Лёгкие

Пол пациента: 
Тип патологии: 
Методы исследования: 

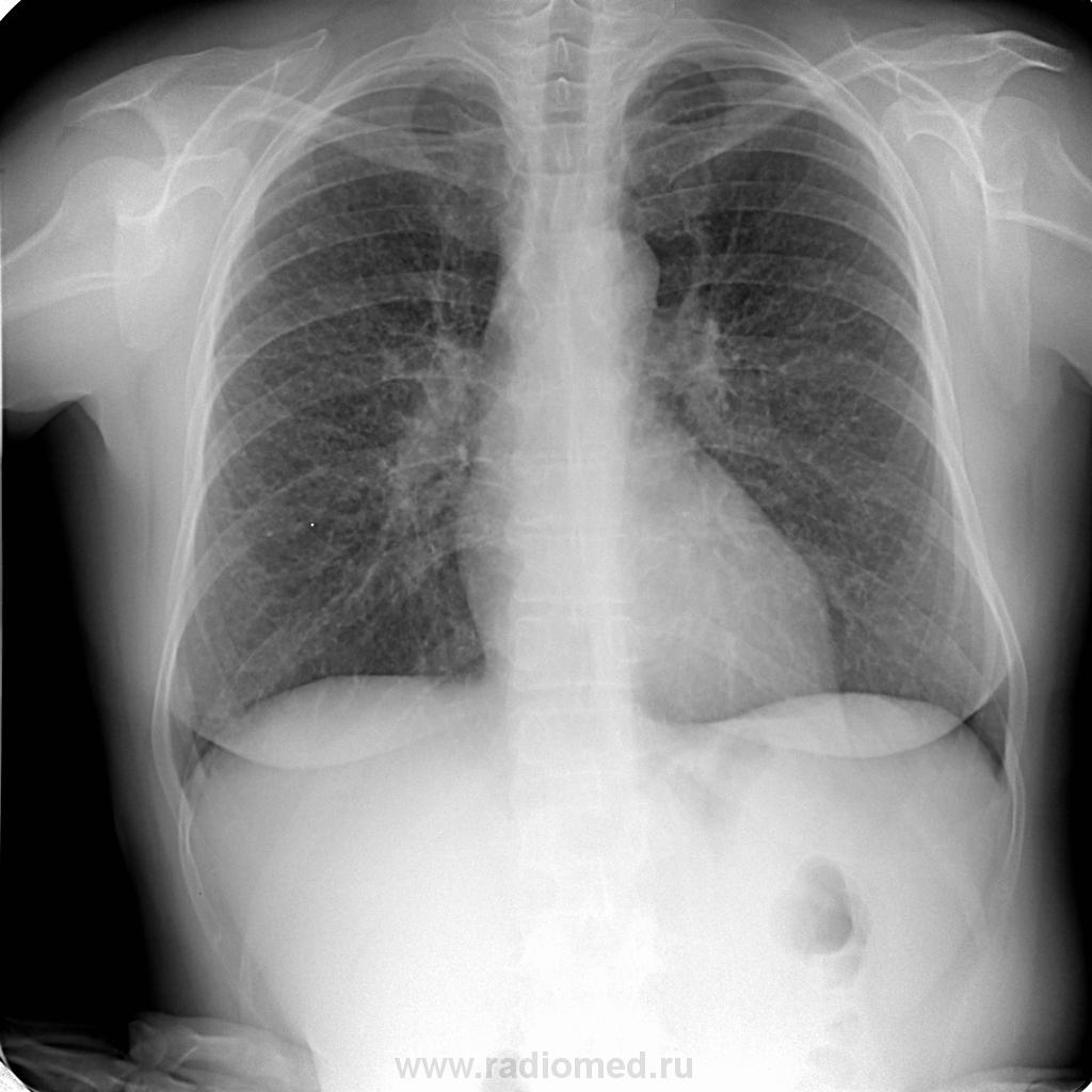
Пациентка 48 лет.Проходила проверочное исследование лёгких. Как интерпритировать данную картину?

