Онкология. Саркома Капоши. +

Капоши саркома

Катенёв Валентин Львович аватар
Не на сайте
Был на сайте: 7 лет 5 месяцев назад
Зарегистрирован: 22.03.2008 - 22:15
Публикации: 54876

Продолжение.

Приложения: 
1.s.slayd142.jpg2.s.slayd143.jpg
Катенёв Валентин Львович аватар
Не на сайте
Был на сайте: 7 лет 5 месяцев назад
Зарегистрирован: 22.03.2008 - 22:15
Публикации: 54876

Продолжение.

Приложения: 
1.kap_.slayd5_.jpg1.skap_.slayd35.jpg2.kap_.slayd6_.jpg2.skap_.slayd36.jpg
Катенёв Валентин Львович аватар
Не на сайте
Был на сайте: 7 лет 5 месяцев назад
Зарегистрирован: 22.03.2008 - 22:15
Публикации: 54876

Капоши саркома

Приложения: 
1.s.k.slayd106.jpg2.s.k.slayd107.jpg
Катенёв Валентин Львович аватар
Не на сайте
Был на сайте: 7 лет 5 месяцев назад
Зарегистрирован: 22.03.2008 - 22:15
Публикации: 54876

Капоши саркома

Приложения: 
1.kap_.slayd149.jpg2.kap_.slayd150.jpg3.kap_.slayd151.jpg4.kap_.slayd152.jpg5.kap_.slayd153.jpg6.kap_.slayd154.jpg
Катенёв Валентин Львович аватар
Не на сайте
Был на сайте: 7 лет 5 месяцев назад
Зарегистрирован: 22.03.2008 - 22:15
Публикации: 54876

 

Саркома Капоши

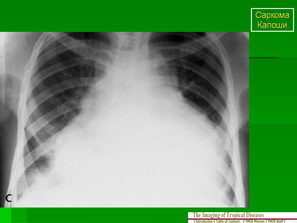
Саркома Капоши — это многоочаговая злокачественная опухоль, которая поражает весь организм, происходит из эндотелия сосудов и обладает различным клиническим течением. Чаще всего болезнь проявляется поражением кожи, но способна затрагивать и слизистые оболочки, и лимфатическую систему, и внутренние органы (прежде всего легкие и ЖКТ). Описано четыре клинические формы саркомы Капоши: классическая (европейская), иммуносупрессивная, эндемическая (африканская) и эпидемическая (ассоциированная со СПИДом).

Все формы саркомы Капоши обусловлены инфекцией, вызываемой герпесвирусом человека типа 8, который передается половым путем, с кровью или слюной. За несколько месяцев до появления очагов саркомы Капоши в результате присутствия герпесвируса человека типа 8 в крови образуются специфические антитела. Недавно описаны случаи возникновения кожных очагов, по времени совпадающие с сероконверсией (Andreoni et al. 2002).

Саркома Капоши у ВИЧ-инфицированных является СПИД-индикаторным заболеванием. Бурное и тяжелое течение болезни со смертельным исходом наблюдали у ВИЧ-инфицированных с глубоким нелеченным иммунодефицитом. В подобных случаях средняя продолжительность жизни после постановки диагноза не достигает и года. С появлением в 1996 году ВААРТ частота саркомы Капоши среди ВИЧ- инфицированных резко сократилась (по данным дерматовенерологического отделения Госпиталя Франкфуртского университета — на 90%) и протекать заболевание стало гораздо легче. Зачастую с восстановлением иммунной системы и снижением вирусной нагрузки очаги саркомы Капоши перестают развиваться или полностью исчезают. Таким образом, из всех возможных методов лечения эпидемической саркомы Капоши главным является ВААРТ. Ее можно сочетать с местным лечением — криодеструкцией, ретиноидами и лучевой терапией. Необходимость применять интерферон, паклитаксел или химиотерапию липосомальными антрациклинами возникает только в случаях, когда несмотря на ВААРТ, процесс распространяется на внутренние органы.

