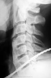
Абсолютно согласен с Nela, болезнь Форестье, крайняя степень проявления. А с С6, по моему, все в порядке, похоже просто артефакт создает видимость дефекта. Хотя по одному снимку тяжело. Но по логике - на фоне таких костных масивов -дефект будет нонсенсом......
Как известно, что этиологический фактор болезни Форестье до сих пор не установлен. И автор случая, по всей видимости, не просто так упомянул "травму". Мне лично, трудно судить о С6, как о нормальном.
Возможно, болезнь типа Форестье как защитная реакция организма на повреждение связочного аппарата при травме.
В таком случае логичным будет локальний деформирующий спондилез или локальное окостенение тех или иных связок, а ведь Форестье характерен генерализованым изменением связок...
"Диагноз основывается на данных рентгенографии позвоночника. Выявляется патогномоничный признак — оссификация передней продольной связки, первоначально в грудном отделе. В норме эта связка тонкая, при рентгенографии не видна, проходит вдоль всего позвоночника, огибает межпозвоночные диски и прикрепляется к телам позвонков; в результате оссификации эта связка становится рентгенопозитивной. Патологический процесс в связке обычно начинается в области тел позвонков, постепенно распространяется на другие отделы связки, что приводит к резкому и неравномерному ее утолщению, иногда до 10—20 мм. На рентгеновских снимках в прямой проекции в выраженных случаях позвоночник окружен по бокам лентовидными образованиями костной плотности с неровными контурами, как бы стекающими вдоль позвоночного столба, выгибаясь на уровне межпозвоночных дисков и соприкасаясь с телами позвонков. Позвоночник на определенных уровнях становится как бы закованным вновь образованной костной тканью (анкилозирующий гиперостоз позвоночника). Диагноз Ф. б. считается достоверным, если определяется непрерывное окостенение передней продольной связки на протяжении не менее четырех последовательных сегментов позвоночника вдоль переднелатеральной его части при условии отсутствия в этой области признаков остеохондроза, а также рентгенологических признаков сакроилеита. При рентгенографии различных отделов периферического скелета выявляются окостенение мест прикрепления сухожилий и связок к костям в виде шпор, бахромы, а иногда оссификация капсул суставов."
Коллега STOVBAV! Боюсь, мы не совсем понимаем друг друга.Вы считаете, что это б.Ф.? Да, рентгенологически - один в один. Но б.Ф. - это болезнь старческого возраста. Здесь - далеко не старик. И я думаю, что травма явилась пусковым моментом для такого массивного обезыствления перед. прод. связки.Обратили внимание на отсутствие обезыствления на уровне ПДС CIII-CIV? Голова больного ведь крутится. При б.Ф. такого разрыва не было-бы. А в остальном - б.Ф. один в один. Поэтому я это трактую как реакция связок, организма ТИПА б.Ф.
Великое преймущество врача заключается в том, что он не обязан следовать собственным советам. ( А. Кристи)
Может быть...может быть...болезнь идет снизу вверх, с грудного отдела - вверх...придет время - перестанет и там крутится....Начинается отнюдь не в старческом возрасте, преимущественно у мужчин старше 50....А то так я у же к древним старикам отношусь, в свои то 52 с хвостиком..........
Анатолий Владимирович, к сожалению, не может нам представить других снимков, а так - снимки грудно отдела расставили бы все точки над и.....на предмет подсвязочного костеобразования...маловероятно, ведь процесс есть и в в\шейном отделе, только пока в прерывистом виде...для всего свое время...
Да, снимков ГОП не хватает, но в направиловке А.В. нет указаний на жалобы со стороны ГОП. При такой массивной Форестье больной передвигался бы в "позе просителя" (цит. по М.И.Спузяк).
Великое преймущество врача заключается в том, что он не обязан следовать собственным советам. ( А. Кристи)
Нет, именно для б.Форестье. При Б.Б. спина прямая как палка, может быть сутулость. Кстати, коллега GONCHAROVA... высказалась в пользу обезыствления подсвязочной гематомы. Я с ней полностью согласен.
Великое преймущество врача заключается в том, что он не обязан следовать собственным советам. ( А. Кристи)
Компрессионный перелом! Мне кажется это наложение теней, может и верхушки легкого. Не разглядеть. Но позвонок цел конечно, хотя бы потому, что передняя продольная связка как подпорка держит позвоночний столб, да и компрессия нижнего угла тела, даже не слышала о таком.
Здравствуйте! Опять скажу честно, всех обстоятельств случая не помню, не судите... Но посчитал возможным представить этот единственный интересный снимок Вашему вниманию. То, что наблюдение вызвало оживленное обсуждение - это подтверждает. Моя оценка снимка немного в другой плоскости - никто не указывает на наличие вероятно старых, но отчетливо видимых на снимке поперечных переломов данного обызвествления, какой бы природы оно не было... А ведь именно эти переломы могут доставлять больному страдания не меньшие чем основной процесс. Переломы - их линии отчетливо видны на уровне дисков рядом с С6. А если не переломы то что?