ID:26289
Almo аватар
На сайте
Был на сайте: 10 минут 45 секунд назад
Зарегистрирован: 28.09.2008 - 18:50
Публикации: 8246

ФЛО -архива нет.

maker4ik аватар
Не на сайте
Был на сайте: 8 лет 6 месяцев назад
Зарегистрирован: 19.10.2011 - 17:49
Публикации: 2682

Металлоз раз с металлами работает. Логично?

Almo аватар
На сайте
Был на сайте: 10 минут 45 секунд назад
Зарегистрирован: 28.09.2008 - 18:50
Публикации: 8246

Не уверен, что профессионально имеет прямой контакт металлами (диспетчер), надо уточить это у профпатолога.

Петрович аватар
Не на сайте
Был на сайте: 7 лет 2 месяцев назад
Зарегистрирован: 22.03.2009 - 01:13
Публикации: 3908

Синдром патологии лёгочного рисунка – тёмный глубокий омут.

Мелкоочаговая диссеминация на этом фоне тоже может быть.

Неоднозначно всё

Нормандия аватар
Не на сайте
Был на сайте: 11 лет 8 месяцев назад
Зарегистрирован: 10.11.2012 - 10:49
Публикации: 81

на вскидку-похоже на миллиарную диссеминацию. Но! Тут клиника должна быть. Вредность есть на производстве,где она работает?  И еще как казуистика среди номальных людей,может покажется смешно, мой опыт работы "за колючей проволокой" показывает,что может быть токсическое поражение легких аспирационного генеза (даже банально нитрокраски нанюхатся),там это с умыслом делалось,разумеется тут ненарошно)))). Начала бы с большой Р-граммы,потом томо-серединный срез. Да и клиницисты пусть покрутят.

И,может, все же прав поэт? Не верится,что это враки. Чем ближе узнаю людей,тем больше нравятся собаки.

Нормандия аватар
Не на сайте
Был на сайте: 11 лет 8 месяцев назад
Зарегистрирован: 10.11.2012 - 10:49
Публикации: 81

Петрович,а я очень полюбила такие "штуки" из "темного омута"))))))

И,может, все же прав поэт? Не верится,что это враки. Чем ближе узнаю людей,тем больше нравятся собаки.

А. Горюнов аватар
Не на сайте
Был на сайте: 3 недели 4 дня назад
Зарегистрирован: 07.10.2012 - 12:12
Публикации: 2744

Диффузные интерстициальные изменения легких. Не исключается и наличие очаговой диссеминации. Только выполнение СКТ (спиральной компьютерной томографии) может ответить на все Ваши вопросы. 

Анатолий Петрович

Петрович аватар
Не на сайте
Был на сайте: 7 лет 2 месяцев назад
Зарегистрирован: 22.03.2009 - 01:13
Публикации: 3908

Нормандия wrote:
Петрович,а я очень полюбила такие "штуки" из "темного омута"))))))

А поконкретнее, что же "полюбила"?

Неоднозначно всё

Нормандия аватар
Не на сайте
Был на сайте: 11 лет 8 месяцев назад
Зарегистрирован: 10.11.2012 - 10:49
Публикации: 81

Петрович wrote:

Нормандия wrote:
Петрович,а я очень полюбила такие "штуки" из "темного омута"))))))

А поконкретнее, что же "полюбила"?

да тут долго рассказывать)))))) всем виной моё прежнее место работы)))))) мой пост,что повыше  объяснит))))

И,может, все же прав поэт? Не верится,что это враки. Чем ближе узнаю людей,тем больше нравятся собаки.

cupitur аватар
Не на сайте
Был на сайте: 11 лет 10 месяцев назад
Зарегистрирован: 19.09.2011 - 10:42
Публикации: 262

Синдром патологии легочного рисунка (усиление), дифряд: легочная гипертензия, васкулит, клапанный порок сердца. Наличие диссиминации под вопросом, дальнейшая тактика: МСКТ и пусть клиницисты ищут. Мы свое сделали, пациен точно не относится к разряду "почти здоров"! Валентина Львовича выслушать бы и Андрея Юрьевича.

