Без клинических жалоб.

Пол пациента: 
Тип патологии: 
Область исследования: 

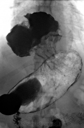
 Пациент 37 лет без жалоб, был направлен на R-скопию пищевода и  желудка после проведения МСКТ-абдоминального:

 

А вот еще по данным КТ-сканам четко видно фиксированную грыжу пищеводного отверстия диафрагмы:

 

  • https://radiomed.ru/sites/default/files/styles/case_slider_image/public/user/117/_094058000000_0.png?itok=o_L4Er0S
  • https://radiomed.ru/sites/default/files/styles/case_slider_image/public/user/117/_094127000000_0.png?itok=119aMAxV
  • https://radiomed.ru/sites/default/files/styles/case_slider_image/public/user/117/_094257000000_0.png?itok=dVu2HufZ
  • https://radiomed.ru/sites/default/files/styles/case_slider_image/public/user/117/_094437000000_0.png?itok=nHTPqmTt
  • https://radiomed.ru/sites/default/files/styles/case_slider_image/public/user/117/_094557000000.png?itok=cSZI9FOg
  • https://radiomed.ru/sites/default/files/styles/case_slider_image/public/user/117/_094634000000_0.png?itok=kfWvt8fs
  • https://radiomed.ru/sites/default/files/styles/case_slider_image/public/user/117/_094656000000_0.png?itok=SVWvS5yp
  • https://radiomed.ru/sites/default/files/styles/case_slider_image/public/user/117/_094757000000.png?itok=SaVUJVjr
  • https://radiomed.ru/sites/default/files/styles/case_slider_image/public/user/117/gr_1_0.jpg?itok=-DZSHtJq
  • https://radiomed.ru/sites/default/files/styles/case_slider_image/public/user/117/gr_2_0.jpg?itok=ksu85nXe
  • https://radiomed.ru/sites/default/files/styles/case_slider_image/public/user/117/gr_3_0.jpg?itok=vBt9xnpw
  • https://radiomed.ru/sites/default/files/styles/case_slider_image/public/user/117/gr_4_0.jpg?itok=AjI-ntDc
  • https://radiomed.ru/sites/default/files/styles/case_slider_image/public/user/117/gr_5.jpg?itok=awcNUMkO
ID:1543
rentgengb1 аватар
Не на сайте
Был на сайте: 11 лет 11 месяцев назад
Зарегистрирован: 13.02.2009 - 23:02
Публикации: 290

Показательная презентация. спасибо.

Almo аватар
Не на сайте
Был на сайте: 16 часов 51 минут назад
Зарегистрирован: 28.09.2008 - 18:50
Публикации: 8247

Красивые и информативные снимки!

Анатолий Владимирович Шумаков аватар
Не на сайте
Был на сайте: 7 лет 9 месяцев назад
Зарегистрирован: 16.10.2009 - 21:16
Публикации: 1941

Спасибо! Отличное наблюдение!

Игорь Иванович аватар
Не на сайте
Был на сайте: 3 года 9 месяцев назад
Зарегистрирован: 23.01.2010 - 14:56
Публикации: 3695

Я просто поражаюсь качеству рентгенограмм. На моей аппаратуре такого не получишь. Хотя грыжи довольно часты, и люди часто не предъявляют жалоб. Сейчас особенно часто можно их увидеть на цифровой флгр., т.к. там на одном снимке можно увидеть и довольно кач. позвоночник и неперебитые легкие одновременно. И на фоне сердца - часто дно желудка с газовым пузырем. Но конечно нужно дообследование с барием.