Даже если это переломы, то не представляю каким образом они могут вызывать страдания. Тем более старые переломы. Диски не снижены, подвижность ограничена и вероятно значительно. Какая клиника предполагается?
Даже если это переломы, то не представляю каким образом они могут вызывать страдания. Тем более старые переломы. Диски не снижены, подвижность ограничена и вероятно значительно. Какая клиника предполагается?
Переломы любых разрастаний по краям позвонков сопровождаются резкой манифестацией клиники...
Несколько раз наблюдал переломы в шее при болезни Бехтерева, помню какой бурной клиникой - болями при любом движении это сопровождалось... Жаль по молодости не сохранил копии рентгенограмм. Дуаю, что любой перелом, если это не перестройка от нагрузки (тут клиника смазана) несет для пациента неудобства и страдания. Жалко спросить в данном случае пациента - не сможем. Но в следующий раз - обратим внимание и обязательно спросим. И тогда я буду считать свою задачу - привлечь внимание не только молодежи но и наших "стариков" - к данному аспекту проблемы - выполненной.
Болезнь Форестье - фиксирующий лигаментоз? Только не пойму куда делась часть тела 6 позвонка!
обызвествление всего превертебрального пространства, похоже на оссифицированную гематому
https://www.youtube.com/channel/UCBGxoBUOqUT_bFhSeUgtWEw
А случайно, рентгенограммы грудного отдела позвоночника данного пациента "боком" нет?
К сожалению снимок один, в этом большой недостаток архивных наблюдений...
Абсолютно согласен с Nela, болезнь Форестье, крайняя степень проявления. А с С6, по моему, все в порядке, похоже просто артефакт создает видимость дефекта. Хотя по одному снимку тяжело. Но по логике - на фоне таких костных масивов -дефект будет нонсенсом...
...
Болезни ног: виды, симптомы, причины, профилактика и лечение
Как известно, что этиологический фактор болезни Форестье до сих пор не установлен. И автор случая, по всей видимости, не просто так упомянул "травму". Мне лично, трудно судить о С6, как о нормальном.
Я для себя решил, что на тело С6 произошло наслоение верхушки легкого
Возможно, болезнь типа Форестье как защитная реакция организма на повреждение связочного аппарата при травме.
Великое преймущество врача заключается в том, что он не обязан следовать собственным советам. ( А. Кристи)
В таком случае логичным будет локальний деформирующий спондилез или локальное окостенение тех или иных связок, а ведь Форестье характерен генерализованым изменением связок...
Болезни ног: виды, симптомы, причины, профилактика и лечение
Поэтому и ТИПА Форестье. Я имею в виду в данном случае какой-то "гипертрофированный" деф. спондиллез.
Великое преймущество врача заключается в том, что он не обязан следовать собственным советам. ( А. Кристи)
"Диагноз основывается на данных рентгенографии позвоночника. Выявляется патогномоничный признак — оссификация передней продольной связки, первоначально в грудном отделе. В норме эта связка тонкая, при рентгенографии не видна, проходит вдоль всего позвоночника, огибает межпозвоночные диски и прикрепляется к телам позвонков; в результате оссификации эта связка становится рентгенопозитивной. Патологический процесс в связке обычно начинается в области тел позвонков, постепенно распространяется на другие отделы связки, что приводит к резкому и неравномерному ее утолщению, иногда до 10—20 мм. На рентгеновских снимках в прямой проекции в выраженных случаях позвоночник окружен по бокам лентовидными образованиями костной плотности с неровными контурами, как бы стекающими вдоль позвоночного столба, выгибаясь на уровне межпозвоночных дисков и соприкасаясь с телами позвонков. Позвоночник на определенных уровнях становится как бы закованным вновь образованной костной тканью (анкилозирующий гиперостоз позвоночника). Диагноз Ф. б. считается достоверным, если определяется непрерывное окостенение передней продольной связки на протяжении не менее четырех последовательных сегментов позвоночника вдоль переднелатеральной его части при условии отсутствия в этой области признаков остеохондроза, а также рентгенологических признаков сакроилеита. При рентгенографии различных отделов периферического скелета выявляются окостенение мест прикрепления сухожилий и связок к костям в виде шпор, бахромы, а иногда оссификация капсул суставов."
http://www.nedug.ru/library/doc.aspx?item=57195
Болезни ног: виды, симптомы, причины, профилактика и лечение
Коллега STOVBAV! Боюсь, мы не совсем понимаем друг друга.Вы считаете, что это б.Ф.? Да, рентгенологически - один в один. Но б.Ф. - это болезнь старческого возраста. Здесь - далеко не старик. И я думаю, что травма явилась пусковым моментом для такого массивного обезыствления перед. прод. связки.Обратили внимание на отсутствие обезыствления на уровне ПДС CIII-CIV? Голова больного ведь крутится. При б.Ф. такого разрыва не было-бы. А в остальном - б.Ф. один в один. Поэтому я это трактую как реакция связок, организма ТИПА б.Ф.
