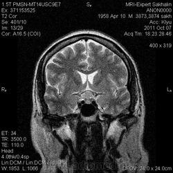
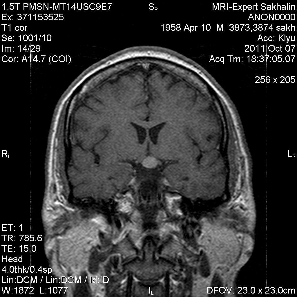
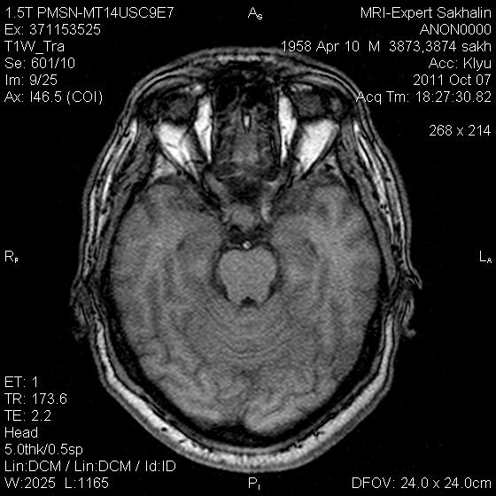
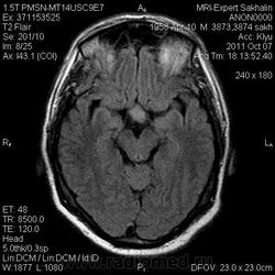
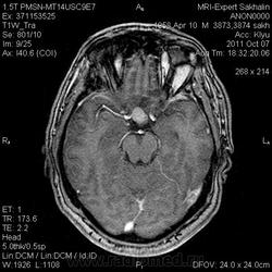
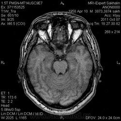
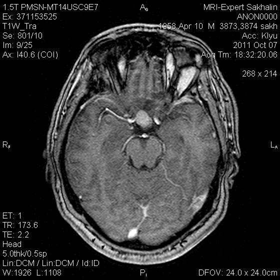
Аденома гипофиза

Вот такая аденома гипофиза сегодня.Мужчина с жалобами на снижение зрения.

        

постконтраст

         

  • https://radiomed.ru/sites/default/files/styles/case_slider_image/public/user/5662/mish2.jpg?itok=VS3dmGQs
  • https://radiomed.ru/sites/default/files/styles/case_slider_image/public/user/5662/mish3.jpg?itok=GXIQos2J
  • https://radiomed.ru/sites/default/files/styles/case_slider_image/public/user/5662/mish4_0.jpg?itok=7UByzZk3
  • https://radiomed.ru/sites/default/files/styles/case_slider_image/public/user/5662/mish5.jpg?itok=G9uxyftY
  • https://radiomed.ru/sites/default/files/styles/case_slider_image/public/user/5662/mish6.jpg?itok=YS438IBH
  • https://radiomed.ru/sites/default/files/styles/case_slider_image/public/user/5662/mish7.jpg?itok=xXrLOBHb
  • https://radiomed.ru/sites/default/files/styles/case_slider_image/public/user/5662/mish8.jpg?itok=Y22Ww2wB
  • https://radiomed.ru/sites/default/files/styles/case_slider_image/public/user/5662/mish9.jpg?itok=LjXQ_phq
  • https://radiomed.ru/sites/default/files/styles/case_slider_image/public/user/5662/mish10.jpg?itok=b2hUkZSr
  • https://radiomed.ru/sites/default/files/styles/case_slider_image/public/user/5662/mish11.jpg?itok=ucSOn91k
  • https://radiomed.ru/sites/default/files/styles/case_slider_image/public/user/5662/mish12_0.jpg?itok=bpPewhP9
  • https://radiomed.ru/sites/default/files/styles/case_slider_image/public/user/5662/mish13.jpg?itok=CQu5OMV4
ID:52538
Танюша аватар
Не на сайте
Был на сайте: 14 лет 1 месяц назад
Зарегистрирован: 08.09.2011 - 15:55
Публикации: 175

Мне кажется что это все же не аденома, может глиома хиазмы ? (воронки гипофиза)? Или еще какое-нибудь объемное образование.... Что то меня смущает, еще не поняла что, но В любом случае наверное я бы однозначно не писала что это аденома, а выставила бы весь диф. ряд.

Helios аватар
Не на сайте
Был на сайте: 7 месяцев 2 недели назад
Зарегистрирован: 06.08.2010 - 15:16
Публикации: 4417

Танюша, обычно пишем "образование хиазмально-селлярной области"

Дугаров Ж.Б-Д. аватар
Не на сайте
Был на сайте: 11 лет 1 месяц назад
Зарегистрирован: 02.12.2010 - 17:37
Публикации: 38

Присоединяюсь к последнему коментарию, все таки откуда растет по моему мнению трудно однозначно сказать, лучше себя обезопасить написав "объемное образование хиазмально-селлярной области"

Helios аватар
Не на сайте
Был на сайте: 7 месяцев 2 недели назад
Зарегистрирован: 06.08.2010 - 15:16
Публикации: 4417

Спасибо!

Танюша аватар
Не на сайте
Был на сайте: 14 лет 1 месяц назад
Зарегистрирован: 08.09.2011 - 15:55
Публикации: 175

А предположить ??? ))

Helios аватар
Не на сайте
Был на сайте: 7 месяцев 2 недели назад
Зарегистрирован: 06.08.2010 - 15:16
Публикации: 4417

Танюша, конечно же, можно и предположить.

Катенёв Валентин Львович аватар
Не на сайте
Был на сайте: 7 лет 2 недели назад
Зарегистрирован: 22.03.2008 - 22:15
Публикации: 54876

Танюша wrote:
А предположить ??? ))

А, какие нозологии можно предположить?