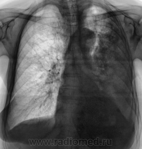
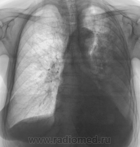
Контроль после флюорографии. Пациентка 3 года профилактическую флюорографию не проходила.

Пол пациента: 
Тип патологии: 
Методы исследования: 

Контроль после флюорографии. Пациентка 3 года профилактическую флюорографию не проходила.

  • https://radiomed.ru/sites/default/files/styles/case_slider_image/public/user/12/2.P5310043a.jpg?itok=9QC3LRte
  • https://radiomed.ru/sites/default/files/styles/case_slider_image/public/user/12/3.P5310044.JPG?itok=B38L9Qa-
  • https://radiomed.ru/sites/default/files/styles/case_slider_image/public/user/12/4..P5310044a.jpg?itok=SHTKN3IT
ID:4367
DR.RAD аватар
Не на сайте
Был на сайте: 11 лет 8 месяцев назад
Зарегистрирован: 25.03.2009 - 18:22
Публикации: 805

а что нибудь из анамнеза))))или хотя бы что в анализах?

Chen_ аватар
Не на сайте
Был на сайте: 13 лет 10 месяцев назад
Зарегистрирован: 30.05.2010 - 08:46
Публикации: 61

Калициноз плевры - возможно перенесенный туб. плеврит.

Катенёв Валентин Львович аватар
Не на сайте
Был на сайте: 7 лет 2 недели назад
Зарегистрирован: 22.03.2008 - 22:15
Публикации: 54876

Произведена томография.

 

Приложения: 
11.P5310045a.jpg12.P5310046.JPG13.P5310046a.jpg14.P5310047a.jpg15.P5310048a.jpg16.P5310048ab.jpg
Катенёв Валентин Львович аватар
Не на сайте
Был на сайте: 7 лет 2 недели назад
Зарегистрирован: 22.03.2008 - 22:15
Публикации: 54876

В этом году, все началось с этой флюорограммы.

 

Приложения: 
1.FLYu_.P5310049.JPG
Катенёв Валентин Львович аватар
Не на сайте
Был на сайте: 7 лет 2 недели назад
Зарегистрирован: 22.03.2008 - 22:15
Публикации: 54876

Подняли архив. Оказалось, что в 2008 г. пациентка лечилась в отделении по поводу пневмонии. После рентгенологического исследования "первичного", до лечения, настоятельно рентгенологом рекомендовалось провести рентген-контроль после лечения. Однако, на контроль пациентка направлена не была. Снимков нет, остались одни флюорограммы.

 

 

Приложения: 
1..P5310050.JPG2..P5310050a.jpg