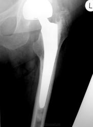
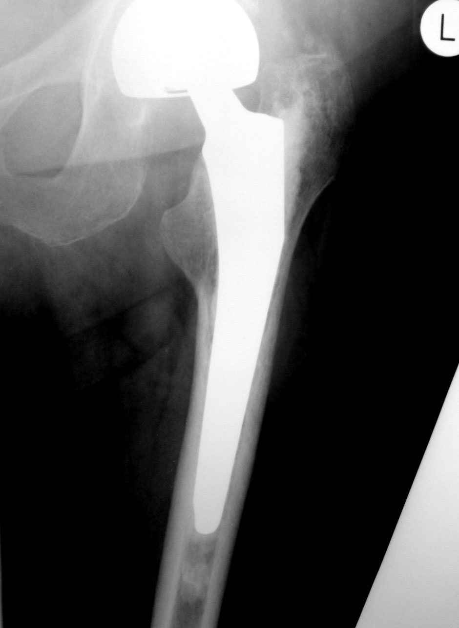
Как оценят коллеги состояние этого сустава?

Как оценят коллеги состояние этого сустава? Возраст 77 лет, пол женский. Операция 8 мес назад.

  • https://radiomed.ru/sites/default/files/styles/case_slider_image/public/user/939/dsc04270uu-8.jpg?itok=TqStjmPN
  • https://radiomed.ru/sites/default/files/styles/case_slider_image/public/user/939/dsc04271u-8.jpg?itok=Mpv0R1DV
  • https://radiomed.ru/sites/default/files/styles/case_slider_image/public/user/939/dsc04270u-8.jpg?itok=vTsu5lG3
ID:50736
ЛГ аватар
Не на сайте
Был на сайте: 8 лет 11 месяцев назад
Зарегистрирован: 06.01.2010 - 12:31
Публикации: 3523

Угол наклона чаши вертлужной впадины стремится к нулю... Расстояние от края чаши до костной основы впадины должна быть меньше 2 мм, но контур кости ровный и четкий.

Отведение вообще возможно? Протез головки бедра расположен эксцентрично, но рановато для износа полиэтилена, наверное. Нужен послеоперационный снимок для оценки динамики.

Ножка протеза беспокойства не вызывает.

Дмитрий86 аватар
Не на сайте
Был на сайте: 1 год 1 неделя назад
Зарегистрирован: 17.01.2012 - 08:49
Публикации: 285

вполне возможно что больной сам ногу отвел, а вообще травматологи помоему сами лучше оценивают

Qwer380 аватар
Не на сайте
Был на сайте: 10 лет 2 месяцев назад
Зарегистрирован: 25.01.2012 - 07:58
Публикации: 7

Нужны снимки сразу после операции, если похожи, то операция выполнена не верно.

Белоусов Борис Юрьевич аватар
Не на сайте
Был на сайте: 13 лет 9 месяцев назад
Зарегистрирован: 20.03.2009 - 02:46
Публикации: 161

ЛГ wrote:

Угол наклона чаши вертлужной впадины стремится к нулю...

это биполярный эндопротез, наклон вертлужного компонента не должен учитываться http://www.travmpunkt.ru/tazobedrenniy-sustav/endoprotezirovanie-bipolyarnim-endoprotezom-pri-perelome-sheyki-bedra.html

По положению компонентов претензий нет. Смущает приведение в т/б суставе, но скорее всего лаборант ногу не отвел, а вообще приводяще-сгибательная контрактура у пожилых пациентов обычное дело.

Андрей Юрьевич аватар
Не на сайте
Был на сайте: 2 недели 3 дня назад
Зарегистрирован: 16.11.2008 - 22:16
Публикации: 18098

Коллега Белоусов, а как правильно снимать пациентов после эндопротезирования: как есть? или с отведением и внутренней ротацией конечности?

Андрей Юрьевич

Белоусов Борис Юрьевич аватар
Не на сайте
Был на сайте: 13 лет 9 месяцев назад
Зарегистрирован: 20.03.2009 - 02:46
Публикации: 161

при эндопротезированном т/б суставе сохраняются общепринятые правила укладки.

