Хондроз (дискоз) шейного отдела позвоночника.

Пол пациента: 
Тип патологии: 
Область исследования: 
Методы исследования: 

Пациент - ж., возраст – 23 года

 

Пациентка длительное время лечится у терапевтов и неврологов по поводу головных болей в затылочной и височных областях. Отмечает боли в левом плечевом суставе, боли в сердечной области и за грудиной. На исследование шейного отдела позвоночника пациентка направлена невропатологом.  

 

Цифровое стандартное флюорографическое профилактическое исследование (проведено на цифровом флюорографе «Ренекс – Флюоро»).

Стадарт.
Стадарт.

 

 

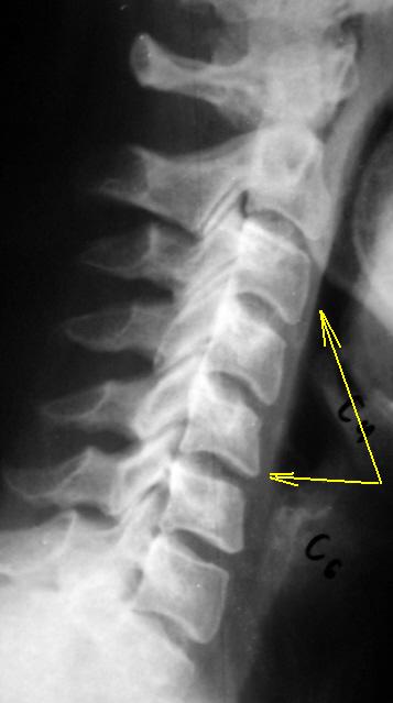
На цифровой флюорограмме, произведенной в стандартной боковой проекции (иллюстрация 1) определяется сглаженность шейного лордоза на уровне С3 - С7 с формированием патологического лордоза на уровне  С4 – С5 – С6. Определяется неравномерное сужение межпозвонковой щели в передних отделах в сегменте С4-С5.

Сгибание.
Сгибание.

 

На флюорограмме, произведенной с максимальным сгибанием шейного отдела позвоночника (иллюстрация 2) определяется смещение кпереди тел С2, С3, С4, С5 в виде ступенчатой комбинации, что свидетельствует о нестабильности в сегментах С2-С3, С3-С4, С4-С5, С5-С6.

Разгибание.
Разгибание.

 

 

 

 

Иллюстрация 3 – в положении максимального разгибания определяется смещение кзади тел С2, С3, С4 в виде ступенчатой комбинации, что свидетельствует о нестабильности в сегментах С2-С3, С3-С4, С4-С5.

 

Заключение:  Хондроз (дискоз) шейного отдела позвоночника. Нарушение статической функции шейного отдела позвоночника в виде сглаженности шейного лордоза с формированием патологического кифоза. Нарушение динамической функции шейного отдела позвоночника с нестабильностью в сегментах С2-С3, С3-С4, С4-С5, С5-С6, что свидетельствует о дистрофических изменениях в указанных межпозвонковых дисках в фазе потери их тургора.

 

Данные предоставил  Катенёв Валентин Львович, г. Бирюч Белгородской области. МУЗ «Красногвардейская центральная районная больница», зав. рентгенологическим отделением.

ВложениеРазмер
Иконка изображения Стадарт.28.96 КБ
Иконка изображения Сгибание.25.63 КБ
Иконка изображения Разгибание.26.44 КБ
qwerBRA аватар
Не на сайте
Был на сайте: 16 лет 3 месяцев назад
Зарегистрирован: 20.10.2009 - 15:41
Публикации: 5

Уважаемые врачи лучевой диагностики, пользователи сайта! Моей жене (1966 г. р.), при обследовании поставили диагноз обозначенный в теме. Получить квалифицированную консультацию  невропатолога не удалось, так как в нашей поликлинике таковые отсутствуют. Что нам делать с таким диагнозом? Возможно у кого-то есть рекомендации по этому поводу. Отзывы на текущий комментарий можно отсылать на электронный адрес: roma-bogdan@mail.ru Огромное спасибо всем откликнувшимся на нашу просьбу!

