Основы. КСС. Рентгеновская анатомия костно-суставной системы. И.П. Королюк. Атлас. +

Рентгеновская анатомия костно-суставной системы.

Область плечевого сустава.

Рис. 1. 1, Ключица. 2, Акромион. 3, большой бугорок. 4, малый бугорок. 5, хирургическая шейка. 6, плечевая кость. 7, клювовидный отросток;. 8, латеральный край лопатки. 9, Ребро.

Рис. 2. 1, клювовидный отросток;. 2, Ключица. 3, Акромион. 4, головка плечевой кости. 5, плечевая кость. 6, латеральный край лопатки. 

Локтевой сустав.

1, Плечевая кость. 2, Медиальный надмыщелок . 3, Латеральный надмыщелок. 4, Ямка локтевого отростка. 5, Сapitellum (головочка). 6, Лучевая кость. 7, Головки лучевой кости. 8, Локтевая кость. 9, Локтевой отростк. 10, Венечный отросток. 11, Жировая ткань (жировые подушечки).

Кости прежплечья (стандартные проекции).

1. Плечевая кость. 2. Лучевая кость. 3. Локтевая кость. 4. Ладьевидная кость. 5. Полулунная кость. 6. Трёхгранная кость. 7. Головчатая кость. 8. Пястная кость. 9. Пястно-фаланговый сустав. 10. Межфаланговый сустав проксимальный. 11. Фаланга проксимальная. 12. Фаланга дистальная.

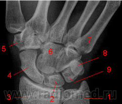
Кости запястья.

 

Рис.1. 1. Шиловидный отросток локтевой кости.  2. Полулунная кость. 3. Лучевая кость. 4. Ладьевидная кость. 5. Многоугольная кость. 6. Первая пястная кость. 7. Трапециевидная кость. 8. Головчатая кость. 9. Крючковидная кость. 10. Трёхгранная кость. 11. Гороховидная кость.

Рис. 2. 1. Шиловидный отросток локтевой кости.  2. Полулунная кость. 3. Лучевая кость. 4. Ладьевидная кость. 5. Кость-трапеция. 6. Трапециевидная кость. 7. Головчатая кость. 8. 5 пястная кость. 9.  Крючковидная кость.

Рис. 3. 1. Шиловидный отросток локтевой кости. 2. Полулунная кость. 3. Лучевая кость. 4. ладьевидная кость. 5. Кость-трапеция. 6. Головчатая кость.. 7. 5 пястная кость. 8. Гороховидная кость. 9. Трёхгранная кость. 

Поясничный отдел позвоночника.

 

Рис. 1.

1, Ребро.
2, Поперечный отросток.
3, Ножка позвонка (дужка).
4, Остистый отросток.
5, Кресте́ц.
6, Крестцово-подвздошный сустав.

Рис. 2.

1, Кресте́ц.
2, Остистый отросток.
3, Тело позвонка.
4, Межпозвонковый диск.
5, Межпозвонковое (фораминальное) отверстие .
6, Позвоночная ножке (дужка).
7, Нижние суставные отростки.
8, Верхние суставные отростки.
9, Ребро

Рентгеновская анатомия кисти.

 

1, фаланга дистальная. 2, межфаланговый сустав дистальный. 3, фаланга средняя. 4, межфаланговый сустав проксимальный. 5, фаланга проксимальная. 6, пястно-фаланговый сустав. 7, шейки пястной кости. 8, сесамовидная кость.

Рентгеновская анатомия таза.

 

1 Верхняя ветвь лобковой кости
2 Лонное сочленение
3 Нижняя ветвь лобковой кости
4 Запирательное отверстие
5 Малый вертел
6 Большой вертел
7 Крыло подвздошной кости
8 Подвздошный гребень
9 Позвоночная ножка (поясничного отдела позвоночника)
10 Крестцово-подвздошный сустав
11 Головки бедренной кости

Тазобедренный сустав.