Петрович аватар
Не на сайте
Был на сайте: 7 лет 3 месяцев назад
Зарегистрирован: 22.03.2009 - 01:13
Публикации: 3908

Спасибо всем за участие, а Борису Юрьевичу за высококвалифицированную консультацию. Я такой эндопротез раньше не видел. А предыдущие рентгенограммы пациентки недоступны.

Неоднозначно всё

Dr.Drug аватар
Не на сайте
Был на сайте: 7 лет 10 месяцев назад
Зарегистрирован: 01.11.2008 - 20:21
Публикации: 464

Белоусов: ...скорее всего лаборант ногу не отвел...

Андрей Юрьевич: ...а как правильно ...?

Белоусов: ...общепринятые правила укладки...

Я не понял, господин Белоусов, Ваш лаборант всегда отводит ногу? Зачем?

Далее:

Белоусов:  ...наклон вертлужного компонента не должен учитываться...

В приведенной Вами ссылке этого не сказано. Мне очень кажется, что наклон любого протеза должен учитываться, и в данном случае он значительно уменьшен.

Учитывая вышеизложенное, не мог ли бы высококвалифицированный доктор Белоусов поделиться теми ссылками, где подтверждаются Его утверждения?

И если можно, покажите стрелочками признаки "биполярности" этого протеза. Лично мне, видимо в силу некомпетенции, он представляется самым обычным протезом))). Спасибо.

С уважением, А.В.Коробейников

Белоусов Борис Юрьевич аватар
Не на сайте
Был на сайте: 13 лет 9 месяцев назад
Зарегистрирован: 20.03.2009 - 02:46
Публикации: 161

Для ознакомления с правилами рентгенографии тазобедренных суставов, рекомендую купить  атлас рентгенологических укладок В.М. Соколова.

В приведенной мною ссылке описывается устройство эндопротеза, который фактически является модификацией однополюсного. Для слабых зрением цитата: "Эта операция так же не затрагивает вертлужную впадину тазобедренного сустава"

С целью подтверждения моих слов, советую Вам ознакомиться с работами К.М. Шерепо, Н.В. Корнилова и А.Н. Семизорова. Если Вас забанили в гугле, ничем помочь не могу.

Если у Вас так плохо со зрением, что Вы не можете увидеть не подвергшуюся вмешательству вертлужную впадину, то это не ко мне, а к офтальмологам.

Если Вам что-то кажется - креститесь.

Андрей Юрьевич аватар
Не на сайте
Был на сайте: 2 недели 3 дня назад
Зарегистрирован: 16.11.2008 - 22:16
Публикации: 18098

Зря Вы так, доктор Белоусов. Ей богу, зря...

Андрей Юрьевич

Анатолий Владимирович Шумаков аватар
Не на сайте
Был на сайте: 7 лет 10 месяцев назад
Зарегистрирован: 16.10.2009 - 21:16
Публикации: 1941

Вот нужная ссылка, правда на англицком...

http://www.radiologyassistant.nl/en/431c8258e7ac3

Анатолий Владимирович Шумаков аватар
Не на сайте
Был на сайте: 7 лет 10 месяцев назад
Зарегистрирован: 16.10.2009 - 21:16
Публикации: 1941

А это гр. Белоусов мнение о себе на сайте формирует...

Dr.Akulla аватар
Не на сайте
Был на сайте: 11 лет 11 месяцев назад
Зарегистрирован: 28.05.2011 - 20:06
Публикации: 218

Не совсем правы Вы, Анатолий Владимирович... Ссылка о тотальном протезировании, а в приведенном случае - нетотальное, частичное замещение, головка бедра и шейка замещены протезом. Так что выводы о бедренной ножке протеза по этой ссылке сделать можно, и только.

Dr.Akulla аватар
Не на сайте
Был на сайте: 11 лет 11 месяцев назад
Зарегистрирован: 28.05.2011 - 20:06
Публикации: 218

Но хотелось бы узнать о критериях правильной установки биполярного протеза у профессионала smiley. И обоснованность назначения на рентгенографию у автора темы.

Наталия аватар
Не на сайте
Был на сайте: 8 лет 8 месяцев назад
Зарегистрирован: 30.07.2008 - 13:24
Публикации: 538

Ой! Представители сильной половины человечества накануне нашего праздника - 8 Марта, как возбудились!

