[22.01.2014] - Rg + КТ органов грудной клетки

Пол пациента: 
Тип патологии: 
Методы исследования: 

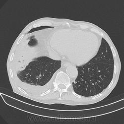
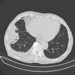
Мужчина 72 лет, лежит в кардиологии с ИБС.

Температуры нет, ОАК - Le - 10, сдвига формулы нет;  кашель редкий не продуктивный, иногда С ПРОЖИЛКАМИ КРОВИ.  Слабость, одышка.

Рентгенограмма от 14/01/2014 

Дренировали. получили 1,5 л серозно-геморрагической жидкости.

Спустя несколько дней провели КТ  "для исключения онко-патологии".

                           

                     

                        

                     

 

p.s.  обратите внимание на зону аналогичного уплотнения в левом легком (видно на аксиалах).

  • https://radiomed.ru/sites/default/files/styles/case_slider_image/public/user/16833/im-0001-0001.jpg?itok=8hSX07Pl
  • https://radiomed.ru/sites/default/files/styles/case_slider_image/public/user/16833/im-0001-0002.jpg?itok=ngYj_Rhe
  • https://radiomed.ru/sites/default/files/styles/case_slider_image/public/user/16833/im-0001-0005.jpg?itok=T823tXGB
  • https://radiomed.ru/sites/default/files/styles/case_slider_image/public/user/16833/im-0001-0009.jpg?itok=Nn0lIaF9
  • https://radiomed.ru/sites/default/files/styles/case_slider_image/public/user/16833/im-0001-0012.jpg?itok=O5RRo_vi
  • https://radiomed.ru/sites/default/files/styles/case_slider_image/public/user/16833/im-0001-0015.jpg?itok=XAxJzybc
  • https://radiomed.ru/sites/default/files/styles/case_slider_image/public/user/16833/im-0001-0017.jpg?itok=yA-DEpQL
  • https://radiomed.ru/sites/default/files/styles/case_slider_image/public/user/16833/im-0001-0020.jpg?itok=pMu8fg3Q
  • https://radiomed.ru/sites/default/files/styles/case_slider_image/public/user/16833/im-0001-0025.jpg?itok=AWgTRmGp
  • https://radiomed.ru/sites/default/files/styles/case_slider_image/public/user/16833/im-0001-0024.jpg?itok=QbL6t_Um
  • https://radiomed.ru/sites/default/files/styles/case_slider_image/public/user/16833/im-0001-0001_0.jpg?itok=ir2YimTr
  • https://radiomed.ru/sites/default/files/styles/case_slider_image/public/user/16833/im-0001-0003.jpg?itok=QnRfiT6-
  • https://radiomed.ru/sites/default/files/styles/case_slider_image/public/user/16833/im-0001-0007.jpg?itok=CTbNc3xl
  • https://radiomed.ru/sites/default/files/styles/case_slider_image/public/user/16833/im-0001-0009_0.jpg?itok=xn8OSidN
  • https://radiomed.ru/sites/default/files/styles/case_slider_image/public/user/16833/im-0001-0012_0.jpg?itok=rAuIh2GA
  • https://radiomed.ru/sites/default/files/styles/case_slider_image/public/user/16833/im-0001-0015_0.jpg?itok=W3feeiO2
  • https://radiomed.ru/sites/default/files/styles/case_slider_image/public/user/16833/im-0001-0017_0.jpg?itok=6ALfp-xP
  • https://radiomed.ru/sites/default/files/styles/case_slider_image/public/user/16833/im-0001-0019.jpg?itok=wZKu5W2c
ID:34989
Андрей Юрьевич аватар
Не на сайте
Был на сайте: 1 неделя 5 дней назад
Зарегистрирован: 16.11.2008 - 22:16
Публикации: 18098

Дайкомов не вижу, по джипегам расценил бы как ТЭЛА с субсегментарными инфарктами легких, достаточно характерная, как-бы "всепененная" структура.

Андрей Юрьевич

И.Бондаренко аватар
Не на сайте
Был на сайте: 1 день 5 часов назад
Зарегистрирован: 13.09.2011 - 22:55
Публикации: 9206

Поддерживаю.

