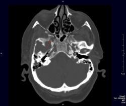
Женщина средних лет с клиникой невралгии тройничного нерва справа. На КТ были вывлены округлые очаги деструкции в костях основания черепа (средней черепной ямки).
Случай не очень свежий, если не изменяет память, первичный очаг в молочной железе, поэтому подумали о метатазах в кости. Миелому конечно же можно выставлять в дифференциальный ряд. Не знаю делали снимки черепа или нет (на топограммах очагов деструкции не было видно). Задача при направление ислючить опухоль головного мозга, так как была клиника невралгии тройничного нерва.
А миелома может быть где угодно. У меня был случай деструктивного очага миеломы в области ската, а второй где-то недалеко в основании черепа склеротического характера. В костях свода ничего не было видно.
Спасибо за ответ. Плазмоцитома действительно может быть где угодно, просто картина очагов при миеломной болезни наиболее характерна в плоских костях. Я собственно и спросила о миеломной болезни, поскольку очаги деструкции круглые, четкие, ровные, а про рак молочной железы Вы сразу не упомянули... Кстати, метастазы как раз рака молочной железы иногда имеют вид "пробойников"
Nela, спасибо за интересное наблюдение. У меня, однако, есть несколько вопросов:
1. Было ли КТ или Rо-исследование костей свода черепа
2. Почему Вы думаете о метастазах? Найден первичный очаг? где?
3. Считаете ли Вы возможным включить в дифференциально-диагностический ряд миеломную болезнь?
"самоуверенность дилетантов - предмет зависти профессионалов"
Случай не очень свежий, если не изменяет память, первичный очаг в молочной железе, поэтому подумали о метатазах в кости. Миелому конечно же можно выставлять в дифференциальный ряд. Не знаю делали снимки черепа или нет (на топограммах очагов деструкции не было видно). Задача при направление ислючить опухоль головного мозга, так как была клиника невралгии тройничного нерва.
А миелома может быть где угодно. У меня был случай деструктивного очага миеломы в области ската, а второй где-то недалеко в основании черепа склеротического характера. В костях свода ничего не было видно.
Череп деформирован - аномалия развития + вероятно фиброзная дисплазия.
Нет, асимметрия за счет укладки. Череп обычный. У пациентки выраженный болевой синдром, из-за которого трудно было уложить ее ровно.
Спасибо за ответ. Плазмоцитома действительно может быть где угодно, просто картина очагов при миеломной болезни наиболее характерна в плоских костях. Я собственно и спросила о миеломной болезни, поскольку очаги деструкции круглые, четкие, ровные, а про рак молочной железы Вы сразу не упомянули... Кстати, метастазы как раз рака молочной железы иногда имеют вид "пробойников"
"самоуверенность дилетантов - предмет зависти профессионалов"
что ж, дело вкуса
"самоуверенность дилетантов - предмет зависти профессионалов"