Пациент направлен на рентгенологическое исследование ЖКТр. "ФРУКТ" от Л.А. Рыбаковой. (+)

Пол пациента: 
Тип патологии: 
Область исследования: 
Методы исследования: 

Пациент направлен на рентгенологическое исследование ЖКТр. 

"ФРУКТ" от Людмилы Александровны Рыбаковой будет подан к "скиалогическому столу" частями - "скиалогическими синдромами".

При обзорной рентгеноскопии органов грудной и брюшной полости патологических изменений не выявлено.

Глотка, пищевод и кардия свободно проходимы для водной взвеси сернокислого бария.

ID:72679
Цель публикации: 
Катенёв Валентин Львович аватар
Не на сайте
Был на сайте: 7 лет 1 месяц назад
Зарегистрирован: 22.03.2008 - 22:15
Публикации: 54876

И оставшиеся прицельные рентгенограммы по данному случаю.

 

Приложения: 
55.5.diver_apr.jpg55.6.diver_.apr_.jpg55.7.diver_.apr_.jpg55.8.diver_apr.jpg55.16.diver_apr.jpg55.17.diver_apr.jpg
Катенёв Валентин Львович аватар
Не на сайте
Был на сайте: 7 лет 1 месяц назад
Зарегистрирован: 22.03.2008 - 22:15
Публикации: 54876

Ваше мнение уважаемые коллеги?

Евгений Алексеевич аватар
Не на сайте
Был на сайте: 5 лет 1 неделя назад
Зарегистрирован: 28.06.2013 - 16:23
Публикации: 4122

что то явно стало с рельефом... Опа и дивертикул нижней горизонтали ДПК)))

colombina аватар
Не на сайте
Был на сайте: 1 год 7 месяцев назад
Зарегистрирован: 07.07.2016 - 16:28
Публикации: 478

Значит то огромное депо бария , что был виден по нисходящей ДПК до атропинизации-дивертикул? нижняя стенка антрального отдела после атропинизации ригидна, с неровными, зазубренными контурами, в условиях двойного контрастирования также дефект наполнения с депо бария в нем. Логично предпложить после ваших  подсказок рак головки с прорастанием нижней стенки желудка и с изъязвлением.

Катенёв Валентин Львович аватар
Не на сайте
Был на сайте: 7 лет 1 месяц назад
Зарегистрирован: 22.03.2008 - 22:15
Публикации: 54876

[quote=Евгений Алексеевич]что то явно стало с рельефом.../quote]

А, что с рельефом?

Катенёв Валентин Львович аватар
Не на сайте
Был на сайте: 7 лет 1 месяц назад
Зарегистрирован: 22.03.2008 - 22:15
Публикации: 54876

colombina wrote:

нижняя стенка антрального отдела после атропинизации ригидна, с неровными, зазубренными контурами, в 

++++

Катенёв Валентин Львович аватар
Не на сайте
Был на сайте: 7 лет 1 месяц назад
Зарегистрирован: 22.03.2008 - 22:15
Публикации: 54876

colombina wrote:

Логично предпложить после ваших  подсказок рак головки с прорастанием нижней стенки желудка и с изъязвлением.

Значит сами додумались?

Снимаю шляпу перед Вами!

colombina аватар
Не на сайте
Был на сайте: 1 год 7 месяцев назад
Зарегистрирован: 07.07.2016 - 16:28
Публикации: 478

Катенёв Валентин Львович wrote:

Значит сами додумались?

 

Не сама, а только с вашей помощью.

colombina аватар
Не на сайте
Был на сайте: 1 год 7 месяцев назад
Зарегистрирован: 07.07.2016 - 16:28
Публикации: 478

 

Катенёв Валентин Львович wrote:

Снимаю шляпу перед Вами!

Я смущена

Приложения: 
1302705977_1302640813_podborka_103.jpg
Катенёв Валентин Львович аватар
Не на сайте
Был на сайте: 7 лет 1 месяц назад
Зарегистрирован: 22.03.2008 - 22:15
Публикации: 54876

colombina wrote:

Не сама, а только с вашей помощью.

Я принимаю этот комплимент.

Катенёв Валентин Львович аватар
Не на сайте
Был на сайте: 7 лет 1 месяц назад
Зарегистрирован: 22.03.2008 - 22:15
Публикации: 54876

colombina wrote:

нижняя стенка антрального отдела после атропинизации ригидна, с неровными, зазубренными контурами, в условиях двойного контрастирования также дефект наполнения с депо бария в нем. 

Логично предпложить после ваших  подсказок рак головки с прорастанием нижней стенки желудка и с изъязвлением.

