КСС. Синовит пигментный виллёзонодулярный 3. +

Синовит пигментный виллёзонодулярный.

Пигментный виллёзонодулярный синовит - редкое заболевание с доброкачественным течением, характеризующееся пролиферативными изменениями синовиальной оболочки, отложением гемосидерина, образованием ворсинок, паннуса. Две разновидности: виллёзонодулярный бурсит и виллёзонодулярный тендосиновит. Частота - 2 на I 000 000. Преобладающий возраст • Виллёзонодулярный бурсит - 30-40 лет • Виллёзонодулярный тендосиновит -50-60 лет. Преобладающий пол - женский. Этиология. В 30% случаев развитию синовита предшествует травма сустава. Патоморфология. Пролиферация клеток синовиальных оболочек с образованием узлов, содержащих клеточный инфильтрат из фибробластов, лимфоцитов, макрофагов с жировыми включениями. Клиническая картина • Виллёзонодулярный бурсит -моноартрит. Чаще всего (80% случаев) поражается коленный сустав, реже - (с убывающей частотой) тазобедренный, голеностопный и плечевой суставы • Виллёзонодулярный тендосиновит - образование узелков в мышечных сухожилиях и связках сустава. Лабораторные исследования • Увеличение СОЭ • Синовиальная жидкость ксантохромная, с примесью крови • Биопсия синовиальной оболочки: узловая пролиферация, гемосидероз, инфильтрация мононуклеарными клетками. Рентгенологическое исследование • Остеопороз и наличие остеофитов нехарактерны • Артропневмография: множественные округлые дефекты наполнения синовиальной полости, обусловленные наличием узлов или гипертрофированных ворсинок синовиальной оболочки • МРТ - выявление гемосидерина и жировых включений. Артроскопия • Суставной хрящ приобретает коричневую окраску вследствие гемосидероза • Различной величины узлы коричневого цвета. Дифференциальный диагноз • Виллёзонодулярный бурсит • Липома - в аспиратах отсутствует ксантохромная жидкость • Остеоартроз - кисты возникают только на суставных поверхностях, подвергающихся нагрузке, тогда как при пигментном виллёзонодулярном синовите они образуются на всех суставных поверхностях. Остеофи-ты, напротив, более типичны для остеоартроза • Воспалительные арт-ропатии, дебютирующие моноартритом, - ревматоидный артрит, туберкулёзный артрит, анкилозирующий спондилоартрит и др. • Виллёзонодулярный тендосиновит - панглии (околосухожильные кисты): аспираты ганглиев содержат гелеподобную жидкость. Лечение хирургическое • Виллёзонодулярный бурсит • Тотальное иссечение синовиальной оболочки, вероятность рецидива заболевания составляет 25-40% • Лучевая терапия • Виллёзонодулярный тендосиновит - иссечение кист. Синоним. Синовит геморрагический МКБ. М12.2 Ворсинчато-узелковый (виллонодулярный) синовит (пигментный)

________

Sumer's Radiology Site        

Катенёв Валентин Львович аватар
Не на сайте
Был на сайте: 7 лет 2 месяцев назад
Зарегистрирован: 22.03.2008 - 22:15
Публикации: 54876

 

Пигментированный ворсинчато-узловой синовит (ПВУС) - пролиферативно-диспластическое поражение синовиальных оболочек суставов, слизистых сумок и сухожильных влагалищ. Обычно поражаются крупные суставы, особенно коленный. Синонимы: пигментированный ворсинчато-узловой синовит, пигментный вилонодулярный синовит, миелоксантома, гигантоклеточный синовит, фиброзная синовиальная ксантома, полиморфно-клеточная опухоль синовиальных оболочек, гигантоклеточная доброкачественная опухоль синовиального влагалища. Имеются данные, позволяющие предполагать связь заболевания с местным нарушением липидного обмена.
По клинико-рентгенологическому проявлению выделяли 3 стадии заболевания: I - начальные проявления, II - выраженные клинические проявления, III - вовлечение в патологический процесс костей, образующих сустав. Основным клиническим проявлением поражения служит тестообразной консистенции припухлость в области заворотов сустава, которая медленно увеличивается в размерах, безболезненна при пальпации, определяется местное повышение температуры. Характер припухлости, выявляемой при пальпации, особенность васкуляризации патологической ткани, возможность появления очагов обызвествления, а также такие общие симптомы, как анемия, снижение трудоспособности и уменьшение массы тела, не характерны для обычного течения ПВУС.
В ортопедо-травматологическом отделении №1 ГКБ №9 г. Челябинска было зарегистрировано 6 диагностических случаев пигментного вилонодулярного синовита, из них двусторонний синовит - у 1 молодого человека в возрасте 17 лет и у 1 девушки 19 лет, односторонний синовит - у мужчины в возрасте 26 лет, у мальчика - 14 лет, у девочки - 14 лет и у девочки в возрасте 2 лет 11 месяцев. Все случаи синовита подтверждены гистологическим исследованием.
Диагностика данной патологии, за редким исключением, возможна только при диагностической артроскопии с последующей биопсией. Артроскопическая картина во всех рассмотренных случаях довольно характерна. Синовиальная оболочка отечна и утолщена. Почти на всем ее протяжении, особенно в верхнем завороте, покрыта резко гипертрофированными, отечными синовиальными ворсинами. Формы их весьма разнообразны, но превалируют ветвистые и полипообразные, которые наиболее часто располагаются в области задней стенки верхнего заворота на передней поверхности бедренной кости. Характерной особенностью является то, что синовиальная оболочка окрашивается в различные оттенки буровато-коричневого цвета. Нередко наблюдаются также поверхностные фибринозные наслоения. Некоторые авторы отмечают возможную инвазию патологически измененной синовиальной оболочки на суставной хрящ.
Основным методом лечения ПВУС является тотальная синовкапсулэктомия методом артроскопии или широкой артротомии.
Выводы:

