Контроль после флюорографии, как и все контроли.

Пол пациента: 
Тип патологии: 
Методы исследования: 

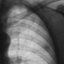
При расшифровке флюорограмм пациент взят на контроль. Ваше мнение уважаемые коллеги?

  • https://radiomed.ru/sites/default/files/styles/case_slider_image/public/user/12/2.u.Kontrol.jpg?itok=PxILiG0b
  • https://radiomed.ru/sites/default/files/styles/case_slider_image/public/user/12/3.u.Kontrol.jpg?itok=5iZnG15W
  • https://radiomed.ru/sites/default/files/styles/case_slider_image/public/user/12/4.u.Kontrol.JPG?itok=zzboVocI
  • https://radiomed.ru/sites/default/files/styles/case_slider_image/public/user/12/5.u.Kontrol.jpg?itok=5F1xIZHf
ID:1373
Грицько Виталий аватар
Не на сайте
Был на сайте: 9 лет 2 дня назад
Зарегистрирован: 05.01.2010 - 14:06
Публикации: 1058

Помимо тени, бросающейся в глаза,в S1+2 очаги?

Катенёв Валентин Львович аватар
Не на сайте
Был на сайте: 7 лет 3 недели назад
Зарегистрирован: 22.03.2008 - 22:15
Публикации: 54876

Тоже думали, гадали. Тень на уровне 3 ребра слева показалась "копеечной", не заслуживающей внимания?

Катенёв Валентин Львович аватар
Не на сайте
Был на сайте: 7 лет 3 недели назад
Зарегистрирован: 22.03.2008 - 22:15
Публикации: 54876

Но "стандарт", есть "стандарт". Была произведена линейная томография в прямой проекции.

 

 

Приложения: 
11.Standart...JPG12.Standart...JPG13.Standart...JPG14.Standart...JPG15.Standart...JPG
Катенёв Валентин Львович аватар
Не на сайте
Был на сайте: 7 лет 3 недели назад
Зарегистрирован: 22.03.2008 - 22:15
Публикации: 54876

И. конечно, "тень" слева, вызвала самые серьёзные подозрения.

lupan аватар
Не на сайте
Был на сайте: 6 лет 10 месяцев назад
Зарегистрирован: 07.01.2010 - 17:17
Публикации: 1406

Катенёв Валентин Львович wrote:

 

И. конечно, "тень" слева, вызвала самые серьёзные подозрения.

 

И правильно сделала. У Розенштрауха, Рыбаковой и Виннер есть картинка малого рака один в один.

Великое преймущество врача заключается в том, что он не обязан следовать собственным советам. ( А. Кристи)

Катенёв Валентин Львович аватар
Не на сайте
Был на сайте: 7 лет 3 недели назад
Зарегистрирован: 22.03.2008 - 22:15
Публикации: 54876

Ну, Вы коллега - прямо в цель!? Сейчас, выставлю дополнительные изображения.

Катенёв Валентин Львович аватар
Не на сайте
Был на сайте: 7 лет 3 недели назад
Зарегистрирован: 22.03.2008 - 22:15
Публикации: 54876

Первый срез.

 

Приложения: 
21.Srez_.JPG22.Srez_.jpg23.Srez_.jpg24.Srez_.jpg
lupan аватар
Не на сайте
Был на сайте: 6 лет 10 месяцев назад
Зарегистрирован: 07.01.2010 - 17:17
Публикации: 1406

Больной, да и Государство д.б. благодорны Вам за такую диагностику. Жаль , что эту благодарность нельзя обналичить.

Великое преймущество врача заключается в том, что он не обязан следовать собственным советам. ( А. Кристи)

Катенёв Валентин Львович аватар
Не на сайте
Был на сайте: 7 лет 3 недели назад
Зарегистрирован: 22.03.2008 - 22:15
Публикации: 54876

Конечно, это приятно слышать, уважаемый коллега. Но случай с "некоторым подтекстом".

Катенёв Валентин Львович аватар
Не на сайте
Был на сайте: 7 лет 3 недели назад
Зарегистрирован: 22.03.2008 - 22:15
Публикации: 54876

Второй срез.

 

Приложения: 
41.Srez_...JPG42.Srez_...jpg43.Srez_...JPG44.Srez_...jpg
lupan аватар
Не на сайте
Был на сайте: 6 лет 10 месяцев назад
Зарегистрирован: 07.01.2010 - 17:17
Публикации: 1406

Катенёв Валентин Львович wrote:

Второй срез.

 

И..? Если Вы имеете в виду очаги, тень на ТБС мало похожа.

Великое преймущество врача заключается в том, что он не обязан следовать собственным советам. ( А. Кристи)

Катенёв Валентин Львович аватар
Не на сайте
Был на сайте: 7 лет 3 недели назад
Зарегистрирован: 22.03.2008 - 22:15
Публикации: 54876

Спасибо за высказанное возражение. А на что "это" - очаги может быть похоже?

lupan аватар
Не на сайте
Был на сайте: 6 лет 10 месяцев назад
Зарегистрирован: 07.01.2010 - 17:17
Публикации: 1406

На верхушке похоже на свежие очаги.

