ФЛГ. Жалоб нет, профосмотр. Динамики с 2010 нет.

Пациент 1949 г.р.  Наблюдение без верификации, боковых снимков нет. За 2010, 2011 по ФЛГ в заключениях норма. 


dicom цифровых ФЛГ 2010-2011-2012 тут: http://files.mail.ru/SURMYH  11,6 МВ весом

обработка, 2012г:

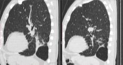
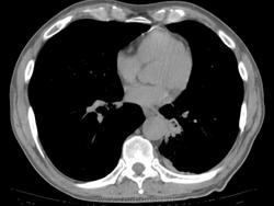
КТ:

       

   

 

       

  • https://radiomed.ru/sites/default/files/styles/case_slider_image/public/user/2841/img-0002-00001_3.jpg?itok=YL0rqqc7
  • https://radiomed.ru/sites/default/files/styles/case_slider_image/public/user/2841/img-0003-00001_3.jpg?itok=V5Nidqyz
  • https://radiomed.ru/sites/default/files/styles/case_slider_image/public/user/2841/img-0004-00001_4.jpg?itok=CH9EGrKK
  • https://radiomed.ru/sites/default/files/styles/case_slider_image/public/user/2841/snimokmi01.jpg?itok=KdKEWQGS
  • https://radiomed.ru/sites/default/files/styles/case_slider_image/public/user/2841/snimokmi02.jpg?itok=OIblyBU2
  • https://radiomed.ru/sites/default/files/styles/case_slider_image/public/user/2841/snimokmi03.jpg?itok=pfeOzGZF
  • https://radiomed.ru/sites/default/files/styles/case_slider_image/public/user/2841/snimokmi04.jpg?itok=-TjowH9P
  • https://radiomed.ru/sites/default/files/styles/case_slider_image/public/user/2841/snimokmi05.jpg?itok=8P5NK9lk
  • https://radiomed.ru/sites/default/files/styles/case_slider_image/public/user/2841/snimokmi06.jpg?itok=03hxsO_L
  • https://radiomed.ru/sites/default/files/styles/case_slider_image/public/user/2841/snimokmi07.jpg?itok=JCDufgg1
  • https://radiomed.ru/sites/default/files/styles/case_slider_image/public/user/2841/snimokmi08.jpg?itok=LQEqRukN
  • https://radiomed.ru/sites/default/files/styles/case_slider_image/public/user/2841/snimokmi09.jpg?itok=FRV3he4z
  • https://radiomed.ru/sites/default/files/styles/case_slider_image/public/user/2841/snimokmi10.jpg?itok=GTErw1eM
  • https://radiomed.ru/sites/default/files/styles/case_slider_image/public/user/2841/snimokmi11.jpg?itok=WBaXcoc-
  • https://radiomed.ru/sites/default/files/styles/case_slider_image/public/user/2841/snimokmi12.jpg?itok=PTqtgJFs
  • https://radiomed.ru/sites/default/files/styles/case_slider_image/public/user/2841/mi01.jpg?itok=xtGkugD_
  • https://radiomed.ru/sites/default/files/styles/case_slider_image/public/user/2841/mi02.jpg?itok=5xFBeyBh
  • https://radiomed.ru/sites/default/files/styles/case_slider_image/public/user/2841/mi03.jpg?itok=iaQJ16Un
  • https://radiomed.ru/sites/default/files/styles/case_slider_image/public/user/2841/mi04.jpg?itok=AGB_Irxl
  • https://radiomed.ru/sites/default/files/styles/case_slider_image/public/user/2841/mi05.jpg?itok=7OVAPj0P
ID:49539
Сан Саныч1 аватар
Не на сайте
Был на сайте: 11 месяцев 2 недели назад
Зарегистрирован: 07.06.2010 - 21:17
Публикации: 2114

А что здесь верифицировать? Пневмосклероз?