  1. Пигментный виллезонодулярный синовит - заболевание, которому свойственно развитие в молодом возрасте.
  2. Опухолевая форма ПВУС является разновидностью клинического течения заболевания.
  3. Для опухолевой формы ПВУС характерно появление плотной бугристой опухоли, которая сопровождается усилением венозного рисунка кожи, более выраженным контрастированием сосудов в капиллярной фазе, наличием очагов обызвествления в мягкотканом компоненте, анемией, снижением трудоспособности и массы тела (как при истинных опухолях).
  4. Артроскопическая диагностика виллезонодулярного синовита является малоинвазивной, недостаточно информативной методикой исследования.

Гелозутдинов Б.Е., Боев Н.А., Полляк Н.А.
Городская клиническая больница № 9, г. Челябинск

Приложения: 
pigmen8.jpgpigmen9.jpgpigmen10.jpgpigmen11.jpgpigmen12.jpg
Катенёв Валентин Львович аватар
Не на сайте
Был на сайте: 7 лет 2 месяцев назад
Зарегистрирован: 22.03.2008 - 22:15
Публикации: 54876

 

Пигментный ворсинчато-узловой синовит (ПВУС) наблюдается в суставах, сухожильных влагалищах и слизистых сумках, поэтому естественно предположить, что он возникает в результате нарушения физиологии, биохимизма этих близких по строению и функции образований. Данных, указывающих на диспластическую основу этого заболевания, не обнаружено, но отрицать возможность диспластической основы нельзя.
Y.Ohjimi и др. (1966) и G.Minsola и др. (1996) описали структурные аномалии 1-й, 3-й и 18-й хромосом, трисомию 7-й хромосомы и изменения в генах, ответственных за III фактор свертывания крови.
ПВУС - редкая патология, но, возможно, он встречается чаще, чем мы считаем, так как нередко его неправильно диагностируют. Принято считать, что ПВУС развивается менее чем в 1 % заболеваний суставов, чаще у женщин, начало заболевания возможно в возрасте от 4 до 75 лет, однако наиболее часто такой синовит диагностируется у больных в возрасте от 16 до 30 лет. Как правило, поражается один сустав, крайне редко 2 или 3 сустава.
Наиболее часто встречается ПВУС коленного сустава - у 80 % больных, хотя F.Schajowicz сообщает о 65 % таких больных; затем по мере убывания процента поражения следуют тазобедренный, голеностопный суставы, суставы кисти, локтевой, плечевой, слизистые сумки, сухожильные влагалища.
Впервые ПВУС позвоночника описали в 1980 г. G.M.Klemman и соавт., а всего в литературе описано 23 таких наблюдения [Махсон А.Н. и др., 1999, и др.]. Совершенно ясно, что это поражение синовиальной оболочки суставов между суставными отростками.
Необходимо предостеречь врачей, которые вопреки клинико-морфологической картине совершенно неправильно относят к ПВУС гигантоклеточные опухоли сухожильных влагалищ; ясно, что статистические данные у этих авторов будут другими.
Установить, кто первый описал ПВУС, довольно трудно. В 1912 г. C.Dowd сообщил о таком больном в статье "Виллезный артрит коленного сустава «Саркома»", однако благоприятное течение процесса не давало оснований утверждать, что это саркома. P.Byers и др. (1968) считают, что первым ПВУС описал в 1852 г. Chassaignac, наблюдавший поражение сухожильных влагалищ II и III пальцев кисти; не исключено, что это была гигантоклеточная синовиома сухожильных влагалищ. Отсутствие единого взгляда не сущность процесса и его этиопатогенез, рецидивы после оперативного иссечения патологической ткани послужили причиной появления многочисленных названий, авторы которых считали этот процесс опухолевым: геморрагический виллезный синовит, ксантома, ксантогранулема, полиморфно-клеточная опухоль синовиальной оболочки и т.д.
L.Lichtenstein (1955), просматривая препараты, полученные у 2 больных, перенесших ампутацию по поводу повторных рецидивов поражения коленных суставов, пришел к выводу, что процесс не является злокачественным. Однако частые рецидивы, возможность выхода процесса за пределы суставной капсулы и деструкция костей, наблюдаемые при ПВУС, вопреки мнению многих ортопедов и морфологов, дали основание таким известным специалистам, как F.Schajowicz, I.Blumenfeld (1968), U.Nilsonne, G.Moberger (1969), высказать мнение о злокачественности этого процесса; впоследствии наблюдения за больными дали им основание отказаться от этого мнения.
С.С.Родионова (1981) считала, что ПВУС - не опухолевый процесс; эту точку зрения разделяли и мы, считая ее правильной. Однако у 3 больных более чем из 60 наблюдавшихся нами была выявлена особая форма, которую в 1987 г. мы с С.С.Родионовой описали как опухолевую; поэтому, как показывает жизнь, при наличии опухолевых форм возможно появление и озлокачествления или злокачественной формы. F.Schajowicz (1981) сообщает, что злокачественная трансформация - исключительно редкое явление и что он наблюдал ее только в одном случае, когда после двух рецидивов процесса в коленном суставе развилась озлокачествленная пролиферация гистиоцитов и больной умер через 1 год после ампутации с легочными метастазами, которые, очевидно, гистологически исследовались. Несомненно необходимо дальнейшее наблюдение за больными с ПВУС, поскольку внимание этому процессу уделяется только последние 30-40 лет и даже не во всех лечебных учреждениях.
Клиническая картина ПВУС очень своеобразна и характерна.
