Поиск
- « первая
- ‹ предыдущая
- …
- 5
- 6
- 7
- 8
- 9
- 10
- 11
- 12
- 13
- …
- последняя »
- следующая ›
Очередное наблюдение коллеги. Случай т.н. подногтевого экзостоза (subungual exostosis).
Тип: Клиническое наблюдение
Область: Скелетно-мышечная система
Модальность: Rg
Верификация: Не требует верификации
Дата: 21.02.2021 - 12:29
Интересный случай, ребенку год, 7 поясничных позвонков или 7 станет кресцевым?
Тип: Клиническое наблюдение
Область: Скелетно-мышечная система
Модальность: Rg
Дата: 14.10.2021 - 20:31
Ваше мнение по поводу "репозиции и металлоостеосинтеза"? Случай 1. Случай 2.
Тип: Объявление
Дата: 19.06.2009 - 20:13
Два пациента. Возраст 60 лет. Из жалоб - недомогание. кашель, иногда болезненность и дискомфорт в грудной клетке. Случай №1 Случай №2
Тип: Клиническое наблюдение
Область: Грудная клетка и верхние дыхательные пути
Модальность: Rg
Дата: 10.07.2012 - 21:11
Кому интересно. 1 случай.Пациентка перенесла кровоизлияние в головной мозг от 31.08.2013г.Почему-то обошлись консервативным лечением. 2 случай сегодняшний. .
Тип: Клиническое наблюдение
Дата: 01.10.2013 - 14:50
Случай № 1. 1.Ch_.P..JPG 2.Ch_.P..jpg 3.Ch_.P..JPG 4._Ch.P..jpg Случай № 2. 2._Sluchay_-_1.JPG 2._Sluchay__-_2.JPG 2._Sluchay_-_3..JPG 2._Sluchay_-_4.....
Тип: Объявление
Дата: 24.12.2009 - 20:08
Молочные железы. Институт диагностической радиологии (директор проф. Д-р В. Баутц). Гинекологическая радиология (проф. Д-р Р. Шульц-Вендтланд). http://www.gynrad.idr.med.uni-erlangen.de/...
Тип: Публикация
Дата: 16.03.2018 - 16:21
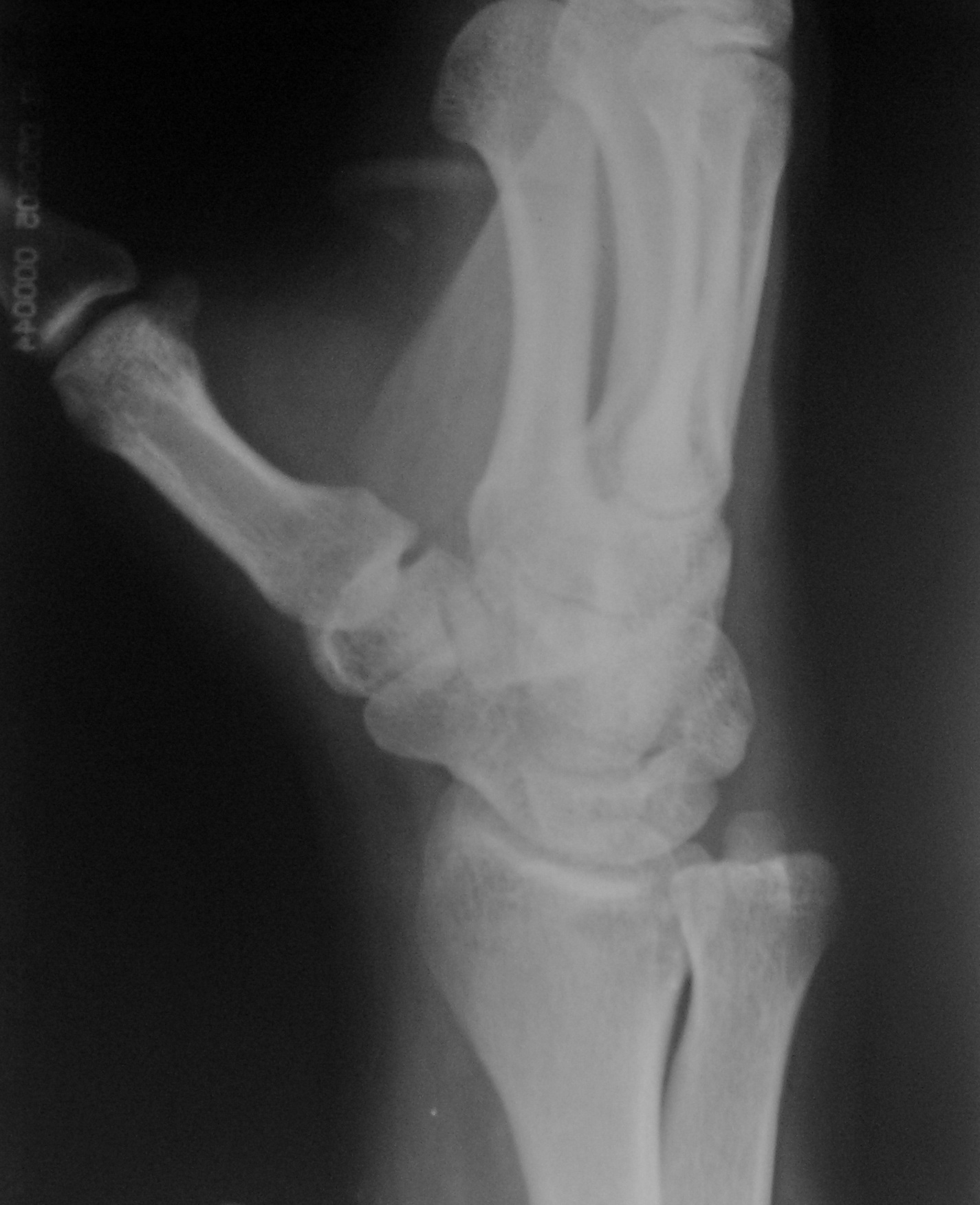
Случай № 1. Пациент направлен хирургом на рентгенографию плечевого сустава. 2 дня тому - травма. Случай 2. Пациент направлен врачом хирургом на рентгенографию лучезапястного сустава. Случай...
Тип: Клиническое наблюдение
Область: Скелетно-мышечная система
Модальность: Rg
Дата: 12.01.2010 - 16:34
Случай № 1. Травма. Пациент направлен в рентгеновский кабинет врачом хирургом для рентгенографии лучезапястного сустава. Случай № 2. Пациент направлен на рентгенографию голеностопного сустава...
Тип: Клиническое наблюдение
Область: Скелетно-мышечная система
Модальность: Rg
Дата: 12.01.2010 - 16:43
Случай №1 Молодой человек пришёл от травматолога для исключения перелома ладьи. Я написал, что есть. Ваше мнение уважаемые коллеги? Случай №2 Девушка, занимается парашютным спортом, пришла...
Тип: Клиническое наблюдение
Область: Скелетно-мышечная система
Модальность: Rg
Дата: 24.05.2012 - 17:10
- « первая
- ‹ предыдущая
- …
- 5
- 6
- 7
- 8
- 9
- 10
- 11
- 12
- 13
- …
- последняя »
- следующая ›







