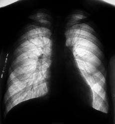
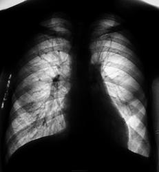
Какие мнения будут по "флюшке"? Жалоб нет.

Пол пациента: 
Тип патологии: 
Методы исследования: 

Какие мнения будут по "флюшке"?  Жалоб нет.

  • https://radiomed.ru/sites/default/files/styles/case_slider_image/public/user/12/2.dscn0647a.jpg?itok=bTtUnzbI
  • https://radiomed.ru/sites/default/files/styles/case_slider_image/public/user/12/3.dscn0648.jpg?itok=lLIUJi6a
  • https://radiomed.ru/sites/default/files/styles/case_slider_image/public/user/12/4.dscn0648a.jpg?itok=EErU_2R4
ID:24654
maker4ik аватар
Не на сайте
Был на сайте: 8 лет 7 месяцев назад
Зарегистрирован: 19.10.2011 - 17:49
Публикации: 2682

Норма

Катенёв Валентин Львович аватар
Не на сайте
Был на сайте: 7 лет 4 недели назад
Зарегистрирован: 22.03.2008 - 22:15
Публикации: 54876

maker4ik wrote:

Норма

Правое и левое легочные поля весьма отличабтся по лёгочному рисунку

арти аватар
Не на сайте
Был на сайте: 12 лет 1 месяц назад
Зарегистрирован: 26.02.2012 - 11:23
Публикации: 490

Слева на 4м ребре чтой-то темнеет 

Нормандия аватар
Не на сайте
Был на сайте: 11 лет 9 месяцев назад
Зарегистрирован: 10.11.2012 - 10:49
Публикации: 81

а боковушки можно?

И,может, все же прав поэт? Не верится,что это враки. Чем ближе узнаю людей,тем больше нравятся собаки.

И.Бондаренко аватар
Не на сайте
Был на сайте: 6 часов 24 минуты назад
Зарегистрирован: 13.09.2011 - 22:55
Публикации: 9206

Справа в  S2 очаговая тень, в левом лёгком просветление средней зоны с обеднением лёгочного рисунка.

Mitkampfer аватар
Не на сайте
Был на сайте: 11 лет 1 месяц назад
Зарегистрирован: 27.07.2010 - 07:43
Публикации: 1454

похоже на локальную эмфизему. может буллы левого легкого.

Не ограничивайте свою мысль

Живешь пока учишься

Ecrasez l’infame

Катенёв Валентин Львович аватар
Не на сайте
Был на сайте: 7 лет 4 недели назад
Зарегистрирован: 22.03.2008 - 22:15
Публикации: 54876

На гипоплазию одной из ветвей легочной артерии слева не похоже?

helenmar аватар
Не на сайте
Был на сайте: 8 лет 6 месяцев назад
Зарегистрирован: 23.03.2008 - 12:27
Публикации: 291

Нужна боковая. Корень легкого смещен кверху. Такая картинка может быть при нарушении бронхиальной проходимости (ателектаз в/доли или ее части при вздутии н/доли).. 

Делай, что должно, и будь, что будет.

Наталия Васильевна аватар
Не на сайте
Был на сайте: 5 лет 9 месяцев назад
Зарегистрирован: 25.09.2011 - 09:02
Публикации: 754

Катенёв Валентин Львович wrote:

На гипоплазию одной из ветвей легочной артерии слева не похоже?

 

 А очень похоже. Насчет ателектаза сомневаюсь, купол диафрагмы на своем месте, а деформация корня может быть связана с гипоплазией.

И.Бондаренко аватар
Не на сайте
Был на сайте: 6 часов 24 минуты назад
Зарегистрирован: 13.09.2011 - 22:55
Публикации: 9206

Катенёв Валентин Львович wrote:

На гипоплазию одной из ветвей легочной артерии слева не похоже?

О таком развитии только читал, возможно это и есть гипоплазия. Насчёт ателектаза сомневаюсь, ведь он чаще даёт типичную картину.

Катенёв Валентин Львович аватар
Не на сайте
Был на сайте: 7 лет 4 недели назад
Зарегистрирован: 22.03.2008 - 22:15
Публикации: 54876

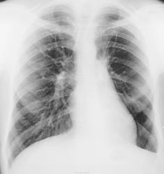
"Флюшка" полтора года тому назад

Приложения: 
1.dscn0649.jpg2.dscn0649a.jpg3.dscn0650.jpg4.dscn0650a.jpg
helenmar аватар
Не на сайте
Был на сайте: 8 лет 6 месяцев назад
Зарегистрирован: 23.03.2008 - 12:27
Публикации: 291

Возраст? В динамике отчетливое разрежение с/рисунка слева в среднем л/поле, сгущение(?) в верхних (парамедиастинальных) отделах, смещение корня кверху. Резко выраженная митрализация сердечной тени. Если это не ТЭЛА (при отсутствии клиники!), то в первую очередь, с моей точки зрения, нужно исключать центральный обЪемный процесс. Нужна боковая и, по-хоршему, исходя из ее данных ТМГ.

Делай, что должно, и будь, что будет.