Исподволь появляются припухлость в области пораженного сустава, нерезко выраженный дискомфорт при ходьбе и движениях, приблизительно половина больных испытывают небольшую и непостоянную боль. Все это приводит к позднему обращению больных к врачу. При осмотре отмечаются незначительная атрофия мышц, сглаженность контуров и припухлость сустава, возможно небольшое повышение местной температуры, например над верхним заворотом коленного сустава. В случае поражения коленного сустава (диффузная форма) при пальпации верхнего заворота определяется выраженное мягкое, эластичное утолщение синовиальной оболочки, которое мы предлагаем называть симптомом двойной бархатной складки (симптом Зацепина). Как правило, в суставе имеется выпот с очень характерным желтовато-красным или красно-бурым цветом; степень красного оттенка зависит от интенсивности гемолиза эритроцитов. При более редком очаговом, частичном поражении спиновиальной оболочки иногда удается прощупать островок - узелок ПВУС. Больные длительное время ходят, не хромая; лишь очень большие ворсинки могут вызывать симптом временной блокады сустава, более мягкой, чем при повреждении мениска или ущемлении хрящевого тела.
В зависимости от распространенности процесса различают локальную и диффузную формы. Говоря о клинической картине, следует иметь в виду, что F.Schajowicz (1981) писал о существовании формы пигментно-виллезно-узелкового синовита, т.е. без «узелкового» синдрома, а просто пигментного синовита, который F.Mandel в 1928 г. описал как «хронический ворсинчатый геморрагический артрит». Подобные наблюдения - не редкость, были они и у нас как при первичном, так и при повторном оперативном вмешательстве. Мы согласны с F.Schajowicz, что это - стадия ПВУС, но должны добавить следующие соображения: при рецидиве процесса после хорошо выполненной операции (рецидивы возникают часто) резко редуцируется кровообращение вновь образованной капсулы и синовиальной оболочки сустава, а сосудистый компонент необходим: он играет важную роль в разрастании ворсинок и образовании узелков.
Поскольку процесс протекает медленно, увеличение внутреннего объема сустава из-за разрастаний патологической ткани и накопления жидкости не вызывает заметного повышения давления в суставе и боли, так как капсула сустава постепенно растягивается, достигая иногда громадных размеров, но, как правило, не бывает резко поражена. Эвакуация некоторого количества жидкости (ее нужно подвергнуть микроскопическому исследованию, посеву и т.д.), снижая давление, уменьшает неприятные ощущения. В результате медленного прогрессирования патологического процесса у больных сохраняется нормальная походка, полный или почти полный объем движений в суставе. Описанные выше симптомы и получение при пункции сустава желтовато-красной или красно-бурой суставной жидкости характерны для ПВУС.
Опухолевидная (опухолевая) форма пигментного ворсинчато-узлового синовита была выделена нами и описана совместно с С.С.Родионовой в 1987 г. За 30 лет мы наблюдали только 3 больных с необычной для ПВУС клинической картиной (у 2 больных был поражен тазобедренный и у одного - коленный сустав), а именно - прогрессирующим ростом специфической ткани с образованием опухолевых узлов очень больших размеров - 20 х 14 х 12 см и массой до 3 кг, представлявших темно-бурую, почти черно-красную опухолевую массу, что заставляло хирурга проводить дифференциальную диагностику с сосудистой (злокачественной) опухолью, метастазом меланомы, узлом плазмоцитомы. Эта ткань не была похожа на ворсинки и узелки, наблюдаемые обычно: это была опухолевая масса с большой активностью роста. Три симптома выделяли этих больных из классической клинической картины:
• постепенная выраженная потеря массы тела - резкая худоба;
• выраженная анемия;
• обширность и выраженность остеолитических процессов (разрушение шейки и головки бедренной кости и костей таза).
Выраженная анемия объясняется гемолизом эритроцитов в большом узле специфической для ПВУС патологической ткани, этот опухолевый узел интенсивно пигментирован гемосидерином. По мнению С.С.Родионовой, как и нашему мнению, возможно, пролиферация сосудов и анемия могут обусловливаться активацией лимфоцитов и макрофагов пораженной синовиальной оболочки, которые способны влиять на пролиферацию и процесс дифференцирования эритроцитов в костном мозге, что было показано В.М.Манько (1978) в эксперименте.
После оперативного удаления патологической ткани у одного больного с разрушением головки, шейки бедренной кости и части вертлужной впадины была осуществлена попытка произвести артродез, но это оказалось невозможным из-за резких дистрофических изменений в костях, образующих тазобедренный сустав. В послеоперационном периоде общее состояние больных довольно быстро стало улучшаться, исчезла анемия, повысилась масса тела. Двое больных после операции получили лучевую терапию в дозах 14 и 18 Гр. Они все выздоровели, срок наблюдения составил 10, 16, 25 лет. У больной с поражением коленного сустава через 2,5 года появился рецидив в мягких тканях по передней поверхности бедра, где располагалось и первичное образование; общее состояние больной, как и в первый раз, изменилось: появились анемия, слабость, снижение массы тела. Иссечение рецидивного узла привело к выздоровлению.
Хотя морфологи и представили описание микроскопической картины, типичной для обычного ПВУС, мы считаем, что дальнейшие наблюдения и исследования позволят выявить и морфологические особенности, которые заключаются хотя бы и в том, что патологическая ткань разрастается без всякой связи с синовиальной оболочкой - «сама из себя», давая основание считать это опухолевым процессом.