Almo аватар
На сайте
Был на сайте: 10 минут 45 секунд назад
Зарегистрирован: 28.09.2008 - 18:50
Публикации: 8246

Из профессиограммы выяснилось, что пациентка из вредных факторов по  профессии, имеет только напряжение органа зрения ( с металлической пылью, согласно документа не имеет контакта). Внешне производит впечатление здрового и неотягощённого вредными привычками человека.

helenmar аватар
Не на сайте
Был на сайте: 8 лет 5 месяцев назад
Зарегистрирован: 23.03.2008 - 12:27
Публикации: 291

Кроме изменения л/рисунка с признаками диссеминации настораживает снижение прозрачности верхушки правого легкого и неясная тень за 1 ребром над левой ключицей. Выполнила бы задненаклонный снимок верхушек для начала (до СКТ) и хорошенько расспросила бы пациентку. Одолевают смутные сомнения по поводу ее самочувствия. 

Делай, что должно, и будь, что будет.

И.Бондаренко аватар
Не на сайте
Был на сайте: 2 дня 12 часов назад
Зарегистрирован: 13.09.2011 - 22:55
Публикации: 9206

У этой "цветущей" женщины проблем с сердцем нет?

Almo аватар
На сайте
Был на сайте: 10 минут 45 секунд назад
Зарегистрирован: 28.09.2008 - 18:50
Публикации: 8246

У этой "цветущей" женщины проблем с сердцем нет?

-------------------------------------------------------------------------------------------------------------------------------------------------------------------------------

Не знаю, т.к. пациентка " не наша", а посто проходила профосмотр. После прохожения ФЛО была направлена к фтизиатрам ( хотя в заключении ни слова не было о туберкулёзе ). Фтизиатры, как водиться, исключили своё, но... на всякий случай провели ряд диагностических тестов. Если я узнаю результаты диагностического поиска, то сообщу.

Андрей Юрьевич аватар
Не на сайте
Был на сайте: 1 день 14 часов назад
Зарегистрирован: 16.11.2008 - 22:16
Публикации: 18098

Такая штука может оказаться саркоидозом, или каким-нибудь пневмокониозом. Без КТ точно не обойтись.

Андрей Юрьевич

Almo аватар
На сайте
Был на сайте: 10 минут 45 секунд назад
Зарегистрирован: 28.09.2008 - 18:50
Публикации: 8246

Я по ФЛО предположил пневмокониоз ( можно думать, что и лимфоузлы корней несколько увеличены). Фтизиатры сняли свой DS и поставили в дифряд саркидоз и ещё какое-то системное заболевание ( протокол не видел, только со слов коллеги).

Евгений1313 аватар
Не на сайте
Был на сайте: 13 лет 2 дня назад
Зарегистрирован: 15.10.2010 - 19:13
Публикации: 808

Правильно-нитрокраски.Аллергический васкулит.

Катенёв Валентин Львович аватар
Не на сайте
Был на сайте: 7 лет 1 неделя назад
Зарегистрирован: 22.03.2008 - 22:15
Публикации: 54876

cupitur wrote:

Синдром патологии легочного рисунка (усиление), дифряд: легочная гипертензия, васкулит, клапанный порок сердца. Наличие диссиминации под вопросом, дальнейшая тактика

Конечно, во времена СССР, с учетом профанамнеза, на первое место был бы выставлен "пневмокониоз", и не "предстадия", а с учетом милиарной диссеминации, преимущественно в средних и нижних отделах - 1 ст. Конечно сразу бы пациентом прежде всего занялись не фтизиатры, а профпатологи, и не абы как, а регионарное отделение (или институт) профпатологии. Томограммы в таких случаях, при выявлении такой картинки "по флюшке" были бы произведены сразу после рентгенограммы, "на месте". По крайней мере такая тактика имела место быть на "литейных предприятиях". В ряде медсанчастей "литейных предприятий" (МСЧ КЛЗ), в те далёкие времена (был и соответствующий регламент), от проффлюшки отказались и профилактической была обычная стандартная рентгенография в прямой проекции.

