ГМ. Менингиома 2. +

Менингиома

 

Отдел патологии, школа медицинских наук.
Государственного Университета Кампинас (UNICAMP).
Кампинас, Сан-Паулу, Бразилия.

nnemo аватар
Не на сайте
Был на сайте: 11 лет 3 месяцев назад
Зарегистрирован: 13.09.2011 - 18:32
Публикации: 561

Постконтрастные сканы

Катенёв Валентин Львович аватар
Не на сайте
Был на сайте: 7 лет 2 месяцев назад
Зарегистрирован: 22.03.2008 - 22:15
Публикации: 54876

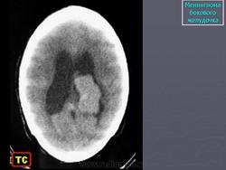
Менингиома

 

Приложения: 
1.meningiomaslayd5.jpg
Катенёв Валентин Львович аватар
Не на сайте
Был на сайте: 7 лет 2 месяцев назад
Зарегистрирован: 22.03.2008 - 22:15
Публикации: 54876

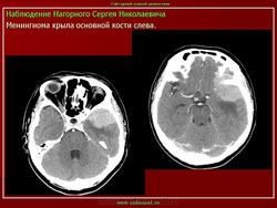
Менингиома

 

Приложения: 
1.ane_.slayd61.jpg2.ane_.slayd62.jpg3.ane_.slayd63.jpg
Катенёв Валентин Львович аватар
Не на сайте
Был на сайте: 7 лет 2 месяцев назад
Зарегистрирован: 22.03.2008 - 22:15
Публикации: 54876

Менингиома

Приложения: 
1.men_.slayd55.jpg2.men_.slayd56.jpg
Катенёв Валентин Львович аватар
Не на сайте
Был на сайте: 7 лет 2 месяцев назад
Зарегистрирован: 22.03.2008 - 22:15
Публикации: 54876

Менингиома.

Приложения: 
1.men_.slayd83.jpg2.men_.slayd84.jpg3.men_.slayd85.jpg
Катенёв Валентин Львович аватар
Не на сайте
Был на сайте: 7 лет 2 месяцев назад
Зарегистрирован: 22.03.2008 - 22:15
Публикации: 54876

Менингиома

Приложения: 
1.men_.slayd211.jpg2.men_.slayd212.jpg3.men_.slayd213.jpg4.men_.slayd214.jpg5.men_.slayd215.jpg6.men_.slayd216.jpg7.men_.slayd217.jpg
Катенёв Валентин Львович аватар
Не на сайте
Был на сайте: 7 лет 2 месяцев назад
Зарегистрирован: 22.03.2008 - 22:15
Публикации: 54876

Продолжение.

Приложения: 
1.men_.slayd45.jpg2.men_.slayd46.jpg3.men_.slayd47.jpg4.men_.slayd48.jpg5.men_.slayd49.jpg6.men_.slayd50.jpg7.men_.slayd51.jpg
Катенёв Валентин Львович аватар
Не на сайте
Был на сайте: 7 лет 2 месяцев назад
Зарегистрирован: 22.03.2008 - 22:15
Публикации: 54876

Продолжение.

Приложения: 
1.men_.slayd21.jpg2.men_.slayd22.jpg3.men_.slayd23.jpg4.men_.slayd24.jpg5.men_.slayd25.jpg6.men_.slayd26.jpg7.men_.slayd27.jpg8.men_.slayd28.jpg9.men_.slayd29.jpg10.men_.slayd30.jpg11.men_.slayd31.jpg12.men_.slayd32.jpg13.men_.slayd33.jpg14.men_.slayd34.jpg15.men_.slayd35.jpg16.men_.slayd36.jpg17.men_.slayd37.jpg18.men_.slayd38.jpg19.men_.slayd39.jpg20.men_.slayd40.jpg21.men_.slayd41.jpg22.men_.slayd42.jpg23.men_.slayd43.jpg24.men_.slayd44.jpg
Катенёв Валентин Львович аватар
Не на сайте
Был на сайте: 7 лет 2 месяцев назад
Зарегистрирован: 22.03.2008 - 22:15
Публикации: 54876

Менингиома

Приложения: 
1.men_.slayd65.jpg2.men_.slayd66.jpg3.men_.slayd67.jpg4.men_.slayd68.jpg5.meng_.slayd69.jpg6.men_.slayd70.jpg7.men_.slayd71.jpg8.men_.slayd72.jpg9.men_.slayd73.jpg10.men_.slayd74.jpg11.men_.slayd75.jpg12.men_.slayd76.jpg13.men_.slayd77.jpg14.men_.slayd78.jpg15.men_.slayd79.jpg16.men_.slayd80.jpg17.men_.slayd81.jpg18.men_.slayd82.jpg19.men_.slayd83.jpg20.men_.slayd84.jpg
Катенёв Валентин Львович аватар
Не на сайте
Был на сайте: 7 лет 2 месяцев назад
Зарегистрирован: 22.03.2008 - 22:15
Публикации: 54876

Менингиома

 

Приложения: 
1._men.slayd157.jpg
Катенёв Валентин Львович аватар
Не на сайте
Был на сайте: 7 лет 2 месяцев назад
Зарегистрирован: 22.03.2008 - 22:15
Публикации: 54876

Гигантская менингиома,  лобно-теменной гиперостоз. 

Приложения: 
1.gigantskie_meningiomy_s_lobno-temennoy_giperostoz..jpg2.dsc135299.jpg120221-5.jpg120221-9.jpg120221-14.jpg120221-18.jpg120221-22.jpg120221-26.jpg120221-30.jpg120221-35.jpg120221-39.jpg120221-44.jpg120221-52.jpg120221-56.jpg120221-56.jpg120221-60.jpg120221-62.jpg120221-62.jpg120221-73.jpgdsc135283.jpgdsc135287.jpgdsc135292.jpgdsc135303.jpgdsc135305.jpgdsc135307.jpgdsc135328.jpg
Катенёв Валентин Львович аватар
Не на сайте
Был на сайте: 7 лет 2 месяцев назад
Зарегистрирован: 22.03.2008 - 22:15
Публикации: 54876

Продолжение

Приложения: 
dsc135337.jpgdsc135339.jpgdsc135341.jpgdsc135350.jpgdsc135351.jpgdsc135351.jpgdsc135358.jpgdsc135364.jpgdsc135372.jpgdsc135387.jpgdsc135392.jpgdsc135397.jpgdsc135406.jpgdsc1354145.jpgdsc135418.jpgdsc135425.jpgdsc135433.jpgdsc135438.jpgdsc135440.jpgdsc135447.jpgdsc135449.jpgdsc135450.jpgdsc135451.jpgdsc135453.jpgdsc135458.jpgdsc146570.jpgdsch32379.jpg
Катенёв Валентин Львович аватар
Не на сайте
Был на сайте: 7 лет 2 месяцев назад
Зарегистрирован: 22.03.2008 - 22:15
Публикации: 54876

Продолжение.

 

Приложения: 
1..yy_..slayd140.jpg2..yy_..slayd141.jpg
Катенёв Валентин Львович аватар
Не на сайте
Был на сайте: 7 лет 2 месяцев назад
Зарегистрирован: 22.03.2008 - 22:15
Публикации: 54876

Продолжение.

Приложения: 
1.uu_.slayd158.jpg1.uu_.slayd159.jpg1.uu_.slayd160.jpg1.uu_.slayd161.jpg1.uu_.slayd168.jpg1.uu_.slayd169.jpg