КТ ГМ+С Объемное образование левой гемисферы большого мозга. Внутрижелудочковая менингиома?

Пол пациента: 
Область исследования: 
Методы исследования: 

 

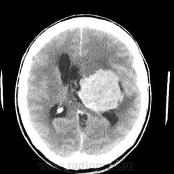
Мужчина 66 лет. Поступил с подозрением на ОНМК. Жалобы на атаксию и когнитивные нарушения (родственники рассказали о его плохой памяти, рассеянности, забывчивости, в последнее время, а также о нарушении речи и невнятности в произношении "мямлил"). Объемное образование в теменной, височной доли и базальных ядрах слева. Вазогенный отек. Выраженный масс-эффект. Латеральная дислокация вправо на 1,5см. Не могу дифференцировать интравентрикулярно ли, субэпендимарно ли расположено или за счет такого масс-эффекта? Ипсилатеральный желудочек компремирован, контрлатеральный компенсаторно расширен, височные рога боковых желудочков расширены, III желудочек значительно сужен и не дифференцируется, IVинтактен. Сильвиев водопровод сужен, достоверно не дифференцируется, супраселлярная цистерна сужена. Субарахноидальные борозды и конвекситальные пространства сужены. Выраженно диффузно очень интенсивно накапливает КВ. DDs: более вероятно: менингиома,  менее вероятно: субэпендимарная АСЦ, анапластическая АСЦ, глиобластома. Сложилось впечатление с большей вероятностью о внутрижелудочковой менингиоме с экстравентрикулярным ростом.

Натив

       

Постконтраст

        

  • https://radiomed.ru/sites/default/files/styles/case_slider_image/public/user/19376/img-0001-00024l.jpg?itok=mwaUy_Da
  • https://radiomed.ru/sites/default/files/styles/case_slider_image/public/user/19376/img-0001-00026l.jpg?itok=gmRVsdCF
  • https://radiomed.ru/sites/default/files/styles/case_slider_image/public/user/19376/img-0001-00028.jpg?itok=KCVXdpDn
  • https://radiomed.ru/sites/default/files/styles/case_slider_image/public/user/19376/img-0001-00029_0.jpg?itok=EJP-Taoa
  • https://radiomed.ru/sites/default/files/styles/case_slider_image/public/user/19376/img-0001-00030.jpg?itok=zXXCXjsg
  • https://radiomed.ru/sites/default/files/styles/case_slider_image/public/user/19376/img-0001-00031.jpg?itok=H-1qi2iW
  • https://radiomed.ru/sites/default/files/styles/case_slider_image/public/user/19376/img-0001-00032t.jpg?itok=tUdvrHK3
  • https://radiomed.ru/sites/default/files/styles/case_slider_image/public/user/19376/img-0001-00033.jpg?itok=btCrsAIv
  • https://radiomed.ru/sites/default/files/styles/case_slider_image/public/user/19376/img-0001-00035l.jpg?itok=4J42GLFN
  • https://radiomed.ru/sites/default/files/styles/case_slider_image/public/user/19376/img-0001-00037_0.jpg?itok=A5l1gYkP
  • https://radiomed.ru/sites/default/files/styles/case_slider_image/public/user/19376/img-0001-00038.jpg?itok=Vgmi9KLG
  • https://radiomed.ru/sites/default/files/styles/case_slider_image/public/user/19376/img-0001-00022_2.jpg?itok=EcirG33f
  • https://radiomed.ru/sites/default/files/styles/case_slider_image/public/user/19376/img-0001-00023_0.jpg?itok=nVP-VRaH
  • https://radiomed.ru/sites/default/files/styles/case_slider_image/public/user/19376/img-0001-00024_0.jpg?itok=EKjKhKXi
  • https://radiomed.ru/sites/default/files/styles/case_slider_image/public/user/19376/img-0001-00025.jpg?itok=K7evyaeR
  • https://radiomed.ru/sites/default/files/styles/case_slider_image/public/user/19376/img-0001-00026_1.jpg?itok=s_qaAvnr
  • https://radiomed.ru/sites/default/files/styles/case_slider_image/public/user/19376/img-0001-00027.jpg?itok=9IqztYMf
  • https://radiomed.ru/sites/default/files/styles/case_slider_image/public/user/19376/img-0001-00028_0.jpg?itok=j1HqaIQq
  • https://radiomed.ru/sites/default/files/styles/case_slider_image/public/user/19376/img-0001-00029_1.jpg?itok=rlcgYNKp
  • https://radiomed.ru/sites/default/files/styles/case_slider_image/public/user/19376/img-0001-00031_0.jpg?itok=Szf7LPht
  • https://radiomed.ru/sites/default/files/styles/case_slider_image/public/user/19376/img-0001-00033_0.jpg?itok=Ix99eHqc
  • https://radiomed.ru/sites/default/files/styles/case_slider_image/public/user/19376/img-0001-00034l.jpg?itok=ORwJH2LE
  • https://radiomed.ru/sites/default/files/styles/case_slider_image/public/user/19376/img-0001-00035.jpg?itok=nf3haVms
ID:38875
Андрей Юрьевич аватар
Не на сайте
Был на сайте: 2 дня 17 часов назад
Зарегистрирован: 16.11.2008 - 22:16
Публикации: 18098