Этот случай интересен не только скиалогией, он интересен прежде всего "организационными возможностями" (с учетом профанамнеза).  Сейчас с пациентом занимаются ни шатко, ни валко (фтизиатры и пр.), все руку приложат... А в застойно-застольные времена, на конкретном предприятии выявление такой картинки "первично" считалось бы ЧП, да и ЧП было..., и лично директора крупнейших предприятий были в "курсе", и не абы когда, а первые два-три дня...

Катенёв Валентин Львович аватар
Не на сайте
Был на сайте: 7 лет 1 неделя назад
Зарегистрирован: 22.03.2008 - 22:15
Публикации: 54876

Евгений1313 wrote:

Правильно-нитрокраски.Аллергический васкулит.

Конечно все может быть, может она токсикоманка.

Только вот такой "контакт" сомнителен.

А, что диспетчер будет делать в "покрасочных боксах", которые по ТБ должны располаться на определенном расстоянии. 

А, что такие корни типичны для аллергического васкулита?

Катенёв Валентин Львович аватар
Не на сайте
Был на сайте: 7 лет 1 неделя назад
Зарегистрирован: 22.03.2008 - 22:15
Публикации: 54876

Almo wrote:

Пациентка 48 лет.Проходила проверочное исследование лёгких.  По профессии диспетчер на производстве металлических дверей. Вопрос : какой это рентгенологический синдром и какой диф.ряд и алгоритм исследований можно предложить ?

Здравствуйте Александр!

А, если порыть, да поспрошать? А может быть окажется и ещё более ранний "профмаршрут" (анамнез)?

Может было у дамы полностью (в годах) стаж по списку "А" иметь?

Almo аватар
На сайте
Был на сайте: 10 минут 45 секунд назад
Зарегистрирован: 28.09.2008 - 18:50
Публикации: 8246

Здравствуйте, Валентин Львович! Я вас понял ; вы имеете ввиду, что до работы по последней специальности, пациентка могла иметь проф.вредность, довшую картину изменений в лёгких, ту что мы видим в данный момент.  Если это удастся как-то выяснить- я сообщу! Вообще , постараюсь держать  по случаю, в курсе того , что смогу узнать сам.  

Катенёв Валентин Львович аватар
Не на сайте
Был на сайте: 7 лет 1 неделя назад
Зарегистрирован: 22.03.2008 - 22:15
Публикации: 54876

Almo wrote:

Здравствуйте, Валентин Львович! Я вас понял ; вы имеете ввиду, что до работы по последней специальности, пациентка могла иметь проф.вредность, довшую картину изменений в лёгких, ту что мы видим в данный момент.  

Да, именно это.

Мы, в своё время, наблюдали "поздние (рентгенологические) проявления" пневмокониоза, лет этак через 10 после ухода на пенсию, при полной норме на последний день работы.

Almo аватар
На сайте
Был на сайте: 10 минут 45 секунд назад
Зарегистрирован: 28.09.2008 - 18:50
Публикации: 8246

Информация интересная, а с какими вредными веществами имелся контакт в ваших наблюдениях?

Катенёв Валентин Львович аватар
Не на сайте
Был на сайте: 7 лет 1 неделя назад
Зарегистрирован: 22.03.2008 - 22:15
Публикации: 54876

Предприятие - довольно крупное литейное производство, связанное с тракторостроением (завод Всесоюзного значания, который в течение недели мог стать на "военные рельсы" - производство танков), сначала было чугунолитейное, потом прибавилось и сталелитеное со всеми необходимыми смежными цехами и службами.

Любовь С. аватар
Не на сайте
Был на сайте: 9 лет 5 месяцев назад
Зарегистрирован: 23.12.2010 - 01:58
Публикации: 2324

Согласна с мнением Андрея Юрьевича по поводу возможного саркоидоза. Против пневмокониозов, любых. ДИЗЛ бывают бессимптомными. На КТ мадам, непременно.