Злокачественные формы ПВУС у 6 больных описали такие авторитетные специалисты, как F.Berton, K.K.Unni, J.W.Beabou, F.H.Sim (1997). При этом 4 больных умерли от метастазов в легкие.
Рентгенологическая картина при поражении коленного сустава достаточно характерна. При поражении других суставов, что встречается значительно реже, она менее характерна, и чтобы поставить диагноз, нужно помнить о симптомах, свойственных этому заболеванию.
Рентгенологическая симптоматика описывалась во многих работах. А.Г.Васин и др. (1973), М.К.Климова, С.Т.Зацепин, Л.И.Белякова (1974), R.Lewis (1947), C.Breimer, R.Freiberger (1958), P.E.Mac Master (I960), J.Smith, D.Pugh (1962), G.A.Snook (1963), R.Wolft, V.Guliano (1970) подробно описали рентгеносимптоматику, а А.А.Беляева и С.С.Родионова (1980, 1981) дополнили ее, проведя артропневмографию и ангиографию.
Основным симптомом является то, что синовиальная оболочка хорошо контрастируется на простых рентгенограммах. Это объясняется тем, что патологически разрастающаяся синовиальная оболочка богато снабжена сосудами 4-5-го порядка и капиллярами; следовательно, ее кровенаполнение резко повышено и она хорошо контрастируется. Хорошо виден резко увеличенный верхний заворот в виде белесого пятна овальной формы, иногда достигающего средней трети бедра. Поскольку его переднезадний диаметр составляет 5-7 см, увеличивается и вся масса мягких тканей.
Видны также контуры задних отделов суставов. Аналогичная картина может наблюдаться и при поражении других суставов, но не тазобедренного: при его поражении ягодичные и другие мышцы, толстым слоем покрывающие сустав, «смазывают» контуры суставной сумки.
При локальной форме виден ограниченный участок уплотнения в мягких тканях. Изменений суставных поверхностей, покрытых хрящом, не бывает, тогда как примерно у половины больных патологическая ткань проникает в кость, в той или иной степени разрушая ее, структура же остальных отделов костей остается неизменной.
М.К.Климова, С.Т.Зацепин, Л.И.Белякова (1974) выделили следующие рентгенологические признаки разрушения костей:
• мелкие кистевидные очаги просветления без склеротического ободка;
• мелкие кистевидные очаги, окруженные склеротическим ободком;
• крупные очаги кистевидного просветления, схожие с крупноячеистыми очагами при остеобластокластоме, но без истончения кортикального слоя и вздутия кости;
• краевые узуры;
• сочетание кистевидных очагов просветления с краевыми узурами.
Узуры, мелкие и особенно крупные очаги разрушения костной ткани носят, по нашему мнению, специфический характер, особенно это касается их расположения. Очаг (узура) расположен так, что одним из своих сторон примыкает к тому участку кости, где к ней прикрепляется синовиальная оболочка. Наиболее часто это отмечается в местах прикрепления к кости мощной связки, покрытой синовиальной оболочкой, особенно если в связке проходит крупный артериальный сосуд. P.Scott (1968) считал, что распространение ворсинчатой ткани в кость происходит по ходу каналов для питающих кость сосудов. Можно считать патогномоничными наличие небольших очагов деструкции в шейке бедренной кости и головке бедренной кости, а также небольшого или очень значительного очага деструкции костей дна вертлужной впадины, при этом процесс всегда возникает в месте прикрепления круглой связки. При поражении коленного сустава очаги разрушения обычно возникают в местах прикрепления синовиальной оболочки на границе суставного хряща.
Клинические наблюдения неоспоримо доказывают, что только синовиальная оболочка, капсула сустава и суставной хрящ устойчивы к лизосомальным и другим ферментным системам, находящимся в синовиальной жидкости в полости сустава. Проникнув в спонгиозу кости, патологическая ткань сравнительно легко разрушает кость, чего не наблюдается в суставных хрящах.
Поражение костей относительно чаще встречается у больных с процессом в тазобедренном суставе, чем в коленном. При артропневмографии:
хорошо видны размеры пораженного сустава, толщина стенок капсулы сустава, различные выпячивания, внутренний контур полости суставов, нитевидные тяжи, проходящие от одной поверхности капсулы сустава к другой, уплотнения - узлы патологической ткани, прилегающие к просвету полости;
у некоторых больных со II-III стадиями процесса в заворотах определялись группы округлых просветлений, что создавало специфическую картину - симптом сот (симптом Родионовой, описанный в 1974 г. М.К.Климовой, С.Т.Зацепиным, Л.И.Беляковой);
4 у 40 % больных со II и III стадиями заболевания узелковые уплотнения определялись не только по внутреннему, но и по внешнему переднему внесуставному контуру капсулы.
Как считают некоторые авторы, эти изменения связаны с распространением измененной ткани синовиальной оболочки сквозь фиброзный слой капсулы. Наши наблюдения показали, что это не активное , а пас сивно е прорастание фиброзной капсулы. В результате давления (растяжения) в фиброзных структурах образуется растяжение структур, фиброзных пучков и патологическая ткань выпячивается за пределы капсулы в виде грыжи. Эти внекапсульные образования, видимо, выходят за пределы сустава также по ходу сосудов, подходящих к синовиальной оболочке, поскольку патологические ткани обнаруживаются часто в окружности подколенной артерии. Необходимо отметить, что тяжи внутри полости верхнего заворота коленного сустава, очевидно, описаны С.С.Родионовой впервые.

