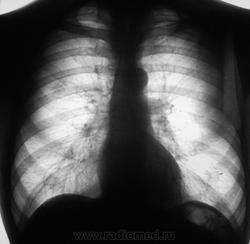
Пол пациента: Мужской пол Тип патологии: Другое Область исследования: Грудная клетка и верхние дыхательные пути Методы исследования: Rg Какие мнения будут по "флюшке"? https://radiomed.ru/sites/default/files/styles/case_slider_image/public/user/12/2.201201010123_0.jpg?itok=bn-lqR7G ID:36355 Чт, 20/03/2014 - 09:59 #1 largooowinch Не на сайте Был на сайте: 9 лет 11 месяцев назад Зарегистрирован: 29.10.2013 - 22:07 Публикации: 65 если не ошибаюсь добавочная доля v.azygos?ну и по воводу участка затемнения архиы бы глянуть.и узнать бы сосотояние на момент когда делала флюшку. Чт, 20/03/2014 - 10:41 #2 Катенёв Валенти... Не на сайте Был на сайте: 7 лет 2 недели назад Зарегистрирован: 22.03.2008 - 22:15 Публикации: 54876 На момент производства "флюшки" жалоб нет. На предыдущей "флюшке" (двухлетней давности) "этого" нет, норма. Чт, 20/03/2014 - 17:09 #3 Kesha Не на сайте Был на сайте: 4 года 3 недели назад Зарегистрирован: 20.03.2014 - 16:25 Публикации: 7 Конечно, бок и "порезать". Чт, 20/03/2014 - 17:11 #4 NIL Не на сайте Был на сайте: 5 часов 42 минуты назад Зарегистрирован: 25.11.2013 - 20:50 Публикации: 18206 Тогда будем диффиренцировать C-r и Tвс. У Вас, видимо, и боковая имеется, и томограммы припрятаны? "Слушай всех, прислушивайся к немногим, решай сам".© Чт, 20/03/2014 - 17:35 #5 atexta Не на сайте Был на сайте: 2 года 10 месяцев назад Зарегистрирован: 08.02.2014 - 18:41 Публикации: 4842 NIL wrote: Тогда будем диффиренцировать C-r и Tвс. У Вас, видимо, и боковая имеется, и томограммы припрятаны? Необходимо дообследование ( боковая + т\графия) Не нам судить… Пт, 21/03/2014 - 10:20 #6 Катенёв Валенти... Не на сайте Был на сайте: 7 лет 2 недели назад Зарегистрирован: 22.03.2008 - 22:15 Публикации: 54876 Kesha wrote: Конечно, бок и "порезать". Пациента просто не вызвали на дообследование, а следовательно боковой не делали, да и не резали... Пт, 21/03/2014 - 10:21 #7 Катенёв Валенти... Не на сайте Был на сайте: 7 лет 2 недели назад Зарегистрирован: 22.03.2008 - 22:15 Публикации: 54876 NIL wrote: Тогда будем диффиренцировать C-r и Tвс. Возможно Вы правы. Пт, 21/03/2014 - 10:23 #8 Катенёв Валенти... Не на сайте Был на сайте: 7 лет 2 недели назад Зарегистрирован: 22.03.2008 - 22:15 Публикации: 54876 Это выставлена флюшка за 2011 год. В 2013 году пациент проходил профилактическую флюорографию в соседнем районе. Знаю одно, что пациента вызывали на доообследование, но он на дообследование не явился..., вот такие, вот дела... Пнд, 24/03/2014 - 10:06 #9 Катенёв Валенти... Не на сайте Был на сайте: 7 лет 2 недели назад Зарегистрирован: 22.03.2008 - 22:15 Публикации: 54876 В 2014 году пациент был направлен на профилактическую флюорографию и попал к нам.Приложения: Пнд, 24/03/2014 - 10:08 #10 Катенёв Валенти... Не на сайте Был на сайте: 7 лет 2 недели назад Зарегистрирован: 22.03.2008 - 22:15 Публикации: 54876 В плане дообследования был сделан стандарт.Приложения: Пнд, 24/03/2014 - 18:39 #11 NIL Не на сайте Был на сайте: 5 часов 42 минуты назад Зарегистрирован: 25.11.2013 - 20:50 Публикации: 18206 Пора грязевые ванны принимать, к земле привыкать "Слушай всех, прислушивайся к немногим, решай сам".© Пнд, 24/03/2014 - 21:06 #12 Mila85 Не на сайте Был на сайте: 3 года 1 месяц назад Зарегистрирован: 15.03.2012 - 16:59 Публикации: 1790 Втр, 25/03/2014 - 08:40 #13 Катенёв Валенти... Не на сайте Был на сайте: 7 лет 2 недели назад Зарегистрирован: 22.03.2008 - 22:15 Публикации: 54876 Томограммы. Приложения: Ср, 26/03/2014 - 10:08 #14 Катенёв Валенти... Не на сайте Был на сайте: 7 лет 2 недели назад Зарегистрирован: 22.03.2008 - 22:15 Публикации: 54876 Когда производили боковую рентгенограмму лаборанты заметили, что пациент с трудом поднимает руку. На свой страх и риск, лаборанты самостоятельно досняли плечевую кость.Приложения: Вс, 30/03/2014 - 16:51 #15 atexta Не на сайте Был на сайте: 2 года 10 месяцев назад Зарегистрирован: 08.02.2014 - 18:41 Публикации: 4842 Валентин Львович, спасибо за представленный случай, очень показательно ( Не нам судить… Вс, 30/03/2014 - 18:53 #16 Nikolas Не на сайте Был на сайте: 1 месяц 3 недели назад Зарегистрирован: 21.12.2010 - 20:37 Публикации: 4559 очень поучительнае и наглядное. Спасибо. Пнд, 31/03/2014 - 11:46 #17 Катенёв Валенти... Не на сайте Был на сайте: 7 лет 2 недели назад Зарегистрирован: 22.03.2008 - 22:15 Публикации: 54876 Спасибо коллеги за теплые слова!
если не ошибаюсь добавочная доля v.azygos?ну и по воводу участка затемнения архиы бы глянуть.и узнать бы сосотояние на момент когда делала флюшку.
На момент производства "флюшки" жалоб нет.
На предыдущей "флюшке" (двухлетней давности) "этого" нет, норма.
Конечно, бок и "порезать".
Тогда будем диффиренцировать C-r и Tвс. У Вас, видимо, и боковая имеется, и томограммы припрятаны?
"Слушай всех, прислушивайся к немногим, решай сам".©
Необходимо дообследование ( боковая + т\графия)
Не нам судить…
Пациента просто не вызвали на дообследование, а следовательно боковой не делали, да и не резали...
Возможно Вы правы.
Это выставлена флюшка за 2011 год.
В 2013 году пациент проходил профилактическую флюорографию в соседнем районе. Знаю одно, что пациента вызывали на доообследование, но он на дообследование не явился..., вот такие, вот дела...
В 2014 году пациент был направлен на профилактическую флюорографию и попал к нам.
В плане дообследования был сделан стандарт.
Пора грязевые ванны принимать, к земле привыкать
"Слушай всех, прислушивайся к немногим, решай сам".©
Томограммы.
Когда производили боковую рентгенограмму лаборанты заметили, что пациент с трудом поднимает руку.
На свой страх и риск, лаборанты самостоятельно досняли плечевую кость.
Валентин Львович, спасибо за представленный случай, очень показательно (
Не нам судить…
очень поучительнае и наглядное. Спасибо.
Спасибо коллеги за теплые слова!