Великое преймущество врача заключается в том, что он не обязан следовать собственным советам. ( А. Кристи)

lupan аватар
Не на сайте
Был на сайте: 6 лет 10 месяцев назад
Зарегистрирован: 07.01.2010 - 17:17
Публикации: 1406

А в каком сегменте по-Вашему расположена тень?

Великое преймущество врача заключается в том, что он не обязан следовать собственным советам. ( А. Кристи)

Грицько Виталий аватар
Не на сайте
Был на сайте: 9 лет 2 дня назад
Зарегистрирован: 05.01.2010 - 14:06
Публикации: 1058

Уже не раз видел сочетание активного tbs и онкологии.

Катенёв Валентин Львович аватар
Не на сайте
Был на сайте: 7 лет 3 недели назад
Зарегистрирован: 22.03.2008 - 22:15
Публикации: 54876

Возможно, я не совсем ясно выразился, но тень слева, та, что на рентгенограмме на уровне 3 ребра весьма похожа, и очень, на неопластический процесс.

"Подтекст", именно в том, что, кроме указанной тени, были обнаружены и очаги, генез которых не вызывает сомнения.

lupan аватар
Не на сайте
Был на сайте: 6 лет 10 месяцев назад
Зарегистрирован: 07.01.2010 - 17:17
Публикации: 1406

Все так и было понято.

Великое преймущество врача заключается в том, что он не обязан следовать собственным советам. ( А. Кристи)

Катенёв Валентин Львович аватар
Не на сайте
Был на сайте: 7 лет 3 недели назад
Зарегистрирован: 22.03.2008 - 22:15
Публикации: 54876

Уважаемый Виталий!

Мы, также, в последнее время довольно часто фиксирует сочетание онкологии и туб. процесса.

Ради справедливости, необходимо отметить и участившееся сочетание туберкулеза и ВИЧ.

Катенёв Валентин Львович аватар
Не на сайте
Был на сайте: 7 лет 3 недели назад
Зарегистрирован: 22.03.2008 - 22:15
Публикации: 54876

Еще одна "срезка" правой верхушки.

 

Приложения: 
31.Srezka.JPG32.Srezka.jpg33.Srezka..jpg
Vikkur аватар
Не на сайте
Был на сайте: 4 года 8 месяцев назад
Зарегистрирован: 24.09.2009 - 14:34
Публикации: 1749

Да. Возможно и онкология. А возможно и фиброзные изменения в очаге, плюс свежие т.е обострение. И как всегда вопрос: стандарт в данном случае 7, 8, 9 см или 10,11,12? Возьму на заметку))).

Виктор.

Катенёв Валентин Львович аватар
Не на сайте
Был на сайте: 7 лет 3 недели назад
Зарегистрирован: 22.03.2008 - 22:15
Публикации: 54876

7,8,9 - верхушки.

Vikkur аватар
Не на сайте
Был на сайте: 4 года 8 месяцев назад
Зарегистрирован: 24.09.2009 - 14:34
Публикации: 1749

Катенёв Валентин Львович wrote:

7,8,9 - верхушки.

Ещё раз Вам Валетин Львович Большое Спасибо!

И, как я понял, архива нет?

Виктор.

Катенёв Валентин Львович аватар
Не на сайте
Был на сайте: 7 лет 3 недели назад
Зарегистрирован: 22.03.2008 - 22:15
Публикации: 54876

Архив есть. Флюорограмма - цифра - ровно год тому. С коллегой фтизиатром глаза проглядели, стараясь к чему - нибудь "прикопаться", но норма, да и к тому-же "голубая", "нормее, нормы - не бывает".

Vikkur аватар
Не на сайте
Был на сайте: 4 года 8 месяцев назад
Зарегистрирован: 24.09.2009 - 14:34
Публикации: 1749

Понятно. Да такая "лучезарная" форма тени скорее наведёт на мысь о онкологии.

Виктор.

Катенёв Валентин Львович аватар
Не на сайте
Был на сайте: 7 лет 3 недели назад
Зарегистрирован: 22.03.2008 - 22:15
Публикации: 54876

Да, слева "лучезарная тенюшка" расценена, как онкология.

Катенёв Валентин Львович аватар
Не на сайте
Был на сайте: 7 лет 3 недели назад
Зарегистрирован: 22.03.2008 - 22:15
Публикации: 54876

Последняя "срезка" правой верхушки, наряду, с изменениями самой верхушки, поразила значительным "уплотнением" апикальной плевры, чего на других срезах зарегистрировано не было.

 

Приложения: 
1.Poslednyaya.JPG2.Poslednyaya.jpg3.Poyalednyaya.jpg