Морфологические данные.
При вскрытии полости сустава у больных с диффузной формой поражения изливается красно-бурая жидкость; синовиальная оболочка резко утолщенная, имеет такой же красно-бурый интенсивный цвет и сплошь покрыта ворсинками и узелковыми разрастаниями различной длины, вследствие чего поверхность выглядит неровной. В тех местах, где толщина разрастаний достигает 1 - 1,5 см, внутренняя поверхность имеет бахромчатый вид, кое-где встречается разрастание на ножке диаметром несколько сантиметров. Обилие ксантомных клеток придает разрастаниям желтоватый цвет. Такая резко измененная синовиальная оболочка распространяется до линии суставного хряща, кое-где не имея с ним четкой границы или отслаивая его. Такие же разрастания окружают боковые и крестообразные связки коленного сустава, располагаются под мениском или вокруг круглой связки тазобедренного сустава. Патологически измененная ткань проходит в отверстия в кортикальном слое для питающих сосудов, резко их расширяя, но в спонгиозной части кости образуя «пещеры» иногда значительных размеров. Патологическая ткань может проникнуть и в сообщающиеся с суставом слизистые сумки или, проходя вдоль питающего сосуда, достичь магистральных подколенных сосудов. Фиброзная капсула часто бывает истончена, но структура ее не изменена.
Микроскопическая картина.
Как отметила В.Н.Павлова (1952, 1965), вся поверхность патологически измененной синовиальной оболочки покрыта слоем покровных клеток, несколько более крупных, чем в норме, которые иногда образовывали пласты и содержали глыбки гемосидерина. Вся патологическая ткань очень хорошо (вернее патологически) васкуляризована. Т.П.Виноградова (1976) наблюдала большое разнообразие клеток: полиэдрических, лимфоидных, фибробластических, гистиоцитарных, макрофагальных. Многоядерные гигантские клетки, пенистые, содержащие липиды, образуют крупные скопления. Гемосидерин откладывается как внутри клеток, так и внеклеточно. В этой патологической ткани встречаются щели, которые, вероятно, образуются из-за погружения части покровных клеток в неравномерно разрастающуюся патологическую ткань. Патогенез ПВУС неясен. Одни авторы относят его к воспалительным, гранулематозным, дистрофическим процессам, другие считают его следствием местного нарушения липидного обмена, в основе которого, по нашему мнению, лежат какие-то диспластические и ферментативные нарушения.