Хочешь сделать что-то нормально - сделай это сам!

Наталия Васильевна аватар
Не на сайте
Был на сайте: 5 лет 9 месяцев назад
Зарегистрирован: 25.09.2011 - 09:02
Публикации: 754

Вы о тени возле левого корня? Сплетение сосудов, может мальформация.

И.Бондаренко аватар
Не на сайте
Был на сайте: 14 часов 50 минут назад
Зарегистрирован: 13.09.2011 - 22:55
Публикации: 9206

Уж больно чудаковатые "усы" от данной тени отходят. Томографию не проводите?

ЛГ аватар
Не на сайте
Был на сайте: 8 лет 10 месяцев назад
Зарегистрирован: 06.01.2010 - 12:31
Публикации: 3523

Уже провели). Завтра выставлю. Дайком с цифровыми снимками можно посмотреть в любом просмотрщике для dicom-файлов. Самый простой тут: http://www.radiantviewer.com/  скачать бесплатно для Windows

Андрей Юрьевич аватар
Не на сайте
Был на сайте: 1 неделя 1 день назад
Зарегистрирован: 16.11.2008 - 22:16
Публикации: 18098

Пока не выставили КТ, мой вариант - врожденные кисты нижней доли левого легкого.

Андрей Юрьевич

Бородулин М.А. аватар
Не на сайте
Был на сайте: 9 месяцев 2 недели назад
Зарегистрирован: 17.02.2011 - 01:10
Публикации: 1409

Андрей Юрьевич wrote:

Пока не выставили КТ, мой вариант - врожденные кисты нижней доли левого легкого.

+1 кистозная гипоплазия

maker4ik аватар
Не на сайте
Был на сайте: 8 лет 7 месяцев назад
Зарегистрирован: 19.10.2011 - 17:49
Публикации: 2682

Пневмосклероз, возможно, буллезная эмфизема.

НБ аватар
Не на сайте
Был на сайте: 11 лет 5 месяцев назад
Зарегистрирован: 07.11.2012 - 19:55
Публикации: 84

Нет ничего, кроме пневмосклероза и эмфиземы, но средостение смещено влево почему-то.

Н.Б.

ЛГ аватар
Не на сайте
Был на сайте: 8 лет 10 месяцев назад
Зарегистрирован: 06.01.2010 - 12:31
Публикации: 3523

Добавила КТ в начале случая. Контрастирования не было, не будет. Дайком тут: http://files.mail.ru/0KS7TD   22,3 МБ объём

Случай показался интересным, мысль есть, хоть и доказать не могу.

Катенёв Валентин Львович аватар
Не на сайте
Был на сайте: 7 лет 3 недели назад
Зарегистрирован: 22.03.2008 - 22:15
Публикации: 54876

По всей видимости аномалия развития, связанная с нижней долей слева по типу гипоплазии-недоразвития.

Сейчас и на рентгенограмме левый корень выглядит ущербно недоразвитым в области тела и хвоста, да и обнажение части грудного отдела позвоночника справа моежт быть объяснимо.

ЛГ аватар
Не на сайте
Был на сайте: 8 лет 10 месяцев назад
Зарегистрирован: 06.01.2010 - 12:31
Публикации: 3523

Выставила интралобарную секвестрацию. Пациент консультирован в областном центре, дополнительных методов обследований там не выполнялось, посмотрели дайком нативной КТ ОГК и согласились.

Катенёв Валентин Львович аватар
Не на сайте
Был на сайте: 7 лет 3 недели назад
Зарегистрирован: 22.03.2008 - 22:15
Публикации: 54876

ЛГ wrote:

Выставила интралобарную секвестрацию. 

Что сподвигло Вас, уважаемая Людмила Григорьевна, в сторону такого диагноза?

В отечественных, доступных источниках эта аномалия развития, именно интерлобарная секвестрация, увы изложена и представлена весьма куцо, если есть ссылочки поделитесь, буду весьма признателен.