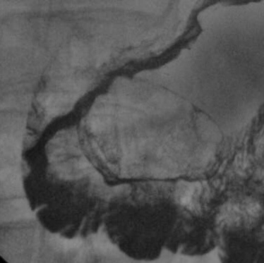
Контур антрального отдела желудка по большой кривизне зазубрен (возможно, именно возможно, а не утверждение - зазубрены являются изъязвлениями слизистой оболочки) - красные стрелки.

По большой кривизне антрального отдела визуализируется (намечается) полицикличность контура.- бирюзовые стрелки.

Увеличение "дуоденального окна" (разворота 12-ти перстной кишки) - зелёный круг и обнажение флексура дуоденоеюналис - сиреневые стрелки свидетельствуют об увеличении поджелудочной железы, в частности головки.

Все вышеупомянутое позволяет высказать предположение, что "первичный процесс" локализуется в поджелудочной железе, а "поражение желудка" - вторично.

Приложения: 
00.11.3._zubchatost.jpg00.11.3.policiklichnost.jpg00.11.3._golovka.jpg
Катенёв Валентин Львович аватар
Не на сайте
Был на сайте: 7 лет 1 месяц назад
Зарегистрирован: 22.03.2008 - 22:15
Публикации: 54876

Евгений Алексеевич wrote:
Опа и дивертикул нижней горизонтали ДПК)))

Вы совершенно правы уважаемый Евгений Алексеевич.

 

Приложения: 
00.11.3._diver.jpg00.55.6._diver.jpg00.55.16._diver.jpg
Almo аватар
Не на сайте
Был на сайте: 4 часа 46 минут назад
Зарегистрирован: 28.09.2008 - 18:50
Публикации: 8274

Валентин Львович, как звучит послеоперационный диагноз и какое гистологическое заключение?

Катенёв Валентин Львович аватар
Не на сайте
Был на сайте: 7 лет 1 месяц назад
Зарегистрирован: 22.03.2008 - 22:15
Публикации: 54876

Операция проходила в областном онкологическом центре, где работает коллега Рыбакова, со слов её знаю, что было злокачественное новобразование поджелудочной железы, с инфильтрацией стенки желудка.

А, вот гистологических подробностей не знаю, да и далеко мы друг от друга (по расстоянию).

Almo аватар
Не на сайте
Был на сайте: 4 часа 46 минут назад
Зарегистрирован: 28.09.2008 - 18:50
Публикации: 8274

Катенёв Валентин Львович wrote:

Операция проходила в областном онкологическом центре, где работает коллега Рыбакова, со слов её знаю, что было злокачественное новобразование поджелудочной железы, с инфильтрацией стенки желудка.

А, вот гистологических подробностей не знаю, да и далеко мы друг от друга (по расстоянию).

Спасибо, а по локализации в поджелудочной железе более точных данных нет: в хвосте? в теле?в головке? Могу предположить, что не в головке, т.к. рельф слизистой подковы 12-перстной кишки, практически не изменён.

Катенёв Валентин Львович аватар
Не на сайте
Был на сайте: 7 лет 1 месяц назад
Зарегистрирован: 22.03.2008 - 22:15
Публикации: 54876

Головка и тело.

Евгений Алексеевич аватар
Не на сайте
Был на сайте: 5 лет 1 неделя назад
Зарегистрирован: 28.06.2013 - 16:23
Публикации: 4122

<p>Прекрасный кейсик! Мне ооочень понравился! Спасибо, Валентин Львович!</p>

Almo аватар
Не на сайте
Был на сайте: 4 часа 46 минут назад
Зарегистрирован: 28.09.2008 - 18:50
Публикации: 8274

Катенёв Валентин Львович wrote:

Головка и тело.

Спасибо! Было бы конечно интересно картинки с  КТ посмотреть , но думаю это нереально.

Катенёв Валентин Львович аватар
Не на сайте
Был на сайте: 7 лет 1 месяц назад
Зарегистрирован: 22.03.2008 - 22:15
Публикации: 54876

Евгений Алексеевич wrote:

Прекрасный кейсик! Мне ооочень понравился! Спасибо, Валентин Львович!


Спасибо на добром слове.

Катенёв Валентин Львович аватар
Не на сайте
Был на сайте: 7 лет 1 месяц назад
Зарегистрирован: 22.03.2008 - 22:15
Публикации: 54876

Уважаемые коллеги!

Хотелось бы услышать от Вас критические замечания, исправления, дополнения, рекомендации по поводу представленного материала, с целью использования этого материала в образовательных целях.