 

1, Вертлужная впадина.
2, Головка бедренной кости.
3, Большой вертел.
4, Малый вертел.
5, Бедренная кость.
6, Запирательное отверстие.
7, Нижняя ветвь лобковой кости.
8, Верхняя ветвь лобковой кости.
9, Крестец.
10, Крыло подвздошной кости.

 

1, Вертлужная впадина.
2, Головка бедренной кости.
3, Большой вертел.
4, Малый вертел.
5, Бедренная кость.
6, Запирательное отверстие.
7, Нижняя ветвь лобковой кости.
8, Верхняя ветвь лобковой кости.
9, Крестец.
10, Крыло подвздошной кости.

Область коленного сустава.

 

1, Боковой (латральный) мыщелок бедренной кости.
2, Бедренная кость.
3, Надколенник.
4, Медиальный мыщелок бедренной кости.
5, Межмыщелковое возвышение.
6, Б/берцовая кость.
7, М/берцовая кость.

1, Надколенник.
2, Бугристость большеберцовой кости.
3, Б/берцовая кость.
4, Бедренная кость.
5, Медиального мыщелка бедренной кости.
6, М/берцовая кость.

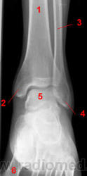
Голеностопный сустав.

 

1, Б/берцовая кость.
2, Медиальная лодыжка.
3, Малоберцовая кость.
4, Латеральная лодыжка.
5, Таранная кость.
6, Плюсневые кости.

 

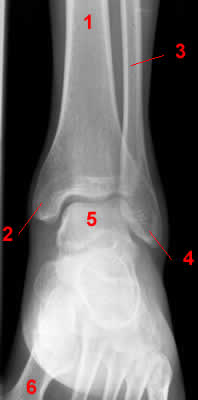
1, Б/берцовая кость.
2, Малоберцовая кость.
3, Таранная кость.
4, Пяточная кость.
5, Ладьевидная кость.
6, Клиновидная кость.
7, Кубовидная кость.

Стопа.

1, Малоберцовая кость.
2, Кубовидная кость.
3, Пятая плюсневая кость.
4, Берцовая кость.
5, Таранная кость.
6, Ладьевидная кость.
7, Cuneiform
8, Первая плюсневая кость
9, Проксимальная фаланга 
10, Дистальная фаланга

1, Пяточная кость.
2, Кубовидная кость.
3, Пятая плюсневая кость.
4, Таранная кость.
5, Ладьевидная кость.
6, Клиновидная кость.
7, Межфаланговый сустав.

Nikolas аватар
Не на сайте
Был на сайте: 3 недели 23 часа назад
Зарегистрирован: 21.12.2010 - 20:37
Публикации: 4559

 я вспомнил знаменитого русского врача, ученого, педагога Боткина С.П. Посылаю Вам слайд. С уважением, Nik

Приложения: 
botkin.png
Катенёв Валентин Львович аватар
Не на сайте
Был на сайте: 6 лет 11 месяцев назад
Зарегистрирован: 22.03.2008 - 22:15
Публикации: 54876

К рентгеновской анатомии позвоночника.

 

Приложения: 
1.slayd3_.jpg2..slayd4_.jpg3..slayd5_.jpg4..slayd6_.jpg5..slayd7_.jpg6..slayd8_.jpg7..slayd9_.jpg8..slayd10.jpg
Катенёв Валентин Львович аватар
Не на сайте
Был на сайте: 6 лет 11 месяцев назад
Зарегистрирован: 22.03.2008 - 22:15
Публикации: 54876

Таз и тазобедренный сустав

 

Приложения: 
1.kkk_.slayd175.jpg2.kkk_.slayd176.jpg
Катенёв Валентин Львович аватар
Не на сайте
Был на сайте: 6 лет 11 месяцев назад
Зарегистрирован: 22.03.2008 - 22:15
Публикации: 54876

Лучезапястный сустав.