Да, у "буржуев" встречал, но усомнился, думал - трудности перевода, и как то прошел мимо...

ЛГ аватар
Не на сайте
Был на сайте: 8 лет 10 месяцев назад
Зарегистрирован: 06.01.2010 - 12:31
Публикации: 3523

Всё думаю, интра- или экстралобарная). Наверное, экстра, т.к. есть вроде бы своя плевра. http://pulma.ru/poroki_razvitija/Sekvestracija_legkogo.html

При просмотре ФЛГ видела кисты/буллы и ненормальный левый корень. Полосу за тенью сердца приняла за шварту. Взяла на КТ, чтоб разобраться, связан ли куцый корень и кисты. Секвестрация оказалась сюрпризом. Решила, что всё-таки аномалия со своей плеврой. Насколько смогла разобраться на нативном исследовании, все бронхи на месте, а дополнительное образование с кистами и каким-то зачатком бронхиальной системы - ниже S6 и медиальнее S10. С темой секвестрации знакома по детским случаям коллег.

Для доказательства надо бы контрастировать, найти артерию, питающую секвестр от аорты и дренирующую вену. Но по административным причинам контрастирование не проводилось. Со слов пациента, хроническими пневмониями не страдает.

Англоязычные ссылки:

http://translate.google.ru/translate?hl=ru&langpair=en%7Cru&u=http://emedicine.medscape.com/article/412554-overview&ei=rQ7LUMKjNoyN4gTUm4GIAw

http://translate.google.ru/translate?hl=ru&langpair=en%7Cru&u=http://www.learningradiology.com/archives05/COW%2520173-Sequestration/sequestrationcorrect.htm&ei=rQ7LUMKjNoyN4gTUm4GIAw

http://translate.google.ru/translate?hl=ru&langpair=en%7Cru&u=http://radiopaedia.org/articles/pulmonary-sequestration&ei=rQ7LUMKjNoyN4gTUm4GIAw

http://translate.google.ru/translate?hl=ru&langpair=en%7Cru&u=http://www.hkresp.com/index.php/administrator/124-others/387-2007-what-is-pulmonary-sequestration&ei=rQ7LUMKjNoyN4gTUm4GIAw

http://translate.googleusercontent.com/translate_c?depth=1&ei=rQ7LUMKjNoyN4gTUm4GIAw&hl=ru&langpair=en%7Cru&rurl=translate.google.ru&twu=1&u=http://radiographics.rsna.org/content/24/1/e17/F46.expansion&usg=ALkJrhhfTsndCEC1OapXdkISzUj34IxwBw

Катенёв Валентин Львович аватар
Не на сайте
Был на сайте: 7 лет 3 недели назад
Зарегистрирован: 22.03.2008 - 22:15
Публикации: 54876

Спасибо Людмила Григорьевна!

Запамятовал про эту статью, на сайте она есть в виде ссылки.

http://translate.googleusercontent.com/translate_c?depth=2&ei=rQ7LUMKjNoyN4gTUm4GIAw&hl=ru&langpair=en%7Cru&rurl=translate.google.com&u=http://radiographics.rsna.org/content/24/1/e17.full&usg=ALkJrhgtL9JG-W14504-3uIsz590NXMSMA

 

Бородулин М.А. аватар
Не на сайте
Был на сайте: 9 месяцев 2 недели назад
Зарегистрирован: 17.02.2011 - 01:10
Публикации: 1409

Людмила Григорьевна  контраста явно не хватает. Не нашел убедительно питающий сосуд (((. Но тем не менее  наблюдение классное.

Спасибо.

ЛГ аватар
Не на сайте
Был на сайте: 8 лет 10 месяцев назад
Зарегистрирован: 06.01.2010 - 12:31
Публикации: 3523

С контрастом хорошо. Без контраста плохо. Худого не заподозрилось, а из академического интереса контрастировать того, кто с этим прожил всю жизнь (и еще многие ему лета)... практически дохлый номер. Нюансы некоторые имеются просто)).

