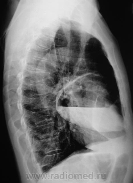
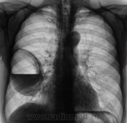
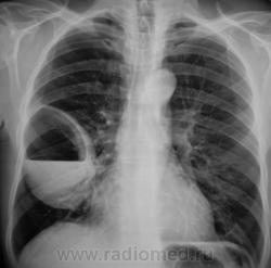
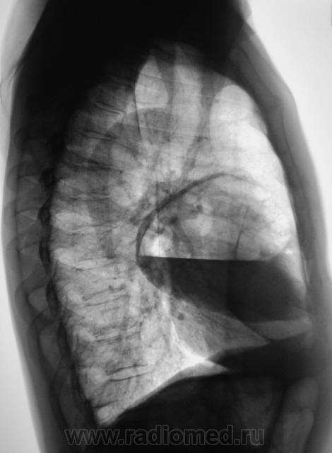
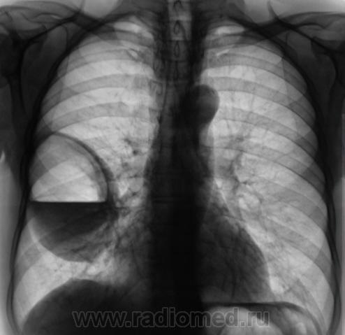
Лаборант «с флюорографа» пригласил посмотреть произведенную флюорограмму.

Пол пациента: 
Тип патологии: 
Методы исследования: 

Лаборант «с флюорографа» пригласил посмотреть произведенную флюорограмму.роизвели рентген

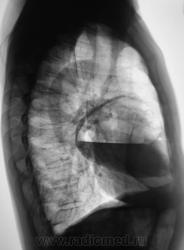
Произвели рентгенографию в стандартных проекциях.

  • https://radiomed.ru/sites/default/files/styles/case_slider_image/public/user/12/2.F.P4280010.JPG?itok=GOzYkZxA
  • https://radiomed.ru/sites/default/files/styles/case_slider_image/public/user/12/3.F.P4280011.JPG?itok=9-ByUh9N
  • https://radiomed.ru/sites/default/files/styles/case_slider_image/public/user/12/4.F.P4280012.JPG?itok=rnPC3pO1
  • https://radiomed.ru/sites/default/files/styles/case_slider_image/public/user/12/5.F.P4280013.JPG?itok=WIsDs9U3
ID:3424
Цель публикации: 
Катенёв Валентин Львович аватар
Не на сайте
Был на сайте: 7 лет 4 недели назад
Зарегистрирован: 22.03.2008 - 22:15
Публикации: 54876

Флюорограмма 2009 года.

 

Приложения: 
11.F.P4280014a.jpg12.F.P4280015.JPG13.F.P4280015a.jpg
tatyana аватар
Не на сайте
Был на сайте: 4 года 1 месяц назад
Зарегистрирован: 24.06.2009 - 08:33
Публикации: 2090

сильно похоже на нагноившуюся кисту...

"самоуверенность дилетантов - предмет зависти профессионалов"

Катенёв Валентин Львович аватар
Не на сайте
Был на сайте: 7 лет 4 недели назад
Зарегистрирован: 22.03.2008 - 22:15
Публикации: 54876

Она и есть.

Но, пациент жалоб не предъявляет...

Игорь Иванович аватар
Не на сайте
Был на сайте: 3 года 10 месяцев назад
Зарегистрирован: 23.01.2010 - 14:56
Публикации: 3695

Катенёв Валентин Львович wrote:

Она и есть.

Но, пациент жалоб не предъявляет...

Значит не нагноившаяся...

Vikkur аватар
Не на сайте
Был на сайте: 4 года 8 месяцев назад
Зарегистрирован: 24.09.2009 - 14:34
Публикации: 1749

А может это грыжа? (это версия)

Виктор.

Катенёв Валентин Львович аватар
Не на сайте
Был на сайте: 7 лет 4 недели назад
Зарегистрирован: 22.03.2008 - 22:15
Публикации: 54876

Киста, точно киста. Был пациент на консультации у торакальщиков, будут готовить к плановой операции.

Vikkur аватар
Не на сайте
Был на сайте: 4 года 8 месяцев назад
Зарегистрирован: 24.09.2009 - 14:34
Публикации: 1749

Но неужели содержимое гной?

 

Виктор.

Катенёв Валентин Львович аватар
Не на сайте
Был на сайте: 7 лет 4 недели назад
Зарегистрирован: 22.03.2008 - 22:15
Публикации: 54876

Насчет содержимого знать не могу. Наша задача, на глубокой периферии. определить пациента "по профилю".

stovbav аватар
Не на сайте
Был на сайте: 2 года 2 месяцев назад
Зарегистрирован: 20.12.2009 - 17:28
Публикации: 7066

Клиника при блокированом абсцессе, а таковой и будет нагноившаяся киста - может быть весьма скудной; при "конкретном" допросе что то и выясниться...а если еще и промониторить пару дней, то нароется куча всего, что вполне и подойдет под такую штуку....Знаем мы их жалобы...типа - "у меня легкие"...."у меня желудок"...сто потов сойдет, пока рациональное ключевое слово не услышишь.