С.Т.Зацепин
Костная патология взрослых

Приложения: 
744134383747ccf814cbafa5e02254_gallery.jpg
Катенёв Валентин Львович аватар
Не на сайте
Был на сайте: 7 лет 2 месяцев назад
Зарегистрирован: 22.03.2008 - 22:15
Публикации: 54876

Локальные внесуставные формы PVNTS

Приложения: 
journal_logo.jpgf9.mediumpigmented_villonodular_synovitis.giff10.mediumpigmented_villonodular_synovitis.giff11.mediumpigmented_villonodular_synovitis.gif
Катенёв Валентин Львович аватар
Не на сайте
Был на сайте: 7 лет 2 месяцев назад
Зарегистрирован: 22.03.2008 - 22:15
Публикации: 54876

Локальные внесуставные формы PVNTS

Приложения: 
journal_logo.jpgf12.mediumlokalizovannye_vnesustavnyh_pvnb.giff13.mediumlokalizovannye_vnesustavnyh_pvnb.gif
Катенёв Валентин Львович аватар
Не на сайте
Был на сайте: 7 лет 2 месяцев назад
Зарегистрирован: 22.03.2008 - 22:15
Публикации: 54876

Локальные внутрисуставные формы PVNTS

Приложения: 
journal_logo.jpgf14.mediumlokalnye_vnesustavnye_formy_pvnts.giff15.mediumlokalnye_vnesustavnye_formy_pvnts.giff16.mediumlokalnye_vnesustavnye_formy_pvnts.giff17.mediumlokalnye_vnesustavnye_formy_pvnts.giff18.mediumlokalnye_vnesustavnye_formy_pvnts.giff20.mediumlokalnye_vnesustavnye_formy_pvnts.gif
Катенёв Валентин Львович аватар
Не на сайте
Был на сайте: 7 лет 2 месяцев назад
Зарегистрирован: 22.03.2008 - 22:15
Публикации: 54876

Диффузная форма  PVNS 

Приложения: 
journal_logo.jpgf21.mediumdiffuznye_pvns.giff22.mediumdiffuznye_pvns.giff23.mediumdiffuznye_pvns.giff24.mediumdiffuznye_pvns.gif
Катенёв Валентин Львович аватар
Не на сайте
Был на сайте: 7 лет 2 месяцев назад
Зарегистрирован: 22.03.2008 - 22:15
Публикации: 54876

 Диффузная внутрисуставная форма PVNS

Приложения: 
journal_logo.jpgf25.medium_diffuznye_vnutrisustavnyh_pvns.giff26.medium_diffuznye_vnutrisustavnyh_pvns.giff27.medium_diffuznye_vnutrisustavnyh_pvns.giff28.medium_diffuznye_vnutrisustavnyh_pvns.gif
Катенёв Валентин Львович аватар
Не на сайте
Был на сайте: 7 лет 2 месяцев назад
Зарегистрирован: 22.03.2008 - 22:15
Публикации: 54876

Диффузная внутрисуставная форма PVNS

Приложения: 
journal_logo.jpgf31.medium_diffuznye_vnutrisustavnyh_pvns.giff32.medium_diffuznye_vnutrisustavnyh_pvns.giff33.medium_diffuznye_vnutrisustavnyh_pvns.giff34.medium_diffuznye_vnutrisustavnyh_pvns.giff35.medium_diffuznye_vnutrisustavnyh_pvns.gif
D-r Blayeva аватар
Не на сайте
Был на сайте: 12 лет 11 месяцев назад
Зарегистрирован: 26.02.2013 - 19:08
Публикации: 2

Уважаемый, Валентин Львович! Спасибо Вам за столь подробное представление этой патологии в словах и изображениях! Честно говоря, здесь, в одном месте информации гораздо больше, чем в четырех книгах, которые я сегодня проштудировала)) по данной патологии и очень похоже на мой  случай, только вот  своим исследованием визуально не знаю как поделиться...

Денисенко Андрей Валерьевич аватар
Не на сайте
Был на сайте: 8 лет 11 месяцев назад
Зарегистрирован: 15.01.2017 - 14:41
Публикации: 6

Выкладываю сники в формате .jpg

Приложения: 
00578d81.jpg0057d24d.jpg0057ef01.jpg0058497f.jpg00585e37.jpg0058738b.jpg00588814.jpg00589b75.jpg0058acc4.jpg0058c0e0.jpg0058d3e3.jpg0058e531.jpg005aa96a.jpg005ac41a.jpg005ad98e.jpg005b3045.jpg005b46d1.jpg005b5c82.jpg005b6f28.jpg005b8585.jpg005b9a6c.jpg005bafb0.jpg005bc488.jpg005bd7ba.jpg005c787b.jpg005c8c1a.jpg005c9a2e.jpg005ca94a.jpg005cba3b.jpg005cc87e.jpg005cd8e2.jpg005ce64a.jpg005cf3a3.jpg005d01a7.jpg005d1111.jpg005d1f73.jpg005d2cfa.jpg005d3a72.jpg005d4809.jpg005d56a9.jpg005d6690.jpg005d7772.jpg005d873a.jpg005d95f9.jpg005da5a2.jpg005db490.jpg005dc3dc.jpg005dd318.jpg005de0ed.jpg005defcc.jpg005dff46.jpg005e0de6.jpg005e202e.jpg005e3054.jpg005e7d6a.jpg005e8c78.jpg005e9a7c.jpg005ea8ce.jpg005eb970.jpg005ec958.jpg005ed8f2.jpg005ee725.jpg005ef46d.jpg005f02a0.jpg005f122a.jpg005f1fd1.jpg005f2fe7.jpg005f3d40.jpg005f4b44.jpg005f5938.jpg005f67b9.jpg005f74d3.jpg005f821c.jpg005f903f.jpg005f9faa.jpg005fad9e.jpg005fba7a.jpg005fc6d9.jpg005fd3a5.jpg005fe273.jpg005ff0c5.jpg005fff37.jpg00600c12.jpg006019c8.jpg0060277e.jpg00603534.jpg00604348.jpg006053fa.jpg0060626c.jpg0060707f.jpg00607e74.jpg00608ad2.jpg0060981b.jpg0060a8be.jpg
Денисенко Андрей Валерьевич аватар
Не на сайте
Был на сайте: 8 лет 11 месяцев назад
Зарегистрирован: 15.01.2017 - 14:41
Публикации: 6

