохождения контрастного вещества стенки пищевода не спадаются, просвет зияет. В выраженных случаях в просвете много слизи, на хлопьях которой оседает взвесь бария. Складки слизистой оболочки утолщены, пространства между ними расши­рены или складчатость совсем не определяется. Стенки пищевода ригидны, расширенные участки чередуются с суженными. Измененный участок пищевода не смещается при гло­тании и во время дыхания, выше него определяется супрастенотическое расширение. Соответственно описанным изменениям на фоне заднего сре­достения может определяться дополнительная тень.

У ряда больных развивается картина пареза глотки: бариевая взвесь длительно и неравномерно заполняет валлекулы и грушевидные карманы глот­ки, отмечается затекание контрастной массы через надгортанник в гортань, трахею и бронхи.

Наряду с указанной типичной картиной при склерозирующем медиастините может опре­деляться циркулярное сужение пищевода на ограниченном протяже­нии с ровными и четкими контурами, не сопровождающееся его смещением и супрастенотическим рас­ширением, либо сопровождающееся наличием небольшого супрастенотического расширения выше сужения. Подобная рентгенологическая картина трудноотличима от наблюдаемой при инфильтрирующем эндофитном раке пищевода и характер процесса может быть установлен лишь при эндоскопичес­ком и гистологическом исследованиях.

Туберкулез пищевода

 

Первичное поражение пищевода туберку­лезом встречается достаточно редко. Туберку­лезный процесс в пищеводе обычно является частью диссеминированного процесса в легких, может раз­виваться в результате травмы пищевода у больных с активным легочным туберкулезом, может распространяться на пищевод из казеозных бифуркационных лимфатических узлов. При первичном поражении пищевода может наблюдаться диф­фузный процесс, при котором развиваются эзофагит и изъязвле­ния. В других случаях отмечается локальное сегментарное пора­жение, чаще в средней трети пищевода.

Характерным рентгенологическим симптомом туберкулеза пищевода, как и при поражении других от­делов желудочно-кишечного тракта, является изъязвление. Язвы чаще бывают множественными, и на рентгенограмме обусловливают "изъеденность" контуров пораженных участков пищевода. В большинстве случаев язвы плоские и не вызывают выраженного стеноза. При зажив­лении язв образуются рубцовые сужения просвета и супрастенотическое расширение. Могут возникать свищи с трахеей, бронхами и плеврой, которые приводят к развитию гнойного медиастинита.

Монилиаз пищевода

 

Монилиаз - соматическое поражение пищевода кандидамикозом, которое  встречается у больных с заболеваниями крови, длительно получаю­щих стероидную терапию и цитостатики, а также при дли­тельном применении антибиотиков, особенно широкого спектра. Возбудителем монилиаза пищевода является дрожжевой гриб рода Candida albicans.

Морфологическая картина монилиаза характеризуется воспалитель­ным процессом с изъязвлениями и образованием псевдооболочек. Наиболее часто пищевод по­ражается при переходе процесса из полости рта и глотки, реже пищевод может быть единственным пораженным органом. В глубоких слоях стенки пищевода развиваются отек и гиперемия, иногда возникает некроз его стенки или развивается флегмонозное воспаление пищевода и средостения. Клиническая картина заболевания характеризуется внезапным началом, быстро прогрессирующей дисфагией, чувством жжения и боли на фоне основного заболевания.

Рентгенологическая картина монилиаза пищевода зависит от длительности заболевания и патоморфологических изменений стен­ки пищевода. При исследовании в первые 7 - 10 дней с момента заболевания определяется картина эзофагита: - просвет пищевода умеренно расширен, содержит слизь, складки слизистой оболочки утолщенные, извитые, расположены беспорядочно (симптом "бу­лыжной мостовой"), перистальтика ослаблена, контуры пищевода неровные, оборванные. Если на этом этапе не проводится специфическое лечение или оно оказывается малоэффективным, могут возникать изъязв­ления. Просвет пищевода может быть сужен за счет скопления в нем некротических масс. При благоприятном течении процесс подвергается обратному развитию, при несвоевременно начатом лечении развиваются рубцовое сужение и укорочение пищевода. Нелеченый монилиаз пищевода в короткое время при­водит к смертельному исходу.

Неспецифический регионарный стенозирующий эзофагит

Неспецифический регионарный стенозирующий эзофагит (болезнь Крона) относится к заболеваниям, которые в короткие сроки приводят к стенозу пищевода. Заболевание чаще встречается у лиц молодого возраста. Основной жалобой является быстро нарастающая дисфагия, к которой в дальнейшем присоединяется рвота вследствие развившегося сте­ноза, отмечается уменьшение массы тела. Морфологически отмечается выраженная аденопатия на уровне суженного отдела пищевода и сращения с клетчаткой сре­достения, стенки пищевода утолщены за счет первичного подслизистого фиб­роза неясной этиологии, приводящего к сужению и укорочению пи­щевода, разрушению мышц и слизистой оболочки. Болезнь Крона может одновременно поражать кишечник и пищевод.

Рентгенологическая картина на ранних стадиях заболевания характеризуется ригидностью стенок пищевода, пораженный отдел не смещается при дыхании и глотании, кон­туры его неровные, слизистая оболочка грубая. Также определяются увеличенные лимфатические узлы средостения, в ряде случаев образуются свищи. В более выраженных случаях развивается быстро прогрессирующее сужение пищевода, приводящее к сте­нозу. 

Катенёв Валентин Львович аватар
Не на сайте
Был на сайте: 7 лет 5 месяцев назад
Зарегистрирован: 22.03.2008 - 22:15
Публикации: 54876

 

Дивертикул пищевода.

Катенёв Валентин Львович аватар
Не на сайте
Был на сайте: 7 лет 5 месяцев назад
Зарегистрирован: 22.03.2008 - 22:15
Публикации: 54876

 

Диафрагмальные грыжи.

Катенёв Валентин Львович аватар
Не на сайте
Был на сайте: 7 лет 5 месяцев назад
Зарегистрирован: 22.03.2008 - 22:15
Публикации: 54876

 

Варикозное расширение вен пищевода.

 

22m.Slayd46.JPG
22m.Slayd46.JPG85.95 кб
23m.Slayd47.JPG
23m.Slayd47.JPG59.23 кб
24m.Slayd48.JPG
24m.Slayd48.JPG66.12 кб
25m.Slayd49.JPG
25m.Slayd49.JPG60.37 кб
26m.Slayd50.JPG
26m.Slayd50.JPG59.96 кб
27m.Slayd51.JPG
27m.Slayd51.JPG66.46 кб
28m.Slayd52.JPG
Катенёв Валентин Львович аватар
Не на сайте
Был на сайте: 7 лет 5 месяцев назад
Зарегистрирован: 22.03.2008 - 22:15
Публикации: 54876

Штопорообразный пищевод

Приложения: 
0.radiologyinfo_eng.gif1fyfy.slayd175.jpg
Катенёв Валентин Львович аватар
Не на сайте
Был на сайте: 7 лет 5 месяцев назад
Зарегистрирован: 22.03.2008 - 22:15
Публикации: 54876

Ахалазия пищевода

 

Приложения: 
1fyfy.slayd176.jpg
Катенёв Валентин Львович аватар
Не на сайте
Был на сайте: 7 лет 5 месяцев назад
Зарегистрирован: 22.03.2008 - 22:15
Публикации: 54876

Продолжение

 

Приложения: 
1uuslayd173.jpg
Катенёв Валентин Львович аватар
Не на сайте
Был на сайте: 7 лет 5 месяцев назад
Зарегистрирован: 22.03.2008 - 22:15
Публикации: 54876