Клиническая картина и диагностика

В отличие от классической формы саркомы Капоши, наблюдаемой у пожилых мужчин и протекающей с поражением кожи голеней и стоп, эпидемическая саркома Капоши не имеет излюбленной локализации. Первый очаг может возникнуть на любом участке кожи или — реже — на слизистой рта, половых органов или глаз. Как правило, вначале появляется безболезненный одиночный багровый или фиолетовый узел, либо пятно. Иногда очагов изначально несколько. Распространяться им свойственно вдоль линий Лангера (линий максимальной растяжимости кожи, соответствующих расположению пучков коллагеновых волокон). Дальнейшее развитие заболевания может быть разным. В одних случаях узлы и пятна не меняются годами, в других — стремительно, за несколько недель, разрастаются и распространяются. При быстром росте нередко возникает боль, а окружающая кожа в результате кровоизлияний становится желто-зеленой. В центре разросшейся опухоли часто формируется очаг некроза и изъязвление. Обычно опухоль легко кровоточит. Бляшки и узлы часто сливаются, вокруг возникает сильнейший отек. В полости рта очаги часто локализуются на твердом небе. Вначале появляется фиолетовая эритема, затем на ее месте образуются склонные к изъязвлению бляшки или узлы. Очаги саркомы Капоши можно встретить и на наружных половых органах, в том числе на крайней плоти и головке полового члена.

При поражении кожи или слизистых поставить диагноз саркомы Капоши обычно позволяют перечисленные ниже клинические признаки.

  • Фиолетовые пятна, бляшки или узлы.
  • Распространение очагов вдоль линий Лангера.
  • Желто-зеленое окрашивание кожи вокруг очага вследствие кровоизлияний.
  • Отек окружающих тканей.
  • Появление новых очагов: иногда и на коже, и на слизистых.

Поставить диагноз по клинической картине особенно просто, когда известно, что у пациента имеется ВИЧ-инфекция или другой иммунодефицит. Если сомнения остаются, необходимо провести биопсию очага и подтвердить диагноз гистологически. Особенно сложно поставить диагноз по клинической картине, когда очаги представлены телеангиэктазиями, экхимозами, келоидами или очагами гиперкератоза. Ниже перечислены наиболее важные патоморфологические признаки саркомы Капоши, выявляемые при обычном гистологическом исследовании.

  • Эпидермис обычно не затронут.
  • Щелевидные полости, представляющие собой вновь образованные тонкостенные сосуды неправильной формы, располагающиеся вдоль нормальных сосудов и придатков кожи.
  • Диапедез эритроцитов вокруг новых сосудов.
  • Отложения гемосидерина.
  • Воспалительный лимфоцитарный инфильтрат.
  • Инфильтрат из овальных или веретенообразных клеток (типичны для саркомы Капоши).

На месте разрешившихся — самопроизвольно или в результате лечения — очагов саркомы Капоши часто остается серо-коричневая или светло-коричневая гиперпигментация. Она сохраняется месяцами и даже годами и обусловлена отложениями гемосидерина из эритроцитов, находившихся за пределами сосудистого русла. Столь же долго может сохраняться и лимфедема, особенно на голенях и стопах.

Герпесвирус человека типа 8, который играет роль в патогенезе саркомы Капоши, обнаруживается в ткани узлов при ПЦР. Данный метод исследования помогает поставить диагноз при недостаточно четкой патоморфологической картине. Антитела к герпесвирусу человека типа 8 часто определяются за несколько месяцев до появления первых клинических признаков болезни. Судя по всему, нейтрализующие антитела, сдерживая инфекцию, предотвращают клинические проявления саркомы Капоши (Kimball 2004). У пациентов с развившейся саркомой Капоши нейтрализующие антитела присутствуют в низком титре. Белок ВИЧ Tat обладает способностью непосредственно облегчать передачу герпесвируса человека типа 8, что может объяснять высокую частоту саркомы Капоши среди пациентов, зараженных одновременно и ВИЧ, и герпесвирусом человека типа 8 (Aoki 2004, Chandra 2003). Эпидемиологические исследования показали, что высокая распространенность саркомы Капоши в некоторых районах (в частности, на юге Италии и в Центральной Африке) сочетается с высокой долей серопозитивных по герпесвирусу человека типа 8 лиц. По-видимому, основным путем передачи герпесвируса человека типа 8 является половой. Возбудитель саркомы Капоши, часто встречающейся среди африканских детей, предположительно передается со слюной (Pauk et al. 2000). Резервуары герпесвируса человека типа 8 в слюне обнаружены также и у взрослых пациентов с ВИЧ-инфекцией (Triantos 2004).