"Предоставляя весь смысл и совершенство в распоряжение одного только Бога, вы избавляете себя от бездны хлопот." Джон Уитборн.

Almo аватар
На сайте
Был на сайте: 10 минут 45 секунд назад
Зарегистрирован: 28.09.2008 - 18:50
Публикации: 8246

 Против пневмокониозов, любых. 

-------------------------------------------------------------------------------------------------------------------------------------------------------------------------
Вы не могли бы, как-то аргументировать свою позцицию, почему против?

Катенёв Валентин Львович аватар
Не на сайте
Был на сайте: 7 лет 1 неделя назад
Зарегистрирован: 22.03.2008 - 22:15
Публикации: 54876

Любовь С. wrote:

Против пневмокониозов, любых. ДИЗЛ бывают бессимптомными. На КТ мадам, непременно.

Возможно и не пневмокониоз (вот только корни...). Конечно, по одной "картинке" судить не возможно, да и не стоит, хотя картинка один - в один имеет место быть в монографии Гринберга, а в своё время, монография эта была фундаментом не зыблемым.  Конечно прогресс, не всегда разрешенный необходимыми организациями, в последнее время имеет место быть...

У нас позапрошлое лето было пеклом адовым, и вот довелось мне наблюдать два подобных случая..., у рабочих свинооткормочных комплексов, где температурка, в помещениях, зашкаливала за 60 градусов. Картиночка была тождественна с некоторыми "ПА" в сторону, конечно был альвеолит..., и от какой профвредности?

И интересно мне, что КТ разрешит все вопросы?

Mitkampfer аватар
Не на сайте
Был на сайте: 11 лет 1 месяц назад
Зарегистрирован: 27.07.2010 - 07:43
Публикации: 1454

Приходила ко мне перед отпуском женщина, ранее от нас направленая к онкологам. Плакала, что ее никто не берет. Пересматривал ее архив в трех проекциях округлая тень н/доли над диафрагмой около 1см. Предложил досняться для контроля...ничего не обнаружилось. при расспросе выяснилось работает с химикатами, лаки-краски. Рисунок был также усилен, фиброз умеренный диффузный. Вот так бывает...

Не ограничивайте свою мысль

Живешь пока учишься

Ecrasez l’infame

Любовь С. аватар
Не на сайте
Был на сайте: 9 лет 5 месяцев назад
Зарегистрирован: 23.12.2010 - 01:58
Публикации: 2324

Almo wrote:

Вы не могли бы, как-то аргументировать свою позцицию, почему против?

Пневмокониозы без внешнего агента - я в такое не верю попросту. Силикозы, антракозы, талькозы и прочие козы - без влияния мелкодирсперсного агента? Фантастика. 

Корни + интерстициально усиленный рисунок минус проф.вредность = ДИЗЛ. Какое - КТ в помощь, да при необходимости биопсия. 

"Предоставляя весь смысл и совершенство в распоряжение одного только Бога, вы избавляете себя от бездны хлопот." Джон Уитборн.

Любовь С. аватар
Не на сайте
Был на сайте: 9 лет 5 месяцев назад
Зарегистрирован: 23.12.2010 - 01:58
Публикации: 2324

Катенёв Валентин Львович wrote:

И интересно мне, что КТ разрешит все вопросы?

Нет, но часть ответов отсеет.

"Предоставляя весь смысл и совершенство в распоряжение одного только Бога, вы избавляете себя от бездны хлопот." Джон Уитборн.

Almo аватар
На сайте
Был на сайте: 10 минут 45 секунд назад
Зарегистрирован: 28.09.2008 - 18:50
Публикации: 8246

 

Пневмокониозы без внешнего агента - я в такое не верю попросту. Силикозы, антракозы, талькозы и прочие козы - без влияния мелкодирсперстного агента? Фантастика.

Корни + интерстициально усиленный рисунок минус проф.вредность = ДИЗЛ. Какое - КТ в помощь, да при необходимости биопсия.