Бородулин М.А. аватар
Не на сайте
Был на сайте: 9 месяцев 2 недели назад
Зарегистрирован: 17.02.2011 - 01:10
Публикации: 1409

ЛГ wrote:

 а из академического интереса контрастировать того, кто с этим прожил всю жизнь

 

yes smiley 

ЛГ аватар
Не на сайте
Был на сайте: 8 лет 10 месяцев назад
Зарегистрирован: 06.01.2010 - 12:31
Публикации: 3523

Ага). Но любопытно ...эх!) остается чувство острого неудовлетворения.

Андрей Юрьевич аватар
Не на сайте
Был на сайте: 1 неделя 1 день назад
Зарегистрирован: 16.11.2008 - 22:16
Публикации: 18098

Уважаемые коллеги, внимательно ознакомился со ссылками. Вот что понял (возможно, понял неправильно): секвестрация - скорее плотность, чем полость, в данном случае - скоре полости, чем плотности. И второе: бывают ли секвестрации множественными? В данном случае,  патологические плотности в разных отделах левого легкого.

Приложения: 
12_snimokmi05.jpg12_snimokmi07.jpg

Андрей Юрьевич

Бородулин М.А. аватар
Не на сайте
Был на сайте: 9 месяцев 2 недели назад
Зарегистрирован: 17.02.2011 - 01:10
Публикации: 1409

Андрей Юрьевич. Поэтому и вывод контраста не хватает.   Возможно сочетанная патология.

Бородулин М.А. аватар
Не на сайте
Был на сайте: 9 месяцев 2 недели назад
Зарегистрирован: 17.02.2011 - 01:10
Публикации: 1409

.

Приложения: 
ppp.jpg
ЛГ аватар
Не на сайте
Был на сайте: 8 лет 10 месяцев назад
Зарегистрирован: 06.01.2010 - 12:31
Публикации: 3523

Андрей Юрьевич wrote:

Уважаемые коллеги, внимательно ознакомился со ссылками. Вот что понял (возможно, понял неправильно): секвестрация - скорее плотность, чем полость, в данном случае - скоре полости, чем плотности. И второе: бывают ли секвестрации множественными? В данном случае,  патологические плотности в разных отделах левого легкого.

Секвестрация - мини-лёгкое в лёгком, с кистами, участками консолидации и в различной степени пневматизированное образование.

Второе - кишка.

Приложения: 
snimok90.jpgsnimok91.jpg
Андрей Юрьевич аватар
Не на сайте
Был на сайте: 1 неделя 1 день назад
Зарегистрирован: 16.11.2008 - 22:16
Публикации: 18098

По-поводу немножественности стало понятнее. Тем не менее, процитирую коммент на другой ветке

ЛГ wrote:
...хочется dicom КТ-исследования...

Андрей Юрьевич

Бородулин М.А. аватар
Не на сайте
Был на сайте: 9 месяцев 2 недели назад
Зарегистрирован: 17.02.2011 - 01:10
Публикации: 1409

#9

Андрей Юрьевич аватар
Не на сайте
Был на сайте: 1 неделя 1 день назад
Зарегистрирован: 16.11.2008 - 22:16
Публикации: 18098

Бородулин М.А. wrote:

#9


Пасиб :)

Андрей Юрьевич

Андрей Юрьевич аватар
Не на сайте
Был на сайте: 1 неделя 1 день назад
Зарегистрирован: 16.11.2008 - 22:16
Публикации: 18098

Андрей Юрьевич wrote:
Бородулин М.А. wrote:
#9
Пасиб :)

Посмотрел. Версия интересная, но недоказанная.Впрочем, автор сама написала

ЛГ wrote:

... остается чувство острого неудовлетворения.


 

Андрей Юрьевич