Продолжение.

Приложения: 
0060de3f.jpg0060ed6b.jpg00615f02.jpg00617198.jpg0061847c.jpg006192ed.jpg0061a1eb.jpg0061b0c9.jpg0061bfa8.jpg0061ce09.jpg0061dc5b.jpg0061eb49.jpg0061f799.jpg00620687.jpg0062143d.jpg00622250.jpg00622fe7.jpg00623ed5.jpg00624d56.jpg00625d5d.jpg00626b9f.jpg00627907.jpg00628778.jpg0062951f.jpg0062a287.jpg0062b07b.jpg0062bd57.jpg0062cf51.jpg0062db43.jpg0062ea11.jpg00633016.jpg00633d8e.jpg0063498f.jpg006363b3.jpg00637179.jpg00637f4e.jpg00638ed8.jpg00639f4c.jpg0063ae98.jpg0063bd38.jpg0063ca33.jpg0063d78b.jpg0063e486.jpg0063f383.jpg00640197.jpg00640eb1.jpg00641cf4.jpg00642962.jpg0064368c.jpg00644432.jpg00645255.jpg0064622d.jpg00646e9c.jpg00647c52.jpg00648ab3.jpg00649751.jpg0064a4b9.jpg0064b1e2.jpg0064befc.jpg0064cd00.jpg0064dd45.jpg0064edb9.jpg0064fc2b.jpg00650926.jpg00651768.jpg00652608.jpg006532f3.jpg00653fde.jpg00654db4.jpg00655c06.jpg006569bc.jpg00657724.jpg0065840f.jpg006593f7.jpg0065a313.jpg0065b0d9.jpg0065bda5.jpg0065caaf.jpg0065d7c9.jpg0065e5fc.jpg
Денисенко Андрей Валерьевич аватар
Не на сайте
Был на сайте: 8 лет 11 месяцев назад
Зарегистрирован: 15.01.2017 - 14:41
Публикации: 6

Продолжение

Приложения: 
00661ee7.jpg00663083.jpg00663dad.jpg00664ab7.jpg00665b1c.jpg006666ee.jpg00667475.jpg0066848c.jpg006691c5.jpg00669edf.jpg0066adfc.jpg0066cc26.jpg0066db52.jpg0066e81e.jpg0066f651.jpg006703c9.jpg006710a4.jpg00671d13.jpg00672cac.jpg00673c17.jpg006749cd.jpg0067560d.jpg00676411.jpg006772ff.jpg00678009.jpg00678e2d.jpg00679cdc.jpg0067aa63.jpg0067b848.jpg0067c533.jpg0068006f.jpg006810c4.jpg00681d61.jpg00682b17.jpg00683b9a.jpg006849ae.jpg00685764.jpg0068650b.jpg00687244.jpg00688048.jpg00688e9a.jpg00689c40.jpg
Денисенко Андрей Валерьевич аватар
Не на сайте
Был на сайте: 8 лет 11 месяцев назад
Зарегистрирован: 15.01.2017 - 14:41
Публикации: 6

Продолжение.

