Поиск
- « первая
- ‹ предыдущая
- …
- 4
- 5
- 6
- 7
- 8
- 9
- 10
- 11
- 12
- …
- последняя »
- следующая ›
Молодой мужчина. Травма (кто не ленив, может легко найти её последствия). И случайная находка. Что заключить: киста? липома? Что б веселее думалось, немного информации https://radiomed.ru/forum/...
Тип: Клиническое наблюдение
Область: Скелетно-мышечная система
Модальность: Rg
Дата: 04.08.2016 - 17:06
Кости при хроническом свинцовом отравлении. Изменения костного аппарата при свинцовом отравлении стали известны лишь в последние два десятилетия. Эти изменения представляют большой теоретический...
Тип: Публикация
Дата: 11.04.2012 - 13:40
Пациентка около 70 лет, эндопротезирование в 2007, архива нет. Есть ли признаки резорбции в медиальном отделе вертельной зоны?
Тип: Клиническое наблюдение
Дата: 20.02.2014 - 19:48
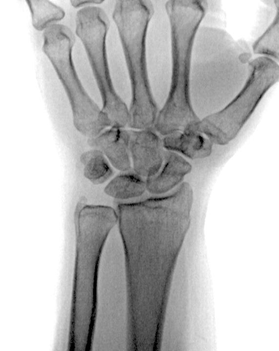
Женщина 1956г.р., упала с высоты собственного роста. Ести ли перелом луча?
Тип: Клиническое наблюдение
Область: Скелетно-мышечная система
Модальность: Rg
Дата: 09.05.2017 - 14:05
Всех коллег с Днём Рентгенолога!!! Крепкого здоровья, личного счастья, удовлетворения от работы, благодарных пациентов и дальнейшего профессионального роста!!!
Тип: Тема форума
Дата: 08.11.2020 - 07:02
76. Ахондроплазия?
Ребенку 7 месяцев. Мать очень маленького роста (карликовость). Как правильно описать данный снимок?
Тип: Клиническое наблюдение
Область: Другое
Модальность: Rg
Дата: 24.03.2021 - 11:32
77. Костный возраст
Здравствуйте. Помогите, пожалуйста, определить костный возраст. Ребенку 3 года 2 месяца сзадержкой роста, обследование только начали.
Тип: Тема форума
Дата: 17.07.2023 - 18:24
Здравствуйте. Девочке 16,5 лет. Дефицит гормона роста. Рост 145 см. До 16 лет к эндокринологу не обращались, терапевты говорили, что ещё вырастет. Отставание в росте с 3 лет. В 9 лет кв и...
Тип: Тема форума
Дата: 20.07.2023 - 15:17
Девочка, 8 лет. Диагноз ППР. Какому костному возрасту соответствует снимок? Открыты ли точки роста?
Тип: Тема форума
Дата: 01.08.2024 - 13:40
Уважаемые коллеги!
От имени всего дружного коллектива нашего портала RADIOMED поздравляем вас с нашим профессиональным праздником!
Желаем вам счастья в нашем нелегком труде, не терять интереса в...
Тип: Simplenews newsletter
Дата: 08.11.2017 - 19:40
- « первая
- ‹ предыдущая
- …
- 4
- 5
- 6
- 7
- 8
- 9
- 10
- 11
- 12
- …
- последняя »
- следующая ›













