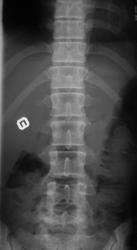
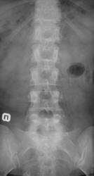
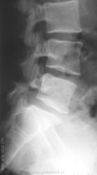
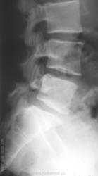
Пол пациента: Женский пол Тип патологии: Врожденная патология Область исследования: Скелетно-мышечная система Методы исследования: Rg Молодая женщина пришла на снимок поясничного отдела. Другая женщина, которая занимается рукопашным боем, обратилась с жалобами на боли в пояснице, после неудачного броска. https://radiomed.ru/sites/default/files/styles/case_slider_image/public/user/712/sl274202.jpg?itok=nrVgJub5 https://radiomed.ru/sites/default/files/styles/case_slider_image/public/user/712/sl274211.jpg?itok=ON6uvgKI https://radiomed.ru/sites/default/files/styles/case_slider_image/public/user/712/sl274212.jpg?itok=NmuMvaE1 https://radiomed.ru/sites/default/files/styles/case_slider_image/public/user/712/sl274213.jpg?itok=nP2dg6tE ID:18475 Пт, 27/01/2012 - 18:10 #1 Фаина Не на сайте Был на сайте: 2 года 11 месяцев назад Зарегистрирован: 14.12.2008 - 16:51 Публикации: 323 В первом случае, кроме остеохондроза и несросшихся апофизов, честно говоря, ничего критичного" не увидела. А во втором случае, не спондилолиз ли в L5?! Пт, 27/01/2012 - 18:17 #2 Наталия Не на сайте Был на сайте: 8 лет 7 месяцев назад Зарегистрирован: 30.07.2008 - 13:24 Публикации: 538 Во втором случае вероятнее спондилолиз. Пт, 27/01/2012 - 18:25 #3 Глазков Игорь А... Не на сайте Был на сайте: 9 месяцев 1 неделя назад Зарегистрирован: 19.12.2008 - 20:41 Публикации: 1597 Шморля в каудальной части тела позвонкаТ12 Прийди к Себе Пт, 27/01/2012 - 21:15 #4 И.Бондаренко Не на сайте Был на сайте: 3 дня 7 часов назад Зарегистрирован: 13.09.2011 - 22:55 Публикации: 9206 Случай №1. Грыжа Шморля Т12, несросшиеся апофизы L2,5 или обызвествившиеся грыжи дисков. Случай №2. Спондилолиз дужки L5. Ср, 01/02/2012 - 21:08 #5 Natalja Не на сайте Был на сайте: 13 лет 10 месяцев назад Зарегистрирован: 27.01.2012 - 22:08 Публикации: 4 Глазков Игорь Артурович wrote: Молодая женщина пришла на снимок поясничного отдела. Другая женщина, которая занимается рукопашным боем, обратилась с жалобами на боли в пояснице, после неудачного броска. В первом случае смущает L2, травмы не было? Чт, 02/02/2012 - 14:35 #6 Глазков Игорь А... Не на сайте Был на сайте: 9 месяцев 1 неделя назад Зарегистрирован: 19.12.2008 - 20:41 Публикации: 1597 травму отрицает Прийди к Себе
В первом случае, кроме остеохондроза и несросшихся апофизов, честно говоря, ничего критичного" не увидела. А во втором случае, не спондилолиз ли в L5?!
Во втором случае вероятнее спондилолиз.
Шморля в каудальной части тела позвонкаТ12
Прийди к Себе
Случай №1. Грыжа Шморля Т12, несросшиеся апофизы L2,5 или обызвествившиеся грыжи дисков.
Случай №2. Спондилолиз дужки L5.
травму отрицает
Прийди к Себе