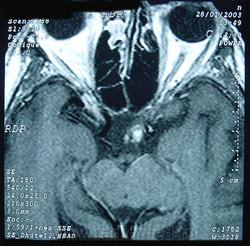
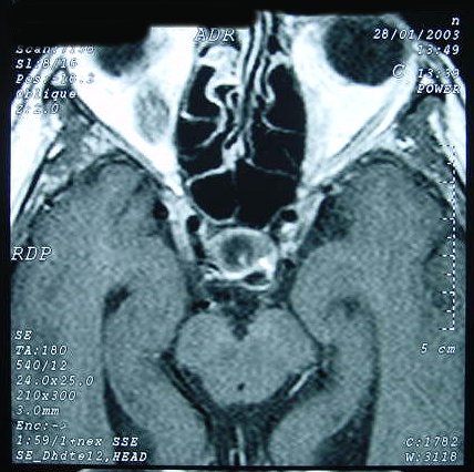
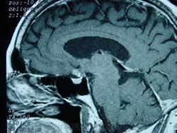
ГМ. Кавернома 2. Кавернома зрительного тракта. +

Кавернома зрительного тракта

Отдел патологии, школа медицинских наук. Государственного Университета Кампинас (UNICAMP). Кампинас, Сан-Паулу, Бразилия.