Пол пациента:
Тип патологии:
Область исследования:
Методы исследования:
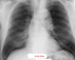
Муж. 1946гр. в мае 2016г выявлен центральный рак. Рентген от 21.09. и май 16г.
- https://radiomed.ru/sites/default/files/styles/case_slider_image/public/user/21698/novaya_papka_300001_2.jpg?itok=5_q-XnBK
- https://radiomed.ru/sites/default/files/styles/case_slider_image/public/user/21698/novaya_papka_300002_1.jpg?itok=GOUAHwri
- https://radiomed.ru/sites/default/files/styles/case_slider_image/public/user/21698/novaya_papka_600001_8.jpg?itok=Qo4X9inf
- https://radiomed.ru/sites/default/files/styles/case_slider_image/public/user/21698/novaya_papka_600002_6.jpg?itok=82iCCVbl
- https://radiomed.ru/sites/default/files/styles/case_slider_image/public/user/21698/novaya_papka_600003_5.jpg?itok=s8bAWd2H
- https://radiomed.ru/sites/default/files/styles/case_slider_image/public/user/21698/novaya_papka_600001_10.jpg?itok=MSObzj69
- https://radiomed.ru/sites/default/files/styles/case_slider_image/public/user/21698/novaya_papka_300001_7.jpg?itok=pou3fWvz
- https://radiomed.ru/sites/default/files/styles/case_slider_image/public/user/21698/novaya_papka_300002_7.jpg?itok=LEag1TNn
- https://radiomed.ru/sites/default/files/styles/case_slider_image/public/user/21698/novaya_papka_300003_5.jpg?itok=GrVkndtU
ID:66774
Цель публикации:
Верификация:
Положа руку на сердце, я бы тоже. Но при втором-то снимке есть и боковой! Посмотрите какой "тяжик" странный на обоих появился, а корень каков? Потом ведь клиника-то сразу - кровохарканье, возраст опять же! Амбулаторную карту/ историю болезни читаем! Ведь не зря же существует порядок обязательного дообследования при кровохарканье, смотря, конечно, чем оснащена больница: минимум-тмг ч/корни, максимум-КТ. Так что всё сделали правильно наши коллеги.
И да, мы-не фотографы, и ошибки все делают.
Как говорит Валентин Львович: "Стандарт надо соблюсти", тогда и пропуска бы в этой ветке не случилось. Коллеги Игоря так и сделали. Результат Вы видите, а мы репу чешем в который раз. Ась?
+1
И не только из пальца...
Частенько слышал с высокие лозунги, что врач-рентгенолог не должен быть фотографом..., частенько..., мне эта фраза всегда напоминала одно дефильное выражение, что мол де надо отделить мух от котлет...,
НАПОМИНАЮ, любящим Высокие Фразы, что "фотографирует" ЛАБОРАНТ, а не врач....
Случай действительно представлен как информация к размышлению, с его прошлым, настоящим и будущим. А пока архив КТ. ( диска нет ). Да, с таким напором Пентагон нам не страшен.
Позволю себе заметить уважаемый коллега, что интерепретация рентгенограммы (описание) - процесс ОБЪЕКТИВНОГО ОПИСАНИЯ скиалогической картины врачом-рентгенологом, а не сочинение на вольную тему..., а уж "выводки", так это дело десятое...
А Вы прокоментируйте данные КТ Игорь..., мы то периферийные лохи вообще не сильны в высоких технологиях, а уж по таким маленьким картинкам, так вааще...
Красивые функциональные обязанности (должностная инструкция) врача-рентгенолога, разработанные ТОГДА, КОГДА ВСЕ БЫЛО ОТНОСИТЕЛЬНО ПРАВИЛЬНО..., сейчас УВЫ, по крайней мере в наших "Палестинах" многое не так...
И, чтобы не усугублять..., ранее так министрами здравоохранения, да начальниками Департаментов были такие, как Петровский..., а не такие, как "Голикова", т.е. врачи по образованию, а не экономисты и не бухгалтера..., "чичас" многое по-другому...