Дорогие мужчины сайта радиомед! Вы нам дороги ВСЕ! Заканчивайте ссориться! Женско-весенний праздник на носу, дался Вам этот сустав - железяка.

Белоусов Борис Юрьевич аватар
Не на сайте
Был на сайте: 13 лет 9 месяцев назад
Зарегистрирован: 20.03.2009 - 02:46
Публикации: 161

Андрей Юрьевич wrote:

Зря Вы так, доктор Белоусов. Ей богу, зря...

Т.е. мне нельзя ответить с той же долей иронии и сарказма, с которой был задан вопрос? Хорошо, учту.

Белоусов Борис Юрьевич аватар
Не на сайте
Был на сайте: 13 лет 9 месяцев назад
Зарегистрирован: 20.03.2009 - 02:46
Публикации: 161

Анатолий Владимирович Шумаков wrote:

А это гр. Белоусов мнение о себе на сайте формирует...

Ошибаетесь, пан Шумаков. У меня нет ни малейшего желания формировать о себе мнение у кого-то, тем более в виртуальном пространстве на интернет-ресурсе, коих очень много.

Что до того, что Вы не можете отличить тотальный эндопротез от биполярного, то не переживайте, я, впервые увидев такой эндопротез лет пять  назад , так же написал о горизонтализации тазового компонента, но знающие люди подсказали что это не так. Быть может и в вашем государственном образовании развитие эндопротезирования когда-нибудь выйдет на достойный уровень, и вам придется сталкиваться с подобными металлоконструкциями чаще, тогда и дифференцировать один от другого начнете.

За сим откланиваюсь, к сожалению на этом ресурсе, как и на многих остальных и непрофильных, уровень тролинга весьма велик, а я в такие игрушки давно наигрался.

Dr.Akulla аватар
Не на сайте
Был на сайте: 11 лет 11 месяцев назад
Зарегистрирован: 28.05.2011 - 20:06
Публикации: 218

Досадно! Надеялся у Вас почерпнуть информации, а вдруг и правда придётся столкнуться с подобными протезами.

Катенёв Валентин Львович аватар
Не на сайте
Был на сайте: 7 лет 1 месяц назад
Зарегистрирован: 22.03.2008 - 22:15
Публикации: 54876

Dr.Akulla wrote:

Досадно! Надеялся у Вас почерпнуть информации, а вдруг и правда придётся столкнуться с подобными протезами.

Вы правы уважаемый коллега!

Борис Юрьевич посвятил около 8 лет изучению эндопротезированного сустава, да и диссертацию защитил по теме: "Рентгенологическая оценка тазобедренного сустава у взрослых при различных видах эндопротезирования", и надо думать, что он в этом вопросе понимает не мало.

Ну, и информацией, по данной тематике, мог бы поделиться с коллегами.

Андрей Юрьевич аватар
Не на сайте
Был на сайте: 2 недели 3 дня назад
Зарегистрирован: 16.11.2008 - 22:16
Публикации: 18098

Вот это:

Белоусов Борис Юрьевич wrote:
... откланиваюсь, к сожалению на этом ресурсе, как и на многих остальных...

и есть ключевая фраза.

Андрей Юрьевич

Анатолий Владимирович Шумаков аватар
Не на сайте
Был на сайте: 7 лет 10 месяцев назад
Зарегистрирован: 16.10.2009 - 21:16
Публикации: 1941

Ну все же знать нам невозможно, затем мы в сети и сидим, и тех кто хочет, осторожно, не обижая просвятим... Бывает многое не знаешь, и сам готов вопрос задать, но вдруг такой напор встречаешь, что даже сразу не понять... И это происходит с нами, где в деле ищут компромисс, и я представил, что с ногами я перед  "боженькой" завис... И как же Он со мной поступит - как небожитель - великан, или лечить нормально будет, не обращая на изьян...

Петрович аватар
Не на сайте
Был на сайте: 7 лет 3 месяцев назад
Зарегистрирован: 22.03.2009 - 01:13
Публикации: 3908

Эх! А начиналось всё мирно конструктивно…. И отчего рентгеноглоги-радиологи столь чужды психологии и заповеди Христа отвергли? И защищая своё самолюбие, чужое считают возможным пнуть, а оно может быть ещё более гиперплазировано и болезненно… от пинков. С другой стороны: зачем церемониться с тем, кого не уважаешь и не любишь?

