Поиск
- « первая
- ‹ предыдущая
- …
- 4
- 5
- 6
- 7
- 8
- 9
- 10
- 11
- 12
- …
- последняя »
- следующая ›
71. Синдром С/Д ?
Женщина 60 лет .Правый контур сердца размытый, нечёткий. Можно думать об ателектазе средней доли? правый бок завтра будет.
Тип: Клиническое наблюдение
Область: Грудная клетка и верхние дыхательные пути
Модальность: Rg
Дата: 06.04.2017 - 20:36
Мужчина с ХОБЛ пришел от гл.врача. Есть ли ателектаз S3 слева? Вижу гиповентилюцию в язычковых сегментах. Спасибо заранее.
Тип: Клиническое наблюдение
Область: Грудная клетка и верхние дыхательные пути
Модальность: Rg
Дата: 18.10.2017 - 15:11
73. Ателектаз?
Мужчина 1944 . Архив только за 2014 , там норма. Из жалоб сильный кашель. Это ателектаз? Операций не было.
Тип: Клиническое наблюдение
Область: Другое
Модальность: Rg
Дата: 02.02.2019 - 16:47
74. Легкие
Мужчина 1967года. Профилактическая ФОГК.Затемнение справа с четкими контурами пневмония или ателектаз?Архив за январь 2018годля.
Тип: Клиническое наблюдение
Область: Другое
Модальность: Rg
Дата: 06.02.2019 - 11:02
Мужчина среднего возраста. В клинике исследовал плечевой сутав. При КТ - дополнительная информация - рак н\долевого бронха и ателектаз н\доли слева.
Тип: Клиническое наблюдение
Область: Скелетно-мышечная система, Грудная клетка и верхние дыхательные пути
Модальность: Rg, КТ, МРТ
Верификация: Верифицировано
Дата: 05.09.2019 - 14:40
76. Легкие
Женщина 1956 года. Направлена для исключения пневмонии. Это гидроторакс или ателектаз? Средостения смещено вправо или это за счёт разворота?
Тип: Клиническое наблюдение
Область: Другое
Модальность: Rg
Дата: 06.11.2019 - 16:04
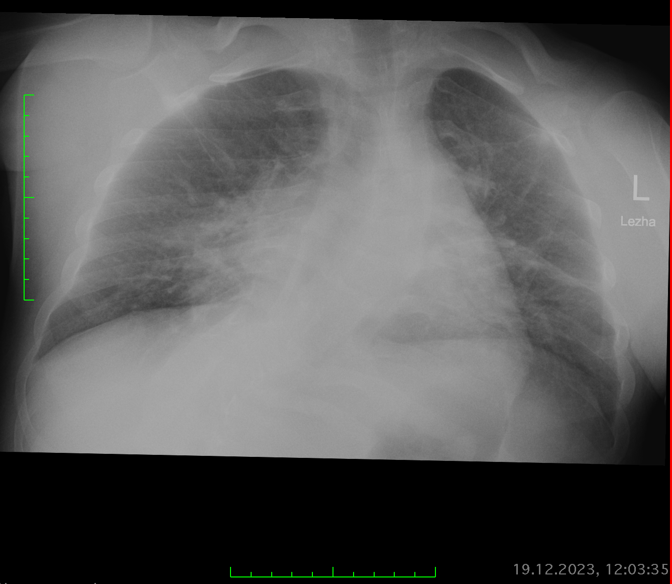
77. Пневмония?
Добрый день! Бокового к сожалению нет. Как на ваш взгляд, справа больше на пневмонию похоже? Либо обструктивный ателектаз?
Тип: Клиническое наблюдение
Область: Грудная клетка и верхние дыхательные пути
Модальность: Rg
Дата: 09.10.2023 - 15:09
Добрый день. Подскажите пожалуйста, в верхних отделах правого легкого линейная тень. что это может быть : фиброзные изменения или дисковидный ателектаз. ? Спасибо
Тип: Клиническое наблюдение
Область: Грудная клетка и верхние дыхательные пути
Модальность: Rg
Дата: 14.10.2025 - 19:31
Гемангиоэндотелиома из околоушной железы http://www.ajnr.org/content/21/1/219.full Гемангиоэндотелиома из височной кости http://www.ajnr.org/content/22/4/755.full Эпителиодная гемангиоэндотелиома...
Тип: Публикация
Дата: 25.11.2012 - 13:33
Девочка, 12 лет, клиника пневмонии. Заключила пневмонию в 3 сегменте слева. Интересует один вопрос, можно ли в данном случае с уверенностью заключить ателектаз. На прямой - ателектаз, практически...
Тип: Клиническое наблюдение
Область: Грудная клетка и верхние дыхательные пути
Модальность: Rg
Дата: 11.08.2016 - 15:36
- « первая
- ‹ предыдущая
- …
- 4
- 5
- 6
- 7
- 8
- 9
- 10
- 11
- 12
- …
- последняя »
- следующая ›






