---------------------------------------------------------------------------------------------------------------------------------------------------------------------------------------------------------------------------

Cпасибо, ваша позиция понятна. Строго говоря, имеет  место синдром патологии лёгочного рисунка с интерстициальным компонентом (паттерном в англоязычной терминологии). Требуется дифференциальная диагностика. Показана РКТ лёгких (дальше будет видно, скорее всего, без биопсии лёгкого вряд ли обойдётся).

А. Горюнов аватар
Не на сайте
Был на сайте: 3 недели 4 дня назад
Зарегистрирован: 07.10.2012 - 12:12
Публикации: 2744

Любовь С. wrote:

 

Корни + интерстициально усиленный рисунок минус проф.вредность = ДИЗЛ. Какое - КТ в помощь, да при необходимости биопсия. 

+1. Диффузный интерстициально-диссеминированный процесс легких. Среди них наибольшую группу составляют больные саркоидозом (63,5%). КТ, по сравнению со стандарт. Ro, может помочь    в дифференциальной диагностике. Однако, несмотря на использование самых современных средств визуализации, включая и КТ (СКТ), точный нозологический диагноз во многих случаях возможен только при морфологическом исследовании (биопсии).  

Анатолий Петрович

А. Горюнов аватар
Не на сайте
Был на сайте: 3 недели 4 дня назад
Зарегистрирован: 07.10.2012 - 12:12
Публикации: 2744

Almo wrote:

 

Требуется дифференциальная диагностика. Показана РКТ лёгких (дальше будет видно, скорее всего, без биопсии лёгкого вряд ли обойдётся).

+1.

Анатолий Петрович

Петрович аватар
Не на сайте
Был на сайте: 7 лет 2 месяцев назад
Зарегистрирован: 22.03.2009 - 01:13
Публикации: 3908

Almo wrote:
Пневмокониозы без внешнего агента - я в такое не верю попросту. Силикозы, антракозы, талькозы и прочие козы - без влияния мелкодирсперстного агента? Фантастика.

Корни + интерстициально усиленный рисунок минус проф.вредность = ДИЗЛ. Какое - КТ в помощь, да при необходимости биопсия.

---------------------------------------------------------------------------------------------------------------------------------------------------------------------------------------------------------------------------

Cпасибо, ваша позиция понятна. Строго говоря, имеет синдром патологии лёгочного рисунка с интерстициальным компонентом (паттерном в англоязычной терминологии). Требуется дифференциальная диагностика. Показана РКТ лёгких (дальше будет видно, скорее всего, без биопсии лёгкого вряд ли обойдётся).

И что же, не считая себя больной, она согласится на биопсию? Это надо её крепко испугать…, да и себя заодно. Предлагаю «канцероматоз». Но сначала лучше всё-таки КТ сделать.

Неоднозначно всё

Зинаида Ярош-Савовская аватар
Не на сайте
Был на сайте: 11 лет 4 месяцев назад
Зарегистрирован: 02.08.2012 - 00:17
Публикации: 20

Уверена, что КТ подтвердит саркоидоз ВГЛУ и лёгких (2стадии).

cheeky

Almo аватар
На сайте
Был на сайте: 10 минут 45 секунд назад
Зарегистрирован: 28.09.2008 - 18:50
Публикации: 8246

Хорошо, будем ждать результатов РКТ, но 63,5%  всё-таки  это большая доля вероятности.

А. Горюнов аватар
Не на сайте
Был на сайте: 3 недели 4 дня назад
Зарегистрирован: 07.10.2012 - 12:12
Публикации: 2744

Петрович wrote:

[

И что же, не считая себя больной, она согласится на биопсию? Это надо её крепко испугать…, да и себя заодно. Предлагаю «канцероматоз». Но сначала лучше всё-таки КТ сделать.

За КТ +1. Но карциноматоз дал бы какую то клинику?