Все-таки: "Внутрижелудочковые менингиомы являются весьма редкой патологией, характерной для наследственного заболевания — нейрофиброматоза II типа. Соответственно исключение данной патологии делает диагноз внутрижелудочковой менингиомы маловероятным..."

Начал бы с чего-нибудь менее экзотического.

Андрей Юрьевич

Tatarin аватар
Не на сайте
Был на сайте: 7 лет 10 месяцев назад
Зарегистрирован: 06.12.2013 - 15:41
Публикации: 653

Андрей Юрьевич wrote:

Все-таки: "Внутрижелудочковые менингиомы являются весьма редкой патологией

Согласен не совсем типичная локализация, однако имеет место быть из клеток сосудистых сплетений боковых желудочков и располагаться в области желудочкового треугольника.

Tatarin аватар
Не на сайте
Был на сайте: 7 лет 10 месяцев назад
Зарегистрирован: 06.12.2013 - 15:41
Публикации: 653

Андрей Юрьевич wrote:

Все-таки: "Внутрижелудочковые менингиомы являются весьма редкой патологией, характерной для наследственного заболевания — нейрофиброматоза II типа.

Почему именно для нейрофиброматоза II? Разве не имеет право она вырасти сама по себе без наследственных факоматозов?

Tatarin аватар
Не на сайте
Был на сайте: 7 лет 10 месяцев назад
Зарегистрирован: 06.12.2013 - 15:41
Публикации: 653

Андрей Юрьевич wrote:

Все-таки: "Внутрижелудочковые менингиомы являются весьма редкой патологией, характерной для наследственного заболевания — нейрофиброматоза II типа. Соответственно исключение данной патологии

Честно говоря меньше всего думал о нарушении гистогенеза, для НФII должна быть еще хотя бы одна опухоль: шваннома, нейрофиброма, глиома или множественные менингиомы, а здесь она одна одинёшенька "скучает", или в анамнезе у родственников, он же наследственный.

Tatarin аватар
Не на сайте
Был на сайте: 7 лет 10 месяцев назад
Зарегистрирован: 06.12.2013 - 15:41
Публикации: 653

Андрей Юрьевич wrote:

Начал бы с чего-нибудь менее экзотического.

Уж очень характерно интенсивно и гомогенно  копит контраст, потому что в капиллярах менингиомы отсутствует гемато-энцефалический барьер, типичный для мозговых капилляров.

Tatarin аватар
Не на сайте
Был на сайте: 7 лет 10 месяцев назад
Зарегистрирован: 06.12.2013 - 15:41
Публикации: 653

В дифф.ряд добавил бы еще эпендимому.

Tatarin аватар
Не на сайте
Был на сайте: 7 лет 10 месяцев назад
Зарегистрирован: 06.12.2013 - 15:41
Публикации: 653

И хориоидпапиллому, но все же вид у нее "цветной капусты".

Евгений Второй аватар
Не на сайте
Был на сайте: 3 недели 4 дня назад
Зарегистрирован: 13.09.2011 - 22:00
Публикации: 1772

Без сомнения бывает внутрижелудочковая менингиома, есть в архиве гистологически версифицированная. Но в данном случает похоже опухоль не совсем в желудочке. Где расширение желудочка?