Приложения: 
0068aa83.jpg0068b867.jpg0068c488.jpg0068d173.jpg0068df77.jpg0068eb88.jpg0068f7f6.jpg00690494.jpg006913fe.jpg00692222.jpg00693219.jpg00693ffe.jpg00694e5f.jpg00695b89.jpg00696874.jpg0069783d.jpg00698612.jpg00699435.jpg0069fff2.jpg006a1066.jpg006a1ef6.jpg006a2e42.jpg006a3b4d.jpg006a48a5.jpg006a5590.jpg006a63c3.jpg006a71a8.jpg006a81af.jpg006a9203.jpg006aa0f1.jpg006ab04d.jpg006abdd4.jpg006acbb9.jpg006adbfe.jpg006ae937.jpg006af71c.jpg006b036b.jpg006b11cd.jpg006b1ee7.jpg006b2ea0.jpg006b3f52.jpg006b4f1b.jpg006b5c63.jpg006b757f.jpg006bc88e.jpg006bd875.jpg006be6c7.jpg006bf50a.jpg006c01e5.jpg006c1131.jpg006c1fe1.jpg006c2e52.jpg006c3be9.jpg006c49fc.jpg006c5a80.jpg006c676b.jpg006c75cd.jpg006c82f6.jpg006c93f7.jpg006ca268.jpg006cb202.jpg006cc5b0.jpg006cd318.jpg006ce11c.jpg006ceef2.jpg006cfbec.jpg006d09d1.jpg006d1768.jpg006d254d.jpg006d3277.jpg006d62ba.jpg006d71e6.jpg006d8009.jpg006d8cd6.jpg006d9a5d.jpg006da95a.jpg006db868.jpg006dc8fb.jpg006dd6a1.jpg006de570.jpg006df3a3.jpg006e0501.jpg006e1279.jpg006e21d4.jpg006e3016.jpg006e3ec6.jpg006e50c0.jpg006e6f28.jpg
Денисенко Андрей Валерьевич аватар
Не на сайте
Был на сайте: 8 лет 11 месяцев назад
Зарегистрирован: 15.01.2017 - 14:41
Публикации: 6

Продолжение.

Приложения: 
006e601b.jpg006e6f28.jpg006e7cfe.jpg006e8b7e.jpg006e9b28.jpg006ea7c5.jpg006eb55c.jpg006ec2f2.jpg006ed0b8.jpg006ede8d.jpg006eeba7.jpg006efa09.jpg006f0b29.jpg006f895c.jpg006f98a8.jpg006fa6bc.jpg006fb3f5.jpg006fc0a2.jpg006fccf1.jpg006fdb04.jpg006fe937.jpg006ff632.jpg00700455.jpg00701269.jpg007020bb.jpg00702dc5.jpg00703bba.jpg007048d4.jpg007057f1.jpg00706450.jpg007070ce.jpg00707e26.jpg00708bdc.jpg007098d7.jpg0070a584.jpg0070b30b.jpg0070c16c.jpg0070ce86.jpg0070dc4c.jpg0070e976.jpg0070f632.jpg0071031d.jpg00711269.jpg007121c4.jpg00712fc8.jpg00713e97.jpg00714c8b.jpg007159d4.jpg0071678a.jpg0071757f.jpg007183f0.jpg
Денисенко Андрей Валерьевич аватар
Не на сайте
Был на сайте: 8 лет 11 месяцев назад
Зарегистрирован: 15.01.2017 - 14:41
Публикации: 6

Описание от клиники в г.Сургуте:

Магнито-резонансная томография левого коленного сустава.

Куницкой О.В. 1978г. от 11.08.2016

На серии аксиальных, коронарных и сагитальных томограмм получены изображения левого коленного сустава. Определяется негомогенность сигнала от гиалинового хряща надколенника и переднихотделов суставной поверхности бедренной кости. Мелкие субхондральный кисты в бедренной и большеберцовой костях. Мениски обычного сигнала. Боковые, крестооборазные связки, собственная связка надколенника не изменены. Синовиальная оболочка неравномрно утолщена. В полости сустава, супрапателлярной сумке, подколенной ямке определяются множественные округлые образования максимальным диаметром 45 мм. с чёткими, неровнымиконтурами, достаточно однородной структуры, гипоинтенсивные во всех типах взвешенности. В полости сустава, супрапателлярной сумке жидкость. Сигнал от мышечных структур окружающих сустав повышен на Т2. При контрастировании определяется усиление сигнала по периферии образований и незначительно самой структурой образований.

Заключение: МРТ-картина диффузного нодулярного синовита левого коленного сустава. Сравнительно со снимками от 02.04.2016 без существенной динамики.

 

В НИИ им. Петрова в Санкт-Петербурге проанализировав пробы материала после артроскопии (без суставной жидкости) дали другой диагноз: пигментированный виллонодулярный синовит (под вопросом).

Прошу Вас посмотреть снимки  и изложить Ваше мнение по данному случаю.

 

Евгений Алексеевич аватар
Не на сайте
Был на сайте: 5 лет 2 месяцев назад
Зарегистрирован: 28.06.2013 - 16:23
Публикации: 4122

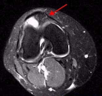
Мальчик 10 лет, не так давно перенесший незначительную травму правого коленного сустава. На рентгенограмме костные структуры целостные, лишь определяется выраженное расширение и минимальное усиление мягких тканей.  На первом представленном изображении определяется выраженное скопление жижкостного содержимого. Синовиальная оболочка утолщена с гипоинтенсивными участками.

Аксиальная томограмма Т1 после усиления Gd с жироподавлением демонстрирует диффузные и узелковые синовиальные разрастания. Очаги накопления указаны стрелками в синовиальной оболочке и в жировом тельце Гоффа.

Приложения: 
1.pngbezymyannyy.png2.png
Катенёв Валентин Львович аватар
Не на сайте
Был на сайте: 7 лет 2 месяцев назад
Зарегистрирован: 22.03.2008 - 22:15
Публикации: 54876