- https://radiomed.ru/sites/default/files/styles/case_slider_image/public/user/939/747762_0-1657-8.jpg?itok=_Bb2lA2W
- https://radiomed.ru/sites/default/files/styles/case_slider_image/public/user/939/563344_63-320-8.jpg?itok=fV5fIMAo
- https://radiomed.ru/sites/default/files/styles/case_slider_image/public/user/939/564496_70-298u-8.jpg?itok=b1olI1Q_
ID:49364
Где же профилактическая маммограмма?
Имплант
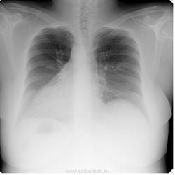
Контурное обызвествление протеза правой мол. железы.
Зачёт обоим. И спецобработка изображений не потребовалась).
Неоднозначно всё
Упругость прошла, твёрдость осталась.
Ждём новых инсталляций, уважаемый Петрович.
Я не думаю, что это обызвествление - просто такая плотность протеза. Недавно наблюдал у "ну очень молодой" особы пару таких. Не думаю, что они уже успели обызвествиться.
Неоднозначно всё
Вынужден не согласиться. Во-первых, контур этот справа практически пунктирный, что нехарактерно для рукотворных изделий. Во-вторых, протез есть и слева и он без такого контура, другая модель?
Неоднозначно всё
Да и слева то же самое
только не протеза, а фиброзной (рубцовой) капсулы вокруг него.
Не ограничивайте свою мысль
Живешь пока учишься
Ecrasez l’infame
То, да не совсем.
Игорь Иванович, я утверждаю: 1. Видимое изображение протеза правой мол. железы отличается от такового левой и видно это невооруженным глазом. 2. Отличие проявляется в высокой плотности видимого контура протеза справа, при этом плотность и видимая ширина полоски контура по периметру протеза непостоянна, потому я и назвал "контур практически пунктирным" 3. Мне не известны процессы в нормальном организме, дающие такую картину, кроме обызвествления на границе с чужеродной тканью. 4. Крайне маловероятно, чтобы из двух парных изделий рук человеческих, применённых в одном организме одно имело структуру (конструкцию) значительно отличающуюся от другого и притом столь удачно имитирующую обызвествление. Что Вы оспариваете?
Для большей убедительности добавил снимки, сделанные на 1,5 года раньше. Там "пунктирность" заметнее.
Неоднозначно всё
Готов согласиться с Вами, коллега, если представите ссылки на убедительные материалы по теме гистологической структуры обызвествлений в молочных железах или собственные изыскания по этой теме.
Не ограничивайте свою мысль, но конкретизируйте её.
Неоднозначно всё
А я и не ограничиваю. Это факт усвоенный мной на курсах ПК по лучевой диагностике заболеваний молочных желез. Рыскать по просторам инета не хочется). Логично, что кальцинируется именно фиброзная капсула вокруг импланта, отграничивая его от организма.
Сам имплант обызвествляться не может.
P.S. кроме того это следует из определения: Кальциноз (calcinosis; кальций +-оз; син.: кальцификация, обызвествление) — отложение солей кальция в тканях организма.
Не ограничивайте свою мысль
Живешь пока учишься
Ecrasez l’infame
НЕ очевидно, а доказывать НЕКОМУ – ОТБРАСЫВАЕМ. Определение не кажется исчерпывающим (не допускающим НИКАКИХ исключений и вариантов). Просто мнение).
Неоднозначно всё
Спасибо за науку, первый раз вижу.
Определение предельно исчерпывающее. Просто мнение).
Формирование гематомы в послеоперационном периоде. Недостаточно полный гемостаз во время операции (не остановлено кровотечение), раннее начало физической активности может привести к появлению гематомы вокруг импланта. После рассасывания гематомы может остаться рубцовая ткань, в которой откладывается кальций, что делает ее очень плотной.
Не ограничивайте свою мысль
Живешь пока учишься
Ecrasez l’infame
Стало быть, считаете: слева капсулы нет?