Великое преймущество врача заключается в том, что он не обязан следовать собственным советам. ( А. Кристи)
Может быть...может быть...болезнь идет снизу вверх, с грудного отдела - вверх...придет время - перестанет и там крутится....Начинается отнюдь не в старческом возрасте, преимущественно у мужчин старше 50....А то так я у же к древним старикам отношусь, в свои то 52 с хвостиком...
....
...
Болезни ног: виды, симптомы, причины, профилактика и лечение
Какая интереснейшая "болезнь Форестье"?
Прямо, создается впечатление подсвязочного костеобразования.
Анатолий Владимирович, к сожалению, не может нам представить других снимков, а так - снимки грудно отдела расставили бы все точки над и.....на предмет подсвязочного костеобразования...маловероятно, ведь процесс есть и в в\шейном отделе, только пока в прерывистом виде...для всего свое время...
Болезни ног: виды, симптомы, причины, профилактика и лечение
Ну, Вы сами пусть "вскользь" но отметили:
"при условии отсутствия в этой области признаков остеохондроза, а также рентгенологических признаков сакроилеита."
Да, снимков ГОП не хватает, но в направиловке А.В. нет указаний на жалобы со стороны ГОП. При такой массивной Форестье больной передвигался бы в "позе просителя" (цит. по М.И.Спузяк).
Великое преймущество врача заключается в том, что он не обязан следовать собственным советам. ( А. Кристи)
А поза "просителя", даже не по Михаилу Ивановичу, а по более ранним публикациям, характерна для болезни Бехтерева.
Нет, именно для б.Форестье. При Б.Б. спина прямая как палка, может быть сутулость. Кстати, коллега GONCHAROVA... высказалась в пользу обезыствления подсвязочной гематомы. Я с ней полностью согласен.
Великое преймущество врача заключается в том, что он не обязан следовать собственным советам. ( А. Кристи)
Для обызествленной гематомы характерна "структурность" тени а не однородность, в этом и ее отличие, как мне кажется.
Болезни ног: виды, симптомы, причины, профилактика и лечение
В общем -то да, но смотря какой возраст гематомы и массивность кровоизлияния.
Великое преймущество врача заключается в том, что он не обязан следовать собственным советам. ( А. Кристи)
Интересно, что скажет Анатолий Владимирович когда появится на сайте?
Великое преймущество врача заключается в том, что он не обязан следовать собственным советам. ( А. Кристи)
Анатолий Шумаков:
"Я для себя решил, что на тело С6 произошло наслоение верхушки легкого".
А у меня такого впечатления не сложилось.
Полностью согласен, здесь компрессионный перелом , да и CV не нормальный.
Великое преймущество врача заключается в том, что он не обязан следовать собственным советам. ( А. Кристи)
И, что это за дефект в теле позвонка?
Компрессионный перелом!
Мне кажется это наложение теней, может и верхушки легкого. Не разглядеть. Но позвонок цел конечно, хотя бы потому, что передняя продольная связка как подпорка держит позвоночний столб, да и компрессия нижнего угла тела, даже не слышала о таком.
Думаю, консолидированный осколок. Валентин Львович, у Вас в компьютере программа обработки изображений?
Великое преймущество врача заключается в том, что он не обязан следовать собственным советам. ( А. Кристи)
Да. Но не в самом компьютере, а просто дополнительная - "Олимпус. Мастер 2"
Здравствуйте! Опять скажу честно, всех обстоятельств случая не помню, не судите... Но посчитал возможным представить этот единственный интересный снимок Вашему вниманию. То, что наблюдение вызвало оживленное обсуждение - это подтверждает. Моя оценка снимка немного в другой плоскости - никто не указывает на наличие вероятно старых, но отчетливо видимых на снимке поперечных переломов данного обызвествления, какой бы природы оно не было... А ведь именно эти переломы могут доставлять больному страдания не меньшие чем основной процесс. Переломы - их линии отчетливо видны на уровне дисков рядом с С6. А если не переломы то что?
Даже если это переломы, то не представляю каким образом они могут вызывать страдания. Тем более старые переломы. Диски не снижены, подвижность ограничена и вероятно значительно. Какая клиника предполагается?
Переломы любых разрастаний по краям позвонков сопровождаются резкой манифестацией клиники...
Болезни ног: виды, симптомы, причины, профилактика и лечение
Несколько раз наблюдал переломы в шее при болезни Бехтерева, помню какой бурной клиникой - болями при любом движении это сопровождалось... Жаль по молодости не сохранил копии рентгенограмм. Дуаю, что любой перелом, если это не перестройка от нагрузки (тут клиника смазана) несет для пациента неудобства и страдания. Жалко спросить в данном случае пациента - не сможем. Но в следующий раз - обратим внимание и обязательно спросим. И тогда я буду считать свою задачу - привлечь внимание не только молодежи но и наших "стариков" - к данному аспекту проблемы - выполненной.