Неоднозначно всё

Катенёв Валентин Львович аватар
Не на сайте
Был на сайте: 7 лет 1 месяц назад
Зарегистрирован: 22.03.2008 - 22:15
Публикации: 54876

Вы правы Петрович!

"Топор" для вырубки коментов был приготовлен.

Анатолий Владимирович Шумаков аватар
Не на сайте
Был на сайте: 7 лет 10 месяцев назад
Зарегистрирован: 16.10.2009 - 21:16
Публикации: 1941

 

Компромиссы что-то вот не в моде,

Мы шатаем наш невинный дом,

Даже Львович, добрый по природе,

Вынужден – быть рядом, с топором,

-

Ну а наши грозные мужчины,

Выбрав для ристалищ Женский День,

Начали искать в других причину,

Наведения тени на плетень...

-

А потом, конечно, по науке,

Не сдержавши  свой азарт и пыл,

Мы не протянув друг другу руки,

Понеслись, не отпустив удил...

-

Подведя печальные итоги,

Прочитав про хитрый тот протез,

Я жалею - не сошел с дороги,

И наверно чуть не к месту влез...

-

Но ребята, будем справедливы,

Прежде чем устраивать сыр-бор,

Раз Мы здесь - то будем терпеливы,

И сойдем в долину - с наших гор...

Dr.Drug аватар
Не на сайте
Был на сайте: 7 лет 10 месяцев назад
Зарегистрирован: 01.11.2008 - 20:21
Публикации: 464

Очень жаль... Алаверды, может всё-таки кто нибудь просветит?:

Dr.Drug:

  Белоусов: ...скорее всего лаборант ногу не отвел...

  Андрей Юрьевич: ...а как правильно ...?

  Белоусов: ...общепринятые правила укладки...

Я не понял, господин Белоусов, Ваш лаборант всегда отводит ногу? Зачем? 

  Белоусов: ... рекомендую купить атлас рентгенологических укладок В.М. Соколова...

 

У меня есть Кишковский. Он что, намного хуже? Там такой рисунок.

Приложения: 
tbs.jpg

С уважением, А.В.Коробейников

Dr.Drug аватар
Не на сайте
Был на сайте: 7 лет 10 месяцев назад
Зарегистрирован: 01.11.2008 - 20:21
Публикации: 464

И, однако, ждать, пока в нашем учреждении начнут ставить другие протезы, и только после этого учиться их распознавать, мне не терпится. Хочется научиться раньше.

Вероятно, стрелочками, которыми я просил отметить признаки биполярности протеза, следовало бы отметить контур и субхондральные слои вертлужной впадины, на которых нет признаков ятрогенной деструкции (когда впадина "вычищается" абразивом) - характерного неравномерного остеосклероза?

Жаль, опять же, что мы безвременно потеряли полезный источник. Я чувствую вину.

С уважением, А.В.Коробейников

Петрович аватар
Не на сайте
Был на сайте: 7 лет 3 месяцев назад
Зарегистрирован: 22.03.2009 - 01:13
Публикации: 3908

Безвозвратные потери всегда несут боль и жаль. Бережно надо обращаться с Источниками. Больше нежности, меньше нахрапа.

<< Я чувствую вину >>   —  Есть в этом что-то человеческое…, и рождает сочувствие.

Признак биполярности я усматриваю со стороны основания «головки»: угадывается вложенность малой сферы в большую. Подробности по ссылке. Это только моё частное мнение  —  3D-представление и я не Источник.

Неоднозначно всё

Катенёв Валентин Львович аватар
Не на сайте
Был на сайте: 7 лет 1 месяц назад
Зарегистрирован: 22.03.2008 - 22:15
Публикации: 54876

Вчера специально задал вопрос о регламенте "протезной укладки" проф., зав каф травматологии и ортопедии КГМУ Колеснику Александру Ивановичу, который довольно активно "оперирует" тазобедренный сустав, оказывается, они применяют стандартную, рутинную укладку, приведенную во всех руководствах для рентгенолаборантов.