Катенёв Валентин Львович аватар
Не на сайте
Был на сайте: 7 лет 4 недели назад
Зарегистрирован: 22.03.2008 - 22:15
Публикации: 54876

helenmar wrote:

Возраст? 

19 лет, клиники никакой.

helenmar аватар
Не на сайте
Был на сайте: 8 лет 6 месяцев назад
Зарегистрирован: 23.03.2008 - 12:27
Публикации: 291

Как вариант, бронхолит? Хотя, не все обЪясняет.

Делай, что должно, и будь, что будет.

Катенёв Валентин Львович аватар
Не на сайте
Был на сайте: 7 лет 4 недели назад
Зарегистрирован: 22.03.2008 - 22:15
Публикации: 54876

helenmar wrote:

Нужна боковая и, по-хоршему, исходя из ее данных ТМГ.

Будет!

Катенёв Валентин Львович аватар
Не на сайте
Был на сайте: 7 лет 4 недели назад
Зарегистрирован: 22.03.2008 - 22:15
Публикации: 54876

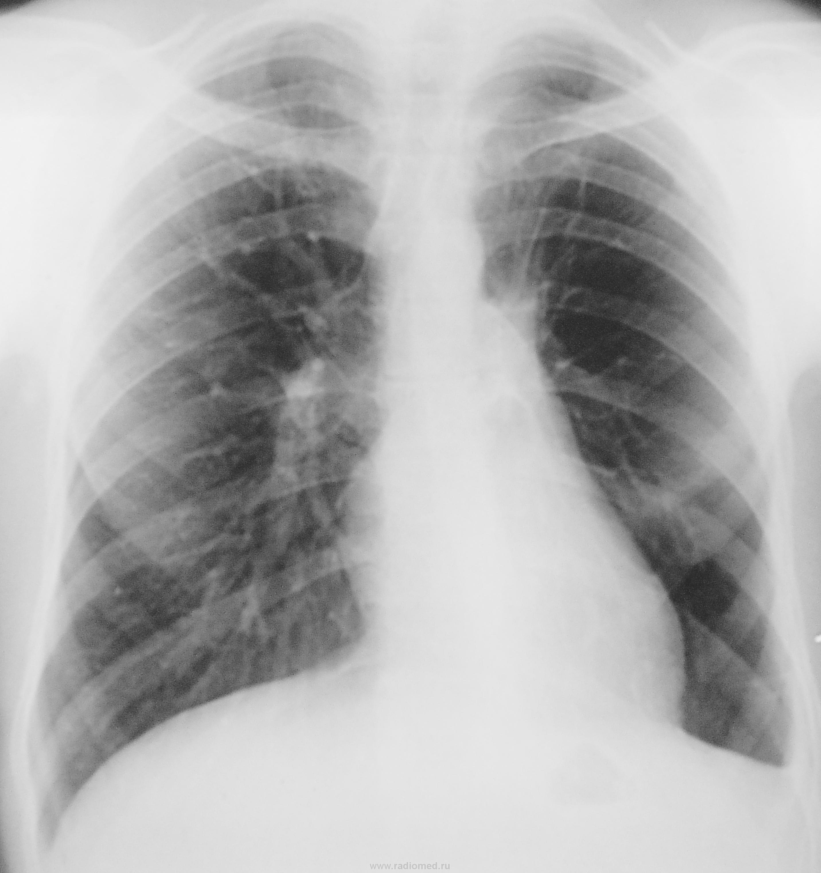
Рентгенограмма ОГК год тому назад

Приложения: 
11.dscn0657.jpg12.dscn0657a.jpg
Наталия Васильевна аватар
Не на сайте
Был на сайте: 5 лет 9 месяцев назад
Зарегистрирован: 25.09.2011 - 09:02
Публикации: 754

Обеднение рисунка было и раньше. Огромное буллезное поражение или все-таки гипоплазия.

helenmar аватар
Не на сайте
Был на сайте: 8 лет 6 месяцев назад
Зарегистрирован: 23.03.2008 - 12:27
Публикации: 291

С наличием буллы слева согласна, но она не обЪясняет кртинку сегодняшнего дня. Жду дальше. 

Делай, что должно, и будь, что будет.

Катенёв Валентин Львович аватар
Не на сайте
Был на сайте: 7 лет 4 недели назад
Зарегистрирован: 22.03.2008 - 22:15
Публикации: 54876

Два года тому назад.

Приложения: 
1.dscn0651a.jpg2.dscn0652.jpg3.dscn0653.jpg4.dscn0654.jpg5.dscn0655.jpg6.dscn0656.jpg
AlexSawa аватар
Не на сайте
Был на сайте: 7 лет 6 месяцев назад
Зарегистрирован: 18.01.2012 - 18:55
Публикации: 15

воздушная киста.во как средостение смещало!

helenmar аватар
Не на сайте
Был на сайте: 8 лет 6 месяцев назад
Зарегистрирован: 23.03.2008 - 12:27
Публикации: 291

Как я понимаю, ветка окончательно заглохла. И все-таки, Валентин Львович, что, с Вашей точки зрения "утянуло" левый корень кверху?

Делай, что должно, и будь, что будет.