Приложения: 
1.lz_.slayd141.jpg2.lz_.slayd142.jpg3.lz_.slayd143.jpg4.lz_.slayd144.jpg11.wrist_normal_carpal_bones_ap_l.jpg12.wrist_normal_lateral_carpal_bo.jpg
Катенёв Валентин Львович аватар
Не на сайте
Был на сайте: 6 лет 11 месяцев назад
Зарегистрирован: 22.03.2008 - 22:15
Публикации: 54876

Остеопороз

Приложения: 
0.av_..slayd1_.jpg1.os_..slayd71.jpg2..os_..slayd72.jpg3..os_..slayd73.jpg4..os_..slayd74.jpg5..os_..slayd75.jpg
Катенёв Валентин Львович аватар
Не на сайте
Был на сайте: 6 лет 11 месяцев назад
Зарегистрирован: 22.03.2008 - 22:15
Публикации: 54876

Радиология плечевого сустава

 

Приложения: 
slayd1yc.jpgslayd2yc.jpgslayd3yc.jpgslayd4yc.jpgslayd5yc.jpgslayd6yc.jpgslayd7yc.jpgslayd8yc.jpgslayd9yc.jpgslayd10yc.jpgslayd11yc.jpgslayd12yc.jpgslayd13yc.jpgslayd14yc.jpg
Катенёв Валентин Львович аватар
Не на сайте
Был на сайте: 6 лет 11 месяцев назад
Зарегистрирован: 22.03.2008 - 22:15
Публикации: 54876

Локтевой сустав

Приложения: 
1kkslayd80.jpg1kkslayd81.jpg1kkslayd82.jpg1kkslayd83.jpg
Катенёв Валентин Львович аватар
Не на сайте
Был на сайте: 6 лет 11 месяцев назад
Зарегистрирован: 22.03.2008 - 22:15
Публикации: 54876

И.П. Королюк.

 

Приложения: 
1.201509170001.jpg2.201509170002.jpg3.201509170003.jpg4.201509170004.jpg5.201509170005.jpg6.201509170006.jpg7.201509170007.jpg8.201509170008.jpg9.201509170009.jpg10.201509170010.jpg11.201509170011.jpg12.201509170012.jpg13.201509170013.jpg
Катенёв Валентин Львович аватар
Не на сайте
Был на сайте: 6 лет 11 месяцев назад
Зарегистрирован: 22.03.2008 - 22:15
Публикации: 54876

Продолжение.

 

Приложения: 
14.201509170014.jpg15.201509170015.jpg16.201509170016.jpg17.201509170017.jpg18.201509170018.jpg19.201509170019.jpg20.201509170020.jpg21.201509170021.jpg22.201509170022.jpg23.201509170023.jpg
Катенёв Валентин Львович аватар
Не на сайте
Был на сайте: 6 лет 11 месяцев назад
Зарегистрирован: 22.03.2008 - 22:15
Публикации: 54876

Продолжение

 

Приложения: 
1.201509170024.jpg2.201509170025.jpg3.201509170026.jpg4.201509170027.jpg5.201509170028.jpg6.201509170029.jpg
Катенёв Валентин Львович аватар
Не на сайте
Был на сайте: 6 лет 11 месяцев назад
Зарегистрирован: 22.03.2008 - 22:15
Публикации: 54876

Продолжение.

 

Приложения: 
1.201509170030.jpg2.201509170031.jpg3.201509170032.jpg4.201509170033.jpg5.201509170034.jpg6.201509170035.jpg7.201509170036.jpg8.201509170037.jpg9.201509170038.jpg10.201509170039.jpg11.201509170040.jpg
Катенёв Валентин Львович аватар
Не на сайте
Был на сайте: 6 лет 11 месяцев назад
Зарегистрирован: 22.03.2008 - 22:15
Публикации: 54876

Продолжение

 

Приложения: 
1.201509170041.jpg2.201509170042.jpg3.201509170043.jpg4.201509170044.jpg
Катенёв Валентин Львович аватар
Не на сайте
Был на сайте: 6 лет 11 месяцев назад
Зарегистрирован: 22.03.2008 - 22:15
Публикации: 54876

Продолжение.