Makcimalist аватар
Не на сайте
Был на сайте: 11 лет 9 месяцев назад
Зарегистрирован: 08.05.2010 - 14:28
Публикации: 1994

Андрей Юрьевич wrote:

Дайкомов не вижу, по джипегам расценил бы как ТЭЛА с субсегментарными инфарктами легких, достаточно характерная, как-бы "всепененная" структура.

,.. и гидротораксом справа, и (осумкованным/ограниченным-?) пневмотораксом (в переднем отделе, параперикардиально, опять же, справа)... Или пневмоперитонеум туда добрался... по неисповедимым своим путям?

--------------

"Просто, по видимости, не видеть логики в очевидных вещах - это тоже одно из свойств некоторых умов, наряду с грустными думами о свойствах ума других."  © Vega 08/10/2011

ren_gen аватар
Не на сайте
Был на сайте: 11 лет 1 месяц назад
Зарегистрирован: 30.10.2010 - 19:17
Публикации: 285

я за центральный рак правого легкого

Special.K аватар
Не на сайте
Был на сайте: 8 лет 10 месяцев назад
Зарегистрирован: 09.08.2012 - 23:08
Публикации: 479

Андрей Юрьевич wrote:

расценил бы как ТЭЛА с субсегментарными инфарктами легких, достаточно характерная, как-бы "всепененная" структура.

Cпасибо! были такие мысли. особенно с учетом возраста и "сердечной" клиники. вопрос - откуда односторонний массивный плевральный выпот, может ли он быть при инфаркте легкого?

Есть ли смысл на Ваш взгляд спустя 1,5 недели проводить исследование с болюсным контрастированием? (учитывая, что лечение как было так и останется консервативным).

Special.K аватар
Не на сайте
Был на сайте: 8 лет 10 месяцев назад
Зарегистрирован: 09.08.2012 - 23:08
Публикации: 479

ren_gen wrote:

я за центральный рак правого легкого

Видите ли Вы на представленных изображениях нарушение проходимости крупных бронхов? если да, то рак какого именно бронха Вы предполагаете?

Special.K аватар
Не на сайте
Был на сайте: 8 лет 10 месяцев назад
Зарегистрирован: 09.08.2012 - 23:08
Публикации: 479

Makcimalist wrote:

Андрей Юрьевич wrote:

Дайкомов не вижу, по джипегам расценил бы как ТЭЛА с субсегментарными инфарктами легких, достаточно характерная, как-бы "всепененная" структура.

,.. и (осумкованным/ограниченным-?) пневмотораксом (в переднем отделе, параперикардиально, опять же, справа)... Или пневмоперитонеум туда добрался... по неисповедимым своим путям?

я думаю пневмоторакс может быть последствием "криво" выполненной плевральной пункции.

ren_gen аватар
Не на сайте
Был на сайте: 11 лет 1 месяц назад
Зарегистрирован: 30.10.2010 - 19:17
Публикации: 285

по моему есть узел в правом корне, н/долевого

И.Бондаренко аватар
Не на сайте
Был на сайте: 1 день 5 часов назад
Зарегистрирован: 13.09.2011 - 22:55
Публикации: 9206

Вы думаете, что пневмоторакс? Может быть уже брюшная полость.

Андрей Юрьевич аватар
Не на сайте
Был на сайте: 1 неделя 5 дней назад
Зарегистрирован: 16.11.2008 - 22:16
Публикации: 18098

Special.K wrote:

Андрей Юрьевич wrote:

расценил бы как ТЭЛА с субсегментарными инфарктами легких, достаточно характерная, как-бы "всепененная" структура.

Cпасибо! были такие мысли. особенно с учетом возраста и "сердечной" клиники. вопрос - откуда односторонний массивный плевральный выпот, может ли он быть при инфаркте легкого?


Может:
- При дифференциальной диагностике гидротораксов врачи часто забывают, что тромбоэмболия лёгочной артерии (ТЭЛА) или её ветвей почти в половине случаев осложняется плевральным выпотом... http://www.fesmu.ru/elib/Article.aspx?id=283999
- Косвенные КТ-признаки ТЭЛА: гидроторакс (а), гидроперикард (б), симптом Вестермарка (в). ...  http://www.rejr.ru/volume/8/koroleva.pdf

Special.K wrote:
...Есть ли смысл на Ваш взгляд спустя 1,5 недели проводить исследование с болюсным контрастированием? (учитывая, что лечение как было так и останется консервативным).