А они есть, уважаемый Николай Арсеньевич, эти признаки действительно есть?
Можно обратить, а можно не обратить?
По поводу дистанционного обучения, по данному случаю...
Я просто уверен, что автору ветки известен и конечный результат данного случая, да и к случаю этому приложили руку, по всей видимости, самые "весомые доктора" той клиники где работает автор..., возможно и "кафедралы" поучаствовали, по всей видимости у участников (лечения и диагностического процесса) мнения были разные и диаметрально противоположные...
Но у них был пациент и история болезни, живой пациент, с которым можно было работать согласно упомянутой "должностной инструкции", а у нес этого нет, да и на заданные вопросы автор ветки ответ не всегда дает...
Миргалина, красавица Вы наша!
Вот именно, положа руку на сердце, объективно, Вас что нибудь по выставленным снимкам возбудило?
Именно без КТ, а только по рентгенограммам?
Протокол ФБС. Описание КТ #7
При всём уважении хотелось бы глянуть именно КТ, а не фото плёнок от КТ. Случай очень интересен в плане сравнения методик. Просто буквально на днях дали моей пациентке заключили об онкологии по КТ, диск не дали(застеснялись почему-то диск дать). По плёнкам-сами понимаете, разговор не тот. И что Вы думаете-исключили онкологию, переделав КТ в другом месте.
И, что же было дальше?
"Слушай всех, прислушивайся к немногим, решай сам".©
ВОТ, ВОТ, ВОТ1
Долго ждал такого коммента, должен быть АТЕЛЕКТАЗ, пусть и субсегментарный, который должен был отобразиться затемнением в пределах анатомических границ"
А его нет, нету-ти ателектазу..., йок тарды...
Отсутствие признаков центрального рака на обзорных РГ ОГК не иссключает наличие факта самого центрального рака.( обтурация менее 1\2 просвета бронха.
Прокоментировать не смогу,КТ не владею, есть заключение специалиста.Тоже губернский, до центра и высоких технологий далеко.
Диска нет,только пленка. Если только смогу решить вопрос.
Еще одна ФБС 10.06.16 ( в шапке )
Обтурацию субсегментарного Б7, предположу, что просто на рентгенограмме не видим( объяснить чем то другим не готов)
Мне кажется диагностика центрального рака легкого переходит из области классической рентгенологии, с 50 % запущенностью, к знанию клиники, КТ, бронхоскопии. Ждем продолжения.
Странно, почему все сомневаются что есть рак. Я просто образно написал, что не виден он тут рентгенологически!
По КТ явно что-то мерял специалист КТ парабронхиально, возможно рост его инфильтрирующий и подслизистый. Случай спящего? рака редко, но это же медицина. И случаи излечения напрочь отрицать не совсем правильно. А скорее всего взорвется он и сомнения тогда отпадут. Ну пока везёт человеку.
Игорь!
Это фрагмент лекции об онкологической настороженности?
Конечно, этого никто не оспаривает..., НО комменты даются не теоретически, исходя из того, что может быть, а на конкртное время "Х".
Положительная реакция Вассермана не всегда свидетельствует о "сифоне"...
1. Это Вам КАЖЕТСЯ с высоты клиники областного масштаба..., посмотрите глубже на периферию...
2. Мне не кажется, а я уверен, что "диагностика" центрального рака не базируется ни на каком лучевом исследовании, оно базируется на дынных гистологии.
3. КТ, как известно диагноз САМ не ставит, важен наездник, который управляет тем КТ, а как показала практика "наездники КТ" не всегда на уровне.
4. Раз Вы ждете продолжения, значит не все ещё выставлено в ветке, Вам охота "кейф" потянуть? Так не стоит тянуть, комментов и так достаточно...
Вы правы уважаемый коллега, именно рентгенологически.
И тут Вы правы уважаемый коллега, ибо, в любом организме имеется раковая клетка, И НЕ ОДНА...
Странно, я то предполагал дискуссию.. Все мои случаи ( кроме архива ) имеют дату поступления, дальнейший дифф. диагностический процесс, очень часто с верификацией. " Кейфовать" не хочется.
