Пол пациента:
Тип патологии:
Область исследования:
Методы исследования:
Молодой мужчина (1979 гр) поступил в инфекционное отделение с рабочим диагнозом пневмония.
В крови умеренный лейкоцитоз, повышена СОЭ.
Клинически - последние 2 недели беспокоит малопродуктивный кашель с трудноотделяемой мокротой, слабость, температура до 38.
Было решено прицельно томографировать на 6, 7, 8 слои
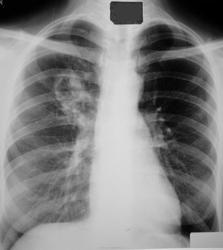
Справа дополнительная тень,с просветлением ,с неровными ,не четкими контурами связанная с корнем,больше данных за tbcфиброзно-каверзно зная форма.
Формально в д/д ряду наиболее вероятны круглый туб инфильтрат (туберкулёма) и неопластический процесс.
А, вот правый боковой (нам старичкам) очень помог бы...
А может быть и пневмония-затянувшаяся, нелеченная с исходом в абсцесс.
А аспергиллома так выглядеть не может?
В данном случае наиболее вероятен инфильтративный туберкулез S3 правого легкого в фазе распада.Томограммы не в срезе(надо бы 8-9-10).Данных за абсцедирование нет.В первую очередь необходима конс. фтизиатра.
+1. Ro-контроль после курса противовоспалительной терапии.
Анатолий Петрович
Кольцевидная тень верхней доли правого легкого с неравномерной стенкой, наибольшей по толщине с "1 по 3 ч", полостью распада с неровным достаточно ясным контуром. Секвестров не отмечено. Внешний контур также ясный (термин, невилирующий разницу между "размытый" и "четкий"). Видны перифокальные очаги мелких и средних размеров ниже и медиальнее "кольца". Перибронхиальная инфильтрация прилежащих бронхов. В дифф.ряд поставил бы всё выше указанное с акцентом на инф.туб. с распадом.
Verum plus uno esse non potest.
самое забавное что фтизиатр видел снимки. к себе не положил. лично видел его заключение - больше данных за верхнедолевую пневмонию.
я конечно в описании был более категоричен.. может, после этого фтизиатр одумается. :)
Какой лояльный фтизиатр
не делали или придерживаете?
боковой где-то затерялся. к сожалению, представить не могу. но как придет на контроль - сделаем. если фтизиатры не заберут..
Я бы не торопился так категорично высказываться за ТБС, хотя и сразу отрицать его не стоит. Необходимо полечить неспецифическую инфекцию, а там видно будет.
Великое преймущество врача заключается в том, что он не обязан следовать собственным советам. ( А. Кристи)
полости найти палочки Коха не проблема. Если их нет, то следует почитать историю болезни или поговорить с терапевтом, что из себя представляет пациент. Предновогодние дни могли сопровождаться злоупотреблением алкоголя, рвотой, аспирацией с последующим развитием деструктивной пневмонии. Но кто-то из Вас может сказать, что мое дело описать, а далеее пусть думают другие. Но разве молодому врачу не интересно узнать больше и сделать выводы? И как можно "затерять" боковую рентгенограмму?!