Катенёв Валентин Львович аватар
Не на сайте
Был на сайте: 7 лет 2 месяцев назад
Зарегистрирован: 22.03.2008 - 22:15
Публикации: 54876

Уважаемый qwerBRA!

Наиболее целесообразно выставить снимки Вашей жены на сайт. В таком случае разговор-обсуждение будет более предметным.

qwerBRA аватар
Не на сайте
Был на сайте: 16 лет 3 месяцев назад
Зарегистрирован: 20.10.2009 - 15:41
Публикации: 5

Уважаемый Валентин Львович! Огромное Вам спасибо за то участие, которое Вы проявили к нашей проблеме. Размещаем фотографии рентгеновских снимков, которые были сделаны в нашей поликлинике. Фотографии сделаны при помощи цифрового фотоаппарата. Будем признательны за Ваши комментарии!

Фото 1   Изображение

      Фото 1                                                    Фото 1 (крупный план)

Изображение        Изображение

      Фото 2                                                    Фото 2 (крупный план)

Глазков Игорь Артурович аватар
Не на сайте
Был на сайте: 10 месяцев 3 недели назад
Зарегистрирован: 19.12.2008 - 20:41
Публикации: 1597

в стандартных проекциях определяется дискоз в сегментах С4-5 С5-6. Также, имеются признаки нестабильности в С4-5.

Прийди к Себе

qwerBRA аватар
Не на сайте
Был на сайте: 16 лет 3 месяцев назад
Зарегистрирован: 20.10.2009 - 15:41
Публикации: 5

Уважаемый Игорь Артурович! Большое спасибо за Ваш комментарий, с диагнозом всё понятно, что нам делать???????

Глазков Игорь Артурович аватар
Не на сайте
Был на сайте: 10 месяцев 3 недели назад
Зарегистрирован: 19.12.2008 - 20:41
Публикации: 1597

нужно лечебную гимнастику, обратиться к невропатологу, закаливаться и вести подвижный образ жизни.

Прийди к Себе

Катенёв Валентин Львович аватар
Не на сайте
Был на сайте: 7 лет 2 месяцев назад
Зарегистрирован: 22.03.2008 - 22:15
Публикации: 54876

Да, налицо "сглаженность" шейного лордоза с тенденцией формирования кифоза - желтые стрелки, следовательно дискоз имеет место быть однозначно.

 

Катенёв Валентин Львович аватар
Не на сайте
Был на сайте: 7 лет 2 месяцев назад
Зарегистрирован: 22.03.2008 - 22:15
Публикации: 54876

Да и остеохондроз уже также имеет место быть.

 

qwerBRA аватар
Не на сайте
Был на сайте: 16 лет 3 месяцев назад
Зарегистрирован: 20.10.2009 - 15:41
Публикации: 5

Добрый день, Уважаемые Игорь Артурович и Валентин Львович!!! Большое Вам спасибо за то время, которое Вы уделили решению нашей проблемы. Ваши рекомендации очень ценны для нас, и мы обязательно будем их придерживаться. Супруга выполняет лечебную гимнастику для мышц шеи. Хотелось бы узнать, показан ли при таком заболевании массаж и какого характера должен быть массаж. Ещё раз большое Вам спасибо за всё!!!

Катенёв Валентин Львович аватар
Не на сайте
Был на сайте: 7 лет 2 месяцев назад
Зарегистрирован: 22.03.2008 - 22:15
Публикации: 54876

На мой взгляд, Вам необходимо обратиться к квалифицированному неврологу и ортопеду - мануальному терапевту.

А массаж? Массаж всегда приятен, когда он есть.

qwerBRA аватар
Не на сайте
Был на сайте: 16 лет 3 месяцев назад
Зарегистрирован: 20.10.2009 - 15:41
Публикации: 5

Большое спасибо за консультацию, очень Вам признательны, Уважаемый Валентин Львович!

Andreasponcho аватар
Не на сайте
Был на сайте: 13 лет 3 месяцев назад
Зарегистрирован: 24.09.2012 - 21:09
Публикации: 8

Выпрямление шейного лордоза с формированием кифоза. Остеохондроз ШОП, в виде скошенности передне-верхних углов тел С4-С6 с умеренным снижением высоты м/п дисков на этом уровне.Уверен,что и унковертебральный артроз будет в прямой проекции.