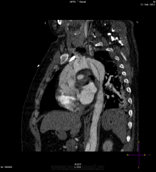
21.02.2011 МСКТ-органов грудной полости.

Пациент 44 года, поступил экстренно в тяжелом состоянии, при осмотре зрачки разные D>S.

   

   

   

 

  • https://radiomed.ru/sites/default/files/styles/case_slider_image/public/user/117/av_200950280998.png?itok=EGcSolMF
  • https://radiomed.ru/sites/default/files/styles/case_slider_image/public/user/117/av_200950546001.png?itok=LrAwkZpR
  • https://radiomed.ru/sites/default/files/styles/case_slider_image/public/user/117/av_200950944000.png?itok=pd4nOlVp
  • https://radiomed.ru/sites/default/files/styles/case_slider_image/public/user/117/av_200951077000.png?itok=neuBrJP0
  • https://radiomed.ru/sites/default/files/styles/case_slider_image/public/user/117/av_200951341999.png?itok=kKcTwxNg
  • https://radiomed.ru/sites/default/files/styles/case_slider_image/public/user/117/av_200952271000.png?itok=-mBdJwTO
  • https://radiomed.ru/sites/default/files/styles/case_slider_image/public/user/117/av_200952403000.png?itok=4Tthx7pt
  • https://radiomed.ru/sites/default/files/styles/case_slider_image/public/user/117/av_200953729000.png?itok=zL6O4NH1
  • https://radiomed.ru/sites/default/files/styles/case_slider_image/public/user/117/av_200955984001.png?itok=8cGSPEmQ
  • https://radiomed.ru/sites/default/files/styles/case_slider_image/public/user/117/av_200957032001.png?itok=hc83Rusy
  • https://radiomed.ru/sites/default/files/styles/case_slider_image/public/user/117/av_200957032001_0002.png?itok=i4rspczU
ID:54492
Nela аватар
Не на сайте
Был на сайте: 6 лет 3 недели назад
Зарегистрирован: 12.05.2009 - 20:43
Публикации: 1847

Расслаивающая аневризма. Тип А.

koriatus аватар
Не на сайте
Был на сайте: 2 года 12 месяцев назад
Зарегистрирован: 14.06.2010 - 01:49
Публикации: 452

Насколько видно на этих сканах расслоение пошло на левую общую сонную и левую подключичку выше за контур сканирования. Справа к сожалению четко не вижу.

v1tal аватар
Не на сайте
Был на сайте: 4 года 9 месяцев назад
Зарегистрирован: 07.06.2008 - 19:41
Публикации: 1779

К сожелению у нас технические проблемы с гентри, поэтому исследование не проводилось как ангиографию, но тем не менее, аппарат выдал ошибку, поэтому брюшной отдел аорты пришлось досматривать в отсроченную фазу, но там видно было переход на подвздошные. На втором скане видно расширение плече-головного ствола, вообщем переход на сосуды шеи есть. Через 40  минут после исследования была констатация биологической смерти. 

"Знаешь, у некоторых врачей есть комплекс мессии — им необходимо спасать мир. А у тебя комплекс Рубика — тебе необходимо решать головоломки."

Евгений1313 аватар
Не на сайте
Был на сайте: 13 лет 2 дня назад
Зарегистрирован: 15.10.2010 - 19:13
Публикации: 808

Причина смерти инфаркт миокарда?

v1tal аватар
Не на сайте
Был на сайте: 4 года 9 месяцев назад
Зарегистрирован: 07.06.2008 - 19:41
Публикации: 1779

Евгений1313 wrote:

Причина смерти инфаркт миокарда?

Состояние острое, с учетом распространения(тип А), конечное может быть, что угодно, первоначально точно наличие инсульта правой гемисферы мозга. О заключении патологоанатомов не могу сказать окончательно. 

"Знаешь, у некоторых врачей есть комплекс мессии — им необходимо спасать мир. А у тебя комплекс Рубика — тебе необходимо решать головоломки."