Будем посмотреть...
Verum plus uno esse non potest.
Повторюсь, я не спец по КТ, пусть меня поправят, но вот мои мысли...
Verum plus uno esse non potest.
Браво. Прекрасная логика. Наглядность убедительна. Но, цитирую В.Л.: "должен быть АТЕЛЕКТАЗ, пусть и субсегментарный", а его нет?
Это В.Л. подвел к тому, что эндоскопист перебдел с "закупоркой", т.к., повторюсь, ни гиповентиляции, ни ателектаза тут нет.
Verum plus uno esse non potest.
Наконец-то, поставили вместе два обзорных снимка в динамике (правда, не в том порядке, но не беда). К сожалению, сам не смог по тех.причинам. Внимательно посмотрите на корень правого легкого на сентябрьском снимке. По сравнению с майским, отрицательная динамика: расширение и потеря дифференцировки, преимущественно в области хвоста корня ("Признаками узла в корне легкого являются потеря структурности и увеличение интенсивности тени корня, расширение его границ кнаружи"). А так же усиление, сгущение легочного рисунка в медио-базальном отделе правого легкого (гиповентиляция). Можно не говорить об онкологии (хотя возраст пациента, кровохарканье должны настораживать), но и отмечать в заключении норму не совсем профессионально. А дальше, дообследовать; потому что мы врачи-рентгенологи, т.е. специалисты (два в одном!), а не просто, клиницисты.
Теперь про КТ. Оценивать, анализировать представленные , выборочные снимки-дупликаты КТ-исследования мало профессионально, только дескредитировать метод; необходим ДАЙКОМ-формат в полном объеме: КТ-натив+КТ-контраст, в легочном и медиастинальном окнах (режимах). Хотя можно и по этим снимкам отметить и выделенный узел (с отмеченными размерами), и участок гиповентиляции, который на нормальных КТ-граммах будет выглядеть как уплотнение по типу "матового стекла", и незначительное уменьшение объема нижней доли правого легкого. Но, без ДАЙКОМА, не совсем доказательно, это специфика МСКТ. Представленные КТ реконструкции в сагитальной проекции, не строго боковые, а с определенным углом; в строго боковой реконструкции были бы видны тела позвонков, а мы видим лишь фрагменты ребер. Рентген. снимки в косой проекции "вывели" бы бОльшие изменения в области хвоста корня правого легкого. И еще, про ателектаз: "Согласно классическим представлениям, нарушение вентиляции в паренхиме, дренируемой обтурированным опухолью бронхом, проходит 3 стадии - гиповентиляции, клапанной эмфиземы и ателектаза".
Анатолий Петрович
Уважаемая Наталья Ивановна!
Возник тут у меня почти "половой" вопрос...
А имеет ли право, эта "шелупонь" тихонечно сидящая в субсегментарном бронхе, носить высокий статус ЦЕНТРАЛЬНОГО РАКА?
Все правильно, я и ранее писал, что все в высшей степени правильно Уважаемый Коллега!
НО..., первого и третьего, при всем уважении ТАК ЕГО ни первого, ни второго НЕТ..., нет ни узлового образования в корне лёгкого, нет и нарушения бронхиальной проходимости, ни в виде ателектаза, ни в виде гиповентиляции...
Остается третье - синдром нарушения просвета бронха (учитывая написанное Вами - "Рентгенологический диагноз ц. рака легкого основывается на обнаружении сочетания трех рентгенологических синдромов")...
Конечно, об этом синдроме можно было бы говорить в том случае (раз уж рентгенологически, а не КаТалогически), если бы была произведена хотя бы "линеечка", на которой тойный бы синдром нашел своё отображение, но "линеечки" не было..., а следовательно, ни один из указанных Вами рентгенологических синдромов центрального рака, в представленном случае не имел место быть..., и это объективно, именно по представленному случаю и представленным рентгенограммам и ЭТО ЕСТЬ ФАКТ..., а следовательно, в данном конкретном случае, по представленным рентгенограммам (с учетом выставленного центрального рака) имела место быть ГИПЕРДИАГНОСТИКА...