Приложения: 
1.201509170045.jpg2.201509170046.jpg3.201509170047.jpg4.201509170048.jpg5.201509170049.jpg6.201509170050.jpg
Катенёв Валентин Львович аватар
Не на сайте
Был на сайте: 6 лет 11 месяцев назад
Зарегистрирован: 22.03.2008 - 22:15
Публикации: 54876

Продолжение.

 

Приложения: 
1.201509170051.jpg2.201509170052.jpg3.201509170053.jpg4.201509170054.jpg5.201509170055.jpg6.201509170056.jpg7.201509170057.jpg
Катенёв Валентин Львович аватар
Не на сайте
Был на сайте: 6 лет 11 месяцев назад
Зарегистрирован: 22.03.2008 - 22:15
Публикации: 54876

Продолжение.

 

Приложения: 
1.201509170058.jpg2.201509170059.jpg3.201509170060.jpg4.201509170061.jpg5.201509170062.jpg6.201509170063.jpg
Катенёв Валентин Львович аватар
Не на сайте
Был на сайте: 6 лет 11 месяцев назад
Зарегистрирован: 22.03.2008 - 22:15
Публикации: 54876

Продолжение.

 

Приложения: 
1.201509170064.jpg2.201509170065.jpg3.201509170066.jpg4.201509170067.jpg5.201509170068.jpg6.201509170069.jpg7.201509170070.jpg8.201509170071.jpg9.201509170072.jpg10.201509170073.jpg11.201509170074.jpg12.201509170075.jpg
Катенёв Валентин Львович аватар
Не на сайте
Был на сайте: 6 лет 11 месяцев назад
Зарегистрирован: 22.03.2008 - 22:15
Публикации: 54876

Продолжение.

 

Приложения: 
1.201509170076.jpg2.201509170077.jpg3.201509170078.jpg4.201509170079.jpg5.201509170080.jpg
Катенёв Валентин Львович аватар
Не на сайте
Был на сайте: 6 лет 11 месяцев назад
Зарегистрирован: 22.03.2008 - 22:15
Публикации: 54876

Продолжение.

 

Приложения: 
1.gw820h660.jpg2.gw820h693.jpg3.gw820h693_1.jpg4.gw820h693_2.jpg5.gw820h610.jpg6.gw820h650.jpg7.gw820h403.jpg8.gw820h559.jpg
Катенёв Валентин Львович аватар
Не на сайте
Был на сайте: 6 лет 11 месяцев назад
Зарегистрирован: 22.03.2008 - 22:15
Публикации: 54876

Продолжение.

 

Приложения: 
1.gw820h674.jpg2.gw820h674_1.jpg3.gw820h691.jpg4.gw600h551.jpg5.gw600h711.jpg1.gw625h720.jpg
Катенёв Валентин Львович аватар
Не на сайте
Был на сайте: 6 лет 11 месяцев назад
Зарегистрирован: 22.03.2008 - 22:15
Публикации: 54876

Продолжение.

 

Приложения: 
1.gw750h500.jpg2.gw750h562.jpg3.gw750h615.jpg4.gw750h385.jpg1.gw820h257.jpg1.gw500h686.jpg2.gw500h690.jpg1.gw550h402.jpg2.gw550h557.jpg
Катенёв Валентин Львович аватар
Не на сайте
Был на сайте: 6 лет 11 месяцев назад
Зарегистрирован: 22.03.2008 - 22:15
Публикации: 54876

Продолжение.

 

Приложения: 
1.gw820h480.jpg2.gw820h564.jpg
Катенёв Валентин Львович аватар
Не на сайте
Был на сайте: 6 лет 11 месяцев назад
Зарегистрирован: 22.03.2008 - 22:15
Публикации: 54876

Продолжение.

 

Приложения: 
1.gw520h579.jpg2.gw520h600.jpg1.gw720h352.jpg