После установления первичного диагноза саркомы Капоши стадию заболевания позволяют определить перечисленные ниже исследования.

  • Полный осмотр кожи, а также слизистых рта и половых органов.
  • УЗИ лимфоузлов.
  • УЗИ брюшной полости.
  • Эзофагогастродуоденоскопия (при поражении только кожи не обязательна, но при вовлечении слизистых необходима).
  • Ректороманоскопия (при поражении только кожи не обязательна, но при вовлечении слизистых необходима).
  • Рентгенография грудной клетки.
  • Исследование состояния клеточного иммунитета (числа лимфоцитов CD4) и определение вирусной нагрузки (чтобы выяснить, следует ли начать или изменить антиретровирусную терапию).
Прогноз и классификация

Диапазон проявлений эпидемической саркомы Капоши весьма широк: от безболезненных кожных очагов до тяжелейшей диссеминированной болезни с поражением лимфоузлов и внутренних органов. Без лечения смерть в результате стремительного разрастания опухоли может наступить в течение нескольких недель. Злокачественный опухолевый рост был обнаружен при поражении саркомой Капоши легких. С появлением ВААРТ прогноз при саркоме Капоши значительно улучшился. Даже у пациентов с тяжелым поражением внутренних органов она позволяет добиться полной ремиссии.

Классификация эпидемической саркомы Капоши (табл. 1) была опубликована в 1993 году и пересмотрена в 1997 году Группой медицинских центров, оценивающих лечение ВИЧ-инфекции (ACTG, Krown 1997). Итальянская рабочая группа внесла предложения по ее адаптации к современным условиям — эпохе ВААРТ. Тем не менее, на международном уровне предложения Nasti и соавт. (2003 г.) пока не признаны и не утверждены. Особенно много споров вызвало предложение исключить из ряда прогностических факторов число лимфоцитов CD4, изменив группы благоприятного (T0S0, T1S0, T0S1) и неблагоприятного (T1S1) прогноза.

Таблица 1. Классификация эпидемической (ассоциированной со СПИДом) формы саркомы Капоши. Группа медицинских центров, оценивающих лечение ВИЧ-инфекции (ACTG, Krown et al. 1997)

Ранняя стадияПоздняя стадия
Должны присутствовать все перечисленные ниже критерии:
1. Опухоль (T): 0
Поражены только кожа и/или лимфоузлы, поражение слизистой рта минимально (очаги на твердом небе отсутствуют)
2. Иммунная система* (I): 0
Число лимфоцитов CD4>200 мкл-1 3. Общее состояние (S): 0
Оппортунистические инфекции и кандидоз слизистых в анамнезе отсутствуют, симптомов прогрессирования ВИЧ- инфекции** не наблюдается
Должен присутствовать любой из перечисленных ниже критериев:
1. Опухоль (T): 1
Поражены легкие или ЖКТ; массивное поражение слизистой рта; очаги с лимфедемой или изъязвлениями
2. Иммунная система* (I): 1
Число лимфоцитов CD4< 200 мкл-1
3. Общее состояние (S): 1
Оппортунистические инфекции, кандидоз слизистых, злокачественная лимфома, характерные для ВИЧ-инфекции неврологические нарушения в анамнезе, наличие симптомов прогрессирования ВИЧ-инфекции**

*Число лимфоцитов CD4 не имеет прогностического значения при саркоме Капоши у пациентов, получающих ВААРТ (Nasti 2003). **Необъяснимая лихорадка, потливость по ночам или необъяснимый понос длительностью более двух недель, непреднамеренное снижение веса более чем на 10%.