Неоднозначно всё
К моему невежеству и стыду, я не знаком с фундаментальными исследовательскими трудами в этой области (интересно, а этот кальций не громко хрустит во время сексуальных утех? И не нарастает ли этот хруст из года в год?) Но, думаю, не лишне вспомнить скиалогию. То бишь, как ведет себя изображение, когда луч проходит через не совсем прозрачную для него среду: в центре - снижение прозрачности, а с периферии - более подчеркнутый, "касательный" край. И, т.к. у импланта нет четкого края (не хватало там к извести еще и граней), "краеобразование" может меняться в зависимости от физико-технических условий съемки, мелких отклонений в проекциях, этим можно объяснить эти "пунктиры". А, собственно говоря, это же даже не медицина, а косметология.
Вот с этим можно согласиться. Про скиалогию. Обызвествление происходит при осложнениях инфекция или гематома.
Не ограничивайте свою мысль
Живешь пока учишься
Ecrasez l’infame
Коллеги...все сие известно и встречается.
Диагностика и лечение осложнений аугментационной (увеличивающей) маммопластики является актуальной проблемой современной медицины. В странах Европы зарегистрировано около 2 млн. женщин, которым выполнено эндопротезирование молочных желез и количество их неуклонно растет. С увеличением количества пластических операций возрастает риск развития осложнений, которые отличаются большим разнообразием.
Общехирургические осложнения в раннем послеоперационном периоде встречаются в 0,25-1% случаев (гематомы, серомы и нагноение.
Специфические осложнения: констриктивный фиброз и капсулярная контрактура , разрыв имплантата с образованием силикогранулемы , грыжи протеза, пролежень и дефляция протеза встречаются достаточно часто.
Наиболее часто встречающимся осложнением при эндопротезировании молочных желез является фиброзная капсулярная контрактура (ФКК). Частота ее развития по данным различных авторов составляет от 25% до 100%. На втором месте по частоте осложнений после ФКК находятся разрывы имплантата с нарушением целостности его оболочки, перипротезной фиброзной капсулы (ПФК) и выходом силиконового геля в окружающие ткани, которые наблюдаются в 5,33%-32% случаев.
1.Как только под кожу устанавливается имплантат, вокруг него формируется фиброзная ткань в виде капсулы. Ее формирование является частью нормального процесса заживления раны, которое обычно происходит в течение первых нескольких месяцев после операции. В 15% случаев эта капсула может быть болезненной и плотной, деформируя молочную железу . В случае применения лучевой терапии риск формирования рубцовой капсулы возрастает на 40 – 50 %. Для профилактики образован такой рубцовой ткани рекомендуется массаж и физические упражнения.
2.Еще одним из фактов, которые очень важно принять во внимание пациенткам, выбирающим грудные имплантаты – это то, что этот вид реконструкции молочной железы затрудняет в дальнейшем диагностику опухолей. Этому может способствовать тот факт, что фиброзная (рубцовая) капсула, которая образуется вокруг имплантата, может со временем пропитаться солями кальция (так называемая кальцификация).
3.Многие специалисты считают, однако, что, действительно, при использовании маммографии у женщин c имплантатами молочной железы, кальцификация может возникнуть в фиброзной капсуле, окружающей протез, но при этом она не ставит под угрозу маммографическое исследование. Как правило, обызвествления не являются характерной чертой кальцификации, которая ассоциируется с озлокачествлениями, хотя иногда одно можно принять за другое. В литературе не опубликовано сообщений, которые подтвердили бы документально пропущенные или запоздалые диагнозы в связи с наличием кальцифицированной капсулы.
Болезни ног: виды, симптомы, причины, профилактика и лечение
Віктор Григорович, і звідки ти таке знаешь? Треба вже починати пиво пити.
Та вся біда в тому, що не не вживаю)))) і пива також)))
А звідки знаю...так цікаво стало, що за "бяка" там сидить)))
Болезни ног: виды, симптомы, причины, профилактика и лечение
Виктор Григорьевич. Дважды отрицание (минус) - это дает плюс. Хоть если и не вживаешь, то хочешь на подкорке! (шЮтка).
Ось що цицьки звапнені з хлопцями роблять!
Звапнені – это какие? Гугл-переводчик не знает, а мне любопытно.
Неоднозначно всё
Обызвествлённые.
Неправильный какой то Гугл)))
Болезни ног: виды, симптомы, причины, профилактика и лечение
Обызвествлённые => Звапнілі => Обызвествленные
Неоднозначно всё
Звапнені = звапнілі, используются оба прилагательных, причем чаще - первое.
Болезни ног: виды, симптомы, причины, профилактика и лечение