Зачем? Я вообще не сторонник столь краткосрочных КТ-контролей. Если сомневаетесь в заключении, лучше КТ с болюсом делать сейчас.

Андрей Юрьевич

Special.K аватар
Не на сайте
Был на сайте: 8 лет 10 месяцев назад
Зарегистрирован: 09.08.2012 - 23:08
Публикации: 479

Андрей Юрьевич wrote:

Special.K wrote:
...Есть ли смысл на Ваш взгляд спустя 1,5 недели проводить исследование с болюсным контрастированием? (учитывая, что лечение как было так и останется консервативным).

Зачем? Я вообще не сторонник столь краткосрочных КТ-контролей. Если сомневаетесь в заключении, лучше КТ с болюсом делать сейчас.

Я имел ввиду 1,5 недели с начала заболевания.  На приведенных снимках КТ изменения уже не первой свежести. Наверное смысла большого контрастировать сейчас нет. Вот поступил бы он в остроте... Да владели бы наши врачи тромбэктомией или направленным тромболизисом.. а так - разницы для пациента никакой.

Special.K аватар
Не на сайте
Был на сайте: 8 лет 10 месяцев назад
Зарегистрирован: 09.08.2012 - 23:08
Публикации: 479

И.Бондаренко wrote:

Вы думаете, что пневмоторакс?

Уверен. Посмотрите пятый по счету коронал, в области верхушки. Немного свободного воздуха в плевральной полости есть. И это не опровергает наличие воздуха в брюшной полости. Хирургу ничего не мешает сделать пару проколов "мимо".

Mila85 аватар
Не на сайте
Был на сайте: 3 года 1 месяц назад
Зарегистрирован: 15.03.2012 - 16:59
Публикации: 1790

А это чем может быть, легочная артерия.. или л/у, или образование?

Приложения: 
imitmt.jpgimit.jpg
Андрей Юрьевич аватар
Не на сайте
Был на сайте: 1 неделя 5 дней назад
Зарегистрирован: 16.11.2008 - 22:16
Публикации: 18098

Special.K wrote:

Андрей Юрьевич wrote:

Special.K wrote:
...Есть ли смысл на Ваш взгляд спустя 1,5 недели проводить исследование с болюсным контрастированием? (учитывая, что лечение как было так и останется консервативным).

Зачем? Я вообще не сторонник столь краткосрочных КТ-контролей. Если сомневаетесь в заключении, лучше КТ с болюсом делать сейчас.

Я имел ввиду 1,5 недели с начала заболевания.  На приведенных снимках КТ изменения уже не первой свежести. Наверное смысла большого контрастировать сейчас нет. Вот поступил бы он в остроте...


Теперь понял. Да нет, тромбы видно долго. Даже не знаю, когда они исчезают (контролей не делали).

Андрей Юрьевич

алкс аватар
Не на сайте
Был на сайте: 10 лет 3 недели назад
Зарегистрирован: 24.10.2012 - 22:55
Публикации: 2915

Андрей Юрьевич wrote:

Дайкомов не вижу, по джипегам расценил бы как ТЭЛА с субсегментарными инфарктами легких, достаточно характерная, как-бы "всепененная" структура.

За. А что слева подобное есть - тем более.

Special.K аватар
Не на сайте
Был на сайте: 8 лет 10 месяцев назад
Зарегистрирован: 09.08.2012 - 23:08
Публикации: 479

написал в заключении про инфаркты обоих легких.  Всем искренняя благодарность за мнения!

Special.K аватар
Не на сайте
Был на сайте: 8 лет 10 месяцев назад
Зарегистрирован: 09.08.2012 - 23:08
Публикации: 479

Mila85 wrote:

А это чем может быть, легочная артерия.. или л/у, или образование?

ё

Если это легочная атрерия - то еще один довод в пользу ТЭЛА.

Андрей Юрьевич аватар
Не на сайте
Был на сайте: 1 неделя 5 дней назад
Зарегистрирован: 16.11.2008 - 22:16
Публикации: 18098

Special.K wrote:

Если это легочная атрерия - то еще один довод в пользу ТЭЛА.


Кстати, ширина ЛА ни за, ни против ТЭЛА ничего не дает. Демонстрировал тут КТ ангиографии с ТЭЛА и нормальными размерами легочных артерий.

Андрей Юрьевич