Катенёв Валентин Львович аватар
Не на сайте
Был на сайте: 7 лет 5 месяцев назад
Зарегистрирован: 22.03.2008 - 22:15
Публикации: 54876

Саркома (ангиосаркома) Капоши

Приложения: 
11.open-uri20120222-1537-5g5bo8sarkoma_kaposhi_angiosarkoma_kaposhi.jpeg
Катенёв Валентин Львович аватар
Не на сайте
Был на сайте: 7 лет 5 месяцев назад
Зарегистрирован: 22.03.2008 - 22:15
Публикации: 54876
Катенёв Валентин Львович аватар
Не на сайте
Был на сайте: 7 лет 5 месяцев назад
Зарегистрирован: 22.03.2008 - 22:15
Публикации: 54876

Саркома Капоши.

 

Приложения: 
1.yoyoyoyoslayd221.jpg
Катенёв Валентин Львович аватар
Не на сайте
Был на сайте: 7 лет 5 месяцев назад
Зарегистрирован: 22.03.2008 - 22:15
Публикации: 54876

Продолжение.

 

Приложения: 
1chchslayd20.jpg1chchslayd21.jpg1chchslayd22.jpg1chchslayd23.jpg
v1tal аватар
Не на сайте
Был на сайте: 5 лет 2 месяцев назад
Зарегистрирован: 07.06.2008 - 19:41
Публикации: 1779

Могу добавать Валентин Львович по пациентке с прогрессией Саркомы Капоши голени, поражение грудного позвонка ThII с метаболической активностью 18F-FDG. 

Приложения: 
ct_3.5_thick_1.jpgct_3.5_thick.jpgfdg_static_mac.jpg

"Знаешь, у некоторых врачей есть комплекс мессии — им необходимо спасать мир. А у тебя комплекс Рубика — тебе необходимо решать головоломки."

Катенёв Валентин Львович аватар
Не на сайте
Был на сайте: 7 лет 5 месяцев назад
Зарегистрирован: 22.03.2008 - 22:15
Публикации: 54876

Спасибо Виталий Валерьевич!

Катенёв Валентин Львович аватар
Не на сайте
Был на сайте: 7 лет 5 месяцев назад
Зарегистрирован: 22.03.2008 - 22:15
Публикации: 54876

Продолжение

Динамика.

 

Приложения: 
cover.jpg10_07_2458_01a.jpeg10_07_2458_01b.jpeg10_07_2458_01c.jpeg
Катенёв Валентин Львович аватар
Не на сайте
Был на сайте: 7 лет 5 месяцев назад
Зарегистрирован: 22.03.2008 - 22:15
Публикации: 54876

Продолжение

Динамика.

 

Приложения: 
cover.jpg11.10_07_2458_02a.jpeg11.10_07_2458_02b.jpeg11.10_07_2458_02c.jpeg11.10_07_2458_02d.jpeg
Катенёв Валентин Львович аватар
Не на сайте
Был на сайте: 7 лет 5 месяцев назад
Зарегистрирован: 22.03.2008 - 22:15
Публикации: 54876

Продолжение

Динамика.

 

Приложения: 
cover.jpg12.10_07_2458_03a.jpeg12.10_07_2458_03b.jpeg12.10_07_2458_03c.jpeg12.10_07_2458_03d.jpeg
Катенёв Валентин Львович аватар
Не на сайте
Был на сайте: 7 лет 5 месяцев назад
Зарегистрирован: 22.03.2008 - 22:15
Публикации: 54876

Продолжение

Динамика.

 

Приложения: 
cover.jpg13.10_07_2458_04a.jpeg13.10_07_2458_04b.jpeg13.10_07_2458_04c.jpeg13.10_07_2458_04d.jpeg
Катенёв Валентин Львович аватар
Не на сайте
Был на сайте: 7 лет 5 месяцев назад
Зарегистрирован: 22.03.2008 - 22:15
Публикации: 54876
A44917_4_En_16_Fig5_HTML.jpg

Рисунок 16.5 

Саркома Капоши у 35-летнего мужчины