Tatarin аватар
Не на сайте
Был на сайте: 7 лет 10 месяцев назад
Зарегистрирован: 06.12.2013 - 15:41
Публикации: 653

Евгений Второй wrote:
Без сомнения бывает внутрижелудочковая менингиома, есть в архиве гистологически версифицированная. Но в данном случает похоже опухоль не совсем в желудочке. Где расширение желудочка?

 Я и написал: "Не могу дифференцировать интравентрикулярно ли, субэпендимарно ли расположено или за счет такого масс-эффекта?" Сам однозначно не уверен, то ли внутри, то ли такая дислокация. Хотя такое впечатление, что опухоль как раз таки растет из сосудистого сплетения заднего рога левого желудочка. 

Андрей Юрьевич аватар
Не на сайте
Был на сайте: 2 дня 17 часов назад
Зарегистрирован: 16.11.2008 - 22:16
Публикации: 18098

Tatarin wrote:

Андрей Юрьевич wrote:

Начал бы с чего-нибудь менее экзотического.

Уж очень характерно интенсивно и гомогенно  копит контраст, потому что в капиллярах менингиомы отсутствует гемато-энцефалический барьер, типичный для мозговых капилляров.


А на нативе какая плотность?

Андрей Юрьевич

Tatarin аватар
Не на сайте
Был на сайте: 7 лет 10 месяцев назад
Зарегистрирован: 06.12.2013 - 15:41
Публикации: 653

Андрей Юрьевич wrote:


А на нативе какая плотность?

[/quote]

На нативе  до 45HU, после контрастирования плотность увеличилась до 60HU.

Tatarin аватар
Не на сайте
Был на сайте: 7 лет 10 месяцев назад
Зарегистрирован: 06.12.2013 - 15:41
Публикации: 653

Андрей Юрьевич wrote:


А на нативе какая плотность?

[/quote]

На нативе  до 45HU, после контрастирования плотность увеличилась до 60HU.

maker4ik аватар
Не на сайте
Был на сайте: 8 лет 6 месяцев назад
Зарегистрирован: 19.10.2011 - 17:49
Публикации: 2682

Почему внутрижелудочковая? Видно же, что она желудочек просто компремирует.

Tatarin аватар
Не на сайте
Был на сайте: 7 лет 10 месяцев назад
Зарегистрирован: 06.12.2013 - 15:41
Публикации: 653

maker4ik wrote:

Почему внутрижелудочковая? Видно же, что она желудочек просто компремирует.

Tatarin аватар
Не на сайте
Был на сайте: 7 лет 10 месяцев назад
Зарегистрирован: 06.12.2013 - 15:41
Публикации: 653

Tatarin wrote:

maker4ik wrote:

Почему внутрижелудочковая? Видно же, что она желудочек просто компремирует.

А так видно, что опухоль растет изнутри расширяя желудочек.

Для сравнения внутримозговая гематома, которая реально компремирует.

Приложения: 
img-0001-00031.jpgimg-0001-00001.jpg
Tatarin аватар
Не на сайте
Был на сайте: 7 лет 10 месяцев назад
Зарегистрирован: 06.12.2013 - 15:41
Публикации: 653

maker4ik wrote:

Почему внутрижелудочковая? Видно же, что она желудочек просто компремирует.

Она растет из сосудистого сплетения заднего рога левого бокового желудочка, поэтому его расширяет, а вот передний рог как раз компремирует

Приложения: 
img-0001-00026y.jpg
Tatarin аватар
Не на сайте
Был на сайте: 7 лет 10 месяцев назад
Зарегистрирован: 06.12.2013 - 15:41
Публикации: 653

Думаю, что растет как то так.

Приложения: 
img-0001-00029c.jpgimg-0001-00030u.jpg
maker4ik аватар
Не на сайте
Был на сайте: 8 лет 6 месяцев назад
Зарегистрирован: 19.10.2011 - 17:49
Публикации: 2682

Если она из сосудистого сплетения, то хотелось бы увидеть другие проекции. А так я вам тоже много чего нарисовать могу.