Анатолий Петрович

Петрович аватар
Не на сайте
Был на сайте: 7 лет 2 месяцев назад
Зарегистрирован: 22.03.2009 - 01:13
Публикации: 3908

Это я для мотивации биопсии предложил)

Неоднозначно всё

tarja аватар
Не на сайте
Был на сайте: 8 лет 2 недели назад
Зарегистрирован: 13.05.2012 - 21:19
Публикации: 133

Almo wrote:
Хорошо, будем ждать результатов РКТ, но 63,5%  всё-таки  это большая доля вероятности.

КТ ещё нет? 

Ставлю на саркоидоз. smiley

Almo аватар
На сайте
Был на сайте: 10 минут 45 секунд назад
Зарегистрирован: 28.09.2008 - 18:50
Публикации: 8246

Пока ещё нет, фтизатры своё исключили, рекомендовали консультацию пульмонолога, но пока пациентка не явилась. Единственно,  выяснилось что у неё "болят суставы", может быть  окажется, что-то по типу реватоидного артрита с поражением лёгких или что-то из этой "оперы". Вобщем пациентка требует  серьёзного дообследования.

Катенёв Валентин Львович аватар
Не на сайте
Был на сайте: 7 лет 1 неделя назад
Зарегистрирован: 22.03.2008 - 22:15
Публикации: 54876

 

Ревматоидное лёгкое

 

tarja аватар
Не на сайте
Был на сайте: 8 лет 2 недели назад
Зарегистрирован: 13.05.2012 - 21:19
Публикации: 133

Суставной синдром не редок и при саркоидозе. 

Пациентка требует серьёзного дообследования - это да.

Зинаида Ярош-Савовская аватар
Не на сайте
Был на сайте: 11 лет 4 месяцев назад
Зарегистрирован: 02.08.2012 - 00:17
Публикации: 20

Cогласна с Вами, вероятен саркоидоз.

cheeky

Almo аватар
На сайте
Был на сайте: 10 минут 45 секунд назад
Зарегистрирован: 28.09.2008 - 18:50
Публикации: 8246

Саркоидоз это да, многие специалисты склинились к этому, посмотрим гистология -царица истины!

Бородулин М.А. аватар
Не на сайте
Был на сайте: 9 месяцев 1 неделя назад
Зарегистрирован: 17.02.2011 - 01:10
Публикации: 1409

Almo wrote:

Саркоидоз это да, многие специалисты склинились к этому, посмотрим гистология -царица истины!

yes

Almo аватар
На сайте
Был на сайте: 10 минут 45 секунд назад
Зарегистрирован: 28.09.2008 - 18:50
Публикации: 8246

Сегодня пациентке сделана КТ лёгких. Заключение: саркоидоз.Со слов врача, отделения проводившего исследование, имела место лимфоаденопатия внутригрудных лимфатических узлов. Кстати, при анализе топограммы   отмечается некоторая положиельная динамика в сравнении с данными от ноября 2012 г.(лечение не проводили).

А. Горюнов аватар
Не на сайте
Был на сайте: 3 недели 4 дня назад
Зарегистрирован: 07.10.2012 - 12:12
Публикации: 2744

Андрей Юрьевич wrote:

Такая штука может оказаться саркоидозом, или каким-нибудь пневмокониозом. Без КТ точно не обойтись.

Одним из первых, о саркоидозе, предположил Андрей Юрьеви! А есть ли возможность увидеть КТ изображения? 

Анатолий Петрович

Almo аватар
На сайте
Был на сайте: 10 минут 45 секунд назад
Зарегистрирован: 28.09.2008 - 18:50
Публикации: 8246

Думаю, что скорее всего не получиться... Но, попробую. Пообещали дать КТ изображения, но уже после выходых.

Almo аватар
На сайте
Был на сайте: 10 минут 45 секунд назад
Зарегистрирован: 28.09.2008 - 18:50
Публикации: 8246
Катенёв Валентин Львович аватар
Не на сайте
Был на сайте: 7 лет 1 неделя назад
Зарегистрирован: 22.03.2008 - 22:15
Публикации: 54876

Спасибо за ссылку продолжения.