Главные бронхи (первого порядка) в свою очередь делятся на долевые (второго порядка), а они в свою очередь — на сегментарные (третьего порядка), которые делятся далее и образуют бронхиальное дерево легких.
1. Бронхи второго порядка. Каждый главный бронх делится на долевые бронхи: правый — на три (верхний, средний и нижний), левый — на два (верхний и нижний).
2. Бронхи третьего порядка. Долевые бронхи делятся на сегментарные бронхи (10-11 — в правом, 9-10 — в левом).
3. Бронхи четвертого, пятого и т. д. порядка. Это бронхи среднего калибра (2-5 мм). Бронхи восьмого порядка — дольковые, их диаметр 1 мм.
4. Каждый дольковый бронх распадается на 12-18 конечных
(терминальных) бронхиол, диаметром 0,3-0.5 мм.http://studopedia.su/5_700_bronhialnoe-derevo.html
Так что получается - центральный не кактит, коль поражён субсегментарный бронх
"Слушай всех, прислушивайся к немногим, решай сам".©
Конечно, Вы правы Уважаемый Коллега!
Именно при сочетании, и именно ВСЕХ ТРЁХ...
По поводу первого и третьего рентгенологических синдромов (которых нет) я уже высказался выше...
Просто считаю своим долгом "обласкать" второй - синдром нарушения просвета бронхов...
1. Хочу отметить, что о синдроме нарушения просвета бронха мы чаще говорим косвенно (именно рентгенологически), если "морфология" нарушения просвета бронха не нашла своего отображения на линейной томографии, именно косвенно, по косвенным симптомам и даже с учетом старейшего - симтома Гольцкнехта-Якобсона (довольно "древний" симптом) и пр. и пр...
2. И даже, если синдром нарушения просвета бронха будет рентгенологически доказан, то сие не говорит стопудово, именно о раке..., много всякого "геморроя" может иметь место быть в просветах бронхов...
3. Кажись и энтот синдром в данном конкретном случае ОТСУТСТВУЕТ...
Вы правы Уважаемая Наталья Ивановна!
И не пристало всякой "пецалке", находящейся в субсегментарном бронхе величать себя "ЦЕНТРАЛЬНОЙ...
"Цитата сообщения пользователя Игорь Ким:
Информацию предоставляю по мере поступления, жду новую.
Биопсийный материал. 14.06. цитология - ... значительное колиичество нейтрофиилов, альвеолярных макрофагов, клетки плоского эпителия с дисплазией 3 ст, местами малигнизация.
Малигнизация - это цитологических термин?
Я, чегой то думал, правда мы на наших перифериях "тумки", что есть соответствующий термин - анаплазия..."
Надо думать, что биопсийным материал, безусловно, взят был из патологического образования. Если возвести в определенную степен "дисплазию 3 ст", то вероятнее всего это доброкачественное образование по типу аденомы бронха, или чего то "рядом лежащего",
или как?
Примерно сложилась такая позиция у онколога:
Tl — опухоль до 3 см в наибольшем измерении, окружённая лёгочной тканью или висцеральной плеврой без прорастания проксимальнее долевого бронха при бронхоскопии (главный бронх не поражён). N2 — имеется поражение лимфатических узлов средостения на стороне поражения или бифуркационных лимфатических узлов. Мх — недостаточно данных для определения отдалённых метастазов. Gx — степень дифференцировки клеток не может быть оценена (цитология - ... значительное колиичество нейтрофиилов, альвеолярных макрофагов, клетки плоского эпителия с дисплазией 3 ст, местами малигнизация.)
Вы о чём уважаемый коллега?
Интересный случай.
Хочешь сделать что-то нормально - сделай это сам!
Прогресс, наука, медицина... прогресс во всем и даже в наших знаниях...
"Центральный рак легкого поражает бронхи 1–4‑го порядка, т. е. главные, долевые, сегментарные и субсегментарные, доступные в большинстве наблюдений визуальному осмотру через бронхофиброскоп. Периферический рак легкого развивается из более мелких бронхиальных ветвей (5, 6‑го порядка и более мелких)". Классификация рака легкого по системе TNM - Русский врач www.rusvrach.ru/articles/vrach/2011/12/Vrach_2011_12_Akopov.pdf
"Центральным раком в настоящее время мы называем опухоль, поражающую проксимальные, т.е. центральные отделы бронхиального дерева, включая субсегментарные ветви. В связи с развитием бронхоскопической техники в последние десятилетия стали доступны осмотру не только сегментарные бронхи, но и их субсегментарные ветви, т.е. бронхи 4-го порядка. Соответственно и дистальная граница центрального рака сместилась: это опухоль, поражающая главные, промежуточный, долевые, сегментарные и субсегментарные бронхи. Опухоль, источником которой является еще более мелкий бронх, при наличии выраженного перибронхиального узла, рассматривается как периферический рак".
Основы. ОГК. Рак лёгкого. Лучевая диагностика периферического ...
https://radiomed.ru/.../osnovy-ogk-rak-legkogo-luchevaya-diagnostika-periferichesko...
Анатолий Петрович
В данном, конкретном случае синдром гиповентиляции присутствует. ОДНАКО. "Однако иногда даже крупная центральная опухоль не обтурирует просвет бронха, а растет в основном вокруг бронхиальной стенки, в результате чего синдром гиповентиляции или ателектаза отсутствует (перибронхиальная форма рака легкого) ".
Классификация рака легкого по системе TNM - Русский врач
www.rusvrach.ru/articles/vrach/2011/12/Vrach_2011_12_Akopov.pdf
Анатолий Петрович
Раз не можете технически на картинках, так словами обрисуйте признаки нарушения вентиляции. это что - сгущение рисунка? - вааще не симптом. Повторюсь - у каждого третьего. И без всяких раков. А то, что на КТ видно - это уже КТ, а не обзорка. Симптом «матового стекла» — неспецифический радиологический симптом, отражающий различные патологические изменения в лёгочной ткани на уровне альвеол. Визуализируется прикомпьютерной томографии как туманное, матовое снижение прозрачности лёгочной ткани с дифференцируемым рисунком сосудов и бронхов на этом фоне. Данный симптом может быть обусловлен частичным снижением воздушности лёгочных альвеол (транссудативной, экссудативной или иной природы), их частичным спадением (гиповентиляцией) или утолщением их стенок. Так как данный симптом неспецифичен, необходимо иметь в виду анамнестические данные, клиническую картину и сопутствующую патологию. Мы говорим и спорим про первый этап диагностики, а не про КТ-ground glass
А в принципе, здесь вопрос вот какой: есть ли на этих РГ ОГК достоверные скиалогические стигматы, заставляющие поднимать архив?, заподозрить рак?
Хоть опросник включай...
Verum plus uno esse non potest.
Предварительно, вопрос Вам: "Есть ли разница, динамика при сравнении обзорного майского и сентябрьского снимков? Не прикрываясь техническими моментами". Если нет, то можете не отвечать.
Анатолий Петрович
В том то и дело, что есть (незначительная). Но что это отрицательная динамика - достоверности нет.
Verum plus uno esse non potest.
Просьба к модераторам: если есть техническая возможность сделать в голове ветки кнопки "Первое непрочитанное сообщение" и "Последнее сообщение" - вставьте, пожалуйста. Я скоро экран на телефоне протру, листая.
Verum plus uno esse non potest.
Вопрос следующий: "А расшифровать, описать рентгенологически эту (незначительную) для Вас динамику, Вы можете?".
Анатолий Петрович
Уважаемый, коллега! Вы не ТЕЛЕФОНЕ делаете в приложениях "художественные зарисовки?".
Анатолий Петрович
Мне каждому пациенту со сгущением рисунка обрисовывать его генез? Вы о чем? Я к РГ ОГК отношусь, как к системе BIRADS в маммографии - зло/не зло, и по степеням вероятности рака.
Verum plus uno esse non potest.