Nela аватар
Не на сайте
Был на сайте: 6 лет 3 недели назад
Зарегистрирован: 12.05.2009 - 20:43
Публикации: 1847

maker4ik wrote:

Если она из сосудистого сплетения, то хотелось бы увидеть другие проекции. А так я вам тоже много чего нарисовать могу.

Согласна, не убедительно. Мне не кажется, что внутрижелудочковая. По-моему желудочек подбавлен.

Tatarin аватар
Не на сайте
Был на сайте: 7 лет 10 месяцев назад
Зарегистрирован: 06.12.2013 - 15:41
Публикации: 653

maker4ik wrote:

Если она из сосудистого сплетения, то хотелось бы увидеть другие проекции. А так я вам тоже много чего нарисовать могу.

К сожалению, MPR короналы и сагитталы не предоставлю, иначе я бы их обязательно выложил. Нарисуйте, конечно, если есть что рисовать. Я понял, вы не согласны,  но хотелось бы услышать вашу версию, так сказать, сказали А, уж будьте любезны, если вас не затруднит, сказать и Б, а то ведь опровергать чужую гипотезу легче, чем доказывать свою, буду очень признателен. А вот еще картинка из книги, здесь тоже не убедительно?

Приложения: 
a111.jpg
maker4ik аватар
Не на сайте
Был на сайте: 8 лет 6 месяцев назад
Зарегистрирован: 19.10.2011 - 17:49
Публикации: 2682

Вы серьезно не видите разницу между картинками из книжки и вашим случаем?

Tatarin аватар
Не на сайте
Был на сайте: 7 лет 10 месяцев назад
Зарегистрирован: 06.12.2013 - 15:41
Публикации: 653

maker4ik wrote:

Вы серьезно не видите разницу между картинками из книжки и вашим случаем?

 А разве они должны быть идентичны? в моем случае дислокация выраженней.

Tatarin аватар
Не на сайте
Был на сайте: 7 лет 10 месяцев назад
Зарегистрирован: 06.12.2013 - 15:41
Публикации: 653

maker4ik wrote:

Вы серьезно не видите разницу между картинками из книжки и вашим случаем?

А вы, если видите разницу поясните, пожалуйста, в чем же она заключается? или изображения одной патологии у разных людей должны полностью совпадать?

Tatarin аватар
Не на сайте
Был на сайте: 7 лет 10 месяцев назад
Зарегистрирован: 06.12.2013 - 15:41
Публикации: 653

А то знаете ли отрицать отрицаете, а аргументов не приводите.

maker4ik аватар
Не на сайте
Был на сайте: 8 лет 6 месяцев назад
Зарегистрирован: 19.10.2011 - 17:49
Публикации: 2682

Tatarin wrote:

А то знаете ли отрицать отрицаете, а аргументов не приводите.

Вы тоже не привели необходимые проекции для аргументации своей точки зрения. Когда они будут, тогда и поговорим.

Бородулин М.А. аватар
Не на сайте
Был на сайте: 9 месяцев 1 неделя назад
Зарегистрирован: 17.02.2011 - 01:10
Публикации: 1409

Маловероятно, что менингиома.

Tatarin аватар
Не на сайте
Был на сайте: 7 лет 10 месяцев назад
Зарегистрирован: 06.12.2013 - 15:41
Публикации: 653

Бородулин М.А. wrote:

Маловероятно, что менингиома.

"Маловероятно" значит хоть малая, но все же вероятность имеется. Случай опять таки ретроспективный, КТ  в декабре 2013,  но это отец одного знакомого, я обязательно узнаю, что сказал нейрохирург и делали ли они МРТ, точно знаю оперировать не стали и со слов знакомого, за 6 месяцев хуже его отцу не стало, а если что и контроль сделаем посмотреть подросла  ли опухоль.

Nela аватар
Не на сайте
Был на сайте: 6 лет 3 недели назад
Зарегистрирован: 12.05.2009 - 20:43
Публикации: 1847

А где МРТ?

Tatarin аватар
Не на сайте
Был на сайте: 7 лет 10 месяцев назад
Зарегистрирован: 06.12.2013 - 15:41
Публикации: 653

Nela wrote:
А где МРТ?

 я обязательно узнаю, что сказал нейрохирург и делали ли они МРТ.  Я еще не знаю делали или нет. Знаю что